CASE STUDY
Fibrous Metaplasia in Fundus Flavimaculatus
A history of blunt ocular trauma is significant in this uncommon dystrophy.
DIMITRIOS STYLIANOS KONTADAKIS, MD · STEFANO VERGALLO, MD
MAURIZIO BATTAGLIA PARODI, MD · FRANCESCO BANDELLO, MD
A 46-year-old male was referred to the Department of Ophthalmology of the University of Udine in Italy for an ophthalmologic examination. He complained of visual disturbances in the left eye. He had been previously diagnosed with fundus flavimaculatus (FF) in 1987.
The patient's general history was unremarkable, except for his having suffered blunt trauma in the left eye in 1988 when he was hit by a tennis ball.
EXAMINATION AND DIAGNOSIS
Visual acuity was 1/10 in both eyes, and the intraocular pressure was 14 mm Hg. Biomicroscopic fundus examination confirmed the diagnosis of FF. Indeed, several flecks at the level of the retinal pigment epithelium were detectable, whereas the macular region showed wide atrophic changes. In the left eye, along the course of the superotemporal vascular arcade, a wide fibrous metaplasia with placoid aspect and irregular pigmentation was evident. Interestingly, multiple punched-out spots were visible in the periphery of both eyes, assuming a linear streaks disposition (Figures 1 and 2).
Figure 1. Composite image of the right eye showing flecks throughout the posterior pole, atrophic macular changes and several punched-out spots in the periphery.
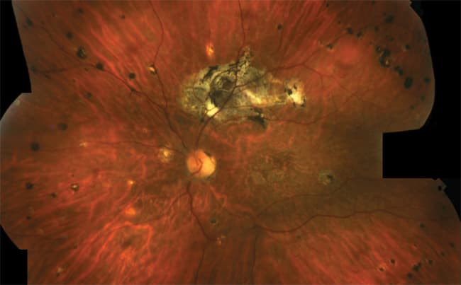
Figure 2. Composite image of the left eye, displaying similar features with respect to the right eye, but showing also an extensive area of fibrous metaplasia along the superotemporal arcade.
Fluorescein angiography disclosed the typical appearance with reduced transmission of background fluorescence (dark choroid; Figure 3). Electroculogram was subnormal. Photopic and scotopic electroretinograms were altered.
Figure 3. Composite fluorescein angiography of the left eye clearly revealing the flecks and the dark choroid. Linear streaks are detectable in the retinal periphery together with the area of fibrous metaplasia in the superotemporal quadrant.
DISCUSSION
Fundus flavimaculatus is a well-characterized dystrophy with an estimated prevalence of 1 in 10 000.1 FF complicates rarely with various degrees of fibrous metaplasia, which can occur both in the posterior pole and in the peripheral retina.2-4 Fibrous metaplasia may also be associated with punched-out chorioretinal spots, especially located in the peripheral retina, with linear streaks appearance.3,4 The etiopathogenesis of these complex alterations is not clear. Some authors have suggested that the association with punched-out spots, resembling the picture characteristic of other inflammatory conditions including multifocal choroiditis and presumed ocular histoplasmosis, could imply that an inflammatory stimulus plays a role in the development of this peculiar clinical picture.3
Alternatively, the increased retinal pigment epithelium fragility secondary to the storage of lipofuscin may bring about a hyperreactive response to blunt ocular trauma, due to the abrupt release of lipofuscin.4 In the present case, the history of the patient did not disclose any inflammatory condition but was positive for a blunt ocular trauma. Genetic analyses are being carried out on the patients and on his relatives in an attempt to identify the mutation correlated to the phenotypic aspect.
In summary, this case report emphasizes the importance of informing patients affected by FF regarding the possible worsening of the clinical picture in case of blunt ocular trauma. RP
REFERENCES
- Blacharski PA. Fundus flavimaculatus. In: Newsome DA, ed. Retinal Dystrophies and Degenerations. New York, NY: Raven Press; 1988:135-159.
- De Laey JJ, Leys A, Van Hyfte R. retinal pigment hypertrophy and chorioretinal dystrophies. Bull Soc Belge Ophtalmol. 1987:223;67-73.
- Parodi MB. Progressive subretinal fibrosis in fundus flavimaculatus. Acta Ophtalmologica. 1994;72:260-264
- Gass JD, Hummer J. Focal retinal pigment epithelial dysplasia associated with fundus flavimaculatus. Retina. 1999;19:297-301.
| Dimitrios Stelios Kontadakis, MD, is a resident in the Department of Ophthalmology at the University of Udine, Italy. Stefano Vergallo, MD, is a physician in the Department of Ophthalmology at the University of Udine. Maurizio Battaglia Parodi, MD, is a senior consultant in the Department of Ophthalmology at the University of Udine. Francesco Bandello, MD, is chair of the Department of Ophthalmology at the University of Udine. None of the authors has any financial interest in any product mentioned here. Dr. Parodi can be reached via e-mail at maubp@yahoo.it. |







