PEER REVIEWED
Updates on the Age-related Eye Disease Study (AREDS) and AREDS2
EMILY Y. CHEW, MD
Age-related macular degeneration (AMD) is the leading cause of blindness in the United States.1 The number of individuals affected with AMD, numbering at 1.75 million, will grow as the aging population is living longer. The estimated number of individuals affected with AMD will double by 2030. Preventive therapies will become particularly important. This report will discuss the findings of the Age-Related Eye Disease Study (AREDS) and the rationale behind AREDS2.
AREDS RESULTS
AREDS, supported by the National Eye Institute (NEI), demonstrated that oral supplementation of a combination of high doses of antioxidants and vitamins (500 mg vitamin C, 400 IU vitamin E, and 15 mg beta-carotene), 80 mg zinc (as zinc oxide), and 2 mg copper reduced the risk of the development of advanced AMD (either neovascular AMD or geographic atrophy (GA) involving the center of fovea) by 25% in participants with intermediate AMD or advanced AMD in 1 eye.2 The overall risk of moderate vision loss (≥15 letters decrease on the logarithmic chart compared with baseline) was reduced by 19% at 5 years. Intermediate AMD is defined in patients with extensive intermediate-size drusen (>63 μm and <125 μm) and large drusen (>125 μm) without evidence of advanced AMD.
In AREDS, participants with early AMD (those with multiple small drusen and some intermediate-size drusen) had an exceedingly low rate of developing advanced AMD — 1.3% in 5 years. Because of these results, no beneficial effects of the combination treatment were seen in the participants with early AMD. For this reason, the AREDS supplements are only recommended for persons with intermediate AMD or advanced AMD in 1 eye.
| Emily Y. Chew, MD, is deputy director of the division of ophthalmology and clinical research at the National Eye Institute (NEI). Dr Chew has no financial interests in any products mentioned in this article. She can be reached at echew@nei.nih.gov. |
A frequently asked question concerns the use of the AREDS formulation for the offspring of affected individuals. Should they be taking the AREDS supplements to prevent AMD? These data suggest that such individuals would not benefit from taking the supplements. But they should have regular dilated eye exams to look for the presence of at least intermediate AMD, preferably at least large drusen. Then they may consider taking the AREDS formulation to delay the progression to advanced AMD.
VITAMINS AND MORTALITY
More recently, warnings of increased morbidity and mortality with the use of vitamins have emerged from a number of meta-analyses.3 The first meta-analysis found no increased risk of mortality overall, while subgroup analyses were conducted in subgroups by excluding those studies in which no deaths occurred. These subgroup analyses found an increased risk of mortality, but the methodology in the subgroups has been refuted by different investigators.4 Others were concerned that the major contributions to the analyses were large trials, especially those of beta-carotene in which heavy smokers were included, creating negative bias towards the final analyses.5
Another meta-analysis found that vitamin E in doses of 400 IU or higher resulted in greater cardiovascular mortality than in those who had not had vitamin E.6 Analyses from AREDS and other studies using similar doses of vitamin E showed that there was no increased risk of mortality.7 No increased mortality was also demonstrated in the analyses of mortality at 5 years in AREDS.8 Based on these data, it would appear to be safe to take the 400 IU dose of vitamin E found in the AREDS formulation.
During the course of AREDS, supplementation of beta-carotene was demonstrated to increase the risk of lung cancer and its associated mortality in smokers.9,10 Betacarotene also increased the yellowing of the skin, but this was of no health consequence. An amendment was made to the AREDS protocol to offer all smokers in the study the chance to stop the medication and consider randomization to placebo or zinc only. Currently, the AREDS formulation is not recommended for smokers.
DIETARY ANALYSES IN AREDS
Lutein/Zeaxanthin
The AREDS participants were asked for details about their dietary habits on a food-frequency questionnaire at baseline and during follow-up. Dietary lutein/zeaxanthin intake at baseline was inversely associated with neovascular AMD, geographic atrophy, and large or extensive intermediate-size drusen, comparing the highest vs lowest quintiles of intake.11 This is of particular interest because the macular pigment is composed primarily of lutein and zeaxanthin. These 2 carotenoids occur naturally in plant pigments. The concentration of macular pigment is greatest at the inner retinal layers of the fovea, and the small amounts that are present in the peripheral retina are found in rod outer segments. The biggest sources of lutein and zeaxanthin are green leafy vegetables, such as spinach, collard greens, and kale. It has been postulated that the carotenoids may protect the retina from oxidative stress via 2 mechanisms: by absorbing the blue light that may be associated with photochemical damage and by quenching reactive oxygen species (antioxidative potential). At the start of AREDS, lutein and zeaxanthin were not commercially available, and betacarotene, although not present in the retina, was used for its antioxidative potential.
Omega-3 Long-chain Polyunsaturated Fatty Acids
The second dietary factor that was found to be associated with a decreased risk of neovascular AMD in AREDS was omega-3 long-chain polyunsaturated fatty acids (LCPUFAs), which come from fish.12 Dietary total omega-3 LCPUFA intake was inversely associated with neovascular AMD, as was docosahexaenoic acid, (DHA), a component of omega-3 LCPUFA, comparing highest vs lowest quintile of intake. Higher fish consumption, both total and broiled/baked, was inversely associated with neovascular AMD. Dietary intake of arachidonic acid (found mostly in red meat) was directly associated with increased neovascular AMD prevalence.
Both of these dietary factors have been reported in previously published reports of nutrition and AMD. These data suggest that these 2 factors may warrant further investigations.
AGE-RELATED EYE DISEASE STUDY 2 (AREDS2)
Based on all of the available nutritional evidence in consultation with experts in the field, the NEI developed the AREDS2 study, which started enrolling in the fall of 2006. Its primary objective is to determine whether oral supplementation with macular xanthophylls (lutein at 10 mg/day plus zeaxanthin at 2 mg/day and/or omega-3 LCPUFAs, DHA 350 mg, and eicosapentaenoic acid (EPA) 650 mg for a total of 1 g/day) will decrease the risk of progression to advanced AMD (Figure 2), as compared to placebo (Table 1). AREDS2 will also study the effects of these nutritional supplements on moderate vision loss and on the development of cataracts.
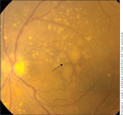
Figure 1. Large drusen and hyperpigmentary changes, giving it a score of 2 on the AREDS simple scale. With both eyes having similar findings, the patient's score is a total of 4. There is a 50% risk of developing advanced AMD in this patient in 5 years.
Figure 2. Patients with advanced AMD, such as this eye with neovascular AMD, will have a score of 2 for this eye.
This objective will be accomplished by collecting and assessing the data on approximately 4000 participants aged 50 to 85 years who, at the time of enrollment, have sufficiently clear lenses for quality fundus photographs and have either: (1) bilateral large drusen (Figure 1) or (2) large drusen in 1 eye and advanced AMD (neovascular AMD or central GA) in the fellow eye. Of the primary randomization agents, one-quarter of the patients will be assigned placebo, one-quarter will receive lutein/zeaxanthin, onequarter will receive omega-3 LCPUFAs, and the final quarter will receive a combination of the 2.
Because the study population in AREDS2 has at least moderate risk of AMD, all participants will be offered the original AREDS formulation. Because of this opportunity, a second randomization was designed to further refine the AREDS formulation (Table 2). For the reasons stated above, including the increase in lung cancer in smokers and the fact that beta-carotene is not found in the eye, it would be worthwhile to evaluate the possibility of deleting beta-carotene.
Zinc is also another factor that could be modulated in this second randomization. Zinc was tested in the original formulation at high doses of 80 mg because of the beneficial results of treatment reported by a single-center, randomized, controlled clinical trial of small sample size with a short duration of follow-up.13 Copper was added to offset the commonly seen side effect of copper-deficient anemia. The outcome measurement of a few letters gained in the zinc-treated group was considered to be of questionable clinical significance.
Zinc treatment was also shown to be associated with decreased mortality in the AREDS (RR=0.73; 95% CI 0.60–0.89). The significance of this finding is not known as this is a selected population of volunteers in a randomized trial of vitamins and minerals. In AREDS, the use of zinc increased hospitalizations for genitourinary problems. The most common problem was prostate enlargement in men. Other studies have reported that zinc may cause a decrease in high-density lipoprotein cholesterol or an increase in low-density lipoprotein cholesterol. Nutritional experts continue to raise concerns about the widespread, common, and chronic use of such a large dose. AREDS2 will study the effects of reducing the dose of zinc from the original AREDS formulation on the development and progression of AMD.
Participants who are smokers would also be included in AREDS2 and they would be randomly assigned to either formulation (columns 2 and 3 in Table 2) that does not contain beta-carotene in the AREDS supplements in the secondary randomization. It is also recognized that some participants may consider it difficult to not take the original AREDS formulation, the proven formulation for persons with moderate AMD, and they would be allowed to take the basic AREDS formulation. It is also possible that some participants may not be able to tolerate the AREDS formulation and they would also be allowed to not take part in this secondary randomization.
All participants will undergo the first randomization of lutein/zeaxanthin and omega-3 LCPUFAs. They will then be offered the opportunity to be randomly assigned the 2nd randomization (see Table 2).
In addition to the ocular outcomes, the AREDS2 population will be evaluated for cognitive function, as omega-3 LCPUFAs may have an effect on the development of dementia. We will also assess the effects of omega-3 LCPUFAs on cardiovascular disease. These 2 ancillary studies have been generously supported by the National Institute of Neurological Diseases and Stroke and the National Heart Lung Blood Institute of the National Institutes of Health.
The AREDS2 recruitment continues. More than 80 clinical sites are currently enrolling patients. They consist of academic centers, as well as community retinal specialists. There are currently over 2700 participants enrolled. The location and contact information of the clinical sites can be found online at: http://www.areds2.org. The study is still in the active phase of recruitment as 4000 participants are needed. These participants will be followed for a minimum of 5 years with annual visits. We will learn a great deal more about AMD and the effects of these treatments on the development of advanced AMD.
It is estimated that about 55 million people in the United States may be at risk for macular degeneration. Of these, 8 million are at high risk and are thus likely to benefit from the current combination of zinc and antioxidant therapy. If all 8 million people at high risk for AMD took the supplement therapy, more than 300,000 of them could be saved from advanced AMD in the next 5 years.
The economic benefit associated with the prevention of and progression to advanced AMD in even a small proportion of cases is significant and will result in major cost savings to individuals and society at large.14 The evidence that diet and nutrition play crucial roles in the pathogenesis of early AMD and its progression to advanced AMD is now compelling. AREDS2 will help to determine the significance of these nutritional factors as they are evaluated in a randomized, controlled clinical trial. RP
REFERENCES
- The Eye Diseases Prevalence Research Group. Causes and prevalence of visual impairment among adults in the United States. Arch Ophthalmol. 2004;122:477-4 85
- The Age-Related Eye Disease Study Research Group. A randomized, placebocontrolled, clinical trial of high-dose supplementation with vitamins C and E, beta carotene, and zinc for age-related macular degeneration and vision loss. AREDS Report No. 8. Arch Ophthalmol. 2001;119:1417-1436.
- randomized trials of antioxidant supplements for primary and secondary prevention: systematic review and meta-analysis. JAMA. 2007;297:842-857.
- Albanes D. Letter to the editor. JAMA. 2007;298:400.
- Huang HY, Teutsch S, Bass E. Letter to the editor. JAMA. 2007;298:400-401; response from authors 402-403.
- Miller ER III, Pastor-Barriuso R, Dalal D, Riemersma RA, Appel LJ, Guallar E. Meta-analysis: high dosage vitamin E supplementation may increase all-cause mortality. Ann Intern Med. 2005;142:37-46.
- Chew EY, Clemons T. Vitamin E and the age-related eye disease study supplementation for age-related macular degeneration. Arch Ophthalmol. 2005 Mar;123(3):395-6.
- The Age-Related Eye Disease Study Group. Mortality in the Age-Related Eye Disease Study: Associations with ocular disorders and an intervention of highdose antioxidants and zinc. AREDS Report No. 13. Arch Ophthalmol. 2004:122:716-726.
- Alpha-Tocopherol, Beta Carotene Cancer Prevention Study Group. The effect of vitamin E and beta carotene on the incidence of lung cancer and other cancers in male smokers. N Engl J Med. 1994;330:1029–1035
- Omenn GS, Goodman GE, Thornquist MD, et al (1996) Effects of a combination of beta carotene and vitamin A on lung cancer and cardiovascular disease. N Engl J Med. 334:1150–1155.
- Age-Related Eye Disease Study Research Group. The Relationship of Dietary Carotenoids, Vitamin E, and Vitamin C with Age-related Macular Degeneration: A Case-Control Study in the Age-Related Eye Disease Study. AREDS Report Number 22. Arch Ophthalmol. 2007;125:1225-1232.
- SanGiovanni JP, Chew EY, Clemons TE, et al; Age-Related Eye Disease Study Research Group. The relationship of dietary lipid intake and age-related macular degeneration in a case-control study. AREDS Report No. 20. Arch Ophthalmol. 2007;125:671-679.
- Newsome DA, Swartz M, Leone NC, Elston RC, Miller E. Oral zinc in macular degeneration. Arch Ophthalmol. 1988;106:192–198.
- The Age-Related Eye Disease Study Group. Potential public health impact of the Age-Related Eye Disease Study Results. AREDS Report No. 11. Arch Ophthalmol. 2003;121:1621-1624.







