PHOTO ESSAY
Peripheral Retinal Ischemia With Neovascularization
History helps narrow the differential diagnosis.
ALLEN CHIANG, MD • JULIA A. HALLER, MD
A 52-year-old African-American male presented to the Wills Eye Institute with a two-day history of blurred vision described as a “black cobweb” in his right eye. He denied any past ocular history and did not have any photopsia or eye pain. His past medical history was significant only for prostate cancer, for which he was undergoing chemotherapy. He was otherwise not on any outpatient medications and specifically denied having diabetes or hypertension. The social history was remarkable for two decades of intravenous drug abuse, now in remission for several years. A thorough review of systems was otherwise negative.
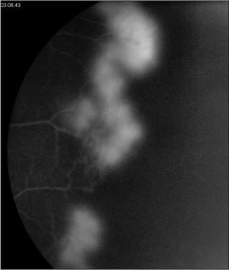
On examination, his corrected visual acuity was 20/70 in the right eye and 20/40 in the left. The anterior segment was benign with the exception of bilateral 1-2+ nuclear sclerotic cataract. The right eye had vitreous hemorrhage with a few tiny white crystals visible in the inferotemporal macula (Figure 1). Similarly, the fellow eye had white crystalline deposits scattered throughout the macula; the majority were located within the macular capillary network (Figure 2). On fluorescein angiography there was bilateral peripheral non-perfusion with adjacent late leakage of dye, which correlated with small fronds of retinal neovascularization evident on clinical examination (Figures 3 to 6).
Figure 1. Vitreous hemorrhage partially obscuring the macula with a few talc deposits visible inferotemporally, right eye.
Figure 2. White, crystalline intravascular talc deposits throughout the macula, left eye.
Figure 3. Leakage from peripheral retinal neovascularization, left eye.
Figure 4. Late FA frame showing nonperfusion peripheral to the leakage, left eye.
Figure 5. Late blocking effect on FA due to vitreous hemorrhage, right eye.
Figure 6. Late FA frame similarly showing leakage and peripheral nonperfusion in the right eye.
DIAGNOSIS AND TREATMENT
There is a broad differential diagnosis for peripheral neovascularization which includes diabetes, branch retinal vein occlusion, sickle cell retinopathy, hyperviscosity syndromes, retinal embolization, retinopathy of prematurity, familial exudative vitreoretinopathy, sarcoidosis, inflammatory diseases with retinal vasculitis, uveitis including pars planitis, Eales' disease, chronic retinal detachment, carotid-cavernous fistula, and incontinentia pigmenti.
This patient's blood pressure in the office was normotensive. A phone call to his primary doctor confirmed that he did not have diabetes based on regular medical visits. Diagnostic testing for sarcoidosis and sickle cell anemia revealed a normal ACE level (40, normal: 18-57), negative chest radiograph, and a hemoglobin electrophoresis significant for hemoglobin C trait (HbAC). Given his history of cancer, a relatively recent chest CT on record that was unremarkable and absence of a hyperviscosity syndrome were confirmed with his hematologist-oncologist. Further history-taking revealed a normal full-term birth and a negative familial ocular history. He had no history of uveitis. His past intravenous drug abuse involved a variety of drugs, including methylphenidate (Ritalin) and heroin.
We diagnosed him with most likely a talc-related proliferative retinopathy, as previously reported.1-3 We could not, however, exclude the rare possibility of his hemoglobin C trait playing some role as well. Due to the presence of vitreous hemorrhage and decreased vision in the right eye, sector argon laser photocoagulation was targeted and administered to the area of peripheral non-perfusion. The patient elected to defer prophylactic laser to the left eye and opted to monitor the left eye closely.
COMMENT
Peripheral retinal ischemia with neovascularization is a potential sequela of retinal embolization of talc crystals in long-term intravenous drug users. Talc retinopathy is an established ocular entity consisting of irregularly shaped refractile retinal deposits, which are derived from the filler in narcotics and oral medications such as methylphenidate that are crushed and then injected intravenously. The embolic phenomenon principally affects the retinal arteries and capillaries in the posterior pole and the clinically visible crystalline deposits appear to actually represent accumulations of microemboli.4 Over time, they can cause ischemia due to vascular closure with secondary inflammation of the vessel wall.5
Sickle cell disease is perhaps the most common and most studied etiology of peripheral retinal neovascularization and is most often found in those with HbSC or HbS-Thal disease. Slightly less common, individuals with HbSS may also develop sea-fan peripheral neovascularization. Although rare, proliferative disease has been reported in patients with hemoglobin C trait (HbAC) and sickle cell trait (HbAS).6,7 However, sickle trait is generally a benign condition and the hemoglobin protein in the setting of HbAC, as in this patient, does not sickle. In addition, many of the patients with sickle trait in past reports had other diseases such as diabetes that perhaps contributed to the development of neovascularization. The underlying hemoglobin C trait may conceivably be synergistic with the talc embolization in this patient.
With regard to treatment, indirect treatment of peripheral neovascularization by cryotherapy and photocoagulation has been reported as a safe and effective alternative to direct focal treatment of feeder vessels.8 Fortunately, the patient's vitreous hemorrhage began to settle and clear following laser treatment, with regression of the neovascularization and improvement of vision.
SUMMARY
Talc retinopathy can manifest with peripheral ischemia and neovascularization. Our patient presented with secondary vitreous hemorrhage. Hemoglobin C trait was discovered on serologic testing. While hemoglobin C trait is typically benign, it has on rare occasion been associated with peripheral neovascularization.
In the patient described here, targeted laser photocoagulation was effective in inducing regression of the neovascularization. RP
REFERENCES
- Kresca L, Goldberg MF, Jampol LM. Talc emboli and retinal neovascularization in a drug abuser. Am J Ophthalmol. 1979;87:334-339.
- Brucker AJ. Disk and peripheral retinal neovascularization secondary to talc and corn-starch emboli. Am J Ophthalmol. 1979;88:864-867.
- Schatz H, Drake M. Self-injected retinal emboli. Ophthalmology. 1979;86: 468-483.
- Zoumalan CI, Marmor MF. Revisiting talc retinopathy. Arch Ophthalmol. 2007; 125:988.
- Kaga N, Tso MO, Jampol LM. Talc retinopathy in primates: a model of ischemic retinopathy, III: an electron microscopic study. Arch Ophthalmol. 1982;100: 1649-1657.
- Moschandreou M, Galinos S, Valenzuela R, et al. Retinopathy in hemoglobin C trait (AC hemoglobinopathy). Am J Ophthalmol. 1974;77:465-471.
- Nagpal KC, Asdourian GK, Patrianakos D, et al. Proliferative retinopathy in sickle cell trait. Arch Int Med. 1977;37:325-328.
- Hanscom TA. Indirect treatment of peripheral retinal neovascularization. Am J Ophthalmol. 1982;93:88-91.
| Allen Chiang, MD, is a retina fellow at the Wills Eye Institute in Philadelphia. Julia A. Haller, MD, is ophthalmologist-in-chief at Wills. Neither author reports any financial interest in products mentioned in this article. Dr. Chiang can be reached via e-mail at chiang.allen@gmail.com. |







