Treating Cystoid Macular Edema in Patients With Cataract History
BY KEITH A. WARREN, MD
Cystoid macular edema (CME), because of its frequency, is perhaps the most significant complication of cataract surgery. Up to 12% of eyes will have some increase in retinal thickness after surgery.1 This means one in every eight patients is likely to experience some change in visual function.
The current recommended treatment regimen for CME is a combination of corticosteroids and nonsteroidal anti-inflammatory drugs (NSAIDs). In this article, I will discuss the the definition of CME, its risk factors and the accepted treatments. I also will detail two cases in which NSAID therapy alone was used successfully to treat CME in patients with a history of cataract surgery.
DEFINING CME
CME can be defined both clinically and angiographically. However, with the technological advances and the high expectations of patients undergoing refractive cataract procedures, those definitions may be obsolete. Snellen vision is no longer the gold standard, since some patients complain of reduced contrast sensitivity and color desaturation without loss of Snellen vision.
Our ability to measure and monitor retinal thickness with optical coherence tomography (OCT) has made it clear that any increase in retinal thickness is significant and may, in fact, represent a new definition of CME. As retinal specialists, we use OCT not only diagnostically, but also as an important modality to monitor patients' responses to therapy.
RISK FACTORS FOR CME
The risk factors for CME include vitreoretinal interface disorders, systemic and ocular vasculopathies and ocular inflammatory disease. However, any patient undergoing an intraocular procedure of any type is at risk of developing inflammation and secondary CME. Therefore, we should consider prophylaxis for these patients earlier and for a longer duration.
| Our ability to measure and monitor retinal thickness with optical coherence tomography (OCT) has made it clear that any increase in retinal thickness is significant and may, in fact, represent a new definition of CME. |
HOW NSAIDS TREAT CME
We believe that CME develops, in part, because of a prostaglandin-induced breach of the blood-retinal barrier and, subsequently, secondary retinal edema. Topical NSAIDs inhibit the production of prostaglandins by affecting the cyclooxygenase enzyme. Corticosteroids inhibit phospholipase A-2, which also reduces arachidonic acid metabolites, particularly the leukotrienes that attract inflammatory cells and are also potent mediators of inflammation. Therefore, NSAIDs and corticosteroids act synergistically at different sites in the inflammatory cascade to reduce the production of inflammatory mediators.
The ideal NSAID would have the ability to penetrate target tissues at therapeutic levels, reducing anterior segment inflammation and, more importantly, reducing inflammation in the posterior pole of the eye. It also should have excellent analgesic properties, be safe and well tolerated.
Because of their anti-inflammatory properties, NSAIDs are indicated to treat postoperative pain and anterior segment inflammation. What's more, with the increased penetration of the newer agents and their synergy with corticosteroids, many retinal specialists are using them off-label for treatment of posterior segment inflammation, in particular, CME.
A typical initial treatment for CME would be topical administration of a corticosteroid and an NSAID. Most retinal specialists will address treatment failures with a posterior sub-Tenon's injection of steroids. This administration route provides a higher concentration of the antiinflammatory drug to the target tissue. Intraocular steroid injections are reserved for resistant CME. Most retinal specialists did not initially use a first-generation NSAID for treatment because of poor intraocular penetration. However, I think nepafenac 0.1% (Nevanac, Alcon) makes a significant difference because of its ability to penetrate the posterior pole.
PENETRATION EFFICACY
Kapin and colleagues2 looked at the ability of several NSAIDs: nepafenac, diclofenac sodium 0.1% (Voltaren, Novartis Ophthalmics) and ketorolac tromethamine 0.4% (Acular LS, Allergan) to prevent the development of experimentally induced retinal edema in rabbit eyes. These rabbits were pretreated with five drops a day, starting 1 day prior to injection, then injected with a powerful mitogen. Drops were continued 3 days after the injection. Nepafenac significantly inhibited prostaglandin synthesis, a known mediator of inflammation, and it significantly reduced vitreous protein concentration, a known marker of inflammation, demonstrating suppression of blood-retinal barrier breakdown. Neither diclofenac nor ketorolac were able to inhibit these markers of inflammation.
In this study, nepafenac exhibited superior pharmacodynamic properties and activity in the posterior segment, and this unique property provided a potential therapeutic advantage that was effective for inflammatory conditions associated with retinal edema.
My treatment regimen for patients with CME includes a 20-mg triamcinolone (Kenalog) posterior sub-Tenon's injection. Patients also are treated with topical nepafenac four times a day for 6 weeks. I taper the NSAID dose over the next 6 weeks for a total of 12 weeks of treatment. I treat patients with resistant CME with an intraocular triamcinolone injection at 6 weeks if they are unresponsive.
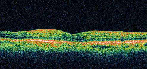
Figure 1. A 78-year-old woman complained of reduced visual acuity and contrast sensitivity OD 5 weeks after cataract surgery. Her presenting visual acuity was 20/40. Her IOP was 23 mm Hg, and retinal thickness was 478 μm on OCT.
Figure 2. One month after starting treatment with nepafenac 0.1% (Nevanac, Alcon) qid, the patient's vision improved to 20/25 with significant reduction in her retinal thickness.
Figure 3. By 12 weeks, the patient's visual acuity had improved to 20/20 with a reduction in retinal thickness of 262 μm from her pretreatment status.
POTENTIAL COMPLICATIONS
The most frequent complication of corticosteroid use is an increase in IOP. Topical and periocular administration of steroids are known to be associated with an increase in IOP. Up to 30% of eyes that receive intraocular injections have been reported to develop high IOPs.3
Managing the steroid responder with CME can be quite challenging. Here are two representative cases of steroid-responsive patients with CME who were treated with NSAID monotherapy.
CASE 1
A 78-year-old woman, with a history of cataract surgery, complained of reduced visual acuity and contrast sensitivity OD 5 weeks following surgery. She had a history of increased IOP, thought to be associated with steroid use, requiring medication following cataract surgery in the fellow eye. Her postoperative medication regimen consisted of a lowdose steroid taper.
Presenting visual acuity was 20/40. Her IOP was 23 mm Hg and retinal thickness was 478 μm on OCT (Figure 1). She was treated with nepafenac qid for 6 weeks and tapered over the ensuing 6 weeks. Her vision improved to 20/25 by 1 month with significant reduction in her retinal thickness (Figure 2). By 12 weeks, her visual acuity had improved to 20/20 with a retinal thickness of 216 μm and a normal foveal contour. This represents a reduction in retinal thickness of 262 μm from her pretreatment status (Figure 3). However, she continued to report a mild reduction in contrast sensitivity.
CASE 2
A 71-year-old man who had cataract surgery 3 months earlier was a known steroid responder with elevated IOP following surgery. At presentation, his visual acuity was 20/63. He had a fine epiretinal membrane and CME OD. Retinal thickness was 501 μm on OCT (Figure 4).
| Any patient undergoing an intraocular procedure of any type is at risk of developing inflammation and secondary CME. Therefore, we should consider prophylaxis for these patients earlier and for a longer duration. |
Figure 4. A 71-year-old man, who had cataract surgery 3 months earlier, presented with visual acuity of 20/63. He had a fine epiretinal membrane and CME OD. Retinal thickness was 501 μm on OCT.
Figure 5. One month following treatment with nepafenac, vision improved to 20/32 with a marked reduction in retinal thickness. By 12 weeks, visual acuity was still 20/32 with a retinal thickness of 261 μm and an improvement in the appearance of the fovea.
He was treated with nepafenac qid for 6 weeks and tapered over the ensuing 6 weeks. His vision improved to 20/32 by 1 month, with a marked reduction in retinal thickness. By 12 weeks, his visual acuity was still 20/32 with retinal thickness of 261 μm and an improvement in the appearance of the fovea (Figure 5).
These cases illustrate my experience with the efficacy of NSAIDs in the treatment of CME. These results support the mounting experimental and clinical evidence that an NSAID may be efficacious in treating posterior segment inflammation. Of particular note is that although both patients demonstrated clinical improvement, both had reduced visual function as a result of CME.
NSAID MONOTHERAPY
CME remains a significant cause of vision loss following uncomplicated cataract surgery. While combination therapy with a steroid and an NSAID is an effective mainstay in treating CME, NSAID monotherapy may represent an effective alternative for the steroid responder.
In our studies, which are being prepared for publication, nepafenac appears to have excellent efficacy in treating CME in steroid responders. Published clinical data2 already demonstrate that pretreatment with an NSAID significantly reduces the incidence of CME. Clearly, surgeons must deliver a therapeutic concentration of drug to the target tissue for effective prophylaxis. Since NSAIDs are effective in treating CME, it stands to reason that these agents should be effective for prophylaxis, but keep in mind that despite improved treatment, reduced visual function remains the rule rather than the exception. Therefore, CME represents an important clinical circumstance where an ounce of prevention far outweighs a pound of cure. RP
| CME remains a significant cause of vision loss following uncomplicated cataract surgery. While combination therapy with a steroid and an NSAID is an effective mainstay in treating CME, NSAID monotherapy may represent an effective alternative for the steroid responder. |
Keith A. Warren, MD, is clinical professor and former chair of the Department of Ophthalmology at the University of Kansas School of Medicine, Kansas City, Kans., and founder and CEO of Warren Retina Associates in Overland Park, Kan.
| REFERENCES |
|







