CASE REPORT
Massive Papilledema due to Hydrocephalus
CHIRAG P. SHAH, MD, MPH
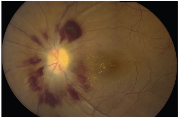
Six years after resection and chemotherapy for colon cancer, a 38-year-old woman presented with acute lymphocytic leukemia. She required placement of an Ommaya reservoir for intrathecal chemotherapy. She subsequently developed hydrocephalus, necessitating ventricular-peritoneal shunt with removal of the Ommaya reservoir. Once stable postoperatively, ophthalmic examination revealed bilateral resolving papilledema with massive peripapillary retinal hemorrhage (Figure 1). Papilledema is common in the setting of hydrocephalus and resolves with normalization of intracranial pressure. Accompanying large preretinal hemorrhages are atypical and may be related to thrombocytopenia. Though visual acuity often returns to baseline, as in this case, visual field defects may persist. RP
| Chirag P. Shah, MD, MPH, is a vitreoretinal fellow at the Wills Eye Institute in Philadelphia. He reports no financial interest in any product mentioned in this article. Dr. Shah can be reached via e-mail at cshah@post.harvard.edu. |
Figure 1. Fundus photo of the left eye, revealing massive peripapillary retinal hemorrhage with resolving optic-nerve edema.







