CASE REPORT
Recurrent Endophthalmitis Following Cataract Surgery
An uncommon and challenging case of exogenous Aspergillus fumigatus infection.
KYLE J. ALLIMAN, MD • FELIPE P.P. DE ALMEIDA, MD • HARRY W. FLYNN, Jr., MD • STEPHANIE L. VANDERVELDT, MD
Aspergillus is a saprophytic fungus present ubiquitously in soil, stored hay and decaying vegetation. It is also found as a common flora of the conjunctival sac.1 A potentially devastating ocular disease, exogenous endophthalmitis secondary to Aspergillus is less common than bacterial causes.2,3 The majority of cases of exogenous fungal endophthalmitis are related to keratitis or trauma. However, upwards of 30% follow intraocular surgery, with the most common isolate being Aspergillus species.2 Delayed-onset endophthalmitis following cataract surgery may be caused by many microorganisms, including Propionibacterium acnes, coagulase-negative Staphylococci and fungi.4 We present a case of recurrent exogenous endophthalmitis secondary to Aspergillus fumigatus after phacoemulsification.
CASE REPORT
A 74-year-old man with well-controlled diabetes and systemic hypertension underwent uncomplicated phacoemulsification with Crystalens (Bausch+Lomb, Rochester, NY) intraocular lens implantation in both eyes. Two months following cataract surgery, the patient developed decreased vision in the left eye and underwent a pars plana vitrectomy with injection of intravitreal vancomycin and ceftazidime for presumed endophthalmitis. Nine days later, the patient was reinjected with the same medications.
Three months after the pars plana vitrectomy, the patient was referred to our institution complaining of cloudy vision in the left eye for nine days. Examination of the left eye demonstrated 20/60 best-corrected visual acuity (BCVA), dense vitritis, a small hypopyon and a white plaque within the capsular bag (Figure 1). A pretreatment clinical diagnosis of P. acnes endophthalmitis was made.
Figure 1. Three months following initial pars plana vitrectomy, the patient presented to our institution with a small hypopyon and a white plaque involving the posterior capsule. Visual acuity was 20/60.
The patient subsequently underwent a 25-gauge pars plana vitrectomy and removal of the IOL and lens capsule and received intravitreal injections of vancomycin and ceftazidime for the presumed P. acnes infection. Iris retractors were utilized for complete visualization of the Crystalens implant, and the lens was pushed into the anterior chamber using 25-gauge instrumentation. A clear corneal wound was made and a Michels' pick was used to remove the lens implant and the capsular bag in its entirety (Figure 2).
Figure 2. Crystalens IOL after explantation. The capsular bag was also removed, divided into two portions, and sent to microbiology and pathology for analysis.
Intraocular cultures, which had previously been negative at the first vitrectomy, were positive for Aspergillus fumigatus, both from the capsular bag and from the vitrectomy specimens (Figure 3). The patient then received intravitreal amphotericin B (5μg/0.1 mL), a two-week course of oral voriconazole (200 mg bid), and was maintained on oral fluconazole (100 mg daily) for three months. Inflammation of the left eye gradually improved with this treatment. Ten months later, an anterior-chamber IOL was implanted and BCVA improved to 20/20 in the left eye (Figure 4). The fellow eye was unremarkable with 20/20 visual acuity.
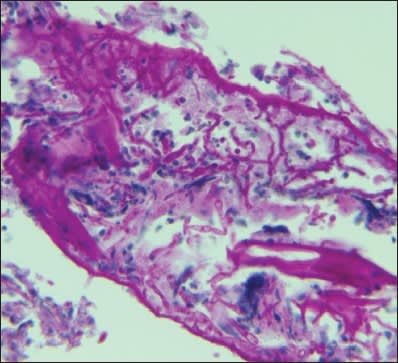
Figure 3. Special stains of the capsular bag show numerous septated fungal hyphae consistent with Aspergillus fumigatus. Cultures confirmed this organism.
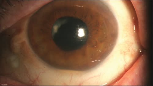
Figure 4. Six months after secondary IOL implantation. The media were clear. Visual acuity was 20/20.
DISCUSSION
A large number of the reported cases of endophthalmitis caused by Aspergillus are endogenous, with acute intraocular inflammation and characteristic chorioretinal lesion located in the macula.5 Endophthalmitis caused by Aspergillus is less common but has been observed after cataract surgery, penetrating eye trauma, and keratoplasty.2,6,7
In a large study of exogenous fungal endophthalmitis, 13 out of 41 cases followed intraocular surgery. Among those 13 cases, five were caused by Aspergillus species, which was the most common isolate. At final follow-up, 77% achieved a BCVA of 20/400 or better, while 8% were no light perception.2 Another series of exogenous fungal endophthalmitis cases following cataract surgery over a four-year period was reported by Narang et al. Twenty out of 27 cases were positive for Aspergillus species. Five of the cases positive for Aspergillus achieved a final acuity of 20/200 or better, nine were light perception, and in three cases the eye was ultimately enucleated. The median time from cataract surgery to presentation for Aspergillus infection was 10.5 days (range, 2-210).7 Callanan et al. reported a series of five patients with endophthalmitis caused by Aspergillus species following cataract surgery. The mean time from surgery to presentation of endophthalmitis was 29 days (range, 10-62). Only one of the five patients achieved a final visual acuity better than 20/200. Three of the five cases underwent enucleation.8 These studies suggest a generally poor prognosis for exogenous endophthalmitis caused by Aspergillus.
The first case of exogenous A. fumigatus endophthalmitis with a good visual outcome was described by Ho et al. in 1984. In this report, success was attributed to early diagnosis, pars plana vitrectomy, multiple intravitreal injections of antifungals, and intravenous antifungal therapy.9 Currently, utilization of the combination of vitrectomy, IOL/capsular bag removal, intravitreal antifungals, and systemic antifungal agents is most commonly considered for exogenous fungal endophthalmitis.2,7
Management of Aspergillus endophthalmitis is challenging. The patient in the current report is atypical in terms of the recurrent nature of the infection three months after initial treatment and the good visual outcome. In pseudophakic patients with negative vitreous cultures and refractory inflammation suggestive of endophthalmitis, clinicians should consider removal of the IOL and capsular bag for diagnostic and therapeutic purposes. RP
REFERENCES
1. Williamson J, Gordon AM, Wood R, Dyer AM, Yahya OA. Fungal flora of the conjunctival sac in health and disease. Influence of topical and systemic steroids. Br J Ophthalmol. 1968;52:127-137.
2. Wykoff CC, Flynn HW Jr, Miller D, Scott IU, Alfonso E. Exogenous Fungal Endophthalmitis: Microbiology and Clinical Outcomes. Ophthalmology. 2008;115:1501-1507.
3. Krzystolik MG, Ciulla TA, Topping TM, Baker AS. Exogenous Aspergillus niger endophthalmitis in a patient with a filtering bleb. Retina. 1997;17:461-462.
4. Fox GM, Joondeph BC, Flynn HW Jr, Pflugfelder SC, Roussel TJ. Delayed-onset pseudophakic endophthalmitis. Am J Ophthalmol. 1991;111:163-173.
5. Weishaar PD, Flynn HW Jr, Murray TG, Davis JL, Barr CC, Gross JG, Mein CE, McLean WC Jr, Killian JH. Endogenous Aspergillus endophthalmitis. Clinical features and treatment outcomes. Ophthalmology. 1998;105:57-65.
6. Anand AR, Therese KL, Madhavan HN. Spectrum of aetiological agents of postoperative endophthalmitis and antibiotic susceptibility of bacterial isolates. Indian J Ophthalmol. 2000;48:123-128.
7. Narang S, Gupta A, Gupta V, Dogra MR, Ram J, Pandav SS, Chakrabarti A. Fungal endophthalmitis following cataract surgery: clinical presentation, microbiological spectrum, and outcome. Am J Ophthalmol. 2001;132:609-617.
8. Callanan D, Scott IU, Murray TG, Oxford KW, Bowman CB, Flynn HW Jr. Early onset endophthalmitis cause by Aspergillus species following cataract surgery. Am J Ophthalmol. 2006;142:509-511.
9. Ho PC, Tolentino Fl, Baker AS. Successful treatment of exogenous aspergillus endophthalmitis: a case report. Br J Ophthalmol. 1984;68:412-415.
| Kyle J. Alliman, MD, is a second-year vitreoretinal fellow at Bascom Palmer who will graduate this month and join the Wolfe Eye Clinic of West Des Moines, Iowa. Felipe P.P. de Almeida, MD, was a visiting fellow at the Bascom Palmer Eye Institute in Miami in 2009 and currently resides and practices in Brazil. Harry W. Flynn, Jr., MD, is professor and J. Donald M. Gass Distinguished Chair of Ophthalmology at Bascom Palmer. Stephanie L. Vanderveldt, MD, was a vitreoretinal fellow at Bascom Palmer in Miami and currently resides and practices with Georgia Retina Associates in Atlanta. This research was supported in part by Research to Prevent Blindness in New York. Otherwise, the authors have no financial disclosures to make. Dr. Flynn can be reached via e-mail at hflynn@med.miami.edu. |







