CASE STUDY
Ocular Toxoplasmosis as the Presenting Sign of AIDS
Neuroimaging was instrumental in confirming the diagnosis.
AHMAD A. AREF, MD · KIMBERLY A. NEELY, MD, PhD · INGRID U. SCOTT, MD, MPH
A previously healthy 41-year-old Caucasian man presented to the ophthalmology emergency room with a chief complaint of 2 weeks of progressively decreasing vision in his right eye. Prior medical and ocular histories were unremarkable and he was not on any medications. He worked as a hairdresser and reported tobacco use. Review of systems was significant for a nonspecific light headache over the week prior to presentation, as well as right-sided facial numbness, gait ataxia, and increased anxiety.
EXAMINATION AND DIAGNOSIS
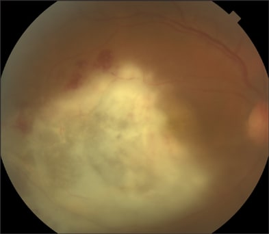
Visual acuity was reduced to counting fingers in the right eye and 20/30 in the left eye. The right pupil was 4 mm and minimally reactive, while the left pupil was briskly reactive. There was a 4+ right relative afferent pupillary defect. Confrontation visual fields revealed a central relative scotoma in the right eye and were full in the left eye. Extraocular movements were full in both eyes. Intraocular pressure was 21 mm Hg in the right eye and 17 mm Hg in the left eye. External ocular examination revealed leukocoria of the right eye (Figure 1). Slit-lamp examination revealed diffuse keratic precipitates of the right eye with 3+ cell/flare in the anterior chamber. Dilated fundus examination of the right eye revealed a yellow-white macular lesion associated with severe vitritis and perivasculitis (Figure 2). Slit-lamp and dilated fundus examinations of the left eye were unremarkable. Magnetic resonance imaging of the brain revealed a ring-enhancing lesion of the left thalamus with surrounding edema and midline shift (Figure 3). Anti-Toxoplasma gondii titers were immunoglobulin G-positive and immunoglubolin M-negative. Western blot analysis for human immunodeficiency virus (HIV) antibody was positive and the CD4 helper T-cell count was 14 cells/mm3.
Figure 1. External ocular examination revealed leukocoria of the right eye.
Figure 2. Color fundus photograph of the right eye at presentation showing a yellow-white, necrotizing lesion with overlying vitritis.
Figure 3. Magnetic resonance image of the brain at presentation showing a ring-enhancing lesion of the left thalamus.
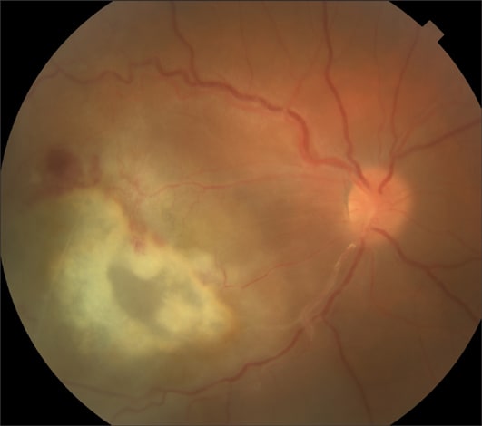
The patient was started on oral pyrimethamine (75 mg daily), sulfadiazine (1 g 4 times daily), folinic acid (20 mg daily), and topical prednisolone acetate 1% eyedrops 2 times daily. Highly active antiretroviral treatment (HAART) was initiated with tenofovir (Viread, Gilead Sciences), emtricitabine (Emtriva, Gilead Sciences), and efavirenz (Sustiva, DuPont). After 2 months of HAART, CD4 count increased to 117 cells/mm3 and viral load decreased to undetectable levels. The patient's right macular and left thalamic lesions showed marked improvement (Figures 4 and 5), but visual loss persisted.
Figure 4. Color fundus photo of the right eye after systemic therapy showing partial resolution of the necrotizing lesion.
Figure 5. Magnetic resonance image of the brain after systemic therapy showing partial resolution of the left thalamic lesion.
The differential diagnosis of necrotizing retinitis in patients with AIDS includes: toxoplasmosis, cytomegalovirus retinitis, acute retinal necrosis, progressive outer retinal necrosis, and endogenous fungal endophthalmitis. Neuroimaging of our patient revealed the classic asymmetric "target" sign, which helped to confirm our diagnosis of ocular toxoplasmosis. A diagnosis of toxoplasmosis was further supported by reduction in the size of the patient's retinal and cerebral lesions, as well as resolution of his intraocular inflammation with antiparasitic drug therapy.
| Ahmad A. Aref, MD, is a resident in ophthalmology at the Penn State Hershey Eye Center (PSHEC) of the Penn State College of Medicine in Hershey, PA. Kimberly A. Neely, MD, PhD, is a staff physician at PSHEC. Ingrid U. Scott, MD, MPH, is professor of ophthalmology and public health sciences at the PSHEC. None of the authors has any financial interest in the subject matter of this article. Dr. Scott can be reached via e-mail at iscott@psu.edu. |
DISCUSSION
Systemic infection with T. gondii may occur as the initial systemic opportunistic infection in 10% to 38% of HIV-infected individuals.1 Ocular toxoplasmosis affects 1% of all patients with AIDS and may present with atypical clinical manifestations.2 In immunocompromised individuals, toxoplasmic retinochoroiditis may present with bilateral involvement, multifocal discrete lesions, or diffuse areas of retinal necrosis. Unlike in immunocompetent individuals, where toxoplasmic lesions often occur adjacent to a retinochoroidal scar, AIDS-related lesions are usually unassociated with scars. Furthermore, immunocompromised patients are more susceptible to toxoplasmic encephalitis, myocarditis, pneumonitis, and hepatitis.2
The goal of treatment of active toxoplasmic retinochoroiditis is to arrest active parasite multiplication and subsequent retinal necrosis. Traditional therapy consists of pyrimethamine, sulfadiazine, and corticosteroids (triple therapy). Folinic acid must be given concurrently to prevent the bone marrow toxicity associated with these agents. In immunocompetent hosts, therapy is often reserved for lesions associated with a significant inflammatory response, lesions at the posterior pole, or juxtapapillary lesions.3
In immunocompromised patients, the natural course of ocular toxoplasmosis and standard of practice has been less clearly defined. In a recent survey of the American Uveitis Society4 regarding practices in the management of ocular toxoplasmosis, the majority of respondents modified their standard treatment practices in immunocompromised patients. Most eliminated oral corticosteroids from their treatment regimens. The majority of respondents also continued indefinite "maintenance therapy" with either pyrimethamine/sulfadiazine or trimethoprim/sulfamethoxazole as long as patients remained immunocompromised, regardless of toxoplasmic lesion activity. Indeed, toxoplasmosis in patients with AIDS has been reported to recur after discontinuation of antiparasitic therapy.2 Furthermore, immune recovery uveitis has been reported in patients with AIDS after initiation of HAART when antiparasitic therapy was not given concurrently.5 Alternative therapies to pyrimethamine/sulfadiazine include trimethoprim/sulfamethoxazole, clindamycin, atovaquone, tetracycline, and azithromycin. However, trimethoprim/sulfamethoxazole has been associated with an increased rate of allergic reactions in patients with AIDS.6
Definitive diagnosis of ocular toxoplasmosis requires histological demonstration of the parasites in ocular tissues.2 Clinically, serologic methods are preferred in the diagnosis of toxoplasmosis. It is important to note that there is a high prevalence of T. gondii antibodies in the human population and positive serology is not diagnostic for the disease. Studies suggest that measuring anti-Toxoplasma antibody titers in intraocular fluids or polymerase chain reaction techniques may increase sensitivity and specificity, but the role of these techniques remains uncertain.7,8
Intracranial toxoplasmosis is the most common mass lesion in patients with AIDS with a predilection for the basal ganglia, thalamus, and corticomedullary junction.9 Intracranial toxoplasmosis is considered to be diagnostic for AIDS and may be its initial manifestation. Patients may present with focal neurologic deficits, seizures, or altered level of consciousness. Cerebral toxoplasmosis may, as in our case, present as a focal lesion, or it may present as a diffuse encephalitis.
SUMMARY
Ocular toxoplasmosis may be the presenting sign of AIDS. Strong consideration should be given to neuroimaging of immunosuppressed patients with ocular toxoplasmosis. The natural course of AIDS-related ocular toxoplasmosis differs from that in immunocompetent individuals and may require lifelong therapy. RP
REFERENCES
- Gellin BG, Soave R. Coccidian infections in AIDS. Med Clin. North Am 1992;76:205-228.
- Holland GN, Engstrom RE, Glasgow BJ, et al. Ocular toxoplasmosis in patients with the acquired immunodeficiency syndrome. Am J Ophthalmol. 1988;106:653-667.
- Stanford MR, See SE, Jones LV, et al. Antibiotics for toxoplasmic retinochoroidtits. Ophthalmology. 2003;110:926-932.
- Holland GN, Lewis KG. An update on current practices in management of ocular toxoplasmosis. Am J Ophthalmol. 2002;134:102-114.
- Sendi P, Sachers F, Drechsler H. Immune recovery vitritis in a patient with isolated toxoplasmic retinochoroiditis. AIDS. 2006;20:2237-2238.
- Morales HV. Ocular manifestations of HIV/AIDS. Curr Opin Ophthalmol. 2002;13:397-403.
- Davis JL, Feuer W, Culbertson WW, et al. Interpretation of intraocular and serum antibody levels in necrotizing retinitis. Retina. 1995;15:233-240.
- de Boer JH, Verhagen C, Bruinenberg M, et al. Serologic and polymerase chain reaction analysis of intraocular fluids in the diagnosis of infectious uveitis. Am J Ophthalmol. 1996;121:650-658.
- Smith AB, Smirniotopoulos JG, Rushing EJ. From the archives of the AFIP: central nervous system infections associated with human immunodeficiency virus infection: radiologic-pathologic correlation. Radiographics. 2008;28:2033-2058.







