Treating Diabetic Macular Edema With Ocular NSAIDs
BY PATRICK WILLIAMS, MD, AND DAVID CALLANAN, MD
Third in a series exploring the viability of NSAIDs in the treatment of CME and DME
Due to the many side effects that are possible when using current treatments for diabetic macular edema (DME), clinicians are constantly searching for safer alternatives. In particular, we are seeking better alternatives to treat mild DME cases. Here, we will explore current and emerging treatment options and review the benefits and drawbacks of each.
FOCAL LASER TREATMENT
Focal laser treatment, while relatively benign, carries the small risk of scotoma or foveal burns if the microaneurysms are close to the fovea. Microaneurysms at the edge of the foveal avascular zone can therefore be difficult to treat. When the microaneurysms at the edge of the foveal avascular zone preclude focal laser, observation and glucose control may be the preferred treatment options.
STEROID TREATMENT
Off-label intravitreal triamcinolone acetonide (Kenalog, Bristol-Meyers Squibb) has become a common treatment for DME. It has the advantage of producing a quick and substantial improvement in edema,1 however, glaucoma, cataract and endophthalmitis are well-documented risks.
ANTI-VEGF TREATMENT
More recently, off-label intravitreal bevacizumab (Avastin, Genentech) has shown promise for DME.2 Although bevacizumab does not appear to have the same risk of glaucoma or cataract as triamcinolone, any intravitreal injection carries the risk of endophthalmitis. In patients with mild edema and relatively good visual acuity, the risk of endophthalmitis often outweighs the rewards of intravitreal injection.
NSAID TREATMENT
Topical nonsteroidal anti-inflammatory drugs (NSAIDs) have been used for pseudophakic macular edema for years.3 However, there is some debate as to the mechanism of action. The improvement in edema simply may be due to reduced anterior segment inflammation instead of a direct action on the retinal vasculature. Many physicians have extrapolated the positive results in pseudophakic macular edema to DME, although little scientific evidence of a benefit exists.
| In patients with mild edema and relatively good visual acuity, the risk of endophthalmitis often outweighs the rewards of intravitreal injection. |
Established topical NSAIDs include ketorolac tromethamine ophthalmic solution 0.4% (Acular LS, Allergan) and diclofenac sodium ophthalmic solution 0.1% (Voltaren, Novartis Ophthalmics), both of which are FDA-approved treatments. However, there is little scientific evidence to suggest the drugs can penetrate sufficiently to the posterior segment to treat cystoid macular edema (CME) directly.
NEWER-GENERATION NSAIDS
The topical NSAIDs nepafenac ophthalmic suspension 0.1% (Nevanac, Alcon) and bromfenac ophthalmic solution 0.09% (Xibrom, ISTA Pharmaceuticals) are also FDA-approved for inflammation associated with cataract surgery. Nepafenac is a prodrug that is hydrolyzed into amfenac by intraocular tissues, including uveal tissue and retina. Neither nepafenac nor bromfenac is approved for posterior segment disease or pseudophakic macular edema, although studies are under way to determine their efficacy in pseudophakic macular edema.
In animal studies, there are some indications that nepafenac can penetrate sufficiently to the posterior segment to have a direct effect on the retinal vasculature.4 NSAIDs are known to reduce vascular hyperpermeability associated with tissue inflammation, and increased inflammatory markers have been found in diabetic retinopathy.5 Therefore, nepafenac and bromfenac may have an increased benefit over ketorolac or diclofenac in the treatment of DME because of a direct effect on the retinal vasculature. Recently, some clinicians have explored the viability of nepafenac and bromfenac to reduce DME because of this potential.
Topical NSAIDs have a beneficial side effect profile, especially when compared to intravitreal injections. Conjunctival hyperemia, corneal infiltrates, ocular pain and headache have been reported. Also, NSAIDs have been shown to increase operative bleeding and have the potential for cross-sensitivity with acetylsalicylic acid. However, there is no risk of cataract or glaucoma. Because NSAIDs are applied topically, endophthalmitis is not a risk, and NSAIDs cannot destroy the foveal center like focal laser (although this is exceedingly rare with focal laser).
LIMITATIONS OF TREATMENT WITH NSAIDS
Like any daily regimen, NSAIDs require compliance and continued use. They do not reverse the disease process but merely attempt to control the vascular damage. The edema would likely return with drug cessation if no other intervention is applied. Glucose control must be stressed. Long-term administration also creates an issue of cost. If medical therapy is required for years, the upfront cost of focal laser could actually save money for the patient after all costs are considered.
The two following cases are examples of the use of nepafenac for DME. There are no data to suggest that any NSAID is more efficacious than another. These cases do, however, suggest an anatomic benefit for topical NSAIDs in DME. In one case, the vision improved considerably, while, in the second case, the acuity improved only one Snellen line.
| NSAIDs … reduce vascular hyperpermeability associated with tissue inflammation, and increased inflammatory markers have been found in diabetic retinopathy. |
IMPROVING ACUITY, FOVEAL THICKNESS
A 66-year-old woman with a medical history of type II diabetes mellitus for 20 years and essential hypertension presented to us in 1997 with DME and pseudophakia in the left eye. Between 1997 and 2006, she underwent numerous treatments for DME in the left eye.
In 1997, she was treated with focal laser. In 1999, we performed pars plana vitrectomy with peeling of the posterior hyaloid because of vitreomacular traction. We also performed panretinal photocoagulation at the same time. Later that year and in 2003, she received additional focal laser treatment.
When we saw the patient in July 2006, her vision was approximately 20/250. (We used a Snellen equivalent; the patient was tested using an ETDRS chart and read 31 letters.) Optical coherence tomography (OCT) revealed a large area of cystic edema, a mild epiretinal membrane and foveal thickness of 517 μm. We prescribed nepafenac twice daily to increase the likelihood of patient compliance.
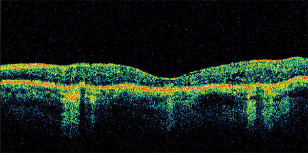
This optical coherence tomography (OCT) scan shows an eye with diabetic macular edema.
The patient returned in November 2006, and her acuity was stable at 20/250 (32 letters) OS, but the foveal thickness had improved to 155 μm. There were mild cystic changes apparent on the OCT cross section.
At her next visit in March 2007, the patient's visual acuity had improved to 20/160 (43 letters). The foveal thickness remained stable at 158 μm with mild cystic changes.
By August 2007, the patient's acuity had improved to 20/125 (46 letters) and the foveal thickness had increased to 178 μm, again with mild cystic changes.
LIMITED TREATMENT SUCCESS
In 2000, we saw a 68-year-old man with a history of type II diabetes mellitus for 23 years and a history of cataract and clinically significant macular edema in the left eye. He underwent cataract extraction with IOL placement by another surgeon, and we performed focal laser treatment. The focal laser treatment was repeated in 2000 and again in 2003. The patient also received intravitreal triamcinolone injections in 2003 and 2004.
In January 2006, he presented with 20/40 vision in the left eye. OCT revealed foveal thickness of 286 μm with mild cystic changes on the cross section. We prescribed nepafenac twice daily for the left eye. He returned in March 2006, stating that he ran out of drops the day before. His vision was stable at 20/40 without any subjective changes. OCT of the left eye showed increased cystic spaces with foveal thickness of 313 μm. We prescribed nepafenac again, but this time just once daily, to increase patient compliance.
This optical coherence tomography scan demonstrates a clear improvement in the eye following treatment with nepafenac ophthalmic suspension 0.1% (Nevanac, Alcon).
| Practice Review Supports Potential of NSAIDs to Treat DME |
|---|
| In a small review of patients in our group using nepafenac for DME, every patient had some improvement in anatomy, but only about half had a visual improvement. The lack of visual improvement may be due to two factors. First, some patients with mild macular edema but good vision were placed on nepafenac to prevent vision loss. Second, patients were started on nepafenac for chronic macular edema unresponsive to other treatment options. Some of these patients likely had some level of macular ischemia precluding visual improvement. At this time, predicting visual improvement with treatment for macular edema remains difficult. In some patients, a delayed functional improvement follows the anatomic improvement, but the reason is unclear. Hypothetically, there may be a delay in the return of retinal cellular function after the edema resolves. |
In July 2006, his visual acuity was unchanged at 20/40. The OCT scan, however, demonstrated improvement in macular edema. The cystic changes were much smaller, and foveal thickness was 234 μm. Foveal thickness improved again in August 2006 to 226 μm, without any subjective or objective visual changes. In November 2006, the patient's visual acuity improved to 20/30 without subjective change. The foveal thickness actually worsened to 250 μm with increases in cystic changes on the cross section. The increase in foveal thickness could have been due to noncompliance, systemic factors, such as glucose control, or testing variability.
REVIEWING THE CASES
These cases demonstrate an improvement in macular edema and vision in patients with diabetic retinopathy who are treated with topical nepafenac. To date, the information regarding the use of nepafenac for DME has been anecdotal.
In our group, we've had promising results using nepafenac and bromfenac for DME. In every DME case where topical nepafenac was used, we have seen an improvement in the foveal thickness.
The first case presented here represents the most dramatic improvement. Admittedly, we selected it for discussion because of the impressive result. There is a confounding variable in this case, which could explain the substantial decrease in foveal thickness. The patient had previously undergone pars plana vitrectomy, which, hypothetically, could improve the penetration of nepafenac to the posterior segment. However, based on experience, the presence of an epiretinal membrane should reduce the benefit of medical treatment for macular edema.
In the second case, the macular edema was much milder and the vision much better than that reported in the first case. The results of the second case are more representative of the results seen in our group of patients using NSAIDs for DME. The anatomic benefit can take months to appear. The visual improvement is less predictable. It can be even slower, or vision may not improve at all. In this case, at the last visit, the foveal thickness worsened mildly but the visual acuity improved.
It is also important to note that neither patient was monitored closely for changes in diabetes control, which also may have influenced the results and certainly could affect the results of any study of mild DME.
| Using NSAIDs as Part of Combination Therapy |
|---|
| Combination therapy may be another means for the inclusion of NSAIDs in the treatment of DME. With intravitreal injections, the edema commonly returns after a few months. A safe maintenance therapy could reduce the need for reinjection. Some clinicians have proposed focal laser as an adjunct to intravitreal triamcinolone. NSAIDs also may provide long-term maintenance to the "quick hit" of intravitreal injections. Even so, topical medications would require long-term compliance and expense, whereas focal laser can provide a long-term benefit with only one treatment. For mild edema, focal laser and topical NSAIDs may have a synergistic effect due to a difference in the mechanisms of action. |
| In summary, topical NSAIDs appear to be beneficial for diabetic macular edema based on anecdotal reports without comparative controls. |
In summary, topical NSAIDs appear to be beneficial for DME based on anecdotal reports without comparative controls. Prospective studies are necessary to determine the appropriate role of NSAIDs in the physician's armamentarium for DME. RP
Patrick Williams, MD, and David Callanan, MD, practice at Texas Retina Associates, a group practice that specializes in diseases of the retina and vitreous.
| REFERENCES |
|







