CASE STUDY
Suprachoroidal Bevacizumab Delivery for Neovascular AMD Treatment
When intravitreal injection is not possible, what options for anti-VEGF treatment remain?
Gabor B. Scharioth, MD • Peter Raak, MD • Mitrofanis Pavlidis, MD
With the recent development of anti-VEGF therapies, the repertoire of treatments for neovascular AMD has been significantly expanded. These drugs have had their efficacy demonstrated in studies with broad eligibility criteria (ANCHOR study, 20091; MARINA study, 2006;2 and PIER study, 20083).
Current local drug-delivery techniques to access the posterior segment include intravitreal injections, periocular injections (which can be subconjunctival, sub-Tenon's or juxtascleral) and intravitreal implants.4 Several anti-VEGF drugs, such as pegaptanib sodium, ranibizumab and bevacizumab, are used via the intravitreal route for neovascular AMD; however, these injections are not without complications. The repeated and long-term injections that are often needed in AMD may culminate in complications, of which the most significant and devastating is endophthalmitis.5 Local delivery could minimize systemic levels and decrease side effects. The suprachoroidal space (SCS) is a potential location for drug delivery, limited anteriorly in the region of the scleral spur and posteriorly by the peripapillary scleral ring, as well as the transscleral connections of the short posterior ciliary vessels to the choroid.6
Therefore, we describe a novel bevacizumab (Avastin, Genentech) delivery methodology in a case of advanced refractory neovascular AMD that takes advantage of the unique anatomy of the SCS, combined with a microcannulation system (iScience Interventional, Menlo Park, CA), originally designed for use in the Schlemm's canal7 and modified for suprachoroidal drug delivery (Figures 1 and 2). We have been using this technique since December 2009 for nonresponders to intravitreal anti-VEGF therapy and in eyes with very poor best-corrected visual acuity at first presentation, but relatively short duration of loss of vision in the first eye. Olsen and coworkers8 have used this microcatheter system in one rhesus monkey and 93 pig eyes. They concluded that this technique can be performed in a safe and reproducible manner by using careful surgical technique.
Figure 1. Microcatheter just prior to introduction into suprachoroidal space; note illuminated tip and black markings.
Figure 2. Intraoperative view to posterior pole of a patient with wet AMD (not the presented case); note position of the illuminated distal tip of the microcatheter.
CASE REPORT
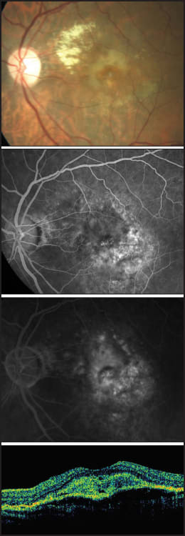
We report on a 75-year-old female with wet AMD and a history of 21 intravitreal anti-VEGF injections (ranibizumab and bevacizumab), with poor response to this therapy. BCVA was 0.1, and fundus photography and fluorescein angiography (Figure 3) showed marked pigment epithelial elevation with thick subfoveal membrane. As we did not believe that further intravitreal injections would improve the situation, we discussed with the patient the possibility of suprachoroidal drug delivery. The patient agreed as a final option, as her second eye also had wet AMD with a poor response to intravitreal anti-VEGF therapy.
Figure 3. Preoperative imaging of the patient described in this report. Best-corrected visual acuity was 0.1 after 21 intravitreal anti-VEGF injections.
After conjunctival peritotomy in the temporal superior quadrant, we created close to the equator a radial sclerotomy of approximately 1.5-2.0 mm in length, so that the choroid would get exposed. A special microcatheter with an outer diameter of 400 µm, an inner lumen for drug delivery, and a fiber for illuminating its distal tip was prefilled with bevacizumab and connected to an illuminating system (iLumin, iScience Interventional). Then, the microcatheter was installed through the sclerotomy into the suprachoroidal space.
Slowly, the microcatheter was advanced toward the posterior pole. Black markings at the surface of the micro-catheter indicated every 5 mm. Then, we created a 25-gauge sclerotomy at the pars plana and installed a chandelier illumination system. Under direct control with a wide-angle viewing system, the position of the illuminated tip of the microcatheter was observed and repositioned if needed. Intraocular pressure was reduced via a side port incision to allow intraocular injection of greater volume.
Next, 0.1-0.2 mL of bevacizumab was injected under the macula into the suprachoroidal space. Slight elevation of the posterior pole was observed, and the light of the microcatheter tip got diffuse. The microcatheter was withdrawn, and sclerotomies and conjunctiva were closed with 8x0 vicryl.
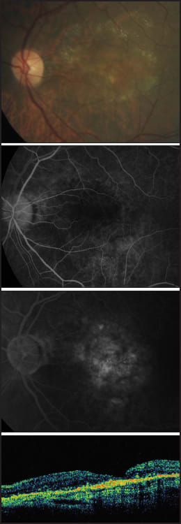
Postoperative therapy consisted of combined antibiotic and steroid ointment four times daily for two weeks. Controls were performed at day 1, after one week, and then weekly; after one month, follow up was performed every four weeks. At all visits, BCVA, anterior and posterior segment, IOP, and fundus photography and fluorescein angiography of the macula (Figure 4) were performed.
Figure 4. Four weeks postop, there is marked reduction of retinal pigment epithelium detachment; best-corrected visual acuity is 0.1.
There were no intraoperative complications noticed. The early postoperative course was uncomplicated, and after two weeks, local therapy was discontinued. At four weeks postoperative, a marked reduction of retinal pigment epithelium detachment was noticed. After eight weeks, postoperative BCVA improved slightly to 0.16, and the subfoveal membrane totally disappeared (Figure 5), with return to almost normal foveal configuration. During the six months of follow-up, no signs of recurrence were observed.
Figure 5. Eight weeks postop, there is marked reduction of subfoveal membrane with return to almost normal foveal configuration; BCVA has improved to 0.16.
DISCUSSION
Since this case, we have used this technique, which can be performed under local or general anesthesia, in more than 25 eyes. Our indications were nonresponse to classic intravitreal anti-VEGF therapy and/or initial BCVA <0.05. In one case, a perforation with intraocular placement of the microcatheter occurred. This case was successfully treated with 25-g pars plana vitrectomy, cryoretinopexy at the perforation site, gas tamponade, and intravitreal bevacizumab. No other intraoperative or postoperative complications related to this procedure occurred.
The majority of cases showed good response to this novel therapy, with improvement in visual acuity and reduction of sub- and intraretinal fluid accumulation on OCT. Some eyes improved to BCVA ≥0.05, and intravitreal anti-VEGF therapy could be continued if necessary.
We believe this approach of drug administration in wet AMD, and possibly in other retinal diseases, has potential due to direct drug delivery to the target area and possibly higher concentration of active drug. Intravitreal application requires transvitreal and transretinal diffusion to the subretinal space and choroid. Also, we believe this approach to suprachoroidal space has potential for other drugs that cannot be administered intravitreally or systemically. RP
REFERENCES
1. Brown DM, Michels M, Kaiser PK, Heier JS, et al. Ranibizumab versus verteporfin photodynamic therapy for neovascular age-related macular degeneration: Two-year results of the ANCHOR study. Ophthalmology. 2009;116:57-65 e5.
2. Rosenfeld PJ, Brown DM, Heier JS, et al. Ranibizumab for neovascular age-related macular degeneration. N Engl J Med. 2006;355:1419-1431.
3. Regillo CD, Brown DM, Abraham P, et al. Randomized, double-masked, sham-controlled trial of ranibizumab for neovascular age-related macular degeneration: PIER Study year 1. Am J Ophthalmol. 2008;145:239-248.
4. Geroski DH, Edelhauser HF. Drug delivery for posterior segment eye disease. Invest Ophthalmol Vis Sci. 2000;41:961-964.
5. Jeganathan VS, Verma N. Safety and efficacy of intravitreal anti-VEGF injections for age-related macular degeneration. Curr Opin Ophthalmol. 2009;20:223-225.
6. Nickla DL, Wallman J. The multifunctional choroid. Prog Retin Eye Res. 2010;29:144-168.
7. Lewis RA, von Wolff K, Tetz M, et al. Canaloplasty: circumferential viscodilation and tensioning of Schlemm canal using a flexible microcatheter for the treatment of open-angle glaucoma in adults: two-year interim clinical study results. J Cataract Refract Surg. 2009;35:814-824.
8. Olsen TW, Feng X, Wabner K, et al. Cannulation of the suprachoroidal space: a novel drug delivery methodology to the posterior segment. Am J Ophthalmol. 2006;142:777-787.
| Gabor B. Scharioth, MD, Peter Raak, MD, and Mitrofanis Pavlidis, MD, are of the faculty of Augenzentrum Recklinghausen in Recklinghausen, Germany. None of the authors reports any financial interest in any products mentioned in this article. Dr. Scharioth can be reached via e-mail at gabor.scharioth@augenzentrum.org. |







