Current Approaches to Macular Hole Surgery and Patient Management
WILLIAM E. SMIDDY, MD, HARRY W. FLYNN JR., MD
What has changed in macular hole surgery and what can we do for our patients to ease the burden of the process? In this article, we will attempt to answer these questions and give our perspective on current perioperative issues.
Macular holes (Figure 1) were first described more than 100 years ago.1,2 Initially they were felt to be traumatically induced,2 but it has since been recognized that the vast majority are idiopathic in origin, occurring mostly in elderly persons. For more than 100 years after their description, no treatment modalities were possible. Since the seminal report of Kelley and Wendel,3 macular hole surgery has become one of the most successful vitreoretinal surgical procedures. The surgical technique involves pars plana vitrectomy, removal of the posterior cortical vitreous, and internal gas tamponade. The only substantive change since its inception has been the introduction of internal limited membrane (ILM) peeling, which seems to have improved surgical results.4,5
The most onerous postoperative aspect for the patient remains the need for face-down positioning. In the 1990s, face-down positioning was recommended for at least 2 weeks, but a trend toward a shorter interval seems still to yield similar outcomes.6,7 Surgical success rates include anatomic success rates well into the mid-90% range and visual improvement in about 80%. Optical coherence tomography (OCT) has advanced the diagnostic accuracy (Figure 2) of this condition,8 as there are many conditions mimicking the clinical appearance of macular holes.9
| Harry W. Flynn Jr., MD, is professor of ophthalmology and the J. Donald Gass Distinguished Chair of Ophthalmology at Bascom Palmer Eye Institute, Miller University School of Medicine, University of Miami. William E. Smiddy, MD, is professor of ophthalmology at Bascom Palmer. Dr. Flynn can be contacted via e-mail at hflynn@med.miami.edu, and Dr. Smiddy can be contacted via e-mail at wsmiddy@med.miami.edu. Neither of the authors has any financial interest in the information contained in this article. Support for this article has been provided in part by Research for Prevention of Blindness in New York. |
Figure 1. Macular hole in patient with history of visual loss for 3 months in the right eye.
THE CHALLENGES OF PATIENT MANAGEMENT
What the Patient Should Know
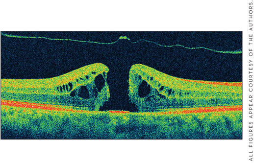
The goals of the procedure and duration of the necessary positioning should be discussed during the preoperative counseling. (Table 1) The physician's concept of surgical success may not always correlate with patient's expectations. Risks and benefits of surgery must be carefully articulated. The surgeon's definition of success involves both anatomic closure of the macular hole and avoidance of operative complications. Visual success, which is more important to patient function, is variably measured as mean visual improvement or other variably reported benchmarks of final visual acuity (VA). Even Snellen VA can be notoriously inaccurate in reflecting a patient's true functional outcome. We counsel patients to expect a noticeable improvement in various qualities of the visual function, perhaps of about a 50% magnitude. However, we emphasize that even successful cases may leave a residual deficit such as a variably annoying central smudged, blurred, or distorted area. Still, the improvement is often sufficient to advance the patient beyond the threshold of certain functional tasks, such as driving. As their postoperative vision improves during the first 6 months, vision may worsen from cataract as patients approach 1 year after surgery. The risk of macular hole in the fellow eye should be briefly discussed. Although there may be variations between studies, the authors generally state that there is a 15% risk of macular hole in the fellow eyes at 5 years. OCT (Figure 3) may identify fellow eyes at increased risk (stage 0).10
Figure 2. Spectral-domain OCT of macular hole in patient shown in Figure 1. Visual acuity is 20/200 in the right eye.
| Table 1. Preoperative Discussion Points Before Macular Hole Surgery |
|---|
|
When a surgical procedure is unsuccessful, vision commonly decreases marginally. The extent is unpredictable, but dependent in large part on preoperative vision. Usually the possibility of reoperation is offered, still with substantial success rates,11 but not statistically as high as with a primary case. The factors that influence success include the duration, stage, and etiology12 of the hole. Perhaps the single most unifying preoperative factor is the size of the hole which generally correlates well with the VA.13 As a general rule, the smaller the hole and the better vision preoperatively, the better the surgical outcome. In general, macular holes of duration of more than a year and a half or so are not considered for surgery, unless unusually small. The exact onset of decreased vision may sometimes be difficult to precisely identify. For example, while the patient has loss of vision in the affected eye, the fellow eye is normal, resulting in minimal impact on overall visual function. This inaccuracy must be taken into consideration in determining the duration of the macular hole.
Figure 3. Spectral-domain OCT of fellow eye in patient shown in Figure 1. Vitreofoveal attachments are present but the patient is asymptomatic in the left eye.
Certain subsets of patients have limiting factors. For example, holes in high myopes typically have a poor visual prognosis.14 Some reports suggest the prognosis with traumatic macular holes is similar to idiopathic holes,15 but multiple other factors, such as the degree of concomitant damage, may limit the visual outcome. Commotio retinae with attenuated cystoid change may be misdiagnosed as a macular hole and may account for some of the higher reported rates of spontaneous closure.16
The surgical complication rates have generally been low. The most common serious complication is a retinal detachment. Earlier reports found retinal detachments in about 10%17 of patients, but modern instrumentation and attention to examining fundus periphery intraoperatively have diminished this rate to under 2%.18 A virtually certain side effect of macular hole surgery (as with any vitrectomy) is the progressive nuclear sclerosis, often leading to cataract surgery within 1 year of vitrectomy.
Issues for the Patient
Most burdensome to the patient are the constraints imposed by intraocular gas-bubble use and face-down positioning. The principal concept of macular hole surgery is that the surface tension across the edges of the macular hole and the gas (oil bubble) provides a surface for migration of cells to bridge the macular hole.19,20 The gas bubble, as used by face-down positioning, optimizes the surface tension but limits air travel and even passing to higher altitudes. In addition, a gas bubble will limit the use of general anesthesia gases, specifically nitrous oxide, and for this reason, labeled bracelets are affixed to a patient in order to alert any potential healthcare providers. Using shorter intervals of positioning, even eliminating positioning requirements has been advocated, but not universally accepted as efficacious.
Face-down positioning is tiresome and very disruptive to the patient's normal routine. Patients may feel isolated and alone, which can affect compliance and overall recovery. Face-down positioning can also be painful for patients with certain physical conditions and cause other complications.21 Any measure that minimizes patient discomfort and surgical complications will enhance patient outcomes.
Figure 4. Patient with face-down mirror for straight-ahead viewing. Note the conveniently placed waste basket and necessary items.
Tips to Improve Quality of Life
Optimally prepared patients can overcome distractions that can lead to complications and less effective face-down positioning. Patients can continue to enjoy a variety of activities while recovering and need not be bedridden for the recommended time interval. Patients with good vision in the fellow eye can read, assemble puzzles, and watch strategically positioned portable TV sets (sometimes positioned under a glass table). They may also be able to use a mirror to maintain conversation and eye contact with visitors (Figure 4). Books on tape, available from most local libraries or for rent in many audio stores, may also provide entertainment for patients. Table 2 lists some items that make life after surgery more tolerable. It is best to share this list with your patients before surgery so that they can purchase or rent the items beforehand. Ideally, patients should be advised to arrange for a relative or friend to stay with them during the recovery to assist with everyday activities.
| Table 2. Items Postoperative Patients Should Have Nearby |
|---|
|
Headrest devices are variations of U-shaped, semifirm pillows that allow broad support over the forehead and sides of the face. This also relieves the stress on the neck extensor muscles. Most of our patients were happy they acquired them. Devices for body positioning include custom-made mats, massage tables, and even special ergonomically optimized positioning devices. Depending on the circumstances, patients may be interested in 1 of 2 classes of commercial devices: those designed for headrest and those for maintaining a prone body position. Many suppliers (Table 3) will sell the devices directly to you or your patients; some vendors offer rental plans. Most companies provide prompt delivery and setup/demonstration and will facilitate insurance reimbursement.
Although commercial devices are quite helpful, a creative patient can achieve satisfactory comfort using household items. For example, many patients spend waking hours resting their heads on pillows supported by a snack table (Figure 5). Leaning over the edge or side of the bed with pillows supported on a chair, using a small table, or even using a gap between mattresses to support the head while lying down may also be effective.
Most patients cannot sleep prone; it may be easier for a patient to lie on his side with a pillow folded and situated posteriorly to allow, with a twisted neck, the head to roll down the pillow so his nose points to the bed sheet. Advise patients to roll out of bed as if doing a push-up, rather than sitting up. The patient might seek straight-back chairs but avoid cushy chairs (eg, recliners). In this way the patient will be more likely to flex the neck rather than extend it.
When instilling eyedrops, instead of looking up, ask the patient to look to the side to instill eyedrops. Again, this will avoid neck extension. It will then be possible for a helper to place a drop in the lateral palpebral fissure. The helper should allow the drop to hang from the tip of the dropper, and then touch the drop (but not the dropper tip) to the eyelid margin to allow the drop to enter the eye.
While complete face-down positioning is probably one of the keys to surgical success, it can be onerous and even painful for patients. Offering a variety of positions makes the task more achievable. Surgeons who recognize this and make an effort to suggest viable options will enjoy better patient adherence and, most likely, better outcomes.
SURGICAL MANAGEMENT OF MACULAR HOLES
Diagnostic Advances
Treatment algorithms are predicated on accurate diagnosis. Most cases of macular hole are readily diagnosed by clinical examination and biomicroscopy and OCT has maximized the accuracy in the diagnosis of early holes. There is a growing differential diagnosis of pseudoholes, as macular holes are being recognized at earlier stages. The next generation of OCT, spectral-domain OCT, may offer additional benefits for select patients. However, even OCT may possibly offer misleading information; if unusual events such as "spontaneous improvements" occur, it may be that these were not truly full-thickness macular holes from the start. While there are some unequivocal spontaneous closures,22 it is the authors' experience that the frequency is lower than in some reports.
Surgical Indications
A reasonable recommendation is to consider the surgery based on an accurate diagnosis for full-thickness hole, but to modify the timing based on the VA. For example, if the VA is 20/30 and there is a linear type hole, with any shadow of doubt as to whether this represents full thickness, then another month of waiting probably does not diminish the anatomical visual success and may help to clarify the clinical course.
Figure 5. Patient comfortably positioned on Florida patio.
Surgical Technique
The preponderance of data suggests that ILM peeling improved results, possibly via the mechanism of stimulating a reproduceable "dosing" of glial cell reaction.20 Dyes such as indocyanine green (ICG) have been instrumental in facilitating ILM peeling.23 Certainly this simplifies an otherwise challenging maneuver. Controversy over the toxicity of ICG23,24 and its discontinuance has limited availability. Other stains have a shorter track record, but are being actively evaluated, including trypan blue25 and brilliant blue G.26 Also, although not truly a stain, particular triamcinolone acetonide has been utilized27 and is helpful once the edge of the ILM has been removed.
Internal Tamponade Choice
The first reported macular hole surgery utilized SF6, which provides a median duration retinal tamponade. In subsequent years, many surgeons incorporated a longer acting gas (C3F8).28 At the other end of the spectrum, other surgeons have advocated the use of air only. Commensurate with this, an even lesser degree of face-down position has been advocated.7 There is not a clear consensus, but generally 1 week of face-down positioning is recommended by the authors.
The inability of patients to adhere to face-down positioning has led some to consider the use of silicone oil for internal tamponade.29 However, several reports seems to indicate inferior results with oil, and currently, it is rarely used.30,31
SUMMARY
Macular hole surgery continues to represent a gratifying and relatively large segment of a vitreoretinal surgical practice. Recent advances in imaging have allowed for more accurate diagnosis, enabling more precise targeting of surgical efforts. Surgical techniques involving ILM peeling coupled with earlier diagnosis of patients have improved success rates. For postoperative recovery, medium-duration internal-acting tamponade with face-down positioning for approximately 1 week remains a generally accepted approach. With preoperative counseling, patients can understand and better perform positioning. Additionally, several devices are available to help facilitate this difficult requirement for patients. RP
REFERENCES
1. Knapp H. Ueber isolirte zerrissungen der aderhaut in folge von traumen auf dem augapfel. Arch Augenheilk. 1869;1:6-29.
2. Noyes HD, Detachment of the retina with laceration at the macula lutea. Trans Amer Ophthal Soc. 1871;1:128-129.
3. Kelly NE, Wendel RT. Vitreous surgery for idiopathic macular holes. Results of a Pilot Study. Arch Ophthalmol. 1991;109:654-659.
4. Brooks HL Jr. Macular hole surgery with and without internal limiting membrane removal. Ophthalmology. 1999;106(Suppl):258.
5. Mester V, Kuhn F. Internal limiting membrane removal in the management of macular holes. Am J Ophthalmol. 2000;129:769-777.
6. Park DW, Sipperley JO, Sneed SR, Dugel PU, Jacobsen J. Macular hole surgery with internal-limiting membrane peeling and intravitreous air. Ophthalmology. 1999;106:1392-1398.
7. Tornambe PE, Poliner LS, Grote KD. Macular hole surgery without face-down positioning: a pilot study. Retina. 1997;17:179-185.
8. Hee MR, Puliafito CA, Wong C, et al. Optical coherence tomography of macular holes. Ophthalmology. 1995;102:748-756.
9. Smiddy WE, Gass JDM. Masquerades of macular holes. Ophthalmic Surg. 1995;26:16-24.
10. Chan A, Duker JS, Schuman JS, Fugimoto JG. Stage 0 macular holes. Observations by OCT. Ophthalmology. 2004;111:2027-2032.
11. Smiddy WE, Sjaarda RN, Glaser BM, et al. Reoperation after failed macular hole surgery. Retina. 1996;16:13-18.
12. Patel AC, Wendel RT. Vitrectomy for macular hole. Ophthalmology. 1994;9:47-55.
13. Ullrich S, Haritoglou C, Gass C, Schaumberger M, Ulbig MW, Kampik A. Macular hole size as a prognostic factor in macular hole surgery. Br J Ophthalmol. 2002;86:390-393.
14. Sulkes DJ, Smiddy WE, Flynn HW Jr., Feuer W. Outcomes of macular hole surgery in severely myopic eyes: a case-control study. Am J Ophthalmol. 2000;130:335-339.
15. Chow DR, Williams GA, Trese MT, Margherio RR, Ruby AJ, Ferrone PJ. Successful closure of traumatic macular holes. Retina. 1999;9:405-409.
16. Yamashita T, Uemara A, Uchino E, Doi N. Ohba N. Spontaneous closure of traumatic macular hole. Am J Ophthalmol. 2002;133:230-235.
17. Banker AS, Freeman WR, Kim JW, et al. Vision-threatening complications of surgery for full-thickness macular holes. Ophthalmology. 1997;104:1442-1452. Discussion:1452-1453.
18. Tabandeh H, Chaudhry NA, Smiddy WE. Retinal detachment associated with macular hole surgery: characteristics, mechanism, and outcomes. Retina. 1999;19:291-286.
19. Schubert HD, Kuang K, Kang F, Head MW Fischbarg J. Macular hole: migratory gaps and vitreous as obstacles to glial closure. Greafe's Arch Clin Exp Ophthalmol. 1997;235:523-529.
20. Smiddy WE. Macular hole update. Retinal Physician. 2006;3:40-47.
21. Treister G, Wygnanski T. Pressure sore in a patient who underwent repair of a retinal tear with gas injection. Graefe's Arch Clin Exp Ophthalmol. 1996;234:657-658.
22. Punjabi OS, Flynn HW Jr, Legarreta JE, et al. Documentation by spectral domain OCT of spontaneous closure of idiopathic macular holes. Ophthalmic Surg Lasers Imaging. 2007;38:In Press.
23. Gandorfer A, Haritoglou C, Gass CA, et al. Indocyanine green-assisted peeling of the internal limiting membrane may cause retinal damage. Am J Ophthalmol. 2001;132:431-433.
24. Mavrofrides E, Smiddy WE, Kitchens JW, et al. Indocyanine green-assisted internal limiting membrane peeling for macular holes. Toxicity? Retina. 2006;26:637-644.
25. Teba FA, Mohr A, Eckardt C, et al. Trypan blue staining in vitreoretinal surgery. Ophthalmology. 2003;110:2409-2412.
26. Enaida H, Hisatomi T, Hata Y, et al. Brilliant blue G selectively stains in the internal limiting membrane/brilliant blue G-assisted membrane peeling. Retina. 2006;26:631-636.
27. Horio N, Horiguchi M, Yamamoto N. Triamcinolone-assisted internal limiting membrane peeling during idiopathic macular hole surgery. Arch Ophthalmol. 2005;123: 96-99.
28. Glaser BM, Michels RG, Kuppermann BD, Sjaarda RN, Pena RA. Transforming growth factor-beta 2 for the treatment of full-thickness macular holes. A prospective randomized study. Ophthalmology. 1992;99:1162-1172.
29. Goldbaum MH, McCuen BW, Hanneken AM, et al. Silicone oil tamponade to seal macular holes without position restrictions. Ophthalmology. 1998;105:2140-2147.
30. Lai JC, Stinnett SS, McCuen BW II. Comparison of silicone oil versus gas tamponade in the treatment of idiopathic full-thickness macular hole. Ophthalmology. 2003;110:1170-1174.
31. Couvillion SS, Smiddy WE, Flynn HW Jr., et al. Outcomes of surgery for idiopathic macular hole: a case-control study comparing silicone oil with gas tamponade. Ophthalmic Surg Lasers Imaging. 2005;36:365-371.







