PHOTO ESSAY
Retinal Angiomatous Proliferation
TODD PURKISS, MD, PhD · MARRINER SKELLY, CRA, CPT · MICHAEL P. KELLY, CPT · SCOTT COUSINS, MD
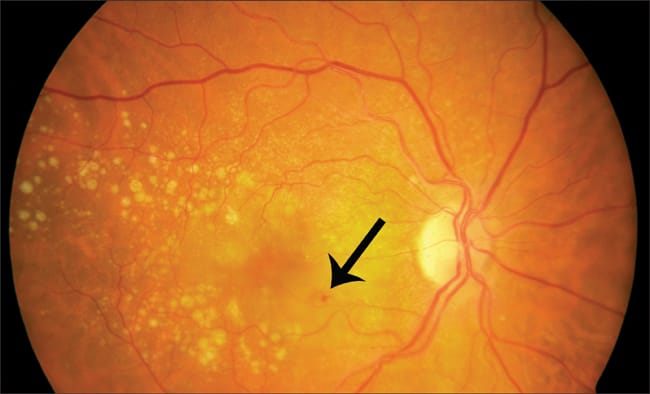
An 82-year-old woman was referred to the Duke Eye Center for evaluation of age-related macular degeneration. Her visual acuity measured 20/64 in the right eye and 20/25 in the left eye. She was found to have a large pigment epithelial detachment (PED) in the macula of the right eye. On the inferonasal border of the PED, a punctate intraretinal hemorrhage is noted. Fluorescein angiography (FA) demonstrates focal leakage and progressive pooling within the PED. Spectral-domain optical coherence tomography (SD-OCT) shows both intraretinal and subretinal fluid. It also allows better characterization of the PED, including an interruption of the retinal pigment epithelium (RPE) in the area deep to the intraretinal hemorrhage. High-speed video indocyanine green angiography (ICGA) reveals the vascular basis of the PED. Early in the angiogram, a retinal arteriole begins to feed a focal lesion in the area corresponding to the intraretinal hemorrhage. This is then drained by a retinal venule. The complex is more clearly delineated later in the angiogram. No choroidal contribution, either arterial or venous, is evident. These findings support the diagnosis of stage 2 retinal angiomatous proliferation. The patient was treated with intravitreal bevacizumab. RP
| Todd Purkiss, MD, PhD is a medical retina fellow at Duke Eye Center, Durham, NC. Mairriner Skelly is an ophthalmic photographer at Duke Eye Imaging. Michael P. Kelly is Manager of Clinical Imaging, Duke Eye Imaging. Scott Cousins, MD is director of the Duke Center for Macular Diseases, Duke Eye Center. None of the authors have any financial interest in any products mentioned here. Michael Kelly can be reached via e-mail at michael.p.kelly@duke.edu. |
Figure 1. A color fundus photograph demonstrates extensive large drusen and a punctuate intraretinal hemorrhage inferonasal to the fovea (arrow).
Figure 2. A topographical representation with infrared overlay of the spectral domain optical coherence tomography volume scan demonstrates the pigment epithelial detachment and hemorrhage (arrow).
Figure 3. A cross-section through the pigment epithelial detachment (PED) demonstrates intraretinal and subretinal fluid adjacent to the PED.
Figure 4. A cross-section through the plane of the hemorrhage (black arrow) demonstrates an interruption in the retinal pigment epithelium (gray arrow) deep to the hemorrhage (arrow).
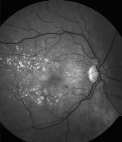
Figure 5. A red-free photograph highlights the drusen and hemorrhage.
Figure 6. Early laminar phase fluorescein angiogram demonstrates blocking by the hemorrhage.
Figure 7. Arteriovenous phase fluorescein angiogram demonstrates multifocal hyperfluorescence with early pooling. Note the hyperfluorescence adjacent to the hemorrhage (arrow).
Figure 8. Recirculation phase fluorescein angiogram demonstrates progressive pooling within the pigment epithelial detachment. The hyperfluorescence adjacent to the hemorrhage is consistent with leakage, whereas the other foci are more consistent with staining.
Figure 9. Early indocyanine green angiogram demonstrates a branching retinal arteriole (arrow) in the area of the hemorrhage.
Figure 10. Two seconds later, a draining retinal venule fills (arrow).
Figure 11. A filling vascular complex between the arteriole and venule then becomes apparent (arrow).
Figure 12. A late indocyanine green angiogram more clearly highlights the retinal angiomatous proliferation complex.







