feature
Atraumatic Photocoagulation For Retinovascular
Disease
Case studies
of micropulsed 810 nm diode laser photocoagulation in the management of diabetic
retinopathy.
JEFFREY
K. LUTTRULL, MD
Retinal photocoagulation has been the mainstay of treatment for the complications of retinovascular disease for decades.1 While effective, the tissue destruction inherent in conventional visible end-point (threshold or suprathreshold) photocoagulation may cause complications, which can cause both immediate and late visual loss and limit the usefulness of treatment. Recently, subvisible end-point (subthreshold) micropulsed diode laser photocoagulation has been reported to reduce diabetic macular edema (DME) without causing clinically or angiographically detectable retinal damage.2 The following cases illustrate use of subthreshold micropulsed diode laser photocoagulation (SDM) to manage 2 patients with different severities of diabetic retinopathy.
CASE REPORTS
Case 1
In June of 2001, a 72-year-old Hispanic woman was referred with the diagnosis of diabetic retinopathy. She complained of blurred vision in both eyes. She had insulin-dependent diabetes mellitus diagnosed 13 years previously, systemic hypertension, and stable angina. Two years earlier she had undergone conventional argon laser photocoagulation for clinically significant DME in her left eye.
Examination revealed corrected visual acuities (VAs) of 20/50
right eye and 20/40 left eye. Nuclear sclerotic cataracts were present bilaterally.
Nonproliferative diabetic retinopathy was present in both eyes. In her left eye,
chorioretinal scarring from prior argon laser photocoagulation was noted infer temporal
to the macula, with new clinically significant macular edema in the super temporal
macula. Intravenous fundus fluorescein angiography (FA) confirmed local intraretinal
leakage in her left eye. Following informed consent and topical anesthesia, 239
applications of confluent SDM were placed over the areas of macular thickening in
the super temporal macula of her left eye. Three months later her macular edema
had resolved and VA improved to 20/30. Angiography revealed reduced intraretinal
dye leakage. There were no new clinically or angiographically visible laser lesions.
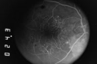
When last seen in October 2005 her VA in her left eye remained 20/30 without recurrent
macular edema. There remained no visible SDM laser lesions clinically or by angiography
(Figure 1).
|
|
|
|
|
Figure 1 A. Preoperative red-free fundus photograph of left eye demonstrating clinically significant diabetic macular edema in super temporal macula. Note chorioretinal scarring from prior conventional argon laser photocoagulation infer temporally. |
Figure 1 B. Preoperative late-phase intravenous fundus fluorescein angiogram of left eye demonstrating retinal microvascular leakage super temporal to macula. |
Figure 1 C. Postoperative red-free fundus photograph of left eye demonstrating resolved macular edema and resolving hard exudates. Note absence of SDM laser lesions in super temporal macula. |
|
|
|
|
Figure 1 D. Postoperative early-phase intravenous fundus fluorescein angiogram of left eye. Note absence of SDM laser lesions in super temporal macula. Note laser lesions from prior conventional photocoagulation infer temporally. |
Figure 1 E. Postoperative late-phase intravenous fundus fluorescein angiogram of left eye. Note resolution of retinal leakage super temporally and staining of prior conventional argon laser lesions infer temporally. Note absence of SDM laser lesions super temporally. |
Case 2
In January 2001 a 53-year-old Caucasian man was referred with the diagnosis of diabetic retinopathy. He reported fluctuating and blurred vision with floaters in both eyes for several preceding months. Seven years prior he had been diagnosed with insulin-dependent diabetes mellitus. He had not been previously examined or treated for diabetic retinopathy.
His corrected VA was 20/30 in both eyes. Clinical examination revealed diabetic retinopathy with disc neovascularization in the right eye and 4-quadrant retinal neovascularization and diffuse clinically significant macular edema in both eyes (Figure 2). Following informed consent high-density/low-intensity panretinal and macular SDM was performed for each eye under topical anesthesia in separate sessions.
The patient was lost to follow-up until November 2001 when he returned with corrected VAs of 20/60 right eye and 20/40 left eye. Clinical examination revealed persistent or recurrent diffuse macular edema, some fibrosis of the retinal neovascularization in both eyes, and a preretinal hemorrhage in the left eye. Additional SDM macular photocoagulation was performed December 2001, March 2002, August 2003 (both eyes), and October 2003 (right eye only). Additional panretinal SDM was performed in both eyes December 2001, March 2002, November 2002, and October 2004. During this period of time his macular edema resolved and VA improved. The areas of neovascularization in both eyes demonstrated arrest, arterialization, and fibrosis without contraction, visually significant hemorrhage, or traction retinal detachment. In January 2006 his corrected VA was 20/30 right eye and 20/25 left eye. Intravenous fundus FA revealed persistent leakage from the clinically involutional neovascularization (Figure 2).
Over a period of several years this patient received 22283 SDM laser applications. A total of 2665 applications of macular SDM were placed in his right eye and 784 in the left eye. A total of 7486 applications of SDM panretinal photocoagulation were placed in his right eye and 11348 in his left eye. There were no treatment complications. At 5 years follow-up no laser lesions were visible clinically or by FA in either eye.
|
|
|
|
|
Figure 2 A. Preoperative red-free fundus photograph of left eye, January 2001. Note severe background diabetic retinopathy with diffuse clinically significant macular edema. |
Figure 2 B. Preoperative red-free fundus photograph of right eye, January 2001. Note clinically significant macular edema and retinal neovascularization inferior to optic disc. |
Figure 2 C. Preoperative early-phase intravenous fundus fluorescein angiogram, right eye, January 2001. Note early leakage from extensive retinal neovascularization below optic disc. |
|
|
|
|
|
Figure 2 D. Preoperative early-phase intravenous fundus fluorescein angiogram of left eye. |
Figure 2 E. Preoperative late-phase intravenous fundus fluorescein angiogram of left eye, January 2001. Note diffuse leakage of dye from both the retina and retinal neovascularization throughout the inferior and temporal aspects of photographic frame. |
Figure 2 F. Postoperative fundus photograph left eye, January 2006. Note resolution of macular edema and fibrosis of pre retinal neovascularization. Note absence of laser-induced chorioretinal scarring. |
|
|
|
|
|
Figure 2 G. Postoperative fundus photograph of left eye, January 2006. Note fibrosis of retinal neovascularization in absence of laser-induced chorioretinal scarring. |
Figure 2 H. Postoperative fundus photograph of left eye, January 2006. Note fibrosis of retinal neovascularization and absence of laser-induced chorioretinal scarring. |
Figure 2 I. Postoperative mid-phase intravenous fundus fluorescein angiogram of left eye. Note persistent leakage from involutional retinal neovascularization and absence of laser-induced chorioretinal scarring. |
DISCUSSION
Efforts to improve the safety of retinal photocoagulation treatment are not new. Such efforts recognize that the tissue destruction inherent in conventional visible end-point photocoagulation has never been proven to be therapeutically necessary in the treatment of retinovascular disease. Rather, evidence increasing suggests that the benefits of conventional visible end-point photocoagulation derive from sublethal photocoagulation effects on the retinal pigment epithelium outside the areas of thermal tissue destruction.3 Reduced photocoagulative retinal injury has been primarily sought through lowered treatment intensity and laser wavelength selection targeting the retinal pigment epithelium and sparing the neurosensory retina. However, reliable subthreshold photocoagulation using conventional continuous wave lasers of any wavelength is clinically problematic. Difficult to titrate, retinal scarring is typically reduced or delayed rather than eliminated. Thus the risks and limitations of treatment, while possibly attenuated, remain.
|
|
|
Figure 3. Arrhenius curve illustration of the n-1/4 law. Note that the same biologic effect is produced by either few high energy laser pulses or many low energy laser pulses. |
Micropulse laser technology offers a novel approach to reducing laser-induced thermal retinal damage. In micropulsing, laser energy is released in microsecond "packets" within a longer millisecond application envelope. If the time interval between the laser "packets" exceeds the thermal relaxation time of the target molecule, in this case the melanin of the retinal pigment epithelium, molecular photocoagulation effects can be achieved without heat build up and resultant thermal cellular injury. This increases the safety margin in performing subthreshold photocoagulation 10-fold over conventional millisecond continuous wave lasers. In addition, as many low intensity laser applications can produce the same biologic effect as few high energy applications, theory suggests that micropulsed photocoagulation can be clinically effective while also avoiding thermal tissue injury (Figure 3). In this light, new "high-density / low-intensity" SDM protocols have been developed to exploit these principles clinically. Avoidance of the retinal damage and inflammation attached to conventional visible end-point photocoagulation permits consistent and reliable subthreshold photocoagulation, which can be performed "as needed" until the desired clinical result is achieved. The courses of these 2 patients and the results of a recent pilot study of SDM for DME corroborate and illustrate these theories in clinical practice.2
CONCLUSION
Rapidly emerging new technologies such as pharmacotherapy and expanded indications for vitreous surgery, alone or in combination with photocoagulation, offer promising new tools in the management of diabetic retinopathy and other retinovascular diseases.4, 5 Optical coherence tomography (OCT) now routinely employed in the diagnosis of macular disease often reveals edema, which is clinically undetectable. This creates both new dilemmas and opportunities for clinicians. Should we treat? If so, how? The current indications for photocoagulation of DME predate OCT technology and remain based on biomicroscopic findings.1 Thus, the risks of conventional photocoagulation do not currently justify treatment of DME based on OCT findings alone. However, the risk reduction offered by SDM suggests a possible role in the treatment of such early, as well as clinically significant, DME (Figure 4). As elsewhere in medicine, earlier intervention may improve patient outcomes. Tools such as SDM may improve our prospects of achieving the elusive ideal of "First, do no harm" while at the same time offering our patients effective treatment. Further investigation will determine the place of SDM in the management of diabetic retinopathy and other retinovascular disease.
|
|
| Figure 4. OCT of clinically significant diabetic macular edema prior to subthreshold diode micropulse photocoagulation (top) and 3 months postoperatively (bottom). |
Jeffrey K. Luttrull, MD, is in private practice in Ventura, Calif. Dr Luttrull has no financial interest in any device or technique herein described. He can be reached by e-mail at JKLuttrull@aol.com.
REFERENCES
1. Early treatment of diabetic retinopathy research study group. Photocoagulation for diabetic macular edema. Early Treatment of Diabetic Retinopathy Study report number 1. Arch Ophthalmol. 1985;103:1796-1806.
2. Luttrull JK, Musch DC, Mainster MA. Subthreshold diode micropulse photocoagulation for the treatment of clinically significant diabetic macular oedema. Br J Ophthalmol. 2005;89: 74-80.
3. Wilson AS, Hobbs BG, Shen WY, et al. Argon laser photocoagulation-induced modification of gene expression in the retina. Invest Ophthalmol Vis Sci. 2003;44:1426-1434.
4. Jonas JB, Sofker A. Intraocular injection of crystalline cortisone as adjunctive treatment for diabetic macular edema. Am J Ophthalmol. 2001;109: 920-927.
5. Harbor JW, Smiddy WE, Flynn HW Jr, et al. Vitrectomy for DMEassociated with a thickened and taut posterior hyaloid membrane. Am J Ophthalmol. 1996;121:405-413.







