Management of Submacular Hemorrhage Associated With AMD
BELINDA L. SHIRKEY, MD
Management of subfoveal hemorrhage in age-related macular degeneration (AMD) is a challenging and difficult situation for the patient and the surgeon. How disheartening to look inside an eye to find a large clot of blood under the fovea, particularly after other treatments have already been initiated. Such a clot is a sign of submacular hemorrhage and occult choroidal neovascularization (CNV).
Even worse is the devastating loss of vision for the patient. Such patients carry an extremely poor prognosis. In this hopeful day of anti-vascular endothelial growth factor (VEGF) therapy, an easy fix for those patients with subretinal bleeds from AMD and devastating visual loss is yet to be found.
Part of the dilemma of finding a way to improve this condition is that these cases are infrequent. Busy retinal physicians may only see a few such cases in a year. As such, large trials are difficult to do. Avery and colleagues1 found only 41 cases during an 18-month period at a busy tertiary retinal referral center. The largest collection of submacular hemorrhages studied can be found in the Submacular Surgery Trials (SST), where 336 patients were enrolled.2,3 This feat required 25 busy tertiary care centers. Other case series of surgical interventions for submacular hemorrhage are also limited in number. One study did compare submacular hemorrhage extraction to pneumatic displacement, but the sample size of this study was low.4
Another major factor in this disease process is time. The blood is toxic to the retina and damage occurs early. Glatt and Machemer’s work5 with subretinal hemorrhage in rabbits demonstrated damage of retinal photoreceptors even at the 24-hour mark. By 7 days, the photoreceptors cells were almost absent. Subretinal hemorrhage in rabbits led to irreversible retinal destruction within 24 hours. In an experimental study in cats,Toth and colleagues6 demonstrated cross-linking of fibrin, which appeared to happen by 7 days. In humans, there may be a limited window for intervention to gain visual improvement. Indeed, Hattenbach et al7 found that duration of hemorrhage was a predictive factor of visual recovery. Those patients whose hemorrhage was less than 14 days old had a twofold chance of visual improvement compared to those whose hemorrhage was 14 to 21 days old. None of the patients with blood under the macula for longer than 21 days improved vision.
Another consideration is that even with successful management of a submacular hemorrhage, the choroidal neovascular membrane and the disease process of AMD is not ameliorated. Subfoveal blood is an anatomic problem that has an underlying metabolic etiology. Even after the blood is cleared and the vision returns, patients may have further vision loss from recurrent CNV.
The debate continues: ethically, what should be done; financially does this make sense; and, in the end, will anything improve visual function? The goal of this article is to review available treatment options.
TREATMENT OPTIONS
Current possible managements for subretinal hemorrhage include observation, treatments that do not address the damage from the hemorrhage, such as anti-VEGF medication or photodynamic therapy (PDT), and treatments that target removal of hemorrhage from the macula, such as submacular surgical extraction, pneumatic displacement with or without tissue plasminogen activator, lavage with perflurocarbon liquid, and macular translocation.
Observation
If observation is chosen as the management, the natural history of the eye is poor.1 The much hoped for spontaneous improvement was limited to only 20% of patients at 36 months time in the Wilmar natural history series. Furthermore, vision continues to deteriorate for the majority of patients. In a similar series of 33 cases by the Italian group of Scupola et al,8 80% of patients with subfoveal hemorrhage had worsening visual acuity (VA) over the course of 2 years. In those eyes, fibrous tissue proliferation, atrophic scars, and tears of retinal pigment epithelium were common. Yet another small series showed 20 eyes with AMD and submacular hemorrhage. Six eyes had a final VA of 20/80; 14 eyes had a final VA worse than 20/80.9 These studies did not classify the extent of hemorrhage or the density of the blood over the fovea. The observation arm of the SST for Hemorrhagic Choroidal Neovascular Lesions enrolled 168 patients. These patients had at least 50% of blood occupying a 3.5 disc area space involving the fovea. In 59% of the patients, a 2-line vision loss was reported at 2 years’ time.
Interventions That Do Not Displace the Blood
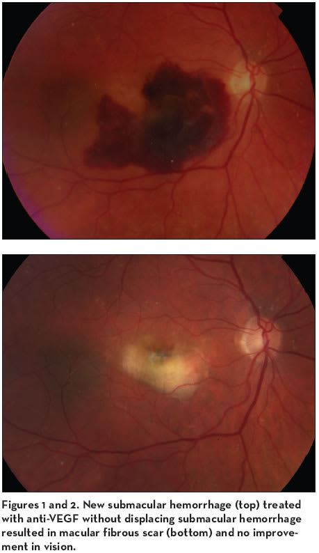
Treatment with anti-VEGF medication treats the CNV component without removing the blood. If the hemorrhage is thick, the blood remains (eg, see Figures 1 and 2). There are no studies published to date to determine visual outcomes for this subset of AMD patients with large subretinal hemorrhages. Photodynamic therapy has been attempted for submacular hemorrhage in AMD.10 Once again, the case series are too small to draw conclusive evidence of success. This method does not remove the blood. Interestingly, PDT carries a small risk of causing submacular hemorrhage, as seen in a case report of submacular hemorrhage following PDT treatment.11
Surgical Removal of the Clot
The SST Group B demonstrated that clot removal in eyes with subretinal hemorrhage greater than 3.5 disc areas did not improve vision in the 168 treated eyes. Furthermore, there was a 16% rate of rhegmatogenous retinal detachment. This national trial demonstrated that, with 25 centers participating, a reasonable number of cases could be culled for a prospective, randomized trial. However, this evidence does not support surgical clot extraction in this set of patients.
Tissue Plasminogen Activator an Adjuvant
Tissue plasminogen activator (tPA) was introduced by Lewis in 1991 and became an adjunct used to lyse clots in the patients enrolled in the SST trials. Lewis and colleagues12 demonstrated effective use of subretinal injection to tPA in rabbits with experimental subretinal hemorrhage. That group also demonstrated that tPA could be used as an adjuvant to surgical extraction in human eyes. Interestingly, 1 case series with 47 patients demonstrated that use of tPA in surgical removal of clots did not have an apparent effect on visual outcome.13
Pneumatic Displacement of the Clot
During the SST where extraction of the clot was studied, Herriot14 was first to describe pneumatic displacement of the submacular blood with an intravitreal injection of tPA and gas followed by face-down positioning. This technique, which could be performed in the office, was found to be successful in many small case series. Again, timing appears to be a factor. Visual improvement appears to be strongly correlated with duration of the hemorrhage. Complications of breakthrough vitreous hemorrhage, retinal detachment, and endophthalmitis have been reported.15-17 Although intravitreal tPA was used, there remained a question of whether the 70-kD molecule was crossing the retina to get into the subretinal clot. Kamei and colleagues18 showed that tPA did not cross the retinal barrier in rabbit eyes. In this study, rabbits with experimental subretinal hemorrhages received intravitreous injections of fluoroscein labeled tPA. The tPA was not found in the retina or subretinal clots of experimental rabbit eyes. And, indeed, visual improvement has been demonstrated in case reports using a gas bubble without concomitant injection of tPA. Discussion began about the correct dosing of tPA. The paper by Benner et al19 demonstrated that doses of 20 to 200 mg/mL given subretinally did not show ultrastructural toxic effect to retinas in cats. Concentrations of 1000 mg/L of human recombinant tPA caused severe, irreversible, toxic effects to the photoreceptor-retinal pigment epithelium complex. This toxic effect appeared to be due to the carrier vehicle rather than the human recombinant tPA protein itself. Please note that in 2003, a case study described retinal toxicity of intravitreal tPA in 1 patient who had 2 injections of 50 μg of intravitreal tPA within 3 days time.20 This patient essentially had 100 μg of tPA in the vitreous cavity with a gas tamponade. After the safety was gradually accepted, the debate began between those who advocated use of tPA injected into the vitreous cavity and those who began giving the tPA under the retina.
Creation of the Subretinal Bleb
An augmentation to the pneumatic displacement with intravitreal gas is the addition of a subretinal bleb of tPA. This technique, described by Haupert and colleagues,21 involves a vitrectomy with subretinal injection of 25 μg/0.1 mL using a 36-g cannula, without manipulation of the clot. The concept of the tPA bleb is that a limited, controlled retinal detachment will provide room for the fibrin in the clot to disengage from the photoreceptors without excessive trauma and float downward in a fluid mixture with the force of the gas tamponade and face-down positioning. This concept was derived from the macular translocation work where subretinal blebs are used to detach the retina.
The patient underwent a pars plana vitrectomy (PPV) and creation of a hyaloid detachment. A location was selected to infuse the tPA for the retinal bleb. This was usually superior to the submacular hemorrhage. Vessels were avoided. A bullous retinal detachment was created by infusing tPA with the smallest bore cannula available. Approximately 0.1 to 0.2 mL was used for a total subretinal tPA dose of 100 μg (not milligrams).
Care was taken to avoid injection into the choroids. No laser was used around the small entry-site retinotomy. Without any waiting period, an air fluid-gas exchange was performed with gentle aspiration at the disc without any attempt to evacuate the blood. The eye was filled with nonexpansive, short-acting gas, sulfur hexafluoride (SF6). The patients were placed face down as soon as possible so that the fluid and clot would shift inferiorly.
All patients demonstrated displacement of the hemorrhage outside of the fovea. Nine of 11 patients in their series had VA improvement. Subsequent recurrence of hemorrhage occurred in 27% of the patients. This series, published in 2001, was well before the anti-VEGF medication era.
In 2004, a second series of a similar technique was published by Oliveier and colleagues.22 They used a 39-g flexible translocation cannula attached to the viscous fluid injector and chose a retinotomy site inferior to the submacular hemorrhage. Less tPA was used. They halved the concentration of tPA by infusion 125 mg/mL or 12.5 μg/0.1 mL. So these patients, if given approximately 0.2 mL of subretinal fluid, would have received a total dose of 25 μg of subretinal tPA.
The patients were left with air instead of gas in this series. The surgeons achieved complete displacement of submacular hemorrhage in 25 of the 29 patients in this series. The remaining 4 patients had a subtotal displacement. None of the patients in either series had postoperative retinal detachment. This was quite an improvement from the 16% retinal detachment rate seen with surgical extraction of the clot in the SST Group B trial.
Lavage of the Submacular Clot with Perflurocarbon Liquid
Another technique that has been suggested by Kamei and colleagues23,24 is use of subretinal tPA and peripheral retinotomy and displacement by perflurocarbon liquid. In this procedure, designed for massive subretinal hemorrhages, a PPV is performed after intravitreal injection of tPA. A peripheral hole is made to drain the lysed blood clot after the blood has been squeezed from a posterior location to the area of the hole by the heavy liquid perflurocarbon. These publications are small case series, so it is difficult to draw conclusions about visual improvement.
Macular Translocation
Another theoretical option to remove subretinal hemorrhage is macular translocation. Although the surgical feat of macular translocation does have retinal detachment (RD) as a postoperative complication, this technique is another option for submacular hemorrhage treatment. This challenging surgery involves 360º retinotomy close to the ora, which allows easy access to the subretinal space. In this surgery, clots could be removed and the retinal displaced on a healthy bed of retinal pigment epithelium (see Figures 3, 4, and 5). To date, the subset of patients with submacular hemorrhage has not been published with macular translocation. There exists a theoretical risk of increased rates of RD and proliferative vitreoretinopathy with surgery in eyes with massive subretinal hemorrhage.
CASE EXAMPLES
Of course not all submacular hemorrhages are created equal. They come in all shapes and sizes and depths. The available natural history studies did not classify the extent of hemorrhage in the small-case analysis. Presumably, small thin hemorrhage under the fovea most likely would have a far better prognosis than the dense choroidal hemorrhage with serous retinal detachment.
Also, baseline vision should be considered. For example, one patient with a dense central scar with a new
submacular hemorrhage would not have benefitted from surgical intervention. Likewise, a chronic subfoveal hemorrhage where dehemoglobinized blood was seen would most likely have already caused irreversible damage. In this case, surgical intervention would not have provided visual benefit.
The debate lingers for those who advocate in-office pneumatic displacement with a short-acting gas or those willing to proceed to the operating room for retinal submacular surgery with tPA bleb and pneumatic displacement.
For another patient with vision loss to count fingers with a fresh submacular hemorrhage, like the patient described above, the technique of the tPA subretinal bleb with pneumatic displacement was chosen. In this case, approximately 0.2 mL of tPA (concentration 12.5 μg/0.1 mL) was infused through a flexible small-tip cannula. The location of the retinotomy site was chosen superior to the hemorrhage. Certainly, anti-VEGF medication could have been used prior to surgery, but vitrectomy would wash out some unknown portion of the medicine. It could have been given at the end of the case as well. It was decided in this case to see whether the neovascular complex would be active after the blood was cleared without the addition of anti-VEGF.
The blood shifted inferiorly leaving the macular region clear of dense hemorrhage. A fluoroscein angiogram was performed 1 week after displacement, which revealed no treatable CNV lesion. Yet, after several weeks, a new occult lesion was seen and intravitreal anti-VEGF medication was used. The vision stabilized to the 20/200 level and still requires close observation and maintenance with anti- VEGF medication.
The next patient is one who had PDT previously and had a baseline vision of 20/400. He experienced this massive hemorrhage 18 days after anti-VEGF medication. This patient went on to have spontaneous breakthrough bleeding into the vitreous. A PPV was performed to clear the hemorrhage. No attempt at submacular hemorrhage removal was attempted in this patient because of his prior poor baseline vision. The patient remains 20/400 with an atrophic ring scar.
Obviously, case selection will be critical in determining which patients may benefit from surgical intervention and pneumatic displacement of hemorrhage. Patients with new onset, dense hemorrhages, preferably those macular bleeds that are less than 1 week old are the best candidates for visual improvement.
THE AGE OF ANTI-VEGF MEDICATION
In successful pneumatic displacement of hemorrhage, final vision was limited due to recurrence of the underlying CNV. All of the studies cited in this article were performed without the aid of anti-VEGF medication. After clearing the hemorrhage, treatments of PDT or thermal laser was used. Interestingly, only half of the patients from the SST Group B and in other series had a treatable lesion after clearing of the hemorrhage. Today, anti-VEGF gives us the advantage of treating the underlying cause at the same time as clearing the blood.
In those patients with submacular hemorrhage, with pneumatic treatment in office or with a vitrectomy and pneumatic displacement, the pharmacokinetics of the intravitreal drug will be affected. What dose of anti-VEGF should be given in an eye with a gas bubble displacing the submacular hemorrhage? Will the effect of vitrectomy reduce the half-life of the intravitreal anti-VEGF medication? A study in rabbits demonstrated a shortening of the half-life of triamcinolone acetonide in vitrectomized eyes.25
Currently, anti-VEGF treatment can be given intravitreally prior to pneumatic displacement of the hemorrhage. Alternatively, it could be given at the end of the pneumatic displacement if air is used instead of a gas bubble. Perhaps in the future, anti-VEGF agents could be used subretinally instead of the tPA prior to pneumatic displacement. An aggressive approach to dense submacular hemorrhage makes more sense now because the underlying CNV can be treated.
The incidence of submacular hemorrhage may change in the age of anti-VEGF use.Wouldn’t it be nice if submacular hemorrhage became even more rare in the age of anti-VEGF maintenance? Only time will tell if this is the case or if the incidence of submacular hemorrhage increases when the anti-VEGF medication wears off and there is an upregulation of VEGF receptors. Meanwhile, the press surrounding the new medications may alter the timing factor. More patients and doctors are viewing AMD as a potentially treatable disease. This may bring submacular hemorrhage patients to retinal specialists earlier, and treatment can be initiated earlier for better visual benefit.
REFERENCES
1. Avery RL, Fekrat S, Hawkins BS, Bressler NM. Natural history of subfoveal subretinal
hemorrhage in age-related macular degeneration. Retina.1996;
16:183-189.
2. Submacular Surgery Trials (SST) Research Group. Surgery for hemorrhagic
choroidal neovascular lesions of age-related macular degeneration: ophthalmic
findings, SST Report Number 13. Ophthalmology. 2004;111:1193-2006.
3. Submacular Surgery Trials (SST) Research Group. Surgery for hemorrhagic
choroidal neovascular lesions of age-related macular degeneration: ophthalmic
findings, SST Report Number 14. Ophthalmology. 2004;111:2007-2014.
4. Thompson JT, Sjaarda RN. Vitrectomy for the treatment of submacular hemorrhages
from macular degeneration: a comparison of submacular
hemorrhage/membrane removal and submacular tissue plasminogen activatorassisted
pneumatic displacement. Trans Am Ophthalmol Soc.
2005;103:98-107.
5. Glatt H, Machemer R. Experimental subretinal hemorrhage in rabbits. Am J
Ophthalmol. 1982;94:762-773.
6. Toth CA, Morse LS, Hjelmeland LM, Landers MB 3rd. Fibrin directs early retinal
damage after experimental subretinal hemorrhage. Arch Ophthalmol.
1991;109:723-729.
7. Hattenbach LO, Klais C, Koch FH, Gumbel HO. Intravitreous injection of tissue
plasminogen activator and gas in the treatment of submacular hemorrhage
under various conditions. Ophthalmology. 2001;108:1485-1492.
8. Scupola A, Coscas G, Soubrane G, Balestrazzi E. Natural history of macular
subretinal hemorrhage in age-related macular degeneration. Ophthalmologica.
1999;213:97-102. (Abstract)
9. Berrocal MH, Lewis ML, Flynn HW Jr. Variations in the clinical course of submacular
hemorrhage. Am J Ophthalmol. 1996;122:486-493.
10. Ruiz-Moreno JM, Montero JA, Barile S. Tiramcinolone and PDT to treat exudative
age-related macular degeneration and submacular hemorrhage. Eur J
Ophthalmol. 2006;16:426-434.
11. Diaz-de-Durana-Santa-Coloma E, Fernandez-Ares ML, Iturralde-Erea D,
Salazar-Diez JL, Vazquez-Cruchaga E, Lopez-Garrido JA. Submacular hemorrhage
following photodynamic therapy in the treatment on choroidal neovascularization.
Arch Soc Esp Oftalmol. 2006;81:685-692. (Abstract)
12. Lewis H, Resnick SC, Flannery JG, Straatsma BR. Tissue plasminogen activator
treatment of experimental subretinal hemorrhage. Am J Ophthalmol. 1991;
111:197-204.
13. Ibanez HE, Williams DF, Thomas MA, et al: Surgical management of submacular
hemorrhage. A series of 47 consecutive cases. Arch Ophthalmol.
1995;113:62-69.
14. Herriot WJ. Further experience in management of submacular hemorrhage
with intravitreal tPA. In: Proceedings of the 1997 Update on Macular Surgery.
San Francisco, Calif: American Academy of Ophthalmology;1997:82-84.
15. Karlsson E, Carlsson J, Crafoord S, et al. Tissue plasminogen activator and
expanding gas intravitreally in treatment of submacular hemorrhage. Acta
Ophthalmol Scand. 1999;77:119. (Abstract)
16. Hassan AS, Johnson MW, Schneiderman TE, et al. Management of submacular
hemorrhage with intravitreous tissue plasminogen activator injection and
pneumatic displacement. Ophthalmology. 1999;106:1900-1906.
17. Handwerger BA, Blodi BA, Chandra SR, Olsen TW, Stevens TS. Treatment of
submacular hemorrhage with low-dose intravitreal tissue plasminogen activator
injection and pneumatic displacement. Arch Ophthalmol. 2001;119:28-32.
18. Kamei M, Misono K, Lewis H. A study of the ability of tissue plasminogen activator
to diffuse into the subretinal space after intravitreal injection in rabbits.
Am J Ophthalmol. 1999;128:739-46.
19. Benner JD,Morse LS, Toth CA, et al. Evaluation of commercial recombinant tissue-
type plasminogen activator preparation in the subretinal space of the cat.
Arch Ophthalmol. 1991;109:1731-1736.
20. Chen SN, Yang TC, Ho CL, Kuo YH, Yip Y, Chao AN. Retinal toxicity of intravitreal
tissue plasminogen activator: case report and literature review.
Ophthalmology. 2003;110:704-708.
21. Haupert CL, McCuen BW 2nd,Jaffe GJ, et al. Pars plana vitrectomy, subretinal
injection of tissue plasminogen activator, and fluid-gas exchange for displacement
of thick submacular hemorrhage in age-related macular degeneration.
Am J Ophthalmol. 2001;131:208-215.
22. Olivier S, Chow DR, Packo KH, MacCumber MW, Awh CC. Subretinal recombinant
tissue plasminogen activator injection andpneumatic displacement of
thick submacular hemorrhage in age-related macular degeneration.
Ophthalmology. 2004;111:1201-1208.
23. Kamei M, Tano Y, Maeno T, Ikuno Y, Mitsuda H, Yuasa T. Surgical removal of
submacular hemorrhage using tissue plasminnogen activator and perfluorocarbon
liquid. Am J Ophthalmol. 1996;121:267-75.
24. Oshima Y, Ohji M,Tano Y. Pars plana vitrectomy with peripheral retinotomy after
injection of preoperative intravitreal tissue plasminogen activator: a modified
procedure to drain massive subretinal hemorrhage. Br J Ophthalmol. 2007;
91:193-198.
25. Chin HS, Park TS, Moon YS, Oh JH. Difference in clearance of intravitreal triamcinolone
acetonide between vitrectomized and nonvitrectomized eyes.
Retina. 2005; 25:556-560.
Belinda L. Shirkey, MD, is clinical assistant professor of ophthalmology at the New York Eye and Ear Ear Infirmary and is a vitreoretinal specialist with Vitreous Retina Macula Consultants of New York. Dr. Shirkey has no financial interest in any products mentioned in this article. She may be reached at (212) 861-9797.







