FOCUS ON …
Putting Autofluorescence on the Map
LESLIE GOLDBERG, ASSOCIATE EDITOR
Autofluorescence imaging has garnered attention as a diagnostic tool in recent years because of its ability to measure the functional properties of the retinal pigment epithelium in vivo, providing information previously only available histologically. Its ability to detect lipofuscin yields insights into the metabolic activity of the RPE, and it is believed that recognizing abnormal lipofuscin levels may allow for greater awareness of the course of AMD and its response to therapy, particularly in its earliest stages, and aid management of other diseases as well. Its clinical utility and noninvasive nature is increasing its value as a diagnostic aid,1 and its functional imaging serves as a natural complement to the structural imaging generated by OCT.
Devices that measure autofluorescence create images either with a fundus camera or a scanning laser device. Karl Csaky MD, PhD, of the Retina Foundation of the Southwest, says there is an increased level of sensitivity when using a scanning laser to capture autofluorescence. FAF imaging with a confocal scanning laser ophthalmoscope was initially described by von Rückmann and associates in 19952 but was confined to academic and research facilities until just a few years ago.
This type of autofluorescence is poised to go mainstream now that Heidelberg has begun offering it on five of its seven Spectralis models under the name BluePeak. The timing is fortuitous, as dry AMD is gaining in prominence as a target of drug development.
IMPORTANCE OF FAF MEASUREMENT
The observation that a change in the autofluorescence signal can be a bad sign is driving the interest in autofluorescence, says Dr. Csaky. “For example, there should be some autofluorescence in RPE, but when it changes — either increases or decreases — it has potential clinical importance.”
Dr. Csaky says there are currently several trials looking at potential treatments for geograghic atrophy (GA) that could potentially slow the expansion of the area of retinal atrophy. Most of these trials require the measuring of autofluorescence.
“Recent clinical reports strongly suggest that autofluorescence may be the best way to track the progression of GA for dry AMD patients,” says Dr. Csaky. “The combination of BluePeak and of the development of these anti-GA drugs will enable clinicians to potentially take advantage of these emerging therapeutics in the same way that ranibizumab and OCT changed the management of wet AMD.”
Dr. Csaky states that there is evidence to suggest that various patterns of increased autofluorescence in GA herald more rapid progression and a more rapid loss of vision. He also says there is some suggestion that autofluorescence patterns may be able to outline the pattern of RPE loss better than fundus photographs.3
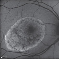
Dry AMD imaged with Heidelberg's new BluePeak.
FAF IN CLINICAL PRACTICE
Now that autofluorescence imaging is available to retinal practices, Dr. Csaky says that it can play an important role in clinical trial work as well as in making prognoses and tracking GA patients. In addition, there are some reports that indicate that monitoring RPE autofluorescence may also be useful in following response to therapy in a practice setting in patients with choroidal neovascularization.
He also says it's sometimes used to differentiate AMD from some of the dystrophies because dystrophies tend to have more autofluorescence than macular degeneration. “As we use the technology more and more, we will better learn how to capture and interpret information,” he concludes. RP
REFERENCES
- Schmitz-Valckenberg S, Holz FG, Bird AC, Spaide RF. Fundus autofluorescence Imaging review and perspectives. Retina. 2008;28:385–409.
- von Rückmann A, Fitzke F, Bird A, Distribution of fundus autofluorescence with a scanning laser ophthalmoscope, Br J Ophthalmol. 1995;79:407–412.
- Holz FG, Bindewald-Wittich A, Fleckenstein M, et al.; FAM-Study Group. Progression of geographic atrophy and Impact of fundus autofluorescence patterns in age-related macular degeneration. Am J Ophthalmol. 2007;143:463–472.







