PHOTO ESSAY
Treatment of CNV Secondary to Sorsby's Macular Dystrophy With Intravitreal Ranibizumab
MURALIDHARAN R. UPENDRAN, MBBS, MRCOphth · GIULIANA SILVESTRI, MD, FRCPEd, FRCSEd, FRCOphth
Sorsby's fundus dystrophy is a rare autosomal-dominant retinal dystrophy characterized by bilateral loss of central vision secondary to choroidal neovascularization (CNV), pigment epithelial atrophy, or both, in the macula. It usually first presents in people in their 30s and 40s. Other features include nyctalopia and peripheral retinal degeneration. Sorsby's macular dystrophy is caused by mutations in TIMP3, a tissue inhibitor of metalloproteinases.1
Sorsby first described this disease in 1949 in five families.2 Difficulty with dark adaptation is an early symptom — but not universally present. Generally, patients are asymptomatic until the onset of vision loss due to CNV or macular atrophy.1
Clinical features can vary between patients and include drusen-like deposits, CNV, central retinal pigment atrophy, and peripheral retinal changes.1 Angioid streaks have also been described.3 The white drusen-like deposits in the posterior pole are a striking feature, though not universally present. The development of CNV in any patient under the age of 50 should alert the clinician to a possible diagnosis of Sorsby's dystrophy.1 Although affected patients lose central vision eventually, either due to CNV or pigment atrophy, CNV is the most common cause for central visual loss in these patients.3
Prior to the availability of anti-VEGF agents, the outcome from treatment of CNV was often disappointing and the prognosis was almost universally poor.
The introduction of anti-VEGF agents has greatly altered the prognosis for patients with CNV in AMD. While extensive literature is available regarding the use of anti-VEGF agents in treating CNV due to AMD, there is a paucity of literature about their use in Sorsby's fundus dystrophy.
| Muralidharan R. Upendran, MBBS, MRCOphth (London), is specialty registrar in ophthalmology at the Royal Victoria Hospital in Belfast, United Kingdom. Giuliana Silvestri, MD, FRCPEd, FRCSEd, FRCOphth, is a consultant ophthalmic surgeon and reader in the Department of Ophthalmology at the Royal Victoria Hospital in Belfast. Neither author reports any financial interest in any product mentioned in this article. Dr. Upendran can be reached via e-mail at rumurali@yahoo.co.in. |
CASE DISCUSSION
A 37-year-old man was referred to the ophthalmology clinic in 1998 by his GP for an eye examination, as he had a family history of a retinal dystrophy. He was asymptomatic at the time. He had come to know that some of his siblings were affected by an inherited retinal dystrophy and had lost vision. He was obviously anxious to know if he too was going to be affected by this. His visual acuity was 20/20 in both eyes. Color vision was normal. Fundus examination was normal.
Electrophysiology testing showed moderately decreased EOG response and a slightly decreased rod full-field ERG in both eyes. The cone response was normal. Further inquiry into the case notes of the affected family members revealed a diagnosis of Sorsby's dystrophy, which was confirmed by genetic testing in two siblings and mapped to the TIMP3 gene at chromosome 22q12.1-13.2. Genetic testing in our patient also showed the same mutation. Pedigree analysis suggested an autosomal-dominant pattern (Figure 1).
Figure 1. Pedigree of the patient's family (Note: Patient has not yet given consent for screening of his children.)
The patient was followed up at regular intervals. He was prescribed an oral vitamin A supplement, but he failed to keep taking it. In late 2002, he developed sudden decrease in central vision in his left eye and was noted to have an extrafoveal CNV, which progressed subfoveally to a disciform scar despite PDT treatment (Figure 2). The final vision in the left eye was counting fingers (CF).
Figure 2. CNV in the left eye, which progressed to disciform scar despite photodynamic therapy.
In mid-2005, he started experiencing symptoms of blur in his right eye; however, no CNV was detected. His visual acuity in the right eye was 20/30. In October 2006, he reported distortion and further decrease in his vision in the OD. His best-corrected visual acuity had dropped to 20/60. Examination revealed a large juxtafoveal CNV in the right eye (Figure 3). He received PDT treatment. However, the CNV persisted. PDT was repeated in early 2007 and was supplemented with two intrav-itreal injections of bevacizumab (1.25 μg each). This appeared to stabilize the CNV and his best-corrected vision improved to 20/40.
Figure 3. Juxtafoveal choroidal neovascularization in the right eye.
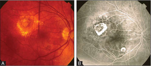
In mid-2007, the patient experienced new symptoms in the right eye and FFA showed a new second focus of extrafoveal CNV (Figure 4). He received one session of repeat PDT, which was followed by intravitreal ranibizumab (0.5 mg) one week later. It was now decided to proceed with intravitreal treatment alone and he went on to receive six more injections of intravitreal ranibizumab between June 2007 and June 2008. His best-corrected visual acuity has remained at 20/60. At last follow-up in August 2009, there was no sign of recurrence of the CNV either clinically, on fundus fluorescein angiog-raphy, or on OCT (Figure 5). He has not needed any repeat injections since June 2008.
Figure 4. Second focus of CNV in the right eye.
Figure 5. At last follow-up, showing no signs of recurrence of CNV RE and disciform scar LE.
DISCUSSION
Various treatment options have been described for treating CNV in Sorsby's dystrophy. These include laser photocoagulation,4 systemic and periocular steroids,5 pho-todynamic therapy alone6 and in combination with intravitreal triamcinolone acetonide,7 and systemic bevacizumab (Avastin, Genentech).8 Both argon and krypton laser photocoagulation are fraught with recurrences.9 The final outcome from laser treatment has been shown to be no different from the natural history of extrafoveal CNV in patients with Sorsby's and hence laser is no longer recommended.1
Photodynamic therapy treatment for CNV in Sorsby's dystrophy has been reported to be satisfactory when followed up for one year. However, retreatment was being planned in the same patient at the time of writing.6 Supplementing PDT with intravitreal triamcinolone has shown better outcomes in the short term.1,7 However some of these patients were steroid responders; hence steroid treatment had to be discontinued. Further, there was no apparent effect on CNV progression.1
Intravitreal bevacizumab in combination with PDT has yielded encouraging results in one patient.1 The patient received supplemental therapy later with posterior juxta-scleral depot of anecortave acetate in view of the short-term action of bevacizumab. The patient maintained a visual acuity of 20/40. However, the follow-up was at only six months.1
CONCLUSION
Our result of treating CNV in Sorsby's dystrophy with repeated intravitreal anti-VEGF agents appears to be promising. Though repeated injections were needed initially, we have been able to maintain satisfactory levels of visual acuity over a two-year follow-up. Though both bevacizumab and ranibizumab were used in this case, the reason for doing so was mainly due to ease of availability and licensing issues and we do not claim any beneficial effect of one over the other. To the best of our knowledge, this is the longest follow-up result with treatment of CNV in patients with Sorsby's dystrophy with anti-VEGF agents and without steroid supplement.
Intravitreal anti-VEGF therapy is very promising in treating CNV due to Sorsby's fundus dystrophy, which otherwise tends to have a uniformly poor prognosis. RP
REFERENCES
- Sivaprasad S, Webster AR, Egan CA, Bird AC, Tufail A. Clinical course and treatment outcomes of Sorsby fundus dystrophy. Am J Ophthalmol. 2008;146:228–234. Epub 2008 May 23.
- Sorsby A, Mason ME. fundus dystrophy with unusual features. Br J Ophthalmol. 1949;33:67–97.
- Hoskin A, Sehmi K, Bird AC. Sorsby's pseudoinflammatory macular dystrophy. Br J Ophthalmol. 1981;65:859–865.
- Segato T, Piermarocchi S, Midena E, Leperdi M. Sorsby's pseudo-inflammatory macular dystrophy: laser treatment. J Fr Ophtalmol. 1989;12:863–868.
- Atan D, Gregory Evans CY, Louis D, Downes SM. Sorsby fundus dystrophy presenting with choroidal neovascularisation showing good response to steroid treatment. Br J Ophthalmol. 2004;88:440–441.
- Wong SC, Fong KC, Lee N, Gregory-Evans K and Gregory-Evans CY. Successful photodynamic therapy for subretinal neovascularisation due to Sorsby's fundus dystrophy: 1 year follow-up. Br J Ophthalmol. 2003;87:796–797.
- Peiretti E, Klancnik JM Jr, Spaide RF, Yannuzzi L. Choroidal neovascularization in sorsby fundus dystrophy treated with photodynamic therapy and intravitreal triamcinolone acetonide. Retina. 2005;25:377–379.
- Prager F, Michels S, Geitzenauer W, Schmidt-Erfurth U. Choroidal neovascularization secondary to Sorsby fundus dystrophy treated with systemic bevacizumab (Avastin). Acta Ophthalmol Scand. 2007;85:904–906. Epub 2007 Apr 13.
- Holz FG, Haimovici R, Wagner DG, Bird AC. Recurrent choroidal neovascularization after laser photocoagulation in Sorsby's fundus dystrophy. Retina. 1994;14:329–334.







