Re-Flow Strategy With 25-g "One Pars Plana Port" Technique: Personal Strategy for Vitreoretinal Surgery
CESARE FORLINI, MD · MATTEO FORLINI, MD · PAOLO ROSSINI, MD
Under normal conditions, in the phakic eye, aqueous humor flows from the production site, namely the ciliary processes, to the posterior chamber, the pupillary foramen, and the anterior chamber, moving away from the eye through the trabecular meshwork in the corner.
In the pseudophakic eye and, especially, in the aphakic eye, specifically when the natural iridolenticular barrier's integrity is lost, "convective" and "diffusional" retrograde exchanges can take place with both the posterior chamber and the vitreous chamber, when a negative pressure is created in the posterior/vitreous chamber.
| Cesare Forlini, MD, Matteo Forlini, MD, and Paolo Rossini, MD, practice in the Ophthalmology Unit at S. Maria delle Croci Hospital in Ravenna, Italy. The authors report no financial interest in products mentioned in this article. Dr. Cesare Forlini may be reached via e-mail at forlinic@forlinic.it. |
INFUSION INTO THE AC: WHY?
Standard traditional 20-g vitreoretinal surgery envisages three access points to the vitreous chamber, positioned in the pars plana: one for infusion, and two for the access of microsurgical instruments. An infusion positioned in the pars plana directly enters the vitreous chamber, replacing the vitreous gel or the buffer that is gradually removed during surgery.
Hence the infusion and two small access points for instruments create a balanced "closed system" that enables the ocular bulb to maintain adequate positive internal pressure, even when negative pressures (suction pressures) are very high, as occurs with automatic suction pumps connected to a machine.
When flows generated by infusion into the vitreous chamber find a natural outlet that leads outside near sclerotomies, they can drag vitreous fibrillae along, thus causing either incarceration or the outflow of such fibers through sclerotomies.
It is common knowledge that, if this event is not managed well or even misdiagnosed on completion of surgery, it can cause serious complications in the short/medium postoperative period. In fact, these fibers retract, causing tractions in the neighboring peripheral retina and even peripheral retinal breakage with subsequent detachment of the retina and the rare formation of a medium for septic processes.
This can be avoided by always checking peripheral regions, especially access points to the pars plana, on completion of surgery to avoid, or at least reduce, the risk of such unfortunate events. The experience of Didier Ducournau (two-port vitrectomy with slit lamp) stimulated us to perform a single sclerotomy (one-port vitrectomy) to try to reduce the risk of port-related complications by using an anterior-chamber infusion.
Infusion into the anterior chamber is a well-known procedure that is applied in special cases, such as traumas, or in highly complex, poorly defined conditions in which this solution is generally adopted when surgery commences and the outlet of the infusion trocar is either uncertain or cannot be immediately ascertained.
This course was followed while seeking an alternative route to reduce risks associated with the traditional method, experimenting with the technique of infusion into the anterior chamber as a standard procedure throughout vitreoretinal surgery.
Hence the "Re-Flow" model (reverse transzonular flow), which exploits infusion into the anterior chamber, was designed. This technique was first presented by Forlini et al. at the Vail Vitrectomy conference on vitreoretinal surgery in 2004. The model envisages the motion of fluid from the anterior chamber to the vitreous chamber, through the zonula, in phakic or pseudophakic patients with capsule intact or directly in aphakic or pseudophakic eyes with interrupted capsule (Figure 1). This allows the use of only one pars plana port in selected cases of macular surgery, using the slit lamp for illumination.
Figure 1. Three-D model of the original "Re-Flow" strategy with the infusion in the anterior chamber: the fluid arrives in the vitreous space through the zonula (phakic or pseudophakic patients) or by direct flow (in aphakic patients)
SURGICAL TECHNIQUE: OUR STORY
For the 20-g system, this technique initially envisaged the use of a pediatric 26-g Abbocath cannula (2003). It was adapted for infusion by making a central hole and positioned on the side to prevent the hole from directly facing the corneal endothelium, which was needed for infusion. It was inserted into the anterior chamber through two corneal tunnels bored into the nasal and inferior temporal sectors and closed at the distal end with a plug that was used to close the lacrimal ducts (Figure 2). This system has been used both in 20-g and 25-g surgery, especially for macular disorders (eg, macular hole, macular pucker, macular diabetic edema, vascular disorders, Terson syndrome).
Figure 2. First example of the “Re-Flow“ technique with 26-g anterior-chamber infusion and 20-g pars plana vitrectomy (presented at Vail Vitrectomy Meeting 2004).
The evolution of this method is the 25-g “Re-Flow One Pars Plana Port” technique. It means that complete surgery can be performed with only one 25-g access route inserted into the pars plana (Figure 3).
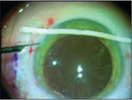
With this technique, we started using the trocar 25-g cannula directly for infusion into the anterior chamber, inserted through a single oblique corneal tunnel positioned in the inferior region with the same precalibrated 25-g sclerotome supplied with the surgical set. This ensures excellent sealing of the tunnel, system stability with infusion, and 25-g access points and, therefore, optimal balance with the additional advantage of one access alone (one pars plana port) in the pars plana. The lightness of a 25-g infusion cannula ensures its balance without touching the cornea, iris, or lens.
THE ONE PARS PLANA PORT TECHNIQUE
In macular surgery, it is possible to use only one access into the pars plana (with either the slit lamp or the transconjunctival chandelier as light source). The One Pars Plana Port technique that was initially designed (EVRS, 2005) made use of the slit lamp fitted to the surgical microscope as a light source to reduce the phototoxic effect of prolonged exposure of the macular region.
• Further evolution: Following the release on the market of new xenon light sources and 27-g transconjunctival fibers, we have recently adopted this technique with a strong fixed source (chandelier), mostly positioned at 12 o'clock, and a non-contact global vision system (BIOM) (Figure 4). We have to consider that the chandelier is an entrance but not a port.
Compared to the 20-g system, 25-g Re-Flow vitrectomy has the advantage of greater balance between infusion and suction; hence, it neither presents excessive pressure fluctuations with sudden drops in the anterior chamber nor dangerous hypotonic conditions. Even high vacuum conditions (maximum 500 to 600 mm Hg) can be better managed without evident alterations in relations between intraocular spaces.
The use of vital stains and triamcinolone acetonide offers a better understanding and confirms our observations. We make use of the routine administration of triamcinolone and Trypan blue to highlight and remove vitreous fluid (TA-assisted vitrectomy), the posterior hyaloid membrane, and any epiretinal membranes (ERM), and we administer IFCG or Brilliant Blue G for ILM staining. Using the one-port technique during macular surgery in phakic and pseudophakic eyes (with uninterrupted capsule), the flow moves through the zonula (transzonular flow) toward the vitreous chamber without turbulences (laminar flow).
Figure 3. Evolution of the technique: “One pars plana port” vitrectomy with 25-g system. Use of slit lamp, one pars plana 25-g approach with 25-g anterior infusion in phakic patient (Annual ASRS Meeting, Montreal 2005): (A) Oblique inferior corneal tunnel with 25-g blade; (B) Infusion in the anterior chamber; (C) Triamcinolone injection without closing the infusion; the powder goes toward the posterior pole; (D) ILM peeling.
The injection of these stains, administered into the vitreous chamber without stopping infusion, highlights the course followed by intraocular fluids when the Re-Flow technique is used. They are carried downward toward the posterior pole with neither turbulence nor dispersion (important detail for posterior pole staining) and straight fluid motion that does not require the temporary interruption of infusion, as occurs when it is performed by routine in the pars plana.
These intraocular fluidics offer the dual advantage of: (1) removing the need to stop infusion during the staining process (with no risk of hypotonia); and (2) directly channeling the stain to the posterior pole without pointless dispersions and incurring any potentially hazardous overdose.
CONSIDERATIONS
We believe that the Re-Flow strategy with the “One Pars Plana Port” technique modifies and revolutionizes intraocular fluidics and the entire surgical strategy that normally follows a posteroanterior direction (ciliary bodies → posterior chamber → pupil → anterior chamber → corner trabecular meshwork) when there is an anterior-posterior cascade flow.
Figure 4. “Re-Flow” technique with 25-g infusion, 23-g pars plana vitrectomy, non-contact wide angle view system (BIOM), and 27-g chandelier xenon light for endoillumination.
Listed below are some advantages that occur, since the hydrodynamic drive of the infusion originates from the anterior chamber where the infusion cannula is inserted:
► Infusion fluid does not penetrate into the vitreous body, as occurs when the infusion cannula is inserted through the pars plana.
► The anterior hyaloid membrane and, hence, the vitreous body are pushed downward, far from the posterior capsule, toward the posterior pole to distance the vitreous chamber from the pars plana and, thus, from sclerotomies.
► The space between the lens and the anterior hyaloid membrane is turned from virtual to real.
The use of the slit lamp and infusion into the anterior chamber reduces the number of sclerotomies to one with a subsequent lower risk of vitreous incarceration and entry-site retinal breaks.
The alternative of the 27-g transconjunctival chandelier neither influences nor modifies the surgical strategy because the access point — be it sutured or not — is not a real “door” to the vitreous chamber. Unlike trocar cannulae, the light source is a fixed probe with no internal light. Therefore, it is not designed for sliding surgical instruments and does not expose the patient to the risk of vitreous dragging/incarceration.
Finally, the Re-Flow strategy (with “One Pars Plana Port” technique designed by us) combines the advantage of innovative intraocular fluidics (anteroposterior direction, instead of the classical in-out route) and a less invasive approach in the era of mini-invasive surgery.
The advent of 25/23-gauge mini-invasive surgical systems and, recently, of the 27-g system, allows minimal removal of the vitreous (core vitrectomy) and less traumatizing and risky manipulations in the vitreous chamber. This is ensured by the small caliber of the instruments and high performance standards of the vitreous cutter (flow control, high-speed vitrectomy, duty cycle).
Hence, it is our preferred surgical method because it involves a lower risk of iatrogenic injury and faster functional recovery of the patient. In the period between June 2003 and December 2008 we performed over 100 one pars plana port vitrectomies using the techniques described here. We did not observe differences in corneal endothelial cell loss and in the zonular system compared with the standard vitrectomy in pars plana. RP







