ILM Removal as a Prophylaxis of ERM Formation After Vitrectomy
JERZY NAWROCKI, MD, PhD • JANUSZ MICHALEWSKI, MD, PhD • DOMINIK ODROBINA, MD, PhD • ZOFIA MICHALEWSKA, MD, PhD
Formation of epiretinal membranes (ERMs) is a problematic after-effect of some vitrectomies. While ERMs can be surgically removed or peeled, it's better to deal with the problem prophylactically rather than subject a patient to more than one surgery. It is our belief that removing the internal limiting membrane (ILM) can be an effective prophylaxis against the formation of post-vitrectomy ERM.
The ILM is a basement membrane, probably deriving from M�ller cells.1 It is thinner in the periphery and thicker in the macula, with a mean width of 2.5 μm. Epiretinal membranes are avascular, fibrocellular membranes that proliferate on the inner surface of the ILM and produce various degrees of visual impairment.2 Some ERMs may be hardly visible clinically and may have little or no effect on vision, while extensive ERMs cause secondary complications and marked visual loss.
Clinically, Gass proposed a classification for ERM: Grade 0: cellophane maculopathy, in which a translucent epiretinal membrane is not associated with distortion of the inner retina; grade 1: crinkled cellophane maculopathy, in which the inner retinal surface is distorted by a thin membrane; grade 2: macular pucker, in which the membrane is thicker, with a distinct grayish appearance, and obscures underlying vessels, causing marked distortion of the retina.3 The exact relation between ERM, ILM, and the vitreous in the development of ERM is still not entirely understood.4
| Jerzy Nawrocki, MD, PhD, Janusz Michalewski, MD, PhD, Dominik Odrobina, MD, PhD, and Zofia Michalewska, MD, PhD, all practice at the Ophthalmic Clinic "Jasne Blonia," Lodz, Poland. The authors report no financial interest in any product mentioned in this article. Dr. Nawrocki may be reached via e-mail at jerzy_n@poczta.onet.pl. |
ERM FORMATION
The majority of ERM cases have a direct association with posterior vitreous detachment. Secondary ERMs can occur either secondary to retinal breaks, with liberation of pigment epithelial cells into the vitreous cavity, or due to vitreous hemorrhage or inflammation.1 Idiopathic ERMs are believed to be either primary or secondary to posterior vitreous detachment.
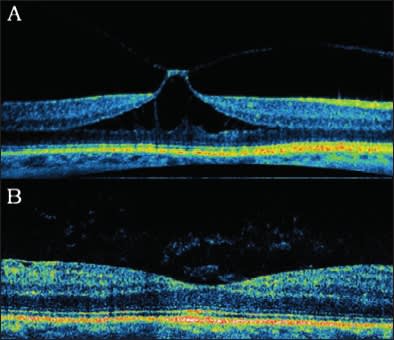
Schumann et al. recently reported that remnants of vitreous on the surface of the ILM may be found after both spontaneous and surgically induced posterior vitreous detachments. These remnants of vitreal collagen may play a role in ERM formation.4 Additionally, they found fibrocellular proliferations on the vitreal side of the ILM (removed during vitrectomy for macular hole), with predominantly fibrous astrocytes in samples after first vitrectomy and predominantly myofibroblasts and fibroblasts in samples after second vitrectomy.5 This theory may be partially confirmed by our spectral-domain OCT findings, which showed that, during follow-up, condensation of posterior hyaloid or vitreous traction preceded ERM formation (Figure 1).5 This suggestion was also confirmed by different authors in both older and more recent publications.4,5,6
Figure 1. Situations preceding ERM formation. A. Vitreomacular traction on spectral-domain OCT. B. Condensation of the posterior hyaloid.
Conversely, some authors believe that idiopathic ERMs are due to disrupting portions of the ILM. Outgrowth of glial cells onto the retinal surface is associated with breaks in the ILM. The pathogenetic mechanism causing those breaks is not known,1 though it cannot be excluded that those breaks happen secondarily to glial proliferations.
Long before the ILM peeling era, Michels observed that ILM removal frequently occurs together with ERM removal, and this event is combined with low incidence of recurrent membranes and has no adverse effect on visual outcome.1 Currently, on the area of the peeled ILM, ERM is not observed postoperatively.
The presence of native vitreous collagen between the ILM and ERM, intermingled among the glial cells or in both places, suggests that ERM formation may precede posterior vitreous detachment. Michels also suggested that it is possible that ILM breaks and glial proliferation contribute to changes in the cortical vitreous or that ILM breaks are caused by glial proliferation rather than occurring before the proliferative response.1 It may be, as stated by Ducournau and Ducournau, that, "since the glial cytoplasmic digitation can penetrate the posterior hyaloids … one could hypothesize that vitreous traction could be … the result of initial gliosis when PVD begins."8
Ducournau and Ducournau examined idiopathic ERM and discovered that only two kinds of structures are present: collagen (most of the time collagen 2, but sometimes collagen 3 and 4) and ILM mixed with glial fibrillary acidic protein (GFAP) antibody-positive tissue. The GFAP-positive reaction may indicate a gliosis at the ILM level. Ducournau and Ducournau also found that the glial component (astrocytic proliferation) was almost the only cellular component.8 This observation was also confirmed by Balayre et al., who distinguished this kind of membrane from ERMs secondary to retinal detachment, where RPE cells, fibrocytes and myofibroblasts were present.9
Ducournau and Ducournau suggest that causes of the glial proliferation may be ischemia, inflammation or vitreous traction, the last of which is likely to induce inflammation.4 Their explanation of the events is interesting. This may be in agreement with the data of Kadonosono et al., who found that capillary blood flow velocity was lower in eyes with ERMs. However, they found no difference between idiopathic and secondary membranes according to blood flow velocity.10 This may suggest that disturbance of microcirculation may be caused mainly by morphological changes in the retinal surface due to the presence of ERM. They did not examine which event occurred first: primary ERM formation or ischemia.
In summary, it was found that idiopathic ERMs are usually glial proliferation. If we look to published research presenting ERMs that occur in association with other ocular disorders, they have various histologic features.1 Cells of probable retinal pigment epithelium origin are most often seen in eyes with retinal breaks, retinal detachment and proliferative vitreoretinopathy (PVR). But they also contain glial cells, fibroblasts of unknown origin, and macrophages. The exact sequence of the events causing ERM needs to be clarified. The question of whether ERM is caused by extraretinal or intraretinal pathological processes also needs further examination.
As presented above, there is a great deal of information available about the facts of what happens at the vitreoretinal interface, in the vitreous, and at the surface of the retina, where ERM is present. Unfortunately, very little attention is paid in the literature to the status and histology of the retina in cases of ERM formation. Ducournau and Ducour nau suggest that epiretinal membrane formation is caused by ischemia and, using an analogy, they suggest that, in cases of ERM, vascular horizontal gliosis happens in the inner retina.8 This observation may also suggest that the pathologic process of ERM formation is not only epiretinal but also intraretinal. Our own data collected by spectraldomain OCT show that if ERM is present, retina structure is usually deteriorated (Figure 2).11
Figure 2. Spectral-domain OCT of epiretinal membranes. The red lines represent 100 μm. A. An elevated fovea contour in an eye with epiretinal membrane formation. B. Another case of an elevated fovea contour and distortion of particular retinal layers in an eye with ERMs.
Additionally, if we look at cases of ERM removal during follow-up, we see that the retina structure almost never heals completely. Even after many months following successful ERM and ILM removal during vitreous surgery, the structure of the retina remains deteriorated (Figure 3).
Figure 3. Spectral-domain OCT follow-up after pars plana vitrectomy with trypan blue staining and ILM peeling for ERM. A. Preoperative view of a patient with epiretinal membranes. Fovea contour is elevated. A hyper-reflective structure on the inner surface of the retina, representing an epiretinal membrane, is visible. Cystoid spaces near to the fovea are present. B. One week postoperatively. Epiretinal membrane is removed. The fovea is still elevated. Central retinal thickness is 779 μm. Cystoid spaces are present. C. Three months postoperatively. D. Twelve months postoperatively. No recurrence of epiretinal membranes is visible. The fovea flattened slightly, but central retinal thickness is still increased (557 μm). E. Preoperative view of another patient with epiretinal membranes. F. One week postoperatively. G. Three months postoperatively. H. Twelve months postoperatively.
PREVENTION OF SECONDARY ERM
Because its origin is unclear, we probably have no method to prevent idiopathic ERM. However, with vitreoretinal surgery, we can possibly prevent secondary ERM formation. Michels already stated in 1982 that, if: "[p]ortions of the ILM were seen in 67% of cases, surgical removal of portions of ILM did not seem to adversely affect the visual result. In fact, improved postoperative vision was obtained in 89% of eyes in which specimen fragments of the ILM were seen and vision improved postoperatively in only 64% of eyes in which ILM was not seen in the specimens … The low incidence of clinically apparent membrane recurrence was surprising since sizable fragments of ILM were present in 67% of specimens studied."1
The matter that Michels could not explain at that time — and that we would like to try to explain in this paper — is why ILM removal may be a method of prophylaxis for ERM formation.
In removing the ILM we completely remove all epiretinal structures, whereas when removing only ERM we always leave some remnants of the tissue. Additionally, by removing the ILM, we remove the base membrane. We know that cells do not grow on cells; they need a base membrane to grow. So if we remove this membrane, we preclude cells from forming ERMs. In fact, the recurrence rate of ERM after ERM removal is no greater than 56%.1,12-15
Some authors have found that neither thickness of the epiretinal membrane, adherence to the underlying retina, nor completeness of the ERM removal of the cause of the membrane (idiopathic or secondary) had an influence on recurrence rate.12,13 Contrarily, if long segments of ILM were present in ERM specimens, the final visual acuity improvement was better (3.1 lines on the Early Treatment of Diabetic Retinopathy Study with ILM peeling vs 0.9 lines in the group without ILM peeling), as compared to the group without ILM present in histologic specimens. Also, the recurrence rate was 9% vs 56% respectively.16-20
Authors that intentionally peeled the ILM in cases of recurrent ERM found no evidence of ERM after surgery. Also, visual acuity tended to improve.20-23 Kwok et al. presented one case of cellophane ERM recurrence that occurred at the edge of the ILM peeling site, close to the temporal vascular arcade 10 months after ERM surgery. They also stated that, in one out of 17 cases of macular holes treated with ILM peeling, there developed an ERM at the edge of the ILM peeling site, close to the superotemporal arcade 10 months after surgery.24
We have made similar observations in our group of patients followed up with spectral-domain OCT. We found one recurrence in 33 consecutive cases, and if we look more precisely, we do not see recurrence in the fovea, where the ILM was removed, but it is present on peripheral scans of the macula at a site where the ILM was not removed (unpublished data) (Figure 4).
Figure 4. Postop recurrence of ERM paracentral to the fovea. It recurred because of inaccurate ILM peeling in that area.
These observations seem to be very important. They show definitively that recurrent epiretinal membrane may be observed only on the ILM and, even if the ERM is already present, it cannot cross the boundary between the area of intact ILM and the area from which ILM was previously removed.
However, it must be mentioned that some published research has suggested that ILM peeling may have an adverse effect. Sivalingam et al. showed that the presence of long segments of ILM within a histopathologic specimen after vitreous surgery for removal of macular ERM appears to indicate a less favorable visual outcome. They observed that specimens of ERM from 11 eyes contained long segments of ILM. None of the eyes achieved visual acuity better than 20/60. Of 30 eyes that did not have ILM present, 41% achieved visual acuity of 20/60 or better.25
Uemura et al. observed that four of seven patients who underwent intentional ILM peeling with indocyanine green (ICG) developed dense visual-field defects after surgery.26 When ILM peeling was not performed, the visual field remained normal. However, the toxicity of indocyanine green cannot be underestimated in these cases. Haritoglou et al. made similar observations.27,28 Tadayoni et al. found a dissociated optic nerve fiber layer after removal of both an epiretinal membrane and ILM that "consisted of numerous arcuate striae within the posterior pole in the direction of the optic nerve fibers and slightly darker than the surrounding retina. However, this feature had no functional effect."29 Thus it appears that ILM peeling prevents secondary ERM formation; therefore, it can improve longterm functional results and prevent the need for further surgery. It follows that ILM peeling can be indicated in multiple indications, discussed below.
SPECIAL INDICATIONS
Macular Holes
ILM peeling is frequently used to increase macular hole closure rate. Different authors confirmed clinically that there was 0% ERM recurrence after ILM peeling with ICG.27,30-32 Although Ko et al., using ultrahigh-resolution optical coherence tomography, found ERMs in 14 of 22 (64%) patients after surgical closure of macular hole,33 it must be noted that, of the 19 eyes where ILM peeling was performed, only two underwent staining with ICG before ILM peeling. Our own experience showed that, without staining, ILM peeling may be incomplete.34 The growing popularity of different stains in the last decade suggests that many surgeons need staining to achieve complete ILM removal. A study performed by our group, with the use of spectral-domain OCT, showed no evidence in 68 eyes of ERM after macular hole surgery with ILM peeling and staining with trypan blue.35
Conversely, Uemoto and colleagues presented two cases of ERM formation in patients who underwent vitrectomy with ILM peeling for full-thickness macular hole, but the resolution of their OCT data is quite low and does not allow one to distinguish the presented structures clearly.36
Diabetic Maculopathy
Vitrectomy for treatment of diabetic maculopathy has also been described by various authors. Their results show that ERM developed after vitrectomy in 10% of eyes.37,38 Gandorfer et al. performed additional ILM peeling.39 Postoperatively, they observed no recurrence of macular edema or epiretinal membrane. Avci reported that, after pars plana vitrectomy with ILM peeling, in 54 cases of both diabetic and nondiabetic chronic macular edema, no epiretinal membrane formation was found during the mean follow-up of 12.2 months.40 Similar observations were described by other authors.41-43 In a comparative study of vitrectomy for diabetic macular edema, Yamamoto et al. found no ERM in ILM-peeled eyes and 13% ERM in the ILM-preserved group.44
Retinal Vein Occlusion
Inner limiting membrane peeling is rarely described as a method of treatment of vein occlusions. Recently, our group published a report on 35 eyes treated with vitrectomy and ILM peeling for both central retinal vein occlusion and branch retinal vein occlusion. Neither condition showed any ERM formation during 12 months of postoperative follow-up.45 Also, Mandelcorn et al. found no ERM after ILM peeling for decompression of macular edema in retinal vein occlusion in 14 cases.46
Retinal Detachment
Formation of an epiretinal membrane in the macula is frequently observed after both primary vitrectomy for retinal detachment and vitrectomy for proliferative vitreoretinopathy. The logical approach to this disease may be ILM peeling. Sakamoto et al. presented three cases where they used ICG staining to obtain better visibility of ERM.47 But they also removed the ILM to achieve complete removal of ERM. They observed no reproliferative tissue on the retina where ILM had been removed.
Our group presented the idea of ILM removal after trypan blue staining in the form of a video at the annual meeting of the American Society of Retina Specialists in New York in 2003 (Rhett Buckler Award), and our preliminary results were published.48 We did not observe any epiretinal membrane formation in the maculae of 27 eyes where ILM had been systematically removed.
Despite the fact that this idea has been presented by various distinguished speakers at different meetings, it is not often mentioned in peer-reviewed literature. We observed no recurrence of ERMs in any case in a severe PVR group treated with both retinotomy and retinectomy and with ILM peeling. Furthermore, we confirmed this observation using spectral-domain OCT. It seems very probable that ILM removal allows the removal of all ERMs, tractions, scaffolds and proliferation environments in the macula.49 Also, Aras et al. confirmed that, in 20 operated cases, ERM did not appear if ILM was removed.50 Different authors have described retina nerve fiber layer defects that may be caused by surgical maneuvers after vitrectomy with ILM peeling for macular hole.33,35,51 Usually these defects have no significant influence on postoperative visual acuity.35,50
Lamellar Macular Hole/Pseudohole
Gass worked on the assumption that ERM formation is an epiretinal disease only and based his original hypothesis on the fact that contraction or shrinkage of epiretinal membrane may occur and produce varying degrees of distortion and degeneration of the underlying retina.
Currently, we still have no answer to the question of which came first — epiretinal membrane or intraretinal changes. It is also not clear why, in some cases, ERM does not cover the foveolar area. The original description of pseudomacular hole by Gass suggests that spontaneous contraction of an epiretinal membrane that surrounds, but does not cover, the foveolar area may produce a biomicroscopic appearance simulating a full-thickness macular hole. Inner lamellar macular hole was described by Gass as a result of the spontaneous rupture of the inner wall of large central cystoid space to form a lamellar macular hole (LMH). However, in his Figures 6 through 18, he shows that the important causative event is rupture of the ILM, and ERM is also present.3
Haouchine et al. presented OCT appearance of lamellar macular hole and macular pseudohole (MPH). They found that LMHs usually have a thin irregular center, surrounded by a retina of almost normal thickness, and the edges of the LMH split away from the underlying retina. Pseudoholes have a center of almost normal thickness, surrounded by thickened retina. The authors pointed out the importance of distinguishing between these two diagnoses. They also observed ERM in numerous cases.52
Spectral-domain OCT allows us to give new information on the disease because of two important facts: Resolution has improved (up to 3μm axial resolution), and we can take many B-scans with the ability to follow the same place on the retina while scanning. Our own observations showed some similarities with Gass's original observations. We have also found the presence of ERM in all cases of macular pseudohole and lamellar macular hole. In addition to this, we found that, in the same eye, one B-scan may show an image of macular pseudohole while in the next few scans we have lamellar macular hole. Also, we were able to demonstrate that, during follow-up, macular pseudohole changed its appearance to lamellar macular hole with B-scans performed in the same area.
The issue of why ERM is not present in the center of the fovea in some eyes, but it is there in other eyes, seems more important. If we take it into consideration that, in different diseases, when the ILM is removed, no ERM appearance is observed and, additionally, that in some cases, ERM recurrence was observed at the margin of ILM removal but did not spread into the area of removed ILM, then it is logical to suggest that, in cases of macular pseudohole and lamellar macular hole, the central part of the ILM could also be removed due to vitreoretinal traction. Absence of the ILM seems to be the only explanation for these observations. This may be an additional explanation of the role of ILM peeling as a prophylaxis of ERM formation.
CONCLUSIONS
Epiretinal membrane formation is a disease that has been examined by different authors for decades. Despite the publication of numerous papers, we still do not understand the exact mechanism of ERM formation and the origin of the disease. Histopathological and clinical findings allow us to distinguish primary or idiopathic ERM and secondary ERM, both of which affect not only the surface of the retina, but also its structure.
Even if it is possible to remove ERM surgically, intraretinal pathology does not disappear. Therefore, it seems reasonable to prevent ERM formation by performing ILM peeling. Further support for ILM peeling comes from the knowledge that, in using this technique, we can act to decrease macular edema and improve the patient's visual acuity. According to Ducournau and Ducournau, removing the gliosis at the inner retina level — in other words, removing the repairing process — could generate a high improvement in visual acuity. Why this allows the retina to fight against edema needs further investigation. RP
REFERENCES
- Michels RG. A clinical and histopathologic study of epiretinal membranes affecting the macula and removed by vitreous surgery. Trans Am Ophthalmol Soc. 1982;80:580-656.
- Iwanofff A. Beitraege zur normalen und pathologischen Anatomie des Auges: A. Zur pathologischen Anatomie der Retina. B. Zur normalen und pathologischen Anatomie des Glaskoerpers A.v. Graefe Arch. Klin. Exp. Ophthalmol. 1865;11:135-170.
- Gass JDM. Stereoscopic Atlas of Macular Diseases. 2nd ed. C.V. Mosby Co. St. Louis, MO; 1977.
- Schumann RG, Scaumberge MM, Rohleder M, Haritoglou C, Kampik A, Gandorfer A. Operative Zielvorgabe in der Makulaformenchirurgie. Neue Aspekte zur Feinstruktur der vitreomakularen Grenzflache. Ophthalmologe. 2007;104:783-789.
- Michalewska Z, Michalewski J, Sikorski BL, Kaluzny JJ, Wojtkowski M, Adelman RA, Nawrocki J. A study of macular hole formation by serial spectral optical coherence tomography. Clin and Exp Ophthalmol. 2009;37:373-383.
- Gandorfer A, Rohleder M, Kampik A. Epiretinal pathology of vitreomacular traction syndrome. Br J Ophthalmol. 2002;86:902-909.
- Kampik A, Kenyon KR, Michels RG, Green WR, de la Cruz ZC. Epiretinal and vitreous membranes. Comparative study of 56 cases. Arch Ophthalmol. 1981;99:1445-1454.
- Ducournau D, Ducournau Y. A closer look at the ILM. Removal of the ILM induces a cellular response that allows the retina to fight against edema. Retinal Physician. 2008(Suppl 6):4-15.
- Balayre S, Boissonnot M, Fernandez B, Quellard N, Babin P, Dighiero P. Ultrastructural study of epiretinal membrane stained by trypan blue: 15 case reports. J Fr Ophtalmol. 2005;28:159-167.
- Kadonosono K, Itoh N, Nomura E, Ohno S. Perifoveal microcirculation in eyes with epiretinal membranes. Br J Ophthalmol. 1999;83:1329-1331.
- Michalewski J, Michalewska Z, Cisiecki S, Nawrocki J. Morphologically functional correlations of macular pathology connected with epiretinal membrane formation in spectral optical coherence tomography (SOCT). Graefes Arch Clin Exp Ophthalmol. 2007;245:1623-31.
- Margherio RR, Cox MS Jr., Trese MT, Murphy PL, Johnson J, Minor LA. Removal of epimacular membranes. Ophthalmology. 1985;92:1075-1083.
- Grewing R, Mester U. Results of surgery for epiretinal membranes and their recurrences. Br J Ophthalmol. 1996;80:323-326.
- Banach MJ, Hassan TS, Cox MS, Margherio RR, Williams GA, Garretson BR, Trese MT. Clinical course and surgical treatment of macular epiretinal membranes in young subjects. Ophthalmology. 2001;108:23-26.
- Smiddy WE, Michels RG, Gilbert HD, Green WR. Clinicopathologic study of idiopathic macular pucker in children and young adults. Retina. 1992;12:232-236.
- Bovey EH, Uffer S, Achache F. Surgery for epimacular membrane: impact of retinal internal limiting membrane removal on functional outcome. Retina. 2004;24:728-735.
- Gaudric A, Fardeau C, Goberville M, Cohen D, Paques M, Mikol J. Ablation of the internal limiting membrane, macular unfolding and visual outcome in surgery of idiopathic epimacular membranes. J Fr Ophthalmol. 1993;16: 571-576.
- Rice TA, De Bustros S, Michels RG, Thompson JT, Debanne SM, Rowland DY. Prognostic factors in vitrectomy for epiretinal membranes of the macula. Ophthalmology. 1986;93:602-610.
- Trese MT, Chandler DB, Machemer R. Macular pucker. I. Prognostic criteria. Graefe's Arch Clin Exp Ophthalmol. 1983;221:12-15.
- Park DW, Dugel PU, Garda J, Sipperley JO, Thach A, Sneed SR, Blaisdell J. Macular pucker removal with and without internal limiting membrane peeling: pilot study. Ophthalmology. 2003;110:62-64.
- Kwok AK, Lai TY, Yuen KS. Epiretinal membrane surgery with or without internal limiting membrane peeling. Clin Exp Ophthalmol. 2005;33:379-385.
- Hasegawa T, Emi K, Ikeda T, Watanabe M, Takaoka G. Long-term prognosis of internal limiting membrane peeling for idiopathic epiretinal membrane. Nippon Ganka Gakkai Zasshi. 2004;108:150-156.
- Schadlu R, Tehrani S, Shah GK, Prasad AG. Long-term follow-up results of ILM peeling during vitrectomy surgery for premacular fibrosis. Retina. 2008;28: 853-857.
- Kwok AK, Lai TY, Li WW, Woo DC, Chan NR. Indocyanine green-assisted internal limiting membrane removal in epiretinal membrane surgery: a clinical and histologic study. Am J Ophthalmol. 2004;138:194-199.
- Sivalingam A, Eagle RC Jr, Duker JS, Brown GC, Benson WE, Annesley WH Jr, Federman J. Visual prognosis correlated with the presence of internal-limiting membrane in histopathologic specimens obtained from epiretinal membrane surgery. Ophthalmology. 1990;97:1549-1552.
- Uemura A, Kanda S, Sakamoto Y, Kita H. Visual field defects after uneventful vitrectomy for epiretinal membrane with indocyanine greenassisted internal limiting membrane peeling. Am J Ophthalmol. 2003;136:252-257.
- Haritoglou C, Gass CA, Schaumberger M, Ehrt O, Gandorfer A, Kampik A. Macular changes after peeling of the internal limiting membrane in macular hole surgery. Am J Ophthalmol. 2001;132:363-368.
- Haritoglou C, Gandorfer A, Gass CA, Schaumberger M, Ulbig MW, Kampik A. Indocyanine green-assisted peeling of the internal limiting membrane in macular hole surgery affects visual outcome: a clinicopathologic correlation. Am J Ophthalmol. 2002;134:836-841.
- Tadayoni R, Paques M, Massin P, Mouki-Benani S, Mikol J, Gaudric A. Dissociated optic nerve fiber layer appearance of the fundus after idiopathic epiretinal membrane removal. Ophthalmology. 2001;108:2279-2283.
- Mester V, Kuhn F. Internal limiting membrane removal in the management of full-thickness macular holes. Am J Ophthalmol. 2000;129:769-777.
- Da Mata AP, Burk SE, Riemann CD, Rosa RH Jr., Snyder ME, Petersen MR, Foster RE. Indocyanine green-assisted peeling of the retinal internal limiting membrane during vitrectomy surgery for macular hole repair. Ophthalmology. 2001;108:1187-1192.
- Haritoglou C, Reiniger IW, Schaumberger M, Gass CA, Priglinger SG, Kampik A. Five-year follow-up of macular hole surgery with peeling of the internal limiting membrane: update of a prospective study. Retina. 2006;26:618-622.
- Ko TH, Witkin AJ, Fujimoto JG, Chan A, Rogers AH, Baumal CR, Schuman JS, Drexler W, Reichel E, Duker JS. Ultrahigh-resolution optical coherence tomography of surgically closed macular holes. Arch Ophthalmol. 2006;124:827-836.
- Pel-Przybyszewska E, Szkudlarek E, Szkudlarek A, Nawrocki J. Trypan blue staining in treatment of macular hole. Klin Oczna. 2004;106:503-505.
- Michalewska Z, Michalewski J, Cisiecki S, Adelman R, Nawrocki J. Correlation between foveal structure and visual outcome following macular hole surgery: a spectral optical coherence tomography study. Graefes Arch Clin Exp Ophthalmol. 2008;246:823-30.
- Uemoto R, Yamamoto S, Takeuchi S. Epimacular proliferative response following internal limiting membrane peeling for idiopathic macular holes. Graefes Arch Clin Exp Ophthalmol. 2004;242:177-180.
- Pendergast SD, Hassan TS, Williams GA, Cox MS, Margherio RR, Ferrone PJ, Garretson BR, Trese MT. Vitrectomy for diffuse diabetic macular edema associated with a taut premacular posterior hyaloid. Am J Ophthalmol. 2000;130:178-186.
- Tachi N, Ogino N. Vitrectomy for diffuse macular edema in cases of diabetic retinopathy. Am J Ophthalmol. 1996;122:258-260.
- Gandorfer A, Messmer EM, Ulbig MW, Kampik A. Resolution of diabetic macular edema after surgical removal of the posterior hyaloid and the inner limiting membrane. Retina. 2000;20:126-133.
- Avci R, Kaderli B, Avci B, Simsek S, Baykara M, Kahveci Z, Gelisken O, Yucel AA. Pars plana vitrectomy and removal of the internal limiting membrane in the treatment of chronic macular oedema. Graefes Arch Clin Exp Ophthalmol. 2004;242:845-852.
- Recchia FM, Ruby AJ, Carvalho Recchia CA. Pars plana vitrectomy with removal of the internal limiting membrane in the treatment of persistent diabetic macular edema. Am J Ophthalmol. 2005;139:447-454.
- Rosenblatt BJ, Shah GK, Sharma S, Bakal J. Pars plana vitrectomy with internal limiting membranectomy for refractory diabetic macular edema without a taut posterior hyaloid. Graefes Arch Clin Exp Ophthalmol. 2005;243:20-25.
- Chang PY, Yang CM, Yang CH, Chen MS, Wang JY. Pars plana vitrectomy for diabetic fibrovascular proliferation with and without internal limiting membrane peeling. Eye. 2009;23:960-965.
- Yamamoto T, Hitani K, Sato Y, Yamashita H, Takeuchi S. Vitrectomy for diabetic macular edema with and without internal limiting membrane removal. Ophthalmologica. 2005;219:206-213.
- Raszewska M, Gozdek P, Cisiecki S, Michalewska Z, Michalewski J, Nawrocki J. Pars plana vitrectomy with ILM peeling for retinal vein occlusion Eur J Ophthalmol, in press.
- Mandelcorn MS, Nrusimhadevara RK. Internal limiting membrane peeling for decompression of macular edema in retinal vein occlusion: a report of 14 cases. Retina. 2004;24:348-355.
- Sakamoto H, Yamanaka I, Kubota T, Ishibashi T. Indocyanine green-assisted peeling of the epiretinal membrane in proliferative vitreoretinopathy. Graefes Arch Clin Exp Ophthalmol. 2003;241:204-207.
- Nawrocki J, Michalewska Z , Michalewski J. Glaskörperchirurgie mit Trypan Blau bei der Behandlung von PVR Netzhautablösungen. Klin Monatsbl Augenheilkd. 2005;222:572-576.
- Odrobina D, Michalewska Z, Michalewski J, Nawrocki J. Spectral Optical Coherence Tomography (SOCT) images of the retina in patients after vitrectomy and retinotomy with silicone oil for retinal detachment. Retina, in press.
- Aras C, Arici C, Akar S, Müftüoglu G, Yolar M, Arvas S, Baserer T, Koyluoglu N. Peeling of internal limiting membrane during vitrectomy for complicated retinal detachment prevents epimacular membrane formation. Graefes Arch Clin Exp Ophthalmol. 2009;247:619-623.
- Michalewska Z, Michalewski J, Nawrocki J. Paracentral retinal defects after vitrectomy for macular hole and their evolution over time. Retinal Cases and Brief Reports. 2009 [Epub ahead of print]
- Haouchine B, Massin P, Tadayoni R, Erginay A, Gaudric A. Diagnosis of macular pseudoholes and lamellar macular holes by optical coherence tomography. Am J Ophthalmol. 2004;138:732-739.







