A New Option in SDOCT Technology
A key feature of Reichert's SOCT Copernicus is its ability to segment retinal layers.
RETINAL PHYSICIAN STAFF
Now that ophthalmic diagnostic device manufacturers have harnessed the power of spectral domain optical coherence tomography (SDOCT) and brought it to market, retinal specialists ready to upgrade from time domain systems have several new instruments from which to choose. Using spectrometers instead of single detectors, and fixed mirrors instead of moving parts, the new SDOCT systems acquire data much faster, producing more sensitive, higher resolution images, including in 3-D.
"The increased data acquisition speed allows us to generate 3-D maps," explains Sumit Sharma, MD, who is conducting research with Peter Kaiser, MD, at the Cleveland Clinics Cole Eye Institute. "In effect, we are putting many more B-scans consisting of multiple A-scans next to one another. As a result, we have multiple stacked high-resolution images and the capability to truly map the retina."
SDOCT does not skip or miss data points, as time domain OCT does because of its speed limitations. Thickness data between time domain scan lines is not actually measured, and values must be interpolated. No interpolation is needed with SDOCT. "We can see pathology that time domain OCT would have missed," Dr. Sharma says. "For example, SDOCT detects drusen or areas of subretinal fluid (Figure 1) that would have fallen between scans on time domain OCT. Also, it is much easier to discriminate pathology with SDOCT technology. For example, it is easier to discern the presence or absence of epiretinal membranes." (Figure 2)
TAKING IMAGE QUALITY TO THE NEXT LEVEL
The first SDOCT device to be commercially available in the world market, the SOCT Copernicus (Figure 3), is now available in the US market through Reichert Ophthalmic Instruments (Depew, NY). The Copernicus received 510(k) clearance from the FDA in February of this year.
ALL IMAGES COURTESY OF REICHERT OPHTHALMIC INSTRUMENTS.
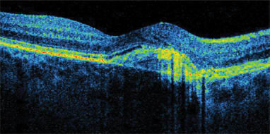
Figure 1. The Copernicus' spectral domain optical coherence tomography maps wet AMD with PED subretinal fluid.
Dr. Sharma has been evaluating SDOCT systems as part of his research at the Cole Eye Institute. "From what we have seen so far — we have worked with 4 of the available systems — the image quality of the Copernicus is on the higher end," he says. "Its scan speeds allow generation of denser 3-D maps."
The SOCT Copernicus performs 25000 A-scans per second. (The most widely used time domain system performs 400/sec.) In 3-D mode, it defaults to 50 B-scans (743 A-scans per B-scan) over a 7-mm area. This produces axial resolution of 6 μm. It can perform up to 200 B-scans.
According to Joe Carlin, CRA, COT, a product specialist for Reichert, the Copernicus performs its standard 3-D, 6 μm resolution scan in 1.5 seconds. As Dr. Sharma explains, "Scan time with most SDOCT instruments is much faster than time domain and the amount of information we can collect in that time is far greater. We can test a patient from start to finish — inputting data, positioning the patient, scanning and analyzing the data — in 3 to 4 minutes."
Figure 2. An epiretinal membrane imaged by the Copernicus.
Figure 3. Reichert's SOCT Copernicus.
IMPROVEMENTS IN RETINAL LAYER SEGMENTATION
A key feature of the SOCT Copernicus is its ability to segment the layers of the retina. "It is able to segment the internal limiting membrane, the retinal nerve fiber layer, the junction between the inner segment (IS) and outer segment (OS) of the photoreceptors, and the top and bottom of the retinal pigment epithelium (RPE)," Dr. Sharma says. "This allows tracking of changes in thickness of each of these layers without having to manually measure their thickness."
Carlin explains, "Our system's algorithms allow for excellent visualization of multiple retinal layers, including the external limiting membrane. Many manufacturers have systems that have 5 to 6 μm resolution, but the resulting images still may not be as clear. The Copernicus definitely lets physicians see things that other systems do not."
Malik Y. Kahook, MD, assistant professor of ophthalmology and director of clinical research in the Department of Ophthalmology at the University of Colorado at Denver and Health Sciences Center, cites 3 major factors that influence the quality of imaging and the recognition of the retinal layers for the SOCT Copernicus:
1. Hardware design. The efficiency of the system's spectrometer optics plays an important role in improving image quality. The SOCT Copernicus is equipped with a custom-built, patented spectrometer that has been designed to match the particular requirements of spectral domain technology and the other optics of the machine, such as the reference line.
| System Specifics |
|---|
Features and specifications of the Copernicus Spectral Optical Coherence Tomography System as listed by Reichert Ophthalmic Instruments:
|
2. Tomogram image processing software. Algorithms used by the Copernicus to process images are the product of years of advancing science by individuals on the forefront of such technology. While an expanded discussion of the algorithms is beyond the scope of this article, 1 example of the benefits of the algorithms is the clearly observable IS/OS junction that can be seen in detail with the Copernicus.
3. User application software. Because it is possible to customize the density of scanning (density of A-scans within B-scans), the amount of data received from the eye is large enough to allow filtering of unwanted information. The more data that is available, the better filtering can be performed because lower-quality data can be rejected. This allows the system to separate the noise from the tissue being imaged and also to separate individual retinal layers effectively.
SYSTEM UTILITY AND DURABILITY
Like other SDOCT systems, the SOCT Copernicus generates topographic maps and volume-comparison images. In addition, through image registration, B-scans can be aligned with a fundus image taken at the time of the OCT scan. This enables correlation of fundus and OCT findings and comparison of data from different patient visits. "With SDOCT, we know we are looking at the same area each time," Dr. Sharma says. "Time domain systems are not capable of intervisit registration, so we are not sure we are looking at the same area of retina that was imaged previously."
| Images Taken With the SOCT Copernicus | |
|---|---|
Angioid streaks with CNV. |
Lamellar hole. |
CME post-traumatic injury. |
Proliferative diabetic retinopathy. |
The Copernicus allows data to be displayed in several ways that retinal specialists are accustomed to using, such as an ETDRS-type grid of retinal thickness values and single B-scans. The operator can view or print up to 4 /archive/2008/May/images/analyses at once per screen or page. The system is Windows-based and networkable, and the operator can print any individual scan or e-mail jpegs.
Carlin notes that the user interface is intuitive. It allows the operator to enter and record patient data, review previous scans, view live images, and select scan program and scan parameters. "The system also provides useful analysis tools, such as maps and graphs presenting retina and RPE deformation information," he says.
Carlin also points out what he considers to be a key feature of the SOCT Copernicus: automatic spectrometer calibration. "The machine readjusts itself every 15 minutes so that the spectrometer and the CCD chip remain perfectly aligned. This, along with the system's stable components, ensures peak image resolution, increases the durability and dependability of the instrument, and should reduce downtime compared with other devices." Carlin adds that very little maintenance has been required for the hundreds of units placed internationally. RP
For more information about the SOCT Copernicus, including pricing, call (888) 849-8955. Dr. Sharma has served as a paid consultant for Reichert. Dr. Kahook has no financial interest in the company.







