VITREORETINAL SURGERY
Fine-tuning
Your 25-g Vitrectomy
Surgeon
explains techniques for safe and effective procedures.
New era or passing fad?" asked Kirk Packo, MD, to open his presentation on 25-g vitrectomy at the 2006 Retinal Physician Symposium (May 31-June 3, Atlantis, Paradise Island, Bahamas). "I think we asked that about phacoemulsification 25 years ago," he said.
Dr. Packo currently uses 25-g technology for more than 80% of his vitrectomies. He also noted that 31% of respondents to the 2006 Preferences and Trends Survey by the American Society of Retina Specialists reported using 25-g technology frequently and "these numbers have been changing yearly." Dr. Packo explained key aspects of his 25-g technique and provided the following tips for safe and effective surgery.
|
|
|
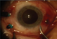
Figure 1: It is vital to displace the conjunctiva with the cannula. However, prior surgery, especially with the use of cautery, may have scarred the conjunctiva. To manage this situation, hydraulically dissect the conjunctiva from the sclera with BSS and a 30-g needle, then displace it. |
ENTERING THE EYE
"Displacing the conjunctiva is very, very important," Dr. Packo said. During surgery, the cannulas align the scleral and conjunctival wounds, but when the cannulas are removed, the wounds are misaligned, which lowers the risk of infection.
While most surgeons use a cotton stick to move the conjunctiva, Dr. Packo prefers to use ring forceps. The cotton stick method minimizes the risk of conjunctival hemorrhage, but does not stabilize the eye during surgery and is too difficult if scarring is present, he said.
"I grab the conjunctiva and move it quite a ways toward the horizontal. The forceps grab it nicely and are forgiving to the conjunctiva. And like the cotton stick method, the forceps method also presents a low risk of conjunctival hemorrhage."
When a case involves conjunctival scarring, Dr. Packo hydraulically separates the conjunctiva from the sclera using BSS and a 30-gauge needle (Figure 1). "Sneak it in at the limbus and inject until you create a little bubble," he explained. "Then move tangentially through that as part of your angling maneuver."
CANNULA INSERTION
Dr. Packo inserts the 25-g cannulas at an angle of 15° to 30° toward the horizontal to achieve better wound closure at the end of the case. "They are sturdy enough to hold up to this," he said. "I like to insert the infusion cannula pointing away, so that when it lies on the conjunctiva, it points toward the horizontal. I do the opposite with the superior ones, so again, they point toward the horizontal. This way, nothing is contacting the eyelid, and I have a little more working room." (Figure 2)
In addition, Dr. Packo does not rotate the trocars. "In fact, if you are over-vigorous about rotating, you actually can induce more damage to the pars plana epithelium and vitreous base," he said. "Firm, steady pressure is all you need to get into the eye, and the bead of vitreous indicates you have penetrated."
Dr. Packo inserts his infusion while it is running and does not typically look to verify it. Surgeons who want to verify it can keep the trocar in, he said. "It is much easier to see the silver of the trocar when it is still in the eye." Also, as part of stabilizing the infusion cannula, he places a Steri-Strip on the line and clamps it to the surgical drape.
INSTRUMENT STABILIZATION
|
|
| Figure 2: Angled cannula insertion creates more working room and achieves better wound closure at the end of the case. |
For working with 25-g instruments, which are more flexible than their 20-g counterparts, Dr. Packo recommends learning to minimize the need to rotate the eye during surgery, including pivoting tools around the cannula instead. "Another tip, which I learned from Dr. Allen Ho, is to bring my stabilizing finger, which would normally be on the patient's cheek or orbital rim, right down to the grommet of the cannula," he said. "I bring my hands right down to the sclerotomies. It takes a little bit of getting used to, but it stabilizes the instrumentation."
FLUIDICS
Dr. Packo works with infusion pressures of 35 to 40 mm Hg, 45 mm Hg at most. "But typically, I am down to about 35 on my VGFI," he said. He increases vacuum, compared with 20-g cases, to 400 to 500 mmHg. He uses a cut rate as low as 1000 cpm. "It has been said that you should never go below 1500," he said. "Actually, I get a little more flow down around 1000 and have never had anything plug. It works nicely to complete the vitrectomy quickly at full bore when you go all the way down with a suction of 500 and a cut rate down to 1000."
SUBCONJUNCTIVAL ANTIBIOTICS
Subconjunctival antibiotics are potentially dangerous near open sclerotomies, Dr. Packo said. For surgeons who prefer to use them, he suggests injecting only inferonasally away from the sclerotomies and avoiding more toxic drugs such as aminoglycosides. "More often than not, I find I am avoiding them altogether," he said.
COMING OUT OF THE EYE
When 25-g technology was first introduced, massaging the sclerotomies after removing the cannulas was considered beneficial. That is not necessarily the case today. "As Frank Koch has shown, you can actually create more problems, such as vitreous incarceration and leakage, by massaging," Dr. Packo said. "I do not think you need to massage at all, particularly if the conjunctiva is sufficiently displaced."
Dr. Packo also prefers to clamp the infusion while removing the two superior cannulas. He then slowly reforms the eye and removes the infusion cannula while it is still running, which maintains a desirable pressure, he said.
|
|
|
Figure 3. Combined 25-g/20-g procedures can be useful in certain cases, such as intraocular foreign body removal, lensectomy or silicone oil injection. Shown here: enlarging one sclerotomy for curved RON knife. |
SURGICAL ADJUNCTS
When a surgical maneuver, such as posterior hyaloid removal, is more difficult in a 25-g setup, Dr. Packo uses triamcinolone for enhanced visualization.
COMBINATION PROCEDURES
Dr. Packo also spoke about the utility of combined 25-g/20-g procedures in certain cases, such as intraocular foreign body removal, lensectomy or silicone oil injection (Figure 3). Just one sclerotomy can be enlarged to allow entry of the needed instrument, sparing the conjunctiva from additional stress at the other two openings. "The fluidic control is the same as in a completely 25-g case," he said.
ILLUMINATION
Achieving adequate illumination for 25-g
surgery had been a challenge, but the new xenon light sources have changed that,
Dr. Packo said. "The new xenons are 66% to 150% brighter than standard light sources
and offer a more panoramic view. It is a whiter light. In addition, these are filtered
to remove the harmful
420-nm to 680-nm wavelengths."
Dr. Packo considers xenon chandelier-style light sources, such
as the Tornambe Torpedo and the Awh Chandelier, one of the greatest advances in
small-gauge surgery. They are safer for the patient as well. Photo-
toxicity,
he explained, is related to many factors, including the light's temperature and
color, but it is also related to the proximity of the light to the retina. "The
farther away you are from the retinal surface, the less the hazard," he said. "For
that reason, chandelier lights, which 'hang' near the pars plana, have a great safety
profile."
Dr. Packo recommends keeping infusion turned off while introducing the chandelier light sources into the eye. "If infusion is on, by the time you get the chandelier to the conjunctival surface, fluid will start ballooning and you will lose your track."
He also pointed out that other specialty fiber optics are now available, such as an illuminated infusion chandelier, which do limit flow. But "it is amazing how well you can do as long as you do not use suction only at high rates."
TIPS FOR GETTING STARTED
|
|
| Figure 4: Highlights of results from a retrospective review of 45 cases of 25-g vitrectomy performed by one surgeon in Detroit. |
Surgeons just beginning with 25-g procedures need to keep several factors in mind, Dr. Packo said. Although 25-g surgery is quicker than 20-g, it is more difficult. The flexibility of the instruments makes moving the eye more difficult. The quality of the light source is not as good, which makes investing in a xenon system a must. It is difficult to inject silicone oil. Angled instruments cannot be used unless at least one sclerotomy is enlarged, and no 25-g fragmenter is available at this time.
For surgeons new to these challenges, Dr. Packo recommends using 25-g technology in 10% to 20% of cases and choosing cases that are relatively straightforward, such as macular hole, thick epiretinal membrane, "simple" diabetic hemorrhage, diabetic macular edema, vitreomacular traction syndrome, endophthalmitis, pseudophakic retinal detachment, injection of subretinal tissue plasminogen activator or retained lens cortex.
"Once you are comfortable, you can perform complicated diabetic traction detachments beautifully, particularly with a chandelier light," he said. "You will be amazed how easily you can get in and out of little crevices and do beautiful delamination with these systems as well. Cases that are just begging for small-gauge surgery are eyes that have had previous filters or multiple conjunctival peritomies, dry eyes, and pediatric or infant eyes. Why open the conjunctiva again if you do not have to?"
25-G VS 20-G OUTCOMES
To illustrate the outcomes of 25-g surgery, Dr. Packo cited two studies: a retrospective review of 92 cases performed by him and another surgeon between November 2003 and January 20051 and a retrospective review of 45 cases performed by one surgeon in Detroit2.
Dr. Packo said that while the number of patients in the first review was small, several trends were notable. Focusing on the 21 of the 92 cases that were performed for macular hole, Dr. Packo said that the choice of gas, SF6 or C3F8, made no difference in the amount of fill achieved, and lower fill did not increase the failure rate.
Three of the 21 macular hole eyes were considered failures, and in two of those three cases, triamcinolone was used as an adjunct for visualization of the hyaloid. "In one case, a lot of steroid crystals got stuck in the hole," Dr. Packo said. "I could not aspirate it away. After a rough peeling of the internal limiting membrane, that eye failed either because of the lack of inflammation or the crystals keeping the hole from reapposing."
In the Detroit surgeon's 25-g experience (Figure 4), Dr. Packo said mean visual acuity improved and the mean intraocular pressure was not hypotonous 1 day postoperatively. Also in this series of cases, cataracts did progress postoperatively. "So we are not saving on cataract formation with small-gauge surgery," Dr. Packo said. "This is likely due to the oxygenation that follows 25-g vs. 23-g or 20-g procedures."
Judging by his experience and what is available in the literature, Dr. Packo concluded his presentation by stating: "25-g surgery can be done safely and effectively."
REFERENCES
1. Chang EC, Chow DR, Packo KH, et al (unpublished).
2. Ibarra MS, Hermel M, Prenner JL, et al. Longer-term outcomes of transconjunctival sutureless 25-gauge vitrectomy. Am J OphthalmoL. 2005;139:831-836.







