The ICG Advantage
Indocyanine green angiography comes into its own as a tool for AMD diagnosis and management.
CHRISTINA M. KLAIS, MD AND LAWRENCE A. YANNUZZI, MD
|
|
|
|
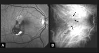
Fig. 1A: Indocyanine green (ICG) angiography allows visualization of pathologic conditions through overlying hemorrhages as in this patient with polypoidal choroidal vasculopathy. Fig. 1B: Arrows indicate the polypoidal lesions. |
|
Since its introduction in the 1960s, intravenous fluorescein angiography (FA) has played a crucial role in the diagnosis and treatment of a variety of retinal diseases.1 It provides excellent spatial and temporal resolution of the retinal circulation with a high degree of fluorescence efficiency and minimal penetration of the retinal pigment epithelium (RPE).
Unfortunately, FA has limitations, particularly with respect to imaging the choroidal circulation secondary to poor transmission of fluorescence through ocular media opacifications, fundus pigmentation and pathologic manifestations, such as serosanguineous fluid and lipid exudation.
In comparison, indocyanine green (ICG) angiography has several advantages over sodium fluorescein, especially in imaging choroidal vasculature. The relatively poor fluorescence efficiency of the ICG molecule, and its limited ability to produce high-resolution images on infrared film initially restricted its angiographic application. However, the emergence of high-resolution infrared digital imaging systems specifically designed for ICG and a growing awareness of choroidal vascular lesions has led to a resurgence of interest in ICG angiography.2,3
|
|
|
|
|
Fig. 2A: Red-free photograph of a patient with classic choroidal neovascularization (CNV). Fig. 2B: Early-phase ICG angiogram reveals hyperfluorescence of the CNV. Fig. 2C: Mid-phase; and Fig. 2D: Late-phase ICG angiograms show staining of the hyperfluorescent CNV. |
Applications of ICG angiography continue to grow. Although we don't yet know the full extent of its capabilities, we'll explore some of its current applications in this article.
ICG BASICS
ICG absorbs light in the near-infrared range of 790 nm to 805 nm.4 The emission spectrum ranges from 770 nm to 880 nm, peaking at 835 nm. The physical characteristics of ICG allow for visualization of the dye through overlying melanin and xanthophyll.5
The activity of ICG in the near-infrared light also allows visualization through serosanguineous fluid, shallow hemorrhage, pigment and lipid exudate (Figure 1). The result is enhanced imaging of conditions such as choroidal neovascularization and pigment epithelium detachment (V-PED).
Because it has both lipophilic and hydrophilic properties, ICG is 98% protein-bound in vivo. Although it was previously thought to bind primarily to serum albumin,6 80% of ICG molecules actually bind to globulins, such as A1-lipoprotein. Therefore, less dye escapes from the fenestrated choroidal vasculature, allowing enhanced imaging of choroidal vessels and choroidal lesions.4
A CLEARER VIEW OF CNV
Since its introduction into ophthalmology, ICG angiography has been useful for detecting choroidal neovascularization (CNV) in neovascular age-related macular degeneration (AMD).7 ICG angiography can confirm the FA appearance of CNV in patients with well-defined CNV, which is described as an area of localized choroidal hyperfluorescence with well-demarcated boundaries appearing during the choroidal filling phase (Figure 2). 810
|
|
|
|
Fig. 3A: Fluorescein angiography reveals occult choroidal neovascularization. Fig. 3B: Late phase ICG angiogram shows a well-defined plaque. |
|
Occult CNV was identified as a poorly defined area of hyperfluorescence and subdivided into fibrovascular PED or leakage of undetermined source. In a report, as many as 85% of newly diagnosed patients demonstrated occult CNV.11 FA is unable to visualize the neovascular net. In contrast, ICG angiography is able to image these choroidal neovascularizations (Figure 3).
ICG angiography may be used to image occult CNV for investigational studies and possibly within models for therapy, given the certain variants of vasogenesis. Two studies showed that occult CNV could be determined in eyes that apparently had only drusen clinically and fluorescein angiographically in 9% and 11 %, respectively.12,13 Furthermore, these eyes were at greater risk of developing active neovascularization when studied longitudinally.
In other studies of occult CNV, ICG angiography had identified the full nature and extent of neovascularization when fluorescein images were obscured by exudation or blood.14,15 In clinical trials, ICG helped determine eligibility criteria and specific lesion size before a drug was introduced. At the end of investigation, it helped determine the outcome and response to treatment studies more accurately.
|
|
|
|
|
Fig. 4A: High speed angiography of a patient with choroidal neovascularization (white arrows) demonstrates clearly the perfusing and draining feeder vessels (black arrow). Fig. 4B: After focal thermal laser treatment of the feeder vessels, ICG angiogram reveals closure of these vessels (arrow). |
Clinically, there are three special considerations related to imaging choroidal neovascularization using ICG angiography: Feeder vessel treatment, retinal angiomatous proliferation (RAP) and polypoidal choroidal neovascularization (PCV).
BETTER VESSEL DETECTION
A fundamental problem for any kind of fundus imaging is reflection from interfaces of the ocular media. To obtain high quality fundus images, these reflections must be eliminated. This is achieved by confocal scanning laser ophthalmoscopy (SLO), which separates the illuminating beam and the imaging beam in the eye and can be used for high-speed ICG angiography.16 The scanning laser system records the filling phase with great temporal resolution, but with a slight loss of spatial resolution.
Thanks to these advantages, feeder vessel treatment has emerged as a new therapeutic approach to neovascular AMD. Staurenghi and colleagues17 reported a series of patients with subfoveal CNV in whom feeder vessels could be detected clearly by means of dynamic ICG angiography, but not necessarily by FA (Figure 4). Focal laser treatment of these feeder vessels was done, and ICG angiography was performed immediately after treatment at 2, 7 and 30 days, and then every 3 months to assess feeder vessel closure. If a feeder vessel remained patent, it was retreated and the follow-up schedule was resumed. The overall closure rate was 75%.
|
|
|
|
Fig. 5A: ICG angiogram of a patient with retinal angiomatous proliferation (stage II) illustrates a retinal-retinal anastomosis and subretinal neovascularization. Fig. 5B: Late-phase ICG angiogram shows intraretinal leakage (arrows) surrounding the fading angiomatous proliferation (arrowhead). |
|
The authors concluded that dynamic ICG angiography may detect smaller feeder vessels. It allows controlling the laser effect and initiating immediate retreatment in the case of incomplete feeder vessel closure, and it should be considered mandatory for this type of treatment.
Clinical trials to evaluate the role of ICG-guided feeder vessel therapy are ongoing.
ACCURATE RAP DIAGNOSIS
Retinal angiomatous proliferation is a distinct subgroup of neovascular AMD.18 Angiomatous proliferation (intraretinal neovascularization and corresponding shunt vessels) within the retina is the first manifestation of the neovascularized process. Dilated retinal vessels, pre-, intra- and subretinal hemorrhages, and exudates evolve surrounding the angiomatous proliferation as the process extends into the deep retina and subretinal space. One or more dilated compensatory retinal vessels perfuse and drain the neovascularization, sometimes forming a retinal-retinal anastomosis (Figure 5).
ICG angiography is useful to make an accurate diagnosis in most cases of RAP. In these patients, FA usually reveals indistinct staining, simulating occult CNV. In contrast, ICG reveals a focal area of intense hyperfluorescence corresponding to the neovascularization (hot spot) and some late extension of the leakage within the retina from the intraretinal neovascularization. As the intraretinal neovascularization progresses toward the subretinal space and the retinal pigment epithelium, the CNV becomes part of the neovascular complex. At this stage, we often see clinical and angiographic evidence of a V-PED. ICG angiography is better for imaging the presence of a V-PED because the serous component of the PED remains dark during the study and the vascular component appears as a hot spot. At this stage, ICG angiography may be able to image a direct communication between the retinal and the choroidal component of the neovascularization to form a retinal-choroidal anastomosis.19
|
|
|
|
|
Fig. 6A: Red-free photograph of a 62-year-old woman shows a neurosensory retinal detachment in the central macula. Fig. 6B: ICG angiogram reveals a polypoidal choroidal vascular abnormality in the superior temporal juxtapapillary region. |
Although we now understand clinical manifestation and vasogenic sequence of RAP, we know little about its natural course, and evidence of successful treatment is scarce.
SUPERIOR PCV DETECTION
Polypoidal choroidal neovascularization is a primary abnormality of the choroidal circulation characterized by an inner choroidal vascular network of vessels ending in an aneurysmal bulge or outward projection. Clinically, it's visible as a reddish-orange, spheroid, polyp-like structure.20 The disorder is associated with multiple, recurrent, serosanguineous detachments of the RPE and neurosensory retina, secondary to leakage and bleeding from the peculiar choroidal vascular abnormality (Figure 6).21
Although FA sometimes can establish the diagnosis of PCV when the vascular elements are large and located beneath atrophic RPE, ICG angiography is the first choice for imaging this entity (Fig. 7). It can detect and characterize the PCV abnormality with enhanced sensitivity and specificity.2123
|
|
|
|
|
Fig. 7: This is a 66-year-old man with sudden deterioration of vision in his right eye. Fig. 7A: Color composite photograph shows large subretinal and intraretinal hemorrhages at the posterior pole and surrounding the optic nerve. There are areas with dense lipid exudation. Fig. 7B: Mid-phase ICG angiogram illustrates a large hyperfluorescent area. In the peripapillary area, a net of subretinal inner choroidal vessels terminates in polypoidal lesions (white arrows). |
The early phase of ICG angiogram shows a distinct network of vessels within the choroid. Shortly after the network can be identified on the ICG angiogram, small hyperfluorescent polyps become visible within the choroid. These polypoidal structures correspond to the reddish-orange choroidal excrescence seen clinically. In the later phase of the angiogram, there is uniform disappearance of dye ("washout") from the bulging polypoidal lesions. The late characteristic ICG staining of occult CNV is not seen in the PCV.21
ICG angiography has led to early discovery of polyps in the peripapillary, the macular and the extramacular areas.24 With the identification of these choroidal polyps, new therapeutic possibilities are being explored, including thermal laser treatment, as well as photodynamic therapy.
Clinical knowledge and recognition of RAP and PCV is vital since these forms of neovascular AMD are distinct from other types of neovascular AMD in their natural course, visual prognosis and response to treatment. ICG angiography is an important diagnostic tool because it's superior in detecting these two entities and, therefore, accelerates specific treatment.
LOOKING FORWARD
ICG angiography has several advantages over fluorescein angiography including high protein binding affinity and infrared fluorescence for better penetration through pigment, serosanguineous fluid and blood.
Clinical applications of ICG continue to expand as practitioners gain more experience with current imaging techniques. As newer, high-speed imaging systems become available, we can look forward to further advances in this technique.
|
Dr. Klais is Retinal Research Fellow, LuEsther T. Mertz Retinal Research Center, Manhattan Eye, Ear & Throat Hospital. |
|
Dr. Yannuzzi is a professor of clinical ophthalmology at the College of Physicians and Surgeons, Columbia University, New York; he is vice-chairman, Department of Ophthalmology and director of the Retinal Service at Manhattan Eye, Ear & Throat Hospital. Dr. Yannuzzi is president of the Macula Foundation. |
REFERENCES
1. Schatz HS, Burton T, Yannuzzi LA, Rabb MF. Interpretation of fundus fluorescein angiography. St. Louis, Mosby-Year Book, 1978.
2. Guyer DR, Puliafito CP, Mones JM, et al. Digital indocyanine green angiography in chorioretinal disorders. Ophthalmology. 1992;99:287291.
3. Yannuzzi LA, Slakter JS, Sorenson JA, et al. Digital indocyanine green videoangiography and choroidal neovascularization. Retina. 1992;12:191223.
4. Baker KJ. Binding of sulfobromoophthalein (BSP) sodium and indocyanine green (ICG) by plasma _1-lipoproteins. Proc Soc Exp Biol Med. 1966;122:957963.
5. Geeraets WJ, Berry ER. Ocular spectral characteristics as related to hazards from lasers and other light sources. Am J Ophthalmol. 1968;66:1520.
6. Cherrick GR, Stein SW, Levy CM, et all. Indocyanine green: observations on its physical properties, plasma decay, and hepatic extraction. J Clin Invest. 1960;39:592596.
7. Patz A, Flower RW, Klein ML, et al. Clinical applications of indocyanine green angiography. Doc Ophthalmol Proc Series. 1976;9:245251.
8. Hayashi K, DeLaey JJ. Indocyanine green angiography of neovascular membranes. Ophthalmologica. 1985;190:3039.
9. Hayashi K, Hasegawa Y, Tokoro T, DeLaey JJ. Clinical use of indocyanine green angiography in the diagnosis of choroidal neovascular disease. Fortschr Ophthalmol. 1988;85:410412.
10. Hayashi K, Hasegawa Y, Tokoro T, DeLaey JJ. Clinical application of indocyanine green angiography to choroidal neovascularization. Jpn J Ophthalmol. 1989;33:5765.
11. Freund KB, Yannuzzi LA, Sorenson JA, et al. Age-related macular degeneration and choroidal neovascularization. Am J Ophthalmol. 1993;115:786791.
12. Hanutsaha P, Guyer DR, Yannuzzi LA, et al. Indocyanine-green videoangiography of drusen as a possible predictive indicator of exudative maculopathy. Ophthalmology. 1998;105:16321636.
13. Schneider U, Gelisken F, Inhoffen W, Kreissig I. Indocyanine green angiographic findings in fellow eyes of patients with unilateral occult neovascular age-related macular degeneration. Int Ophthalmol. 1997;21:7985.
14. Destro M, Puliafito CA. Indocyanine green videoangiography of choroidal neovascularization. Ophthalmology. 1989;96:846453
15. Guyer DR, Yannuzzi LA, Slakter JS, et al. Classification of choroidal neovascularization by digital indocyanine green videoangiography. Ophthalmology. 1996;103:20542060.
16. Webb RH, Hughes GW, Delori FC. Confocal scanning laser ophthalmoscope. Applied Optics. 1987;26:14921499.
17. Staurenghi G, Orzalesi N, La Capria A, Aschero M. Laser treatment of feeder vessels in subfoveal choroidal neovascular membranes: A revisitation using dynamic indocyanine green angiography. Ophthalmology. 1998;105:22972305.
18. Yannuzzi LA, Negrao S, Iida T, et al. Retinal angiomatous proliferation in age-related macular degeneration. Retina. 2001; 21:416434.
19. Kuhn D, Meunier I, Soubrane G, Coca G. Imaging of chorioretinal anastomoses in vascularized retinal pigment epithelium detachments. Arch Ophthalmol. 1995;113:13921396.
20. Yannuzzi LA, Sorenson JS, Spaide RF, et al. Idiopathic polypoidal choroidal vasculopathy. Retina. 1990;10:18.
21. Spaide RF, Yannuzzi LA, Slakter JS, et al. Indocyanine green videoangiography of idiopathic polypoidal choroidal vasculopathy. Retina. 1995;15:100110.
22. Yannuzzi LA, Ciardella AP, Spaide RF, et al. The expanding clinical spectrum of idiopathic polypoidal choroidal vasculopathy. Arch Ophthalmol. 1999;115:478485.
23. Yannuzzi LA, Wong DW, Sforzolini BS, et al. Polypoidal choroidal vasculopathy and neovascularized age-related macular degeneration. Arch Ophthalmol. 1999;117:15031510.
24. Yannuzzi LA, Nogueira FB, Spaide RF, et al. Idiopathic polypoidal choroidal vasculopathy: A peripheral lesion. Arch Ophthalmol. 1998;116:382383.







