How Baseline Assessment of AMD Lesion Type Influences Clinical Decisions and Outcomes
Careful diagnosis and phenotyping of neovascular AMD patients is still required in the anti-VEGF era.
USHA CHAKRAVARTHY, MD, FRCS, FRCOphth, PhD • STUART McGIMPSEY, MD, FRCOphth • CLARA McAVOY, MD, FRCOphth
In the latter half of the past decade, the management of neovascular age-related macular degeneration (AMD) has been transformed by the introduction of anti-vascular endothelial growth factor (VEGF) therapies. The pivotal clinical trials1-2 that used ranibizumab (a humanized mouse monoclonal antibody against VEGF) unequivocally demonstrated marked improvements in outcomes when compared to the previously popular therapeutic approach of verteporfin photodynamic therapy (PDT) or to natural history.
The enthusiasm with which retinal physicians embraced the use of ranibizumab, while driven by its unquestionable superiority over existing therapies, was also in part attributable to the fact that treatment yielded visual outcomes of similar effectiveness regardless of the composition of the neovascular AMD lesion. Specifically, the treatment response to ranibizumab was unaffected by whether the patient had lesions that were composed entirely or predominantly of either the classic or occult type of choroidal neovascularization (CNV) or a mixture of the two.1-2
These distinctions are based on the angiographic fluorescein leakage charac teristics of the neovascular lesion.3 The neovascular lesion is said to be classic when the fluorescein leakage is well delineated and occurs early in the angiographic run — signifying the unequivocal presence of a neovascular complex(es) in the subretinal space — and, conversely, occult when the leakage is speckled or poorly defined and appears in the latter part of the angiographic run, signifying the presence of a presumed neovascular complex (or complexes) lying deep below the retinal pigment epithelium and therefore not visible in precise detail on fluorescein angiography.
These angiographic characteristics were previously considered notable in determining visual outcomes. Thus, for example, treatment with argon laser photocoagulation (which is thermal destruction of the neovascular AMD lesion) was contingent on treating classic choroidal neovascularization of limited size and specified location with respect to the foveal avascular zone.3 Similarly, with photodynamic therapy (which employs exposure of the preidentified area of the retina containing the neovascular complex to a nonthermal laser in order to activate the intravenously-administered photosensitizer verteporfin), better outcomes were noted with classic or predominantly classic lesions of specified size, though location was not an issue with this treatment modality.4
CHANGING PRACTICE PATTERNS
The finding that the lesion composition played no part in visual outcome in the ranibizumab trials has resulted in a marked difference in the manner in which retinal physicians approach the management of patients with presumed neovascular AMD. Many retinal physicians who previously had to acquire and maintain skills in the interpretation of fluorescein and indocyanine green angiograms for diagnosis and case selection were suddenly freed from these constraints. In addition, at the same time there was a vast improvement in the technology of optical coherence tomography and a concomitant reduction in its price, allowing its transfer into common usage in the office; in the past, such equipment tended to be limited to clinical academic units. Thus, retinal physicians were now able to obtain high-resolution images of the macula, which allowed easy determination of the presence of an exudative lesion. Furthermore, OCT also provided the medium through which the response to ranibizumab treatment could be monitored, as the change in the profile of the retinal tissue layers was clearly visible and demonstrable at review visits.
In some clinical practices, the availability of these advances — namely, effective new treatments and innovative noninvasive imaging tools — has led to the adoption of algorithms which do not involve angiographic baseline characterization of the condition. Clinicians are now willing to detect, diagnose and treat neovascular AMD based solely on visual acuity in the affected eye and tomographic evidence of fluid in the macular tissues.
THE CONTINUED IMPORTANCE OF ANGIOGRAPHIC ASSESSMENT
Angiographic lesion characterization is important for two main reasons. Firstly, there are a number of conditions that result in the development of an exudative lesion in the macula which can mimic neovascular AMD. Secondly, without angiography there is a lack of information on the variant of neovascular AMD that is present.
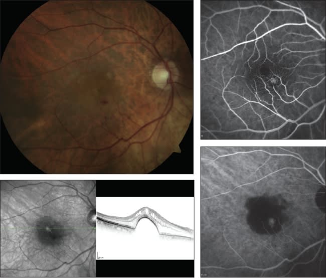
A comprehensive list of AMD mimickers is outside the scope of this article. However, conditions such as central serous retinopathy, perifoveal macular telangiectasia, minor branch retinal vein occlusions in the vicinity of the macula, diabetic retinal macular edema and adult vitelliform lesions are a few examples of entities that can share common tomographic features with exudative AMD. The OCT in Figure 1 from a 70-year-old female patient shows a subfoveally-located macular lesion with associated retinal thickening, an appearance consistent with choroidal neovascularization. The accompanying fluorescein angiogram confirms the presence of an adult vitelliform lesion.
Figure 2 is an example of the common clinical disorder central serous retinopathy. At the initial assessment of the patient, optical coherence tomography showed the presence of retinal thickening, subretinal fluid and focal pigment epithelial detachments. A diagnosis of occult choroidal neovascularization was made and the patient treated with intravitreal ranibizumab. When no therapeutic response was noted on completion of the loading phase, a reassessment of the fluorescein and ICG angiography revealed the absence of neovascular complexes. Instead, the presence of dilated and leaking choroidal vessels indicated that the observed features were more consistent with a diagnosis of chronic CSR complicated by idiopathic polypoidal choroidopathy.5 While there is an argument for treating exudative macular conditions other than neovascular AMD also with anti-VEGF therapy, studies involving robust comparisons between the currently available standard of care for these other conditions and anti-VEGF therapies have not yet been undertaken. Therefore, the administration of invasive treatments with potential for adverse effects should not be carried out without careful documentation and knowledge of the underlying disease condition.
Clinical examination and OCT findings alone are insufficient to categorize lesions into the currently accepted morphological subtypes of retinal angiomatous proliferation (RAP), classic subretinal neovascularization, vascularized retinal pigment epithelial detachment (vascularized PED) and/or polypoidal choroidal vasculopathy (PCV). Figures 3 and 4 illustrate two commonly recognized variants of AMD; namely, polypoidal choroidopathy and retinal angiomatous proliferation. These clinical features are of relevance and importance in managing patient expectations when considering anti-VEGF therapies. Studies have reported on the occurrence of RPE tears in eyes receiving anti-VEGF therapy for neovascular AMD.
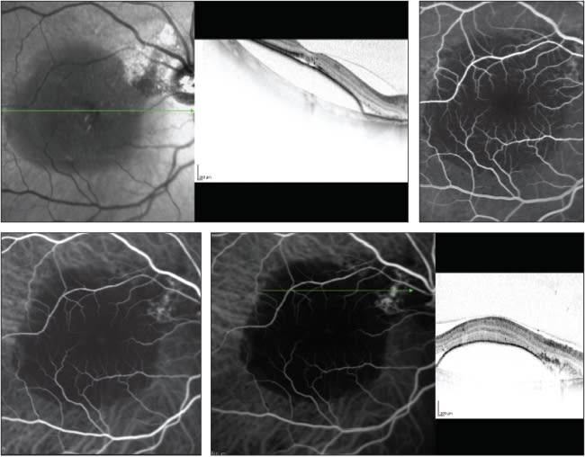
Figure 3. The OCT in the first panel shows the right eye of a patient with a pigment epithelial detachment and subretinal fluid. This was diagnosed as neovascular AMD. After multiple treatments with intravitreal Lucentis, a repeat FA with ICG confirmed the presence of polypoidal choroidopathy. The management was changed to include PDT combined with intravitreal Lucentis.
Figure 4. The color fundus photograph reveals a fleck of hemorrhage and an exudative macular lesion. OCT shows a PED and intraretinal cystoid change. FA confirms the presence of a RAP.
The natural history of a vascularized PED is the development of an RPE tear. If the tear results in a denudation of the RPE layer underlying the fovea, this event can result in an immediate and catastrophic fall in visual acuity. However, the temporal association that has been noted between intravitreal treatment delivery and the onset of an RPE tear is cause for concern and has resulted in the warning that anti-VEGF therapy itself can trigger this event.6 The distinction of a vascularized PED from other forms of pigment epithelial detachments is not easy to make on OCT alone but is easily made on angiography, and this knowledge is of value to allow appropriate pretreatment counseling.
Another reason to determine the morphological subtype is the recent recognition that there is variation in responsiveness to treatment with anti-VEGF in RAP and PCV. These morphological variants are better demonstrated with video angiography using both fluorescein and indocyanine green dyes. The pivotal ranibizumab trials merely classified participants based on the proportion of classic choroidal neovascularization within the lesion; thus, information on the presence of RAP or polypoidal lesions was not available. Furthermore, the eyes of participants with these other variants of exudative AMD being unlikely to fulfill the criteria for inclusion in the pivotal ranibizumab trials are also less likely to be represented in the study population.7
With the introduction of anti-VEGF treatments into mainstream clinical practice and their usage in a wide variety of clinical phenotypes unrestrained by clinical trial criteria, a recognition has emerged that eyes with RAP lesions do not exhibit morphological improvements on par with that seen with the more typical choroidal neovascular complexes, require many more treatments and long-term administration of drug, and in some settings respond better to alternative treatment modalities such as a combination of photodynamic therapy and intravitreal triamcinolone.8 This realization is important for appropriate management and counseling of patients.
The variant of PCV is also more likely to be unresponsive to anti-VEGF treatment. Recent evidence from the EVEREST study,9 a randomized, controlled clinical trial, indicates that PCV is better managed using combined photodynamic therapy alone or with an anti-VEGF. The case shown in Figure 3 illustrates the importance of baseline documentation of this type of neovascular AMD. Polypoidal choroidopathy, while exhibiting some commonality with AMD, also has distinct features that differentiate it from the typical choroidal neovascular complexes of the latter disorder.10 This case was initially classified as an occult lesion with a large PED. After six months of anti-VEGF therapy, the lack of responsiveness prompted a re-evaluation of the case. Imaging with FA with ICG demonstrated the presence of polypoidal choroidopathy.
CONCLUDING REMARKS
Clearly, there are many important reasons why clinicians should retain their skills at interpreting fundus fluorescein and ICG angiograms in light of the growing recognition that a significant minority of patients with clinical features of exudative AMD who are placed on an anti-VEGF therapeutic regimen are either unresponsive or only partly responsive to treatment. Availability of contrast-based imaging with fluorescein and or indocyanine green prior to commencing treatment will not only help provide an improved understanding of treatment responsiveness by morphological subtypes of AMD but also facilitate its distinction from other conditions and improve clinician diagnostic skills.
In summary, there are strong arguments for the continuing use of angiography to carefully document the morphological characteristics of the neovascular lesion and the state of health of the macular tissues prior to commencing treatment with anti-VEGF therapies. RP
REFERENCES
1. Rosenfeld PJ, Brown DM, Heier JS et al Boyer DS, for the MARINA Study Group. Ranibizumab for neovascular age related macular degeneration. N Engl J Med. 2006;355:1419-1431.
2. Brown DM, Kaiser PK, Michels M et al; ANCHOR Study Group. Ranibizumab versus verteporfin for neovascular age-related macular degeneration. N Engl J Med. 2006;355:1432-1412.
3. Macular Photocoagulation Study Group. Subfoveal neovascular lesions in agerelated macular degeneration. Guidelines for evaluation and treatment in the macular photocoagulation study. Arch. Ophthalmol. 1991;109:1217-1218.
4. Treatment of Age-Related Macular Degeneration with Photodynamic Therapy (TAP) Study Group. Verteporfin therapy of subfoveal choroidal neovascularization in patients with age-related macular degeneration: additional information regarding baseline lesion composition's impact on vision outcomes-TAP report No. 3. Arch Ophthalmol. 2002;120:1443-1454.
5. Yanuzzi LA, Freund KB, Goldbaum M, Scasselllati-Sforzolini B, Guyer DR, Spaide RF, Maberley D, Wong DW, Slakter JS, Sorensen JA, Fisher YL, Orlock DA. Ploypoidal choroidal vasculopathy masquerading as central serous chorioretinopathy. Ophthalmology. 2000;10:767-777.
6. Gelisken F, Ziemssen F, Voelker M, Bartz-Schmidt KU, Inhoffen W. Retinal pigment epithelial tears after single administration of intravitreal bevacizumab for neovascular age-related macular degeneration. Eye (Lond). 2009;23:694-702.
7. George S, Cooke C, Chakravarthy U. Exudative AMD subtypes and eligibility for treatment with ranibizumab. Eye (Lond). 2009 Dec 18. [Epub ahead of print]
8. Rouvas AA, Papakostas TD, Vawas D, Vergados I, Moschos MM, Kotsolis A, Ladas ID. Intravitreal ranibizumab, intavitreal ranibizumab with PDT and intravitreal triamcinolone with PDT for the treatment of retinal angiomatous proliferation: a prospective study. Retina. 2009;29:536-544.
9. Mitchell P, Korobelnik JF, Lanzetta P, et al. Ranibizumab (Lucentis) in neovascular age-related macular degeneration: evidence from clinical trials. Br J Ophthalmol. 2010 Jan;94:2-13.
10. Ueta T, Obata R, Inoue Y, et al Background comparison of typical age-related macular degeneration and polypoidal choroidal vasculopathy in Japanese patients. Ophthalmology. 2009;116:2400-2406.
| Dr. McAvoy is consultant in ophthalmology in the macular service of the Belfast Trust with a specialist interest in retina and uveitis. Dr.McGimpsey is a vitreoretinal surgeon in the Belfast Trust with a specialist interest in age-related macular degeneration. Dr. Chakravarthy is professor of ophthalmology and vision sciences at the Queen's University of Belfast and consultant in ophthalmology at the Belfast Trust. The authors gratefully acknowledge the help and support of Philip McIntyre, imaging technician in the macular service, Mater Infirmorum, the Belfast Trust, Belfast, Northern Ireland. Dr. Chakravarthy can be reached at u.chakravarthy@qub.ac.uk. |







