Adult ROP: Late Complications of Retinopathy of Prematurity
POLLY A. QUIRAM, MD, PhD. ANTONIO CAPONE Jr., MD
Retinopathy of prematurity (ROP) is a potentially blinding eye disease. The International Classification of Retinopathy of Prematurity (ICROP)1,2 and the Cryotherapy for Retinopathy of Prematurity (CRYO-ROP) trials3-7 have had a profound impact on the way in which we screen, treat, and discuss ROP. The increasing survival rate of premature infants over the past 40 years has significantly increased the number of adults currently living with retinal abnormalities caused by ROP. Screening and treatment recommendations from the CRYO-ROP and Early Treatment for ROP (ETROP) studies have significantly improved outcomes during the acute phase of ROP. However, patients with regressed ROP may develop a multitude of late complications in adulthood.
The CRYO-ROP study correlated the incidence and severity of ROP with lower birth weight and earlier postconceptional age.8 Although technologic advances have allowed increased survival of extremely premature infants, data from the ETROP study indicate that the overall incidence of ROP in the United States has been constant over the past 20 years9. The improvement of screening and earlier intervention has mitigated the overall impact of advanced ROP despite the increased incidence of severe posterior (zone 1) ROP in smaller and younger infants. Despite these advances, progression to retinal detachment occurred in 12% of eyes in the ETROP study with adequate peripheral ablation.
Although the incidence of ROP has been stable in the United States, it has become an emerging problem world-wide. Middle-income countries, such as those in Latin America, Asia, and Eastern Europe, have reported increased infant survival with the introduction of neonatal intensive-care services for low-birthweight babies. Recent reports from these countries describe infants with ROP who tend to be larger and more mature.10
| Polly A. Quiram, MD, PhD, and Antonio Capone Jr., MD, are ophthalmologists with Associated Retinal Consultants in Royal Oak, Mich, and William Beaumont Hospital, also in Royal Oak. Neither author has any financial interest in any product mentioned in this article. Dr. Quiram can be reached at (248) 288-2280 or via e-mail at pollyquiram@yahoo.com. |
EVOLUTION OF ROP TREATMENT
The CRYO-ROP studies determined that treating threshold diseases (stage 3 ROP in at least 5 contiguous or 8 noncontiguous clock hours) improved visual and structural outcomes in premature infants throughout the data-collection period of 10 years.3-7,11 Because zone 1 eyes almost always progress to threshold,12 the benefits of earlier treatment were investigated in the ETROP study.13 This study demonstrated that ablative therapy was beneficial for (1) any eye that has any stage of ROP in zone 1 with plus disease, (2) stage 3 ROP in zone 1 with or without plus disease, and (3) stage 2 or 3 ROP in zone 2 with plus disease.13 The 2-year data for ETROP show that unfavorable outcomes (defined as retinal folds or detachment) decreased from 15.4% to 9.1% in eyes that received early treatment.14
GENERATIONS OF ADULT ROP
Boomer ROP
Retinopathy of prematurity was an unknown disease before the 1940s because severe prematurity was often fatal. Improving premature infant survival in the period between the 1940s and the introduction of ROP treatment in the 1980s yielded the first generation of ROP: the "Boomer ROP" generation. This generation of patients with adult ROP, now 20 to 60 years of age, had no standardized ROP therapy. In general, these patients had active ROP during infancy, but their ROP involuted without treatment. Compared with premature infants of today, these infants had higher birthweights and more anterior disease.
Ablation Generation
The next generation of adult ROP developed around the time of the CRYO-ROP study or later; these patients underwent peripheral ablation. This group of patients with adult ROP has been dubbed the "Ablation Generation," with the oldest members of this group now 20 years old. These infants often had lower birthweights with very posterior ROP. Their low birthweights predisposed them to other comorbidities that could have an impact on visual function. The best long-term data from the "Ablation Generation" is derived from the CRYO-ROP study. Although the benefits of peripheral retinal ablation persist across time, there was a gradual increase in unfavorable structural outcomes between the 1-year and 15-year outcome assessments. In treated eyes, unfavorable outcomes averaged 0.35% per year, while control eyes averaged 0.51% per year. New retinal detachments were observed in both treated eyes and control eyes.15 It is not known whether earlier treatment with laser ablation will improve visual and structural outcomes over the long term.
In summary, the 2 generations of adult ROP are unique in several regards. Boomer ROP adults are more likely to have ROP-related proliferation located anteriorly in zones 2 and 3. Ablation generation patients were less gestationally mature at birth, are more likely to have posterior zone 1 ROP, and are also more likely to have comorbidities, some of which may impair visual function.
Figure 1. Minimal peripheral findings associated with adult ROP including vascular straightening (yellow arrow) and pigment stippling (black arrow).
CLINICAL FEATURES OF ADULT ROP
Following the acute phase of ROP, vascular activity diminishes and ROP may regress. Once regressed, retinal changes may occur including peripheral vascular abnormalities (Figure 1), pigmentary changes of the retina (Figure 1), cicatricial vitreoretinal interface abnormalities (Figure 2), peripheral retinal folds, lattice-like degeneration, dragging of the retina (Figure 3), retinal breaks (Figure 4), and tractional and rhegmatogenous retinal detachment.2
In a series by Kaiser and colleagues,16 a staging system was proposed to describe the fundus findings in eyes that have not been treated with proliferative retinal ablation (Boomer ROP). This system provides an overview of the range of fundus findings in the adult population (see the Table). These changes range from minimal peripheral findings, such as vascular straightening and pigment stippling, to peripheral cicatricial changes and macular ectopia (Figures 1 to 3). Retrospective studies by Kaiser and colleagues and Smith and Tasman16,17 underscore the high frequency of retinal pathology in adult ROP eyes in the Boomer ROP generation. In these studies, 14% to 26% of eyes with adult ROP experienced retinal detachment, 8% to 11% of eyes developed retinal tears, 9% to 11% had lattice degeneration, 7% to 8% had retinal folds, and 34% displayed retinal dragging (ectopia). An interesting observation from Kaiser and colleagues was that most eyes that developed retinal tears or detachment had peripheral lattice and avascular retina with minimal posterior cicatricial ROP changes, suggesting that even relatively "normal"-appearing eyes with adult ROP are at risk for detachment. Additional findings included exudative detachments and a high degree of myopia (-6 D on average).
Several other authors have reported their experience with late-onset retinal detachments as a result of adult ROP.18-23 They found that regressed ROP-associated retinal detachments can occur at any time during the life of the patient. Interestingly, visual acuity (VA) was quite variable in eyes that did not experience detachment. One series identified eyes with advanced posterior-segment pathology, but with VAs of 20/15 to 20/60, indicating that aggressive visual rehabilitation is important to allow development of complete visual potential.22
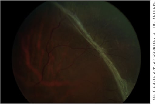
Figure 2. Characteristic cicatricial findings of adult ROP.
Figure 3. Advanced changes with (A) posterior pole vascular straightening, (B) macular ectopia, and (C) typical OCT findings in macular ectopia with broadening of the foveal contour and flattening of the clivus.
Similar to the posterior pole, complications of the anterior segment are not uncommon in adult ROP. Early-onset cataract and acute angle-closure glaucoma frequently occur in the third decade.24 Abnormal development of the anterior segment structures and anterior displacement of the lens-iris diaphragm is the proposed etiology for the anterior pathology. In addition, strabismus is a common finding among premature infants. Two studies determined a 13.5% to 20% incidence of strabismus in premature children with ROP compared to a 4% incidence in premature children without ROP.25,26
SURGICAL MANAGEMENT OF ADULT ROP-RELATED RETINAL DETACHMENTS
Data from 3 of the largest retrospective series in the modern vitreoretinal surgical era demonstrate a high primary-repair fail rate of adult ROP-associated retinal detachments when scleral buckle alone was performed.16,20,27 For example, primary-repair failure was reported in 23% to 50% of eyes. In each report, the authors conjecture that a combined scleral buckle and vitrectomy is the most appropriate approach as the primary procedure in view of the transvitreal tractional forces encountered in such eyes.
Repair of late retinal detachments in children (age 2 to 15 years) offer a difficult surgical challenge with limited visual outcomes and decreased primary success rates. In 1 study, anatomical success following 1 surgery was 43.6%.19 VA better than 20/200 was achieved in only 2 of 16 eyes studied, possibly due to delayed detection and abnormal development of visual function.
Figure 4. Adult ROP-related retinal detachment. Retinal detachment secondary to a small break (arrow), which was not effectively repaired with encircling band, and radial element, which extended posteriorly to support the break.
CONCLUSION
For the foreseeable future, ROP is here to stay, not just in the United States but globally. The current population of formerly premature adolescents and adults is comprised of 2 distinct subgroups based upon whether peripheral retinal ablation was performed. A common denominator for these groups is a significant incidence of late retinal complications, even with minimal cicatricial ROP changes. Lifelong monitoring is necessary, and these patients should be regarded as being forever premature. RP
REFERENCES
1. Committee for the Classification of Retinopathy of Prematurity. An international classification of retinopathy of prematurity. Arch Ophthalmol. 1984;106:471-479.
2. International Committee for the Classification of the Late Stages of Retinopathy of Prematurity. An international classification of retinopathy of prematurity: II. The classification of retinal detachment. Arch Ophthalmol. 1987;105:906-912.
3. Cryotherapy for Retinopathy of Prematurity Cooperative Group. Multicenter trial of cryotherapy for retinopathy of prematurity: preliminary results. Arch Ophthalmol. 1988;106: 471-479.
4. Cryotherapy for Retinopathy of Prematurity Cooperative Group. Multicenter trial of cryotherapy for retinopathy of prematurity: ophthalmological outcomes at 10 years. Arch Ophthalmol. 2001;119:1110-1118.
5. Cryotherapy for Retinopathy of Prematurity Cooperative Group. Effect of retinal ablative therapy for threshold retinopathy of prematurity: results of Goldmann perimetry at the age of 10 years. Arch Ophthalmol. 2001;119:1120-1125.
6. Cryotherapy for Retinopathy of Prematurity Cooperative Group. Contrast sensitivity at age 10 years in children who had threshold retinopathy of prematurity. Arch Ophthalmol. 2001;119:1129-1133.
7. Dobson V, Quinn GE, Summers CG, Hardy RJ, Tung B; Cryotherapy for Retinopathy of Prematurity Cooperative Group. Visual acuity at 10 years in CRYO-ROP study eyes: effect of retinal residua of retinopathy of prematurity Arch Ophthalmol. 2006;124:199-202.
8. Palmer EA, Flynn JT, Hardy RJ, et al. Incidence and early course of retinopathy of prematurity. Ophthalmology. 1991; 98:1628-1640.
9. Early Treatment for Retinopathy of Prematurity Cooperative Group. The incidence and course of retinopathy of prematurity: findings from the Early Treatment for Retinopathy of Prematurity Study. Pediatrics. 2005;116:15-23.
10. Gilbert C, Fielder A, Gordillo L et al; International NO-ROP group. Characteristics of infants with severe retinopathy of prematurity in countries with low, middle and high levels of development:implications for screening programs. Pediatrics. 2005;115:518-525.
11. Cryotherapy for Retinopathy of Prematurity Cooperative Group. Multicenter trial of cryotherapy for retinopathy of prematurity: 3 1/2-year outcome — structure and function. Arch Ophthalmol. 1993;111:339-344.
12. Kivlin JD, Biglan AW, Gordon RA, et al. Early retinal vessel development and iris vessel dilatation as factors in retinopathy of prematurity. Arch Ophthalmol. 1996;114:150-154.
13. Early Treatment for Retinopathy of Prematurity Cooperative Group: Revised Indications for the Treatment of Retinopathy of Prematurity: results of the Early Treatment for Retinopathy of Prematurity Randomized Trial. Arch Ophthalmol. 2003;121:1684-1694.
14. Good WV; Early Treatment for Retinopathy of Prematurity Cooperative Group. Early Treatment for Retinopathy of Prematurity study: structural findings at age 2 years. Br J Opthalmol. 2006;90:1378-1382.
15. Retinopathy of Prematurity Cooperative Group. 15-year outcomes following threshold retinopathy of prematurity: final results from the Multicenter Trial of Cryotherapy for Retinopathy of Prematurity. Arch Ophthalmol. 2005;123:311-318.
16. Kaiser RS, Trese MT, Williams GA, Cox MS Jr. Adult retinopathy of prematurity: outcomes of rhegmatogenous retinal detachments and retinal tears. Ophthalmology. 2001;108:1647-1653.
17. Smith BT, Tasman WS Retinopathy of prematurity:late complications in the baby boomer generation (1946-1964). Trans Am Ophthalmol Soc. 2005;103:225-236.
18. Tasman W, Brown GC. Progressive visual loss in adults with retinopathy of prematurity (ROP). Tr Am Opth Soc. 1988;86:357-379.
19. Park KH, Hwang JM, Choi MY, Yu YS, Chung H. Retinal detachment of regressed retinopathy of prematurity in children aged 2 to 15 years. Retina. 2004;24:368-375.
20. Tufail A, Singh AJ, Haynes RJ, Dodd CR, McLeod D, Charteris DG. Late onset vitreoretinal complications of regressed retinopathy of prematurity. Br J Ophthalmol. 2004;88:243-246.
21. Terasaki H, Hirose T. Late onset retinal detachment associated with regressed retinopathy of prematurity. Jap J Ophthamol. 2003;47:492-497.
22. Ferrone PJ, Trese MT, Williams GA, Cox MS. Good visual acuity in an adult population with marked posterior segment changes secondary to retinopathy of prematurity. Retina. 1998;18:335-338.
23. Machemer R. Late traction detachment in retinopathy or ROP like cases. Graefes Arch Clin Exp Ophthalmol. 1993;231:389-394.
24. Smith J, Shivitz I. Angle-closure glaucoma in adults with cicatricial retinopathy of prematurity. Arch Ophthalmol. 1984;102:371-371.
25. Theng JT, Wong TY, Ling Y. Refractive errors and strabismus in premature Asian infants with and without retinopathy of prematurity. Singapore Med J. 2000;41:393-397.
26. Holmstrom G, el Azazi M, Kugelberg U. Ophthalmological follow up of preterm infants: a population based, prospective study of visual acuity and strabismus. Br J Ophthalmol. 1999;83:143-150.
27. Sneed SR, Pulido JS, Blodi CF, Clarkson JG, Flynn HW Jr, Mieler WF. Surgical management of late-onset detachments associated with regressed retinopathy of prematurity. Ophthalmology. 1990;97:179-183.







