New Hope for Dry AMD Patients
Several products in the pipeline give reason for optimism that dry AMD may soon become a treatable disease.
Michael Engelbert, MD, PhD
While current antiangiogenic therapies1,2 reach increasing numbers of patients with neovascular AMD and improve the quality of life for patients who formerly had no hope of amelioration, we still do not have much to offer patients with dry AMD, who represent the majority of patients with the disease. Nutritional supplementation with a complex mixture of nutraceuticals (AREDS)3 only slows disease progression modestly — a situation that is not dissimilar from the one wet AMD patients faced in the era of photodynamic therapy.4
However, many approaches to tackling dry AMD — ranging from more traditional (eg, eye drops) to the futuristic (implantable cell farms containing genetically engineered cell lines that produce neuroprotective factors) — have made it from the bench to the bedside of early-phase clinical trials. Two years ago, we reported on various drugs under development, and several of these treatments have shown further promise. After a brief review of the pathogenic model of AMD and the current gold standard of treatment, this article will update you on the progress in this field since then.
CURRENT PATHOGENIC MODEL OF AMD
Oxidative damage may be the root cause of the genetically regulated “multiple-hit” process we call aging. Several factors contribute to this process: incoming light is focused on the macula by the cornea and lens; byproducts of cells with high oxygen consumption and energy demand; and exposure to systemic toxins circulating through the luxuriant blood supply of the choroid. Both lipid peroxidation and protein misfolding in aging photoreceptors and retinal pigment epithelium cells aggravate the compromised cellular metabolism and lead to the accumulation of lipofuscin and other detritus, further damaging the cells in charge of their removal. This stimulates an immune response, in which the complement system plays a critical role, further contributing to local damage and initiating a vicious cycle that eventually leads either to the “quiet” degenerative loss of RPE cells and photoreceptors or choroidal neovascularization, followed by its exudative and hemorrhagic complications. This process often results in severe and sometimes sudden, dramatic visual loss.
Figure 1. Geographic atrophy is the primary symptom of the most advanced stage of dry AMD.
Several environmental and genetic factors also appear to influence the threshold for development of AMD. In terms of environmental factors, which are frequently modifiable, increasing oxidative stress in general is likely detrimental, as smoking has been shown to increase the risk of advanced AMD in a dose-dependent fashion.5 The association of diets rich in the antioxidants lutein and zeaxanthin (enriched in green leafy vegetables) and omega-3 fatty acids (enriched in fish) with reduced risk of AMD may be based on neutralization of free radicals.6 Other environmental factors implicated in the pathogenesis of AMD are alcohol use7 and sun exposure.8
A genetic contribution to AMD has always been intuitive, based on the differential incidences in various ethnicities and concordant phenotypes in twins. Recently, this genetic basis has unraveled, with genes of the complement pathway most prominent, thus highlighting the contribution of the immune system to the pathogenesis of AMD. In particular, susceptibility alleles encoding variants of complement factor H (CFH)9,10 and other components of the complement cascade, such as complement factor 2 (C2) and/or complement factor B (CFB),11 complement factor 3 (C3)12 and complement factor I (CFI),13 have been identified. Protective alleles, such as CFHR1 and CFHR3, convey a decreased susceptibility to AMD.14,15
Another component of the innate immune response, Toll-like receptor 3, has been found to be specifically associated with the development of geographic atrophy (GA),16 and specific mitochondrial DNA variant, A4917G, and a polymorphism in the 5' – upstream region of ERCC6, a gene important for DNA repair due to stress and aging, have been reported to increase risk,17 pointing to the importance of oxidative damage and genomic stability in the pathogenetic process. A single-point mutation in HTRA1, a regulator of extracellular matrix degradation and an inhibitor of transforming growth factor-ß, has also been shown to confer an increased risk of advanced AMD, possibly by facilitating permeation of Bruch's membrane by choroidal neovascular vessels,18 but also by promoting GA (Figure 1).19
THE GOLD STANDARD
Where there is no effective treatment for dry AMD, prevention is critical. AREDS, a multicenter, randomized clinical trial, demonstrated that oral supplementation with high doses of antioxidant vitamins C and E, beta-carotene, zinc and copper may significantly slow progression to advanced AMD in the subgroups of patients with at least intermediate drusen, which corresponds to an estimated 20% of the population over age 70.3 A sequel to AREDS, AREDS2, will examine the role of lutein, zeaxanthin, and/or omega-3 fatty acids in preventing advanced AMD (www.areds2.org). It will furthermore explore whether elimination of beta-carotene and lowering the levels of zinc will lead to results equivalent to those from the original AREDS formulation. Enrollment concluded in 2008, and patients with large drusen in both eyes or advanced AMD in one eye and large drusen in the other will be followed for five to six years. It is interesting to note that the AREDS2 formulation of vitamins is already commercially available and enjoys the endorsement of many physicians. However, scientific evidence for its effectiveness and safety will not be available until 2013.
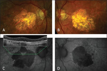
Figure 2. Color fundus photos of a 70-year-old female patient with a history of progressive dry age-related macular degeneration. Visual acuity is 20/70 OD and 20/400 OS. The patient is still able to read with low-vision reading glasses, using a small paracentral island of retina in the right eye (A), but is experiencing increasing difficulty. Autofluorescence imaging of the right eye (C) highlights intact retinal pigment epithelium, with intact outer retina overlying it in the area of this island on OCT (C, insert). However, increased hyperautofluorescence on the superior edge of this RPE rest indicates that atrophy is actively encroaching, raising the dire prospect of this eye developing complete posterior GA as seen in the left eye (B, D), and completely robbing this avid reader of her reading ability. Hopefully, novel therapies will make it to the chairside soon enough to improve the quality of life of innumerable patients like this one who can currently not be offered anything besides AREDS multivitamin supplements.
IN THE PIPELINE
Visual-cycle Inhibition
It is now widely recognized that increased autofluorescence often precedes RPE cell and photoreceptor death in patients with AMD and that it may even be possible to predict progression of AMD based on the specific autofluorescence pattern.20 It is believed that this increased autofluorescence is a corollary of accumulation of lipofuscin and vitamin A metabolites, such as the retinal fluorophore A2E. A2E has been shown to be toxic in a variety of ways: by destabilizing membranes and by interfering with phagolysosomal metabolism, blue-light mediated cellular and nuclear damage, sub sequent apoptosis and downstream complement activation.
Fenretinide (4-hydroxy(phenyl)retinamide) is a synthetic retinoid that competes with retinol for binding to retinol-binding protein and transthyretin, thus diminishing the amount of retinol available in the visual cycle and decreasing the amount of toxic fluorophores accumulating in the RPE cells. Developed by ReVision Therapeutics (San Diego, CA), fenretinide's tolerability and bioavailability is well characterized, and several phase 2 and 3 studies employing fenretinide in the treatment of various cancers have been published, further supporting the safety of this agent.
Currently, a double-masked, placebo-controlled phase 2 trial has gotten underway to study whether fenretinide may be beneficial in the treatment of dry AMD. Specifically, two doses (100 and 300 mg) of an oral fenretinide preparation are being tested against placebo in 246 patients with geographic atrophy between one and eight disc diameters in size, within 250 μm of the fovea, and with a visual acuity between 20/25 and 20/100 in the study eye. Interim analysis demonstrated that there was a trend for slower lesion growth in the treatment groups. This was particularly pronounced in the 300-mg group, where a median growth rate of only 22.7% was ob served, versus 41.6% in the placebo group. Also, a 50% decrease in the incidence of CNV was observed, prompting a phase 3 trial on the effect of fenretinide in dry and wet AMD, which is expected to start enrolling in 2011.
Another nonretinoid visual cycle modulator, ACU-4429 (Acucela Inc., Bothell, WA), was found to be safe and well tolerated in a phase 1 study in healthy subjects. Preclinical data showed that ACU-4429 slows the rod visual cycle, resulting in decreased lipofuscin and A2E. Electroretinograms showed reduced rod function in these subjects, as predicted. This type of intervention may have applications with dry AMD, as well as in other degenerative disorders related to accumulation of lipofuscin. In January 2010, a phase 2 trial, ENVISION (Evaluating a Novel Vision Treatment for AMD) began enrolling patients. In this randomized, double-masked, placebo-controlled study of three escalating dose levels, subjects will receive either oral ACU-4429 or placebo daily for three months.
Although visual-cycle inhibition appears promising in slowing down the progression of geographic atrophy and possibly decreasing the incidence of CNV, a reversible but inevitable side effect is slowing rod recovery, leading to difficulties adjusting to changes in ambient illumination and increased light sensitivity. Consequently, patients are advised in the study consent form to “be careful while doing anything that requires night vision, including operating a car or machinery.” These side effects may be only slowly reversible (in the case of another compound, AC-3223, they may last several days), limiting clinical utility to a greater or lesser extent. It is interesting to note, though, that a considerable proportion of patients receiving placebo only also complained of delayed dark adaptation in the fenretinide study mentioned above (26.8% with placebo vs 35% in the treatment group).
Antioxidants
OT-551 (Othera Pharmaceuticals, Exton, PA) is a small lipophilic precursor molecule that readily penetrates the cornea after topical application and then gets converted by ocular esterases into TEMPOL-H, the active, hydrophilic metabolite, which is a potent free-radical scavenger and inhibitor of lipid peroxidation. It also appears to inhibit NFkB gene transcription, thus working through another anti-inflammatory and antiangiogenic mechanism. Randomized, open-label pilot studies examined the effect of OT-551 on loss of visual acuity and progression of GA in AMD, as well as in Stargardt disease.
The OMEGA (OT-551 Multicenter Evaluation of Geographic Atrophy) trial, a phase 2, randomized, double-masked, dose-ranging, multicenter study, evaluated the safety and efficacy of topical OT-551 over the course of two years in patients with GA ranging in size from 0.5 to 7.0 disc diameters and a BCVA of at least 20/63. Mean outcome measures were change in the rate of GA area progression, conversion to neovascular AMD, and change in BCVA. Unfortunately, OT-551 did not slow progression of GA.
Anti-inflammatory Agents
Steroids have been used on their own or as part of combination therapy for AMD. A nonbioerodible polyimide tube called Iluvien (Alimera Sciences, Alpharetta, GA), containing 180 μg of fluocinolone acetonide, can be introduced into the vitreous cavity with a 25-gauge injector. Currently, a phase 2 study is investigating the effect of two daily elution doses of Iluvien in slowing GA.
Sirolimus (also known as rapamycin; Macusight/Santen, Union City, CA) is a macrolide fungicide that targets the mammalian target of rapamycin (mTOR) and has anti-inflammatory, antiangiogenic, and antifibrotic activity. Conveniently, it can be administered subconjunctivally and is currently being studied in phase 1 and 2 trials examining its role both in patients with GA and with exudative AMD.
Complement Inhibition
As already mentioned, there exists ample evidence that the complement cascade plays an important role in the pathogenesis of AMD and probably at all stages, ie, from drusen formation to GA or CNV and eventual cicatrization. This has led to the development of myriad complement inhibitors that could potentially work for patients with early, as well as advanced, AMD. Whether it is advantageous to inhibit upstream or downstream in the complement cascade is up for debate, since the current rationale for tackling complement at this point relies on strong epidemiological evidence, rather than a detailed understanding of the molecular mechanisms.
POT-4 (Potentia Pharmaceuticals, Louisville, KY) is a cyclic 13 amino acid peptide, which interferes with the cleavage of C3, the component on which all three pathways of complement activation converge. It was the first complement inhibitor to be studied in patients with AMD. POT-4 forms an intravitreal gel deposit that functions as a depot for the drug. Phase 1 data indicate that it is safe and well tolerated at the doses studied, and a phase 2 study is now under way to determine the appropriate dosing interval for future dry AMD trials.
Other compounds target the terminal complement component C5, which is critical for membrane attack complex formation and production of the highly proinflammatory molecule C5a. Eculizumab (Alexion Pharmaceuticals Inc., Cheshire, CT) is a humanized monoclonal antibody to C5. It is FDA-approved for the treatment of paroxysmal nocturnal hemoglobinuria, and the phase 2 COMPLETE (COMPLement inhibition with Eculizumab for the Treatment of non-Exudative age-related macular degeneration) study is ongoing in patients with dry AMD, with the hope of reducing the growth rate of GA, as well as high-risk drusen area and volume, through intravenous infusion of eculizimab. Results are expected in 2011.
Another agent targeting C5 is ARC-1905 (Ophthotech, Princeton, NJ), an injectable pegylated aptamer that inhibits the complement component C5. Phase 1 trials for dry AMD and CNV (in combination with an anti-VEGF agent) are currently underway.
JPE1375 (Jerini Ophthalmic, New York, NY) is a peptidomimetic small molecule that targets the receptor for C5a on inflammatory cells. It is a biodegradable injectable designed to last for six months.
FCFD 5414S (Genentech, South San Francisco, CA) is a recombinant humanized monoclonal antibody fragment directed against factor D, a rate-limiting enzyme in the alternative complement activation pathway, and phase 1 data would suggest that intravitreal administration in patients with GA was safe and well tolerated. A phase 2 study is being organized. Factor B inhibition is also being explored with a humanized antibody fragment, TA106, also developed by Taligen Therapeutics (Cambridge, MA).
Replacement of defective CFH in patients afflicted with risk-enhancing mutations is another approach that is being exploited. However, recombinant full-length CFH (Ophtherion, Inc., New Haven, CT) is no longer being pursued for this purpose by its manufacturer. TT30 (Taligen), is a recombinant fusion protein designed to replace defective CFH.
Several additional complement pathway-modulating drugs are currently under evaluation, including T106 (an antibody fragment against complement factor B), CR2-CFH hybrid proteins, antiproperdin antibodies (thought to destabilize the critical C3 convertase), C1-INH (a classical pathway inhibitor), neutrazimab (a classical pathway inhibitor) and sCR1 (a soluble form of endogenous complement receptor 1).
One concern that has been raised, however, is that complement inhibition may decrease the eye's ability to fight iatrogenically induced pathogens, thus potentially increasing the incidence or aggravating the outcome of injection-related endophthalmitis. Complement, however, is present in the vitreous only in minute quantities compared to the levels in the choroidal circulation, and while important in the pathogenesis of AMD, it appears to play only a subordinate role in the defense against intraocular pathogens.21
Targeting Amyloid
Amyloid-β oligomers contained in drusen may be involved in AMD progression, and a single dose of RN6G (Pfizer, New York, NY), a humanized monoclonal antibody targeting amyloid-β 40 and amyloid-β 42, was found to be safe in patients with dry AMD. A phase 2 clinical trial is currently enrolling patients with advanced dry AMD.
Neuroprotection
Ciliary neurotrophic factor (CNTF) has been shown to be able to rescue dying photoreceptors in several paradigms of neurodegeneration and in several experimental animal species. CNTF is produced and delivered continuously in situ through encapsulated cell technology. A semipermeable tube of about 6 mm length and 1 mm diameter contains human RPE-derived cells genetically engineered to produce human CNTF, which diffuses through the 15-nm pores. A phase 1 study, sponsored by Neurotech USA (Lincoln, RI), demonstrated that this tube could safely be implanted into eyes with severely degenerated photoreceptors from retinitis pigmentosa.22 VA appeared to improve both subjectively and objectively by 18 months in this open-label study, which correlated with an increase in the outer nuclear layer volume and slowing of lesion enlargement. This has motivated a phase 2 trial, which is currently under way.
Furthermore, brimonidine (Allergan Inc., Irvine, CA) is believed to have neuroprotective properties based on multiple animal models and its effects in the treatment of glaucoma. An injectable intravitreal brimonidine polymer is currently being evaluated with regard to its safety and its possible effect on the progression of GA.
SUMMARY
Multiple potential therapeutic targets have been identified by recent research in the pathogenesis of AMD and are currently being examined. Currently, the only approved treatment for dry AMD is vitamin supplementation according to the AREDS protocol, but the AREDS2 study will hopefully yield an improved formulation, with higher efficacy for a broader group of patients. Also, it is encouraging to observe multiple compounds, targeting multiple pathways in the multifactorial pathogenic cascade, making it from bench to bedside. This update restricted itself to representative compounds that have advanced furthest (or at least entered) the consecutive trial phase process, but many more are in the R&D pipelines. Given the advances over the past two years since the last review of the subject in this publication, optimism appears to be justified that a paradigm shift in the therapy of dry AMD is approaching. RP
REFERENCES
1. Brown DM, Kaiser PK, Michels M, et al; ANCHOR Study Group. Ranibizumab versus verteporfin for neovascular age-related macular degeneration. N Engl J Med. 2006;355:1432–1444.
2. Rosenfeld PJ, Brown DM, Heier JS, et al; MARINA Study Group. Ranibizumab for neovascular age-related macular degeneration. N Engl J Med. 2006;355: 1419–1431.
3. Age-Related Eye Disease Study Research Group. A randomized, placebo-controlled, clinical trial of high-dose supplementation with vitamins C and E, beta carotene, and zinc for age-related macular degeneration and vision loss: AREDS report no. 8. Arch Ophthalmol. 2001;119:1417–1436.
4. Bressler NM; Treatment of Age-Related Macular Degeneration with Photodynamic Therapy (TAP) Study Group. Photodynamic therapy of subfoveal choroidal neovascularization in age-related macular degeneration with verteporfin: two-year results of 2 randomized clinical trials-tap report 2. Arch Ophthalmol. 2001119:198–207.
5. Age-Related Eye Disease Study Research Group. Risk factors associated with age-related macular degeneration. A case-control study in the age-related eye disease study: Age-Related Eye Disease Study Report Number 3. Ophthalmology. 2000;107:2224–2232.
6. Tan JS, Wang JJ, Flood V, Rochtchina E, Smith W, Mitchell P. Dietary antioxidants and the long-term incidence of age-related macular degeneration: the Blue Mountains Eye Study. Ophthalmology. 2008;115:334–341.
7. Chong EW, Kreis AJ, Wong TY, Simpson JA, Guymer RH. Alcohol consumption and the risk of age-related macular degeneration: a systematic review and meta-analysis. Am J Ophthalmol. 2008;145:707–715.
8. Cruickshanks KJ, Klein R, Klein BE. Sunlight and age-related macular degeneration. The Beaver Dam Eye Study. Arch Ophthalmol. 1993;111:514–518.
9. Edwards AO, Ritter R 3rd, Abel KJ, Manning A, Panhuysen C, Farrer LA. Complement factor H polymorphism and age-related macular degeneration. Science. 2005;308:421–424.
10. Hageman GS, Anderson DH, Johnson LV, et al. A common haplotype in the complement regulatory gene factor H (HF1/CFH) predisposes individuals to age-related macular degeneration. Proc Natl Acad Sci. U S A. 2005; 102:7227–7232.
11. Sepp T, Khan JC, Thurlby DA, et al. Complement factor H variant Y402H is a major risk determinant for geographic atrophy and choroidal neovascularization in smokers and nonsmokers. Invest Ophthalmol Vis Sci. 2006; 47:536–540.
12. Yates JR, Sepp T, Matharu BK, et al; Genetic Factors in AMD Study Group. Complement C3 variant and the risk of age-related macular degeneration. N Engl J Med. 2007;357:553–561.
13. Fagerness JA, Maller JB, Neale BM, Reynolds RC, Daly MJ, Seddon JM. Variation near complement factor I is associated with risk of advanced AMD. Eur J Hum Genet. 2009;17:100–104.
14. Hughes AE, Orr N, Esfandiary H, Diaz-Torres M, Goodship T, Chakravarthy U. A common CFH haplotype, with deletion of CFHR1 and CFHR3, is associated with lower risk of age-related macular degeneration. Nat Genet. 2006;38:1173–1177. Erratum in: Nat Genet. 2007;39:567.
15. Spencer KL, Hauser MA, Olson LM, et al. Deletion of CFHR3 and CFHR1 genes in age-related macular degeneration. Hum Mol Genet. 2008;17:971–977.
16. Yang Z, Stratton C, Francis PJ, et al. Toll-like receptor 3 and geographic atrophy in age-related macular degeneration. N Engl J Med. 2008;359:1456–1463.
17. Tuo J, Ning B, Bojanowski CM, et al. Synergic effect of polymorphisms in ERCC6 5' flanking region and complement factor H on age-related macular degeneration predisposition. Proc Natl Acad Sci. U S A. 2006;103:9256–9261.
18. Yang Z, Camp NJ, Sun H, et al. Science. A variant of the HTRA1 gene increases susceptibility to age-related macular degeneration. 2006;314:992–993.
19. Cameron DJ, Yang Z, Gibbs D, et al. HTRA1 variant confers similar risks to geographic atrophy and neovascular age-related macular degeneration. Cell Cycle. 2007;6:1122–1125.
20. Schmitz-Valckenberg S, Fleckenstein M, Scholl H P, Holz FG. Fundus autofluorescence and progression of age-related macular degeneration. Surv Ophthalmol. 2009;54:96–117.
21. Engelbert M, Gilmore MS. Fas ligand but not complement is critical for control of experimental Staphylococcus aureus Endophthalmitis. Invest Ophthalmol Vis Sci. 2005;46:2479–2486.
22. Sieving PA, Caruso RC, Tao W, et al. Ciliary neurotrophic factor (CNTF) for human retinal degeneration: phase I trial of CNTF delivered by encapsulated cell intraocular implants. Proc Natl Acad SciU S A. 2006;103:3896–3901.
| Michael Engelbert, MD, PhD, practices with Vitreous-Retina-Macula Consultants of New York. He reports no financial interest in any products mentioned here. Dr. Engelbert can be reached via e-mail at michael.engelbert@gmail.com. |







