Early Favorable SD-OCT Response to Treatment of Diffuse DME
Early treatment response in four patients with diffuse DME receiving either grid/focal laser photocoagulation or intravitreal triamcinolone.
KEVIN K. SUK, MD ∙ HARRY W. FLYNN Jr., MD
Diabetic macular edema (DME) is a major cause of vision loss in diabetic patients.1 Although grid/focal laser photocoagulation continues to be a common standard of care for treatment of diabetic macular edema,2,3 other options for DME have expanded with the use of intravitreal pharmacotherapies such as triamcinolone acetate4,5 and vascular endothelial growth factor (VEGF) antagonists.6
In the current report, four patients with diabetic macular edema (two treated with grid laser photocoagulation and two with intravitreal triamcinolone acetate) demonstrated marked and early favorable response with reduced macular thickening by spectral domain optical coherence tomography (SD-OCT).
CASE REPORTS
Case 1
A 60-year-old male with an 18-year history of non-insulin dependent diabetes presented with bilateral decreased vision. His other medical problems included hypertension and dyslipidemia. On initial examination, he was noted to have prior extensive panretinal photocoagulation in the left eye and diffuse macular edema in both eyes. Best corrected visual acuity (BCVA) in the right eye was 20/60+3. SD-OCT revealed cystoid macular edema (CME) with a central foveal thickness of 541 microns (Figure 1A).
The patient was treated with a single intravitreal bevacizumab (1.25 mg/0.05ml) injection in the right eye. At one month follow up, there was no improvement in BCVA or SD-OCT from baseline. The patient was subsequently treated with grid laser photocoagulation directed at the areas of leakage as demonstrated by fluorescein angiography. At two months, best corrected visual acuity was 20/40. SD-OCT showed improved macular edema and a central foveal thickness of 281 microns (Figure 1B). By six months, visual acuity improved to 20/30 and SD-OCT measurements continued to improve despite no further laser treatment.
Figure 1. Sequential SD-OCT images from a 60-year-old male with diabetic macular edema in the right eye. Color fundus photograph shows diabetic retinopathy with macular edema.
A: Horizontal scans through the fovea show loss of the normal foveal contour, diffuse macular thickening, and intraretinal cysts. The retinal map shows a central foveal thickness of 541 μm. Best-corrected visual acuity was 20/60+3.
B: Two months after grid laser photocoagulation, SD-OCT reveals marked improvement of foveal thickness (281 μm) and contour. Best-corrected visual acuity improved to 20/40.
Case 2
A 46-year-old female with a history of non-insulin dependent diabetes mellitus for 19 years was referred for evaluation of diabetic macular edema in both eyes. She had no other prior medical history. Best corrected visual acuity was 20/30 in the right eye, and SD-OCT demonstrated clinically significant macular edema with a central foveal thickness of 557 microns (Figure 2A).
Figure 2. Sequential SD-OCT images from a 46-year-old female with diabetic macular edema in the right eye. Color fundus photograph demonstrates hard exudates with associated macular edema.
A: Horizontal scans through the fovea show distortion of the normal foveal contour with central macular thickening. The retinal map shows a central foveal thickness of 557 μm. Best-corrected visual acuity was 20/30.
B: Two months after grid laser photocoagulation, SD-OCT reveals marked improvement of foveal thickness (325 μm) and restoration of the foveal contour. Best-corrected visual acuity was 20/20.
The patient was treated with grid laser photocoagulation in the right eye. At two months follow up, the visual acuity was 20/20. SD-OCT mirrored the clinical finding of improved macular edema, with a central foveal thickness of 325 microns (Figure 2B). At six months follow-up, visual acuity remained 20/20 with stable SD-OCT findings.
Case 3
An 82-year-old female with insulin dependent diabetes mellitus was evaluated for proliferative diabetic retinopathy (PDR) and diabetic macular edema in both eyes. Her other medical problems reported in the history included hypertension and chronic obstructive pulmonary disease. Her ophthalmic history included a combined pars plana vitrectomy with cataract surgery two years earlier. Best corrected visual acuity in the right eye was 20/400 and SD-OCT showed CME with a central foveal thickness of 841 microns (Figure 3A).
Figure 3. Sequential SD-OCT images from an 82-year-old female with diabetic macular edema in the right eye. Color fundus photograph shows exudates with macular thickening.
A: Horizontal scans through the fovea show distortion of the normal foveal contour with a large central intraretinal cyst. The retinal map shows a central foveal thickness of 841 μm. Best-corrected visual acuity was 20/400.
B: One month after intravitreal triamcinolone acetonide, SD-OCT reveals marked improvement of foveal thickness (113 μm) and resolution of cystoid macular edema. Best-corrected visual acuity remained 20/400.
The right eye was treated with intravitreal triamcinolone acetonide (40 mg/ml). One month later, her vision remained 20/400 although the patient noted subjective improvement. SD-OCT measured central foveal thickness improved to 113 microns and there was restoration of the foveal contour (Figure 3B).
Case 4
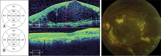
A 43-year-old man with a 19-year history of non-insulin dependent diabetes mellitus was referred for diabetic macular edema. He had multiple prior panretinal photocoagulation and focal laser treatments. Best corrected visual acuity was 20/400 in the left eye and SD-OCT showed a central foveal thickness of 1073 microns (Figure 4A).
Figure 4. Sequential SD-OCT images from a 43-year-old male with diabetic macular edema in the left eye. Color fundus photograph demonstrates diffuse exudates with macular edema.
A: Horizontal scans through the fovea show distortion of the normal foveal contour with a very large intraretinal cyst. The retinal map shows a central foveal thickness of I073 μm. Best-corrected visual acuity was 20/400.
B: Six weeks after intravitreal triamcinolone acetate, SD-OCT reveals marked improvement of foveal thickness (262 μm) and restoration of the foveal contour. Best-corrected visual acuity remained 20/400.
The left eye was treated with intravitreal triamcinolone acetate (4mg/0.1ml). At six weeks, the patient's best corrected visual acuity remained 20/400 but central foveal thickness improved to 257 microns (Figure 4B). The patient was subsequently treated with focal laser photocoagulation.
DISCUSSION
Based on the Diabetic Retinopathy Clinical Research (DRCR) Network studies using monotherapy (laser versus triamcinolone) the best treatment outcomes at three years follow-up for diabetic macular edema were achieved with grid/focal laser photocoagulation.4 Visual acuity improvements, however, are generally thought to take place gradually after laser therapy.4,5,6 With the recent use of intravitreal pharmacotherapies, a rapid response at four months to intravitreal agents was identified when compared to grid/focal laser photocoagulation.5,6
In a recently-announced randomized, multi-center clinical trial from the DRCR Network, an early beneficial effect at four months was identified in the ranibizumab and triamcinolone arms compared to grid/focal laser photocoagulation.6 The OCT-documented beneficial effects of laser treatment, in contrast, increased gradually up to the two-year end point.6 As reported by the DRCR Network,7 these cases show that visual acuity and macular thickness can continue to improve after monotherapy with grid/focal laser photocoagulation.
The four cases presented in this report underscore the complex and varied nature of diabetic macular edema and the early favorable response by SD-OCT to various treatments. RP
| Kevin K. Suk, MD, is a vitreoretinal fellow at the Bascom Palmer Eye Institute of the University of Miami. Harry W. Flynn, Jr., MD, is professor and J. Donald M. Gass Distinguished Chair of Ophthalmology at Bascom Palmer. The authors report no financial in any products mentioned in this article. Dr. Suk can be reached via e-mail at KKSuk@med.miami.edu. |
REFERENCES
- Klein R, Klein BE, Moss SE. Visual impairment in diabetes. Ophthalmology. 1984;91:1-9.
- Yilmaz T, Weaver CD, Gallagher MJ, et al. Intravitreal Triamcinolone Acetonide Injection for Treatment of Refractory Diabetic Macular Edema: A Systematic Review. Ophthalmology. 2009;116:902-913.
- Early Treatment Diabetic Retinopathy Study Research Group. Photocoagulation for diabetic macular edema. Early Treatment Diabetic Retinopathy Study report number 1. Arch Ophthalmol. 1985;103:1796-1806.
- Diabetic Retinopathy Clinical Research Network (DRCR.net), Beck RW, Edwards AR, Aiello LP, et al. Three-year follow-up of a randomized trial comparing focal/grid photocoagulation and intravitreal triamcinolone for diabetic macular edema. Arch Ophthalmol. 2009;127:245-251.
- Diabetic Retinopathy Clinical Research Network. A randomized trial comparing intravitreal triamcinolone acetonide and focal/grid photocoagulation for diabetic macular edema. Ophthalmology. 2008;115:1447-1449.
- The Diabetic Retinopathy Clinical Research Network. Randomized trial evaluating ranibizumab plus prompt or deferred laser or triamcinolone plus prompt laser for diabetic macular edema. Ophthalmology. 2010 Apr 22 [Epub ahead of print]
- Diabetic Retinopathy Clinical Research Network. The course of response to focal/grid photocoagulation for diabetic macular edema. Retina. 2009;29:1436-1443.







