Macular Translocation in the Age of Anti-VEGF Therapy
GÁBOR B. SCHARIOTH, MD • LAJOS KOLOZSVÁRY, MD, PhD • ALIREZA MIRSHAHI, MD
Since the introduction of intravitreal anti-VEGF, therapy for neovascular AMD has improved the therapeutic options and outcomes for these patients. Photodynamic therapy for wet AMD has become a second-line treatment, used only in special indications as a combination with steroid and/or anti-VEGF therapy.
However, surgical treatment of neovascular AMD in the age of anti-VEGF could still be indicated. To determine the indication for full macular translocation (FMT) with 360° peripheral retinotomy, we report here on indications and outcomes of 32 eyes operated on between January 2006 and December 2008. Indications for surgery were large submacular hemorrhage (24 eyes), nonresponse to prior treatment (two eyes after PDT, two after ranibizumab, and three after bevacizumab), best-corrected visual acuity <0.05 (20 eyes), and one eye with dry AMD and acute loss of BCVA. Preoperative BCVA was less then 0.05 in 20 eyes, 0.05 in six eyes, and 0.1 in six eyes. (BCVA is given in European measurement: 0.05 is equivalent to 20/400; BCVA of 20/20 would be given as 1.)
SURGICAL TECHNIQUE
Surgery was performed in all cases under general anesthesia. If an eye was not already pseudophakic, then a phacoemulsification was performed through a 2.8-mm postlimbal incision with implantation of a foldable hydrophobic acrylic intraocular lens. A three-port 20-g pars plana vitrectomy, including extensive shaving of the vitreous base, was performed. Retinal detachment was then introduced via three to four microretinotmies with a 41-g cannula (Dutch Ophthalmic) and subretinal balanced salt solution infusion (BSS Plus, Alcon). Multiple fluid-air exchanges further mobilized the retina.
Then the peripheral retina was cut with vertical scissors 1 mm posterior to ora serrata circumferentially. A chandelier illuminator was placed at 3.5 mm posterior to the limbus 12 o'clock, and the retina was mobilized bimanually to access the sub-retinal space. Subretinal blood and the subfoveal choroidal neovascularization were removed (Figure 1). Retina was then defolded and stabilized with a bubble of heavy fluid (F6H8, Geuder). Macular translocation around the optic nerve head in the upward direction was performed with an atraumatic diamond-dusted sweeper (Dutch Ophthalmic) and retina was completely defolded by further injection of heavy fluid (Decalin, Geuder) up to pars plana. Peripheral laser retinopexy was applied circumferentially, and the overlapping retinal edge in the upper half was trimmed. Finally, a direct heavy fluid-silicone oil exchange was performed.
Figure 1. Intraoperative view of full macular translocation: After full vitrectomy, 360° retinotomy, and bimanual mobilization of retina, submacular choroidal neovascular membrane is grasped and removed.
Three months after surgery, counter-rotation with transposition of the horizontal and oblique muscles in combination with PPV and silicone oil removal was performed.
RESULTS
Thirty eyes with a minimum follow-up of 12 months were included in our study. Of these, 20 eyes improved at least two lines in their BCVA. Eight eyes remained unchanged; two eyes lost two lines. At 12 months, 14 eyes had BCVA >0.1, and seven eyes had BCVA >0.2.
Complications were limited and included four eyes requiring revitrectomy for retinal detachment and one for severe vitreous hemorrhage after silicone oil removal. Two eyes required intravitreal therapy for CNV recurrence and one eye for chronic cystoid macular edema. Only one patient suffered from untreatable binocular diplopia, and we discussed implantation of a black IOL with this patient.
DISCUSSION
Since anti-VEGF treatment achieves significant improvement of visual acuity in patients with wet AMD, macular surgery and particularly macular translocation with 360° retinotomy have lost their popularity. However, macular surgery still remains a promising therapy in selected cases.1,2
A prospective randomized study comparing FMT and PDT in subfoveal classic CNV recently showed the superiority of FMT in terms of visual gain (see before and after images in Figures 2 and 3). In spite of postop complications and the disturbed binocular vision, the reading VA and the quality of life of many patients improved.3
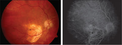
Figure 2. Color and fluorescein image with massive submacular hemorrhage in single-eyed patient, visual acuity hand motions.
Figure 3. Color and fluorescein image 24 months after CNV extraction, full macular translocation, counter rotation, and silicone oil removal. BCVA is 0.32.
Therefore, it is justified to discuss the chances and advantages of the FMT at least in selected cases. Most of the cases were suspected to achieve a less favorable outcome of the anti-VEGF regimen. Thus, patients who did not meet the inclusion criteria of recent studies or showed no response to the anti-VEGF therapy, as well as patients with extensive submacular bleeding or ruptures of the retinal pigment epithelium, can also be considered as candidates for FMT. A retrospective review of eyes after FMT vs autologous RPE-choroid patch graft (PG) in patients with wet AMD found better outcomes in the FMT group, and the authors did recommend FMT over PG.4
Even if some authors with limited experience in FMT did not recommend this therapy for neovascular AMD,5,6 we are convinced that our analysis could prove its usefulness for at least a selected group of patients. We could show in previous cases that FMT can be performed with good prognosis even after previous unsuccessful therapies,7 such as PDT or intra vitreal anti-VEGF therapy, if loss of visual acuity occurred just prior to planned intervention.
Generally, in the presence of highly effective anti-VEGF drugs, FMT can be discussed as second-line treatment, if the fellow eye has poor function and no additional risk factors in the affected eye are known (eg, hyperopia, large lesion size, etc.). Detailed information relating to the potential adverse events must be mentioned. Although the indication is restricted, surgeons should have the continuing ability to perform this challenging surgical procedure. RP
| Gábor B. Scharioth, MD, practices at the Aurelios Augenzentrum in Recklinghausen, Germany, and is on the faculty of the University of Szeged in Hungary. Lajos Kolozsváry, MD, PhD, is also on the faculty at the University of Szeged. Alireza Mirshahi, MD, practices at the Johannes Gutenberg Medical Center in Mainz. None of the authors has any financial interest in any product mentioned here. Dr. Scharioth can be reached via e-mail at gabor.scharioth@augenzentrum.org. |
REFERENCES
- Machemer R, Steinhorst UH. Retinal separation, retinotomy and macular relocation: II. A surgical approach for age-related macular degeneration? Graefes Arch Clin Exp Ophthalmol. 1993;231:635-641.
- Eckardt C, Eckardt U, Conrad HG. Macular rotation with and without counter-rotation of the globe in patients with age related macular degeneration. Graefes Arch Clin Exp Ophthalmol. 1999;237:313-325.
- Lüke M, Ziemssen F, Völker M, et al. Full macular translocation (FMT) versus photodynamic therapy (PDT) with verteporfin in the treatment of neovascular age-related macular degeneration: 2-year results of a prospective, controlled, randomised pilot trial (FMT-PDT). Graefes Arch Clin Exp Ophthalmol. 2009; 247:745-754.
- Chen FK, Patel PJ, Uppal GS, et al. A comparison of macular translocation with patch graft in neovascular age-related macular degeneration. Invest Ophthalmol Vis Sci. 2009;50:1848-1855.
- Schroeder FM, Mennel S, Schmidt JC. Massive subretinal bleeding — treat it or leave it? Klin Monbl Augenheilkd. 2008;225:1062-1064.
- Bereczki A, Bíró Z. Can macular translocation be a satisfactory management of subfoveal choroidal neovascular membrane? Clin Ophthalmol. 2008;2:447-450.
- Mirshahi A, Schreyger F, Baatz H, Scharioth GB. Macular translocation after photodynamic therapy: a case report. Klin Monbl Augenheilkd. 2005;222:586-589.







