What to Do When Anti-VEGF Therapy "Fails"
JASON S. SLAKTER, MD
The management of exudative age-related macular degeneration was revolutionized by the introduction of anti–vascular endothelial growth factor therapies. Large prospective randomized clinical trials of ranibizumab demonstrated the capability of this drug to improve mean visual acuity over the course of two years when administered intravitreally on a monthly basis. This was in sharp contrast to either sham therapy (MARINA trial1) or photodynamic therapy with verteporfin (ANCHOR trial2). In both of these studies, mean visual acuity improved by three lines or more in 30% to 40% of the patients as well. The introduction of ranibizumab treatment into clinical practice has led to expectations of stability or improvement in patients with choroidal neovascularization due to AMD. A careful evaluation of the data from these trials, however, indicates that, while a remarkable 90% of patients achieve stability in the form of losing less than 15 letters from baseline on the ETDRS chart, as many as one out of 10 will still have some significant degree of vision loss over the two years of ongoing therapy. Thus, while ranibizumab represents a major step forward in therapy, many patients may not respond as well as desired.
Failure to achieve stability or improvement in visual acuity may result from a number of factors, the most obvious of which may be the development of subfoveal fibrosis resulting from the initial fibrovascular ingrowth, as part of the neovascular process itself. Another possible cause of limitation in vision improvement or worsening of visual function relates to the development of atrophic changes at the level of the RPE and photoreceptors as a result of the disease process. Thus, these cases would not be considered nonresponders to anti-VEGF therapy, but simply individuals incapable of showing the expected improvement due to secondary damage from the underlying disease state.
On the other hand, there are groups of individuals who demonstrate recurrent, persistent, or worsening exudative manifestations of the disease in spite of ongoing therapy with the current standard anti-VEGF approach. It is these individuals that we classify as "anti-VEGF nonresponders." These nonresponders can be broken into five groups, which we will look at individually below.
1. FREQUENT RETREATERS
Since the results of the MARINA and ANCHOR trials, numerous attempts have been made to modify or customize the anti-VEGF therapeutic regimen in an attempt to reduce the number of treatments administered.3,4 In some cases, patients require continued monthly dosing of anti-VEGF drugs in order to maintain the treatment effect. In fact, even with monthly therapy, there may be persistent exudation in the form of intraretinal or subretinal fluid or RPE detachment. Many of these cases may have evidence of retinal angiomatous proliferation (RAP) lesions or more widespread plaques of occult sub-RPE neovascularization.
The failure to completely eliminate exudation in these individuals may be related to the aggressiveness of the disease, as in the case of RAP, or perhaps by inadequate penetration of sufficient quantities of anti-VEGF drug into the sub-RPE space to fully control the neovascular process. In managing these patients, maintaining monthly treatment intervals may be sufficient to stabilize visual function.
In other cases, we have increased the frequency of the anti-VEGF treatment by alternating between ranibizumab and bevacizumab (Avastin, Genentech) on an every two to three week basis in order to maintain a higher level of anti-VEGF drug at the target. In some cases, this may result in decreased exudation and further improvement in visual function. Future therapies for these patients may include higher-dose formulations of the anti-VEGF products, sustained delivery techniques, or alternative drug delivery approaches, possibly through an external route to better target the area of activity.
2. "REBOUNDERS"
In this second group of patients, initial management with an anti-VEGF regimen results in reduction or complete cessation of leakage and improvement in visual function. Over time, however, the existing regimen begins to fail, with increasing exudation and visual decline. In some cases, this may occur after attempts are made to increase the in terval between administrations of anti-VEGF therapy, while in others, the effect may occur in spite of ongoing monthly treatment. Some groups have postulated that this represents a form of tachyphylaxis to the anti-VEGF drug, although this has not been proved.5 Another possibility relates to the evolutionary changes that occur within the neovascular membranes and the potential production of other angiogenic or permeability agents outside the VEGF pathway. Management of patients such as this should begin by increasing the frequency of treatment (Figures 1-3) or, in some cases, beginning a more aggressive regimen, as noted above, with alternating ranibizumab and bevaciz umab injections. In cases where this is ineffective, combination therapy with anti-inflammatories or with a vascular modulating therapy, such as photodynamic therapy with verteporfin, would be an appropriate consideration.6 New treatments designed to target the non-VEGF pathways would play a critical role here in the future.
Figure 1. (A) Color photo of a 76-year-old woman with 30-month history of treatment with ranibiz umab for CNV secondary to AMD who presents with new onset of visual symptoms and temporal exudation. Old atrophic changes are noted around the fovea with a temporal PED and hemorrhage. Visual acuity is 20/200. (B) Early FA shows window defect from atrophy, blockage from pigment near the fovea, and temporal blockage from blood. (C) Later FA shows occult leakage into the PED.
Figure 2. (A) Spectral-domain OCT shows sub-RPE fluid and retinal edema. (B) After two additional treatments with ranibiz umab administered every six weeks, there is persistent retinal thickening and PED. (C) After two additional treatments at five-week intervals, there is still leakage present.
Figure 3. (A) After two ranibizumab treatments at 31-day intervals, there is a reduction in exudation. (B) After two additional treatments at 31-day intervals, the exudation has resolved. Visual acuity is 20/60.
3. MINIMAL OR "TRUE" NON-RESPONDERS
In this group, patients demonstrate minimal to no anatomic change as a result of ongoing anti-VEGF therapy. They may demonstrate persistent intraretinal, subretinal, or sub-RPE fluid, or even ongoing intermittent hemorrhage and lipid exudate. These would be considered true nonresponders, suggesting that either their disease state is due to chronic damage or the underlying pathology is non-VEGF driven. In those with chronic disease, damage to the RPE or fibrosis, as mentioned above, may limit the effectiveness of the anti-VEGF drugs. However, more often than not, careful evaluation through multiple diagnostic modalities may reveal a cause other than "typical AMD-related CNV." The most common masquerading syndromes include central serous chorioretinopathy, polypoidal choroidal vasculopathy, and inflammatory-induced neovascular proliferation.
In central serous chorioretinopathy (CSC), leakage from the choroidal circulation results in both RPE detachment and subretinal fluid in acute cases. With chronic disease, there is secondary damage to the RPE, which, on fluorescein angiography, often mimics occult choroidal neovascularization. As the condition continues, edema may form within the retina, which may represent both active leakage as well as chronic degenerative findings termed cystoid macular degeneration.7 Central serous chorioretinopathy has not been shown to be a VEGF-mediated process and therefore is unlikely to respond to anti-VEGF therapy.
In patients who are "nonresponders," where there is fluorescein angiographic evidence of widespread leakage, particularly where there is a relative paucity of drusen and in which the patchy areas of RPE irregularity may be noted in both eyes, it is recommended that patients undergo indocyanine green angiography to look for areas of choroidal hyperpermeability, both in the affected eye as well as in the fellow eye.8,9 In addition, recent work on enhanced depth imaging with SD-OCT systems has shown that patients with CSC have a thickened choroid, which can help in diagnosing this condition.10 With respect to management, although there are no large-scale randomized clinical trials for this condition, numerous papers have indicated the utility of photodynamic therapy with verteporfin (Visudyne, Novartis), targeting the areas of hyperpermeability noted on the ICG angio gram, as a means to control the exudative process (Figures 4-6).11,12 RPE damage and cystoid macular degeneration often limit the final visual outcome.
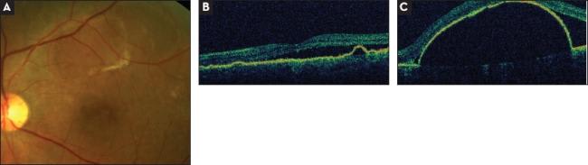
Figure 4. (A) Color photography of a 69-year-old man with a history of five prior bevacizumab treatments and two prior ranibizumab treatments. There is persistent thickening centrally and an RPE detachment superiorly. Visual acuity is 20/200. (B) OCT image through the central macula demonstrating subretinal fluid and a focal PED. (C) OCT image through the superior macula demonstrating a large PED with surrounding subretinal fluid.
Figure 5. (A) Early ICG shows spotty choroidal leakage. (B) Late ICG demonstrates a large patch of choroidal hyperpermeability particularly beneath the PED. This pattern is consistent with central serous chorioretinopathy.
Figure 6. (A) Reduced-fluence PDT with verteporfin was applied to the area of choroidal leakage as shown by the red circle. (B) Ten weeks after treatment the OCT through the central macula shows total resolution of subretinal fluid. (C) The OCT scan through the superior macula shows almost total resolution of the large PED and complete absence of subretinal fluid. Visual acuity is 20/50.
Polypoidal choroidal vasculopathy is now recognized as both an idiopathic, independent entity, as well as a variant of the spectrum of neovascular proliferation and exudation seen in macular degeneration.13,14 Unlike the typical form of CNV in AMD, PCV constitutes a network of dilated and tortuous choroidal vessels with nodular, polyp-like terminal bulbs, which exhibit significant leakage. It has been postulated that the PCV type of lesion may be relatively resistant to anti-VEGF therapy, either due to its location deeper within the choroidal vascular bed, or, more likely, secondary to a non-VEGF pathway initiating both the disease process as well as regulating the degree of permeability from the abnormal vessels.
As with CSC, the diagnosis of polypoidal choroidal vasculopathy is enhanced by the performance of ICG angiography, which clearly identifies the network vessels and terminal polyps.13,14
In addition, as was seen with therapy for CSC, treatment of PCV may include photodynamic therapy with verteporfin, targeting the actively leaking polyps (Figures 7-10).15 Unfortunately, the PCV-type lesions may occur either in isolation or in combination with more traditional neovascular vessels; thus, a combination approach with both PDT and anti-VEGF therapy may be appropriate.
Figure 7. (A) Color photograph of a 68-year-old woman with gradual visual loss in the right eye demonstrating chronic exudative debris and thickening. Her visual acuity was 20/60−. (B) OCT through the central macula shows a shallow PED with associated subretinal fluid. (C) Early-phase fluorescein angiogram showing faint early hyperfluorescence in an ill-defined pattern. (D) Late-phase FA showing punctate staining and leakage considered to be occult CNV. The patient was started on a course of intravitreal anti-VEGF therapy with ranibizumab every 4-5 weeks.

Figure 8. (A) 3D OCT image taken after five months of treatment shows increased RPE elevation as well as increased subretinal fluid. There is also the appearance of outer retinal thickening or debris. The color photo on the right shows the location of the OCT scan. Additional treatment with bevacizumab was then performed. (B) 3D OCT image taken six weeks after the last bevacizumab treatment shows increased exudation and outer retinal thickening.
Figure 9. (A) Early ICG angiogram demonstrates hypofluorescence from chronic debris centrally with an area of focal, nodular hyperfluorescence. (B) Late ICG shows several nodular foci of leakage suggestive of polypoidal choroidal vasculopathy.
Figure 10. (A) Photodynamic therapy with verteporfin was applied to the two areas delineated by the red circles that are outside the foveal region. (B) 3D OCT taken five weeks after treatment demonstrating almost total resolution of subretinal and sub-RPE fluid. Note that most of the outer retinal debris has also resolved.
Inflammatory chorioretinopathies may also result in the development of neovascular proliferation, which is driven not only by VEGF but also by inflammatory components and other non-VEGF related pathways. In cases such as this, simply controlling the VEGF-driven portion of the process may not be sufficient to manage the exudation. Careful clinical observation for inflammatory cells, the identification of inflammatory lesions in the retina, or evidence on angiography of either retinal, vascular, or choroidal inflammatory changes is helpful in the diagnosis. Manage ment considerations would include a combination of anti-VEGF therapy with anti-inflammatories (either short- or long-acting steroids) or possibly even a sustained-release anti-inflammatory device.16
All of the above conditions, along with other more subtle variations within the neovascular processes associated with AMD, are likely to benefit from our enhanced understanding of the pathophysiology of the neovascular and exudative processes involved in these diseases and the institution of newer, more targeted therapies in the future.
4. INCREASING EXUDATION
In this next group, ongoing anti-VEGF therapy not only fails to produce the desired reduction in exudation and improvement in visual function, but these indivi duals may actually exhibit worsening findings, in the form of decreasing visual acuity or increasing exudation in the posterior pole. In some cases, as mentioned earlier, the cause is obvious, with the development of fibrous metaplasia in the foveal region, or the development of RPE atrophy, as a result of the ongoing disease process. In other cases, the development of an RPE rip in patients with pigment endothelial detachments may result in a rapid increase in subretinal fluid and associated rapid decline in visual function as a result of the physical alteration in the foveal region.17 In all of these examples, ongoing therapy, possibly with increased frequency of treatment, may be needed. In the case of an RPE rip, while there may be an initial worsening of the condition, ongoing therapy may eventually result in reduction of exudation.17 If the fovea is not directly involved in the RPE tear, the ultimate visual prognosis may still be fairly positive. In some cases of RPE tears, however, frequent treatment is needed to control the exudation.
There are individuals, however, who demonstrate increasing subretinal fluid and, in some cases, sub-RPE or intraretinal debris — the opposite of what would be expected with anti-VEGF therapy. In these cases, a thorough evaluation as to the cause of this idiosyncratic reaction is critical. In many instances, the patients are found to have either CSC or polypoidal-type lesions. While the cause of the increase in exudation associated with anti-VEGF therapy remains unknown, these individuals have shown a remarkable response to photodynamic therapy or even localized thermal laser applied to the site of the choroidal pathology. Combination approaches using these targeted treatments, along with anti-VEGF and antiinflammatory treatments, may be needed in these individuals. Newer therapies directed toward the non–VEGF pathway causes of these conditions will ultimately be the best approach in managing this type of situation.
5. HEMORRHAGIC RESPONSE
In this final group of patients, a sudden onset of either localized or massive subretinal or sub-RPE hemorrhage may occur during anti-VEGF therapy. In some cases, this type of hemorrhagic response has been noted following a more prolonged interval between the administrations of the anti-VEGF drug. Physicians utilizing both the "PRN" approach, as well as the "treat and extend" approach, have reported a massive hemorrhagic event in some individuals where treatment has been delayed for more than three months.18
As a result, some individuals suggest that the treatment interval for patients undergoing anti-VEGF therapy never be extended beyond 12 to 14 weeks. On the other hand, hemorrhagic events may occur in spite of more frequent and regular delivery of anti-VEGF therapy. This may be due to a rupture of a fragile neovascular vessel due to a Valsalva-type maneuver or trauma. There have been incidents of patients on blood thinners, and anti-platelet agents may also be more prone to developing hemorrhagic manifestations of the exudative process. Finally, there have been cases where patients with significant blood dyscrasias may present with more dramatic hemorrhagic manifestations of AMD in spite of ongoing anti-VEGF therapy.
In situations where the hemorrhage is relatively thin and mild, more frequent administration of an anti-VEGF drug, possibly used in combination with a vascular targeting ap proach (PDT or laser), may be required. With more massive hemorrhage, surgical displacement of the blood or subretinal surgery could be entertained, but the visual prognosis is quite poor in these individuals, and randomized clinical trials call into question the utility of subretinal surgery for hemorrhagic complications of AMD.19 In some cases, however, some limited improvements in paracentral vision can be achieved using a combined surgical and pharmacologic approach to the condition.
CONCLUSIONS
Without question, the introduction of anti-VEGF therapy has dramatically improved the outcomes of patients with exudative manifestations from AMD. In spite of these dramatic improvements, however, limitations in the final visual outcome are well known, and many individuals may not respond optimally to current anti-VEGF regimens.
It is becoming increasingly important to identify individuals who may be considered anti-VEGF nonresponders who may instead have a better course using an alternative treatment approach. These alternative therapies may include increasing frequency of anti-VEGF drugs, combination with intraocular steroids, vascular targeting therapies such as laser and PDT, and surgery in selected cases.
It is also important to realize that ancillary imaging modalities, including indocyanine green angiography and spectral-domain OCT, may be crucial in the complete evaluation of patients in determining the appropriate therapeutic approach. In the future, agents targeting non-VEGF pathways and more specifically focused on the various disease entities, will ultimately improve the visual prognosis in these individuals. RP
REFERENCES
1. Rosenfeld PJ, Brown DM, Heier JS, et al. Ranibizumab for neovascular agerelated macular degeneration. N Engl J Med. 2006;355:1419-1431.
2. Brown DM, Kaiser PK, Michels M, et al. Ranibizumab versus verteporfin for neovascular age-related macular degeneration. N Engl J Med. 2006;355:1432-1444.
3. Lalwani GA, Rosenfeld PJ, Fung AE, Dubovy SR, Michels S, Feuer W, Davis JL, Flynn HW Jr, Esquiabro M. A variable-dosing regimen with intravitreal ranibizumab for neovascular age-related macular degeneration: year 2 of the PrONTO Study. Am J Ophthalmol. 2009;148:59-65.
4. Engelbert M, Zweifel SA, Freund KB. "Treat and extend" dosing of intravitreal antivascular endothelial growth factor therapy for type 3 neovascularization/retinal angiomatous proliferation. Retina. 2009;29:1424-1431.
5. Schaal S, Kaplan H, Tezel T. Is there tachyphylaxis to intravitreal anti-vascular endothelial growth factor pharmacotherapy in age-related macular degeneration? Ophthalmology. 2008;15:2199-2205.
6. Augustin AJ, Puls S, Offermann I. Triple therapy for choroidal neovascularization due to age-related macular degeneration: verteporfin PDT, bevacizumab, and dexamethasone. Retina. 2007;27:133-140.
7. Iida T, Yannuzzi LA, Spaide RF, Borodoker N, Carvalho CA, Negrao S. Cystoid macular degeneration in chronic central serous chorioretinopathy. Retina. 2003;23:1-7.
8. Piccolino FC, Borgia L, Zinicola E, et al. Indocyanine green angiographic findings in central serous chorioretinopathy. Eye. 1995;9:324-332.
9. Spaide RF, Hall L, Haas A, et al. Indocyanine green videoangiography of older patients with central serous chorioretinopathy. Retina. 1996;16:203-213.
10. Imamura Y, Fujiwara T, Margolis R, Spaide RF. Enhanced depth imaging optical coherence tomography of the choroid in central serous chorioretinopathy. Retina. 2009;29:1469-1473.
11. Yannuzzi LA, Slakter JS, Gross NE, et al. Indocyanine green angiography-guided photodynamic therapy for treatment of chronic central serous chorioretinopathy: a pilot study. Retina. 2003;23:288-298.
12. Piccolino FC, Eandi CM, Ventre L, et al. Photodynamic therapy for chronic central serous chorioretinopathy. Retina. 2003;23:752-763.
13. Yannuzzi LA, Wong DW, Sforzolini BS, et al. Polypoidal choroidal vasculopathy and neovascularized age-related macular degeneration. Arch Ophthalmol. 1999;117:1503-1510.
14. Ciardella AP, Donsoff IM, Yannuzzi LA. Polypoidal choroidal vasculopathy. Ophthalmol Clin North Am. 2002;15:537-54.
15. Eandi CM, Ober MD, Freund KB, Slakter JS, Yannuzzi LA. Selective photodynamic therapy for neovascular age-related macular degeneration with polypoidal choroidal neovascularization. Retina. 2007;27:825-831.
16. Gulati N, Forooghian F, Lieberman R, Jabs DA. Vascular endothelial growth factor inhibition in uveitis: a systematic review. Br J Ophthalmol. 2010 May 21. [Epub ahead of print]
17. Chang LK, Sarraf D. Tears of the retinal pigment epithelium: an old problem in a new era. Retina. 2007;27:523-534.
18. Levine JP, Marcus I, Sorenson JA, Spaide RF, Cooney MJ, Freund KB. Macular hemorrhage in neovascular age-related macular degeneration after stabilization with antiangiogenic therapy. Retina. 2009;29:1074-1079.
19. Bressler NM, Bressler SB, Childs AL, et al.; Submacular Surgery Trials (SST) Research Group. Surgery for hemorrhagic choroidal neovascular lesions of age-related macular degeneration: ophthalmic findings: SST report no. 13. Ophthalmology. 2004;111:1993-2006.
| Jason S. Slakter, MD, is a partner in Vitreous-Retina-Macula Consultants of New York. As director of the Digital Angiography Reading Center, Dr. Slakter receives grant research support from Novartis and Genentech. He can be reached at jslakter@aol.com. |







