How SD-OCT Is Changing Our View of DME
Precise imaging allows for earlier disease identification and greater sophistication in crafting a treatment regimen.
ADZURA SALAM, MBBS, MS ∙ CARSTEN FRAMME, MBA ∙ SEBASTIAN WOLF, MD, PhD
In diabetic macular edema, vascular endothelial damage is a major event that results in the breakdown of the inner blood-retinal barrier and accumulation of fluid and serum macromolecules in the intracellular space.1 The Wisconsin Epidemiologic Study of Diabetic Retinopathy reported that 32% of patients developed macular edema within 22 to 24 years of diabetes diagnosis.2
The Early Treatment of Diabetic Retinopathy Study showed that the risk of moderate vision loss is reduced by 50% in a treated eye following immediate laser coagulation, compared with control eyes, at three years.3 Early detection is vital in the management of diabetic retinopathy to prevent DME and subsequent loss of vision.
There are various methods of diagnosing DME, including slit-lamp biomicroscopy, stereoscopic photography, fluorescein angiography (FA), and optical coherence tomography. Well-dilated stereoscopic fundus examination by experienced examiners is highly sensitive and specific; however, it imposes a huge workload and requires much manpower. FA is helpful in detecting leaking points and ischemia prior to treatment, but it is an invasive procedure and should be performed only under strong indication.
OCT has gained popularity and has proved to be superior to the other diagnostic tools mentioned above in diagnosis of DME. It is also used to monitor disease progress and response after treatment. Time-domain OCT can image retinal structures in vivo with a resolution of 10 to 17 μm. The anatomic layers within the retina can be differentiated, and retinal thickness can be measured.
SD-OCT IN THE DIAGNOSIS OF DME
The technology of OCT has undergone rapid evolution over the past decade. The most recent advancement, spectral-domain OCT, made both high resolution and fast scanning speed possible, thus improving the quality of images. There are various SD-OCT instruments available: Cirrus HD-OCT (Carl Zeiss Meditec), RTVue-Fourier Domain OCT (Optovue), Copernicus OCT (Reichert/Optopol Technology), Spectral OCT/SLO (Opko/OTI), Spectralis HRA+OCT (Heidelberg Engineering), Topcon 3D OCT-1000 (Topcon), and RS-3000 Retiscan (Nidek). All instruments provide high-quality OCT images and produce three-dimensional images.
This technology has changed our perspective in the management of DME by: (1) accurately diagnosing the different types, especially in the early stages when structural changes may occur that would not yet be evident with slitlamp biomicroscopy or FA; (2) facilitating decisions on treatment protocols (surgical or medical); and (3) aiding as a noninvasive tool in monitoring the disease progress and treatment outcome.
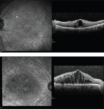
In DME, SD-OCT reveals various pathologic findings on qualitative and quantitative levels, as well as abnormal morphology of retinal layers.4 The qualitative interpretation includes hyper-reflective (hard exudates and cotton wool spots), hyporeflective (intraretinal edema, exudative retinal detachment, and cystoid macular edema), and shadow effect (hemorrhage, exudates, and retinal vessels). Examples can be seen in Figure 1.
Figure 1. The Spectralis HRA+OCT images in one patient (top) show cystoid swelling with intact outer retinal layer, external limiting membrane, photoreceptor inner segment, outer segments, and retinal pigment epithelium, as compared to another patient (bottom), who shows severe cystoid swelling and disturbed outer retinal layers.
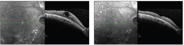
Additional information available using SD-OCT includes the structural changes in DME, which can include epiretinal membrane, retinal swelling, CME, subretinal fluid accumulation and intraretinal fluid accumulation. SD-OCT imaging enables visualization of the integrity of the outer plexiform layer in DME. This includes the epiretinal membrane, the photoreceptor inner segment, the outer segment, the RPE, and Bruch's membrane (Figure 2).
Figure 2. Left shows diabetic macular edema with epiretinal membrane. Right shows the Spectralis HRA+OCT images with severe cystoid macular edema and epiretinal membrane.
Otani et al. were among the first to observe structural changes in DME by OCT, including: sponge-like retinal swelling (88%), edema with cystic spaces (47%), and edema with serous retinal detachment (15%).5 The same study reported that best-corrected visual acuity was correlated with retinal thickness, regardless of the different tomog raphic features. Panozzo et al. further categorized the type of edema and traction. Introduction of vitreomacular traction into the classification of DME has led to more research into the treatment of DME.20 The role of vitreomacular traction is particularly important in considering possible surgical intervention (Figure 3).
Figure 3. Patient with clinically significant macular edema where the Spectralis HRA+OCT images show severe cystoid changes with vitreomacular traction. Note that the outer retinal layers, such as external limiting membrane and photo receptor layers, are severely disturbed. This vitreomacular traction was not detected with fundus photo or fluorescein angiogram.
Few researchers have documented significant correlation of intraretinal abnormalities found on OCT with FA changes.7-9 Early morphological changes in DME are appreciated better with OCT than FA. Interestingly, serous macular detachment and vitreomacular traction in the fovea are seen in OCT but not in FA. In another study, Ozdemir et al. reported that the incidence of serous macular detachment detected by SD-OCT in diabetic CME was much higher (31%)10 than previously reported.5
In 2009, Koleva-Georgieva et al. also found that SDOCT is useful in diagnosing subclinical serous macular detachment in DME.11 The same study documented the presence and strength of vitreomacular traction, either by partially detached posterior hyaloid or epiretinal membrane. The partially detached posterior hyaloid appeared as a relatively hyper-reflective line in the nonreflective space of the vitreous body. Three-dimensional reconstruction SD-OCT pictured epiretinal membrane as a hyperreflective line over the retinal surface, with characteristic “brush-like” or “star-like” features. However, in ischemic DME, FA is still the best monitoring tool, as OCT will not be able to give much information regarding this particular condition.
The quantitative interpretation of DME includes retinal thickness, central macular thickness and macular volume. Retinal thickness is defined as the length between segmentation of the inner and outer retinal borders. Most instruments identify the vitreoretinal interface as the segmentation of the inner retinal border. However, the segmentation of the outer border differs between the instruments. Based on this fact, Wolf-Schnurrbusch et al. observed the discrepancies in macular-thickness measurement in healthy eyes using six different OCT instruments.12
Various studies reported significant changes in retinal thickness, central foveal thickness and macular volume between normal populations and diabetes groups.13,14 In addition, some researchers discovered a significant correlation between central foveal thickness and BCVA in diabetic eyes.5,7,15,16 These findings may be useful for early detection of macular thickening and may be indicators for closer follow-up of patients with diabetes. Strøm et al. reported a close agreement between subjective and objective assessment of retinal thickness; this implies that DME can be accurately and prospectively measured with OCT.17
SD-OCT IN THE MANAGEMENT OF DME
It is obvious that structural changes have been made visible and clearly differentiated with SD-OCT; hence, the retinal physician now has a better option in deciding the treatment protocol in DME. Based on the ETDRS, macular photocoagulation laser (MPL) has become a gold standard in treating DME.3 In cases of refractory DME not responding well to MPL, medical treatment has become the second option. The Intravitreal Triamcinolone for Clinically Significant Macular Edema That Persists After Laser Treatment (TDMO) study reported a reduction of central macular thickness observed by OCT and significant improvement in visual acuity, especially during the initial treatment.18 Avitabile et al. reported that intravitreal triamcinolone improved BCVA and reduced central macular thickness more than macular laser grid photocoagulation.19 However, the risk of glaucoma has to be considered in patients who are to be treated with triamcinolone.
The Pan-American Collaborative Retina Study group (PACORES) reported that primary intravitreal bevacizumab for DME seems to provide stability or improvement in BCVA, OCT and FA in diffused DME at 12 months.20 Results of the RESOLVE study (Group RS) also showed a promising outcome on safety and efficacy of ranibizumab treatment in patients with DME at 12 months' duration.21 A pilot study conducted by Chun et al. suggested that intravitreal injections of ranibizumab appear to be well-tolerated therapy for patients with DME.22 The same study demonstrated that ranibizumab has the potential to maintain or improve BCVA in center-involved DME.
Framme et al. have demonstrated postoperative RPE proliferation, RPE atrophy and neurosensory retina alteration seen with SD-OCT following MPL.23 Thus the future direction of DME treatment will probably be focused more on medical therapy or mild laser, such as selective laser therapy using Nd:YLF, to prevent these structural damages (Figure 4).
Figure 4. Patient with cystoid macular edema before (left) and after treatment (right) with intravitreal anti-VEGF therapy (ranibizumab). Visual acuity improved from 20/80 to 20/40. Note the integrity of the outer retinal layer, external limiting membrane, photoreceptor inner segment, outer segments and retinal pigment epithelium.
Macular traction is a well-known factor in the development of CME. Previous investigators have reported on the anatomical improvement and visual benefit of pars plana vit rectomy in persistent DME.24-31 In addition, improvement of BCVA and significant reduction of macular thickness were documented following vitrectomy for diffused DME combined with vitreomacular traction.27,28 Recchia et al. suggested that pars plana vitrectomy with ILM peeling may provide anatomical and visual benefit in DME.26 In contrast, another researcher found that vitrectomy and ILM peeling for refractory DME in the absence of vitreomacular traction failed to improve visual acuity.32-34 Thus, pars plana vitrectomy with ILM peeling should be reserved for selected cases (Figure 5).
Figure 5. A patient with severe cystoid macular edema with epiretinal membrane before (left) and after (right) vitrectomy with internal limiting membrane peeling. Vision improved from 20/50 to 20/32. Note the integrity of the outer retinal layer, external limiting membrane, photoreceptor inner segment, outer segments and retinal pigment epithelium.
PROGNOSTIC FEATURES IN SD-OCT
The use of SD-OCT is becoming more valuable in the management of DME.35 It is used to monitor disease response following treatment, especially in the era of anti-VEGF. In most cases, there was a significant reduction of retinal thickness and normalization of retinal layers after intravitreal anti-VEGF treatment.20-22 Einbock et al. are the first to report the improvement of visual acuity after intravitreal anti-VEGF therapy in patients with normal appearance of the external limiting membrane, photoreceptor inner segment and outer segment, and the RPE.36 In contrast, patients with disturbed outer retinal layers on SD-OCT showed only reduction in retinal thickness, without much visual improvement after intravitreal anti-VEGF therapy. Another important finding is that patients with discontinuity of the inner retinal layer and disturbed outer retinal layers failed to achieve anatomical or visual improvement after intravitreal anti-VEGF in DME (Figures 6, 7, and 8).
Figure 6. The Spectralis HRA+OCT images of a patient show severe cystoid macular edema with serous macular detachment (left). Note subretinal fluid and intraretinal fluid. This patient showed anatomical response to multiple intravitreal anti-VEGF (ranibizumab) injections (right). Vision improved from 20/200 to 20/50.
Figure 7. Patient with DME and severe cystoid changes. The same image shows severely disturbed outer retinal layers, ie, external limiting membrane and photoreceptor layer with intraretinal fluid. The visual acuity was not improved after intravitreal anti- VEGF therapy.
Figure 8. Spectralis HRA+OCT images of a patient with DME and disrupted inner and outer retinal layers with formation of pseudohole. The anatomy and vision were not improved even after pars plana vitrectomy with internal limiting membrane peeling.
CONCLUSION
The advent of SD-OCT in DME has expanded the capabilities of OCT beyond diagnosis and disease-monitoring to prediction of treatment outcome. This has changed our understanding of this disease's pathophysiology, improved the ability of clinicians to individualize the approach to treatment and has led to further research in DME. RP
REFERENCES
1. Antcliff RJ, Marshall J. The pathogenesis of edema in diabetic maculopathy. Semin Ophthalmol. 1999;14:223-232.
2. Klein R, Moss SE, Klein BE, Davis MD, DeMets DL. The Wisconsin Epidemiologic Study of Diabetic Retinopathy. XI. The incidence of macular edema. Ophthalmology. 1989;96:1501-1510.
3. The effect of intensive treatment of diabetes on the development and progression of long-term complications in insulin-dependent diabetes mellitus. The Diabetes Control and Complications Trial Research Group. N Eng J Med. 1993;329:977-986.
4. Lang GE. Optical coherence tomography findings in diabetic retinopathy. Dev Ophthalmol. 2007;39:31-47.
5. Otani T, Kishi S, Maruyama Y. Patterns of diabetic macular edema with optical coherence tomography. Am J Ophthalmol. 1999;127:688-693.
6. Panozzo G, Gusson E, Parolini B, Mercanti A. Role of optical coherence tomography in the diagnosis and follow up of diabetic macular edema. Semin Ophthalmol. 2003;18:74-81.
7. Ozdek SC, Erdinç MA, G�relik G, Aydin B, Bahçeci U, Hasanreisoğlu B. Optical coherence tomography assessment of diabetic macular edema: Comparison with fluorescein angiographic and clinical findings. Ophthalmologica. 2005;219:86-92.
8. Soliman W, Sander B, Hasler PW, Larsen M. Correlation between intraretinal changes in diabetic macular oedema seen in fluorescein angiographic and optical coherence tomography. Acta Ophthalmol. 2008;86:34-39.
9. Kang SW, Park CY, Ham DI. The correlation between fluorescein angiographic and optical coherence tomography feature in clinically significant diabetic macular edema. Am J Ophthalmol. 2004;137:313-322.
10. Ozdemir H, Karacorlu M, Karacorlu S. Serous macular detachment in diabetic cystoid macular edema. Acta Ophthalmol Scand. 2005;83:63-66.
11. Koleva-Georgieva D, Sivkova N. Assessment of serous macular detachment in eyes with diabetic macula edema by use of spectral-domain optical coherence tomography. Graefes Arch Clin Exp Ophthalmol. 2009;247:1461-1469.
12. Wolf-Schnurrbusch U, Ceklic L, Brinkmann CK, et al. Macular thickness measurement in healthy eyes using six different optical coherence tomography instruments. Invest Ophthalmol Vis Sci. 2009;50:3432-3437.
13. Sánchez-Tocino H, Alvarez-Vidal A, Maldonado MJ, Moreno-Montañés J, García-Layana A. Retinal thickness study with optical coherence tomography in patients with diabetes. Invest Ophthalmol Vis Sci. 2002;43:1588-1594.
14. Massin P, Erginay A, Haouchine B, Mehidi B, Gaudric A. Retinal thickness in healthy and diabetic subjects measured using optical coherence tomography mapping software. Eur J Ophthalmol. 2002;12:102-108.
15. Hee MR, Puliafito CA, Duker JS, et al. Topography of diabetic macular edema with optical coherence tomography. Ophthalmology. 1998;105:360-370.
16. Hee MR, Puliafito C, Wong C, et al. Quantitative assessment of macular edema with optical coherence tomography. Arch Ophthalmol. 1995;113: 1019-1029.
17. Strøm C, Sander B, Larsen N, Larsen M, Lund-Andersen H. Diabetic macular edema assessed with optical coherence tomography and stereo fundus photography. Invest Ophthalmol Vis Sci. 2002;43:241-245.
18. Gillies MC, Sutter FK, Simpson JM, Larsson J, Ali H, Zhu M. Intravitreal triamcinolone for refractory diabetic macular edema: two-year results of a double-masked, placebo-controlled, randomized clinical trial. Ophthalmology. 2006;113:1533-1538.
19. Avitabile T, Lungo A, Reibaldi A. Intravitreal triamcinolone compared with macular laser grid photocoagulation for the treatment of cystoid macular edema. Am J Ophthalmol. 2005;140:695-702.
20. Arevalo JF, Sanchez JG, Fromow-Guerra J, et al.; Pan-American Collaborative Retina Study Group (PACORES).Pan American Collaborative Retina Study Group (PACORES). Comparison of two doses of primary intravitreal bevazumab (Avastin) for diffused diabetic macular oedema: result from the Pan American Collaborative Retina Study Group (PACORES).at 12 months follow up. Graefes Arch Clin Exp Ophthalmol. 2009;247:735-743.
21. Wolf S, Massin P, Bandello F, et al. Safety and efficacy of ranibizumab treatment in patients with diabetic macular edema: 12-months results of the RESOLVE study. Paper presented at: Annual meeting of the Association for Research in Vision and Ophthalmology; May 6, 2009; Fort Lauderdale, FL.
22. Chun DW, Heier JS, Topping TM, Duker JS, Bankert JM. A pilot study of multiple intravitreal injection of ranibizumab in patient with center-involving clinically significant macular edema. Ophthalmology. 2006;113:1706-1712.
23. Framme C, Alt C, Theisen-Kunde D, Brinkmann R. Structural changes of the retina after conventional laser photocoagulation and selective retinal treatment (SRT) in spectral-domain optical coherence tomography. Curr Eye Res. 2009;34:568-579.
24. Jahn CE, Topfner von Schutz K, Richter J, Boller J, Kron M. Improvement of visual acuity in eyes with diabetic macular edema after treatment with pars plana vitrectomy. Ophthalmologica. 2004;218:378-384.
25. Lai WW, Mohamed S, Lam DS. Improvement of visual acuity in eyes with diabetic macular oedema after treatment with PPV. Ophthalmologica. 2005; 219:189.
26. Recchia FM, Ruby AJ, Carvalho Recchia CA. Pars plana vitrectomy with removal of internal limiting membrane in the treatment of persistent diabetic macular edema. Am J Ophthalmol. 2005;139:447-454.
27. Massin P, Duguid G, Erginay A, Haouchine B, Gaudric A. Optical coherence tomography for evaluating diabetic macular edema before and after vitrectomy. Am J Ophthalmol. 2003;135:169-177.
28. Shimonagono Y, Makiuchi R, Miyazaki M, Doi N, Uemura A, Sakamoto T. Result of visual acuity and foveal thickness in DME after vitrectomy. Jpn J Ophthalmol. 2007;51:204-209.
29. Patel JI, Hykin PG, Schadt M, Luonfg V, Fitzke F, Gregor ZJ. Pars plana vitrectomy for diabetic macular edema: optical coherence tomography and functional correlation. Eye. 2006;20:674-680.
30. Micelli Ferrari T, Cardascia N, Durante G, Vetrugno M, Cardia L. Pars plana vitrectomy in diabetic macular edema. Doc Ophthalmol. 1999;97:471-474.
31. Grigorian R, Bhagat N, Lanzetta, Tutela A, Zarbin M. Pars plana vitrectomy for refractory diabetic macular edema. Semin Ophthalmol. 2003;18:116-120.
32. Shah SP, Patel M, Thomas D, Aldington S, Laidlaw DAH. Factors predicting outcome of vitrectomy for diabetic macular oedema: results of a prospective study. Br J Ophthalmol. 2006;90:33-36.
33. Dhingra N, Sahni J, Shipley J, et al. Vitrectomy and internal limiting membrane (ILM) removal for diabetic macular edema in eyes absent vitreo-macular traction fails ti improve visual acuity: Result of a 12 months prospective randomized controlled clinical trail. Paper presented at: Annual meeting of the Association for Research in Vision and Ophthalmology; May 1-5, 2005; Fort Lauderdale, FL.
34. Hartley K, Smiddy W, Flynn HW Jr, Murray T. Pars plana vitrectomy with internal limiting membrane peeling for diabetic macular edema. Retina. 2008;28:410-419.
35. Patel JI, Hykin PG, Schadt M, Luong VY, Fitzke F, Greegor ZJ. Pars plana vitrectomy with and without peeling of inner limiting membrane for diabetic macular edema. Retina. 2006;26:5-13.
36. Wolf S. Assessing diabetic macular edema with optical coherence tomography. In: Medical Retina: Focus on Retinal Imaging. Spaide RF, ed. Berlin, Germany; Springer-Verlag; 2010:125-129.
37. Einbock W, Berger L, Wolf-Schnurrbusch U, Fleischhauer J, Wolf S. Predictive factors for visual acuity of patients with diabetic macular edema interpreted form the Spectralis HRA+OCT (Heidelberg Engineering). Invest Ophthalmol Vis Sci. 2008;49:3432-3473.
| Adzura Salam, MD, MBBS, MS, is assistant professor of ophthalmology at the International Islamic University in Malaysia. Carsten Framme, MD, MBA, is medical director of the Department of Ophthalmology at Bern University Inselspital in Switzerland. Sebastian Wolf, MD, PhD, is clinical director and chief doctor in the Department of Ophthalmology at Bern University Inselspital. Dr. Framme reports financial interest in Novartis; Dr. Wolf reports financial interest in Novartis, Molecular Partners, Gruenenthal, Pfizer, Allergan and Heidelberg. Dr. Wolf can be reached at Sebastian.Wolf@insel.ch. |







