RPS: The Cutting Edge of Retina
A final recap of research presented at our 2010 annual meeting.
Andrew E. Mathis, PhD, Medical Editor
Each year, the Retinal Physician Symposium presents many of the latest findings in clinical research and recommendations for surgery. At the 6th annual meeting, held in March 2010, leaders in the field of retina spoke about a diverse range of topics in medical and surgical care. As we look forward to the 2011 meeting (February 23-26 in Las Vegas), we conclude our coverage of the 2010 RPS with the following highlights.
FRANK KOCH ON COMBINATION THERAPY
The first presentation of the symposium was given by Frank H. Koch, MD, of the University of Frankfurt, who discussed combination therapy options in macular edema associated with AMD, DME and RVO.
Dr. Koch noted that research on photodynamic therapy combined with intravitreal triamcinolone acetonide for CNV subsequent to wet AMD, first published by Richard Spaide, MD, in 2003, concluded that the combination is better than PDT alone. Similarly, the combination of PDT and anti-VEGF therapy, published by Jeffrey Heier, MD, in 2006, also found the combination better than PDT alone.
In 2008 Daniel Kiss, MD, found that PDT plus anti-VEGF is associated with a favorable rate of CNV occlusion, reduced edema, improvement of visual function and retinal sensitivity. In 2009, Jason Slakter, MD, and Peter K. Kaiser, MD, published that PDT plus anti-VEGF therapy is superior, particularly in treatment-naïve patients. Concerning triple therapy options, Sophie Bakri, MD, published in 2009 that PDT with steroids and anti-VEGF may reduce anti-VEGF monotherapy injection frequency and stabilize vision.
Albert Augustin, MD, in 2007 found that steroids plus anti-VEGF, together with core pars plana vitrectomy, results in significant and sustained visual acuity improvement. Dr. Koch's group recently published data showing visual improvement from triple therapy comprised of bevacizumab and dexamethasone plus core PPV for treatment of occult membranes.
In the study, 12% of subjects required retreatment at three months and 48% did so at 24 months. Dr. Koch's group also has two-year data on quadruple therapy (PDT, core vitrectomy, bevacizumab and dexamethasone) in which 75% of patients did not require any retreatment, and among the 25% that did, retreatment was not deemed necessary until the nine-month point (Figure 1).
Figure 1. Changes in visual acuity in patients receiving quadruple therapy.
In DME, the literature is less abundant, Dr. Koch noted. Laser plus steroids and laser plus anti-VEGF regimens are part of ongoing DRCR studies. A study combining use of all three, published by Soheilian et al. in 2009, summarized that anti-VEGF is superior to laser but not enhanced by steroids, a result Dr. Koch said he found to be “a little surprising.” His group published a paper on the results of combined laser, anti-VEGF, steroids and core pars plana vitrectomy.
Dr. Koch noted that visual acuity improvements tend to plateau at two or four months and then regress a bit, despite continued improvement in retinal thickness (Figure 2). Therapy was repeated in 25% of patients during the first year but didn't effect any improvement in acuities. An encouraging finding: 55% of PDR cases did not require laser photocoagulation after one or two courses of combination therapy without laser. A full three-port pars plana vitrectomy was needed in 15% of proliferative cases due to bleeding following combination therapy; repeat of the limited vitrectomy in such circumstances would be his preference.
Figure 2. Despite continued improvements in retinal thickness, improvements in visual acuity in the DME trial plateaued at two to four months.
“It really gets exciting when combination therapy comes to retinal vein occlusion,” Dr. Koch began in his review of this topic. New data published in March 2010 by Rita Ehrlich, MD, on combined steroid/anti-VEGF therapy reported better structural outcome at six months; however, visual acuity was equal to that of anti-VEGF monotherapy.
In a study online by Acta Ophthalmologica in July 2010, Dr. Koch's group presented 13-month follow-up data on steroid plus anti-VEGF therapy and core PPV (Figure 3).
Figure 3. Combination therapy for RVO resulted in continuing increases in visual acuity and decreases in central retinal thickness.
“Is there a rationale for combination therapy that also involves core PPV?” Dr. Koch asked. Conceptually, there seem to be synergistic effects, he said, although the mechanisms are not clearly understood. Changes do occur in vitreous physiology, with roles played by oxygen consumption/redistribution and cytokine turnover.
Elucidating the role of vitrectomy as an adjunct to medical therapy for various macular edema states will be the focus of present and future research, he notes. Differing effects for complete vitrectomy vs core vitrectomy are now being studied, he said, but it's too early to summarize the data.
Dr. Koch concluded with three points to remember:
• The gel status of the vitreous has to be taken into consideration for any intravitreal drug therapy.
• A monoport core PPV has a very good safety profile.
• Treatment strategies should strive for equivalent or better outcomes by reducing the burden for the patient as well as cost.
RAJ APTE ON PHOTORECEPTOR DEATH
The presentation given by Rajendra S. Apte, MD, who is associate professor in the Department of Ophthalmology & Visual Sciences at Washington University in St. Louis, dealt with the question of why photoreceptors die when retinal detachment occurs and how this can be prevented. Furthermore, Dr. Apte stated, he wanted to help the assembly understand why photoreceptors died in any retinal condition where there was fluid under the retina or the retina's nutrition was cut off. Part of understanding this, he said, was to understand the role of inflammation in regulating cell death in the retina.
Dr. Apte began by reviewing the three types of RDs: rhegmatogenous, exudative and tractional. Referencing a review on the topic written by Donald J. D'Amico, MD, he stated that prognosis as far as visual acuity is concerned is based on whether the macula is detached, the duration of the detachment, and the amount of apoptosis. “Maybe we could control amount of cell death if we understand the mechanism,” Dr. Apte noted.
After reviewing the types of RD repair techniques, Dr. Apte went over the role of several cytokines in the mechanism of retinal detachment. This included experimental models, in which microglial cells have been shown to be important, such as MCP1 and interleukin IL-6, as well as better-known cytokines such as tumor necrosis factor-α. The role of these cytokines, Dr. Apte said, could also extend to conditions such as AMD.
Then, in addressing the issue of how macrophages modulate photoreceptor cell death, Dr. Apte pointed to a paper published in PNAS in 2007, which detailed how an absence of MCP1 protected against hotoreceptor death in a murine model where a “knockout” mouse had been genetically engineered not to produce this cytokine. MCP1 seems to play a role in inducing cell death, since monocyte infiltration was less in the knockout mouse than in a non–genetically modified mouse.
Next, Dr. Apte reviewed a 2006 paper from Investigative Ophthalmology and Visual Science, which examined by microarray the expression of all genes in the eye following RD to determine which were up-or downregulated. The authors of this paper found that all the genes that were altered fell along three pathways: IL-6, tumor growth factor (TGF)-β and aryl 1 hydroxycarbon receptors.
Dr. Apte discussed the immune system next, which he illustrated with a slide (Figure 4) that he described as “the simplest cartoon of the human immune system I could find.” He distinguished the innate (or more primitive) immune system, in which macrophages play a key role, vs the adaptive (more sophisticated) immune system, which relies on lymphocytes and B-and T-cells. The presence of macrophages within the innate system, Dr. Apte noted, makes scientists now think that this part of the system is not as primitive or basic as once thought.
Figure 4. A simplified schema of the human immune system.
Continuing the discussion of macrophages, Dr. Apte then presented the difference between young and old macro phages. Younger macrophages are antiangiogenic, tumoricidal, pro-inflammatory, and antimicrobial. By contrast, because of up- or downregulation of several different cytokines, including TNF-α, IL-6 and IL10, older macrophages have the opposite qualities. The result is that, for instance, CNV in AMD is more common with older macro-phages because of proangiogenic factors.
Then Dr. Apte transitioned back to discussing RD. He presented a mouse model of RD (Figure 5), in which a partial RDs had been created with viscoelastic. The mouse retina tended to reattach by day 3, with complete reattachment by day 7. By presenting laser-capture microdissections of the mouse retina, Dr. Apte was able to demonstrate how macrophages and microglial cells appeared in greater quantities in the detached retina. When cell death occurred, it was the macrophages and not the microglial cells that played the key role (Figure 6).
Figure 5. A mouse model of retinal detachment.
Figure 6. The role of macrophages in RPE cell death is just beginning to be understood.
The final portion of Dr. Apte's presentation was dedicated to a brief discussion of the next steps in this field of research. Priorities include identification of new molecules and determining whether they affect the number of photoreceptors that die, as well as identifying photoreceptor apoptosis in detached retinas prior to surgical repair. “The goal here,” Dr. Apte said in closing, “is to identify things that will help us to retain photoreceptors while drying the retina in AMD or repairing the eye in RD.”
HARRY FLYNN ON ENDOPHTHALMITIS
Harry W. Flynn, Jr., MD, professor and J. Donald M. Gass Distinguished Chair in Ophthalmology at Bascom Palmer Eye Institute, gave an update on infection control titled, “Endophthalmitis Prophylaxis: Fact or Fiction.”
Dr. Flynn reviewed the risk factors and prophylaxis methods for endophthalmitis. General risk factors include wound leaks, relative immune compromise, and use of xylocaine gel before application of povidone-iodine (PI).
Dr. Flynn then addressed the first question: “In patients with a self-reported history of allergy to iodine, should preparation with povidone-iodine be withheld?” He noted that iodine is a free element and does not have the molecular complexity to initiate allergy. It is “fiction” that surgeons should not use PI in these patients. Seafood allergy is often linked to iodine allergy, he explained, but because seafood allergies are largely caused by specific immunoglobulin E proteins, it is generally safe to use PI with such patients. Allergy testing to PI can be performed with a forearm swab (Figure 7), although consultation with an allergist or dermatologist to perform specific testing is ideal. The key point here, however, was that because systemic exposure of PI is extremely small in ophthalmology, there is little risk in using PI in iodine-allergic patients.
Figure 7. Testing for allergy to povidone-iodine is often done with an arm swab.
The second issue Dr. Flynn took up was whether cephalosporins are contraindicated in patients who report allergy to penicillin (PCN). He noted that the rate of patients reporting PCN allergy is between 10% and 15%, but that this rate may be overstated. Furthermore, citing an article from the February 2006 issue of the Journal of Family Practice that concluded that certain cephalosporins can be prescribed safely for PCN-allergic patients, these include most second-and all third-and fourth-generation cephalosporins. The risk, Dr. Flynn said, quoting from the article, is “so low that use is justified.”
Here Dr. Flynn mentioned the risk of macular infarction after use of intravitreal amikacin, which, he noted, was not an issue when using cephalosporins. Ceftazidime, he said, would be an acceptable alternative choice to amikacin.
The third “Fact or Fiction” point Dr. Flynn addressed was whether intracameral antibiotics should be standard of care in cataract surgery. He turned then to data from the European Society for Cataract and Refractive Surgery Study on this topic. The ESCRS study found an endophthalmitis rate of 0.07% in patients treated with intracameral cefuroxime vs a 0.33% rate in control patients. How ever, Dr. Flynn stated that the ESCRS study had several flaws because of problems both with the cefuroxime formula used and its inefficacy against Staphylococcus species.
Dr. Flynn reviewed the risks of intracameral antibiotics, including CME and retinal toxicity. He discussed a study showing that vancomycin use has been linked to angiographic CME and showed that usage rates of intracameral antibiotics in the United States remain very low. While cefuroxime has been deemed safe, there is some question as to its efficacy. There are no data yet comparing cefuroxime vs moxifloxacin vs no antibiotics in a large prospective study.
The fourth issue Dr. Flynn addressed was whether fourth-generation fluoroquinolones “prevent” postoperative endophthalmitis. The problem with this statement is that antibiotic resistance has grown, with <50% of coagulase-negative Staphylococcus isolates being susceptible to fourth-generation fluoroquinolones. He showed slides from case studies of patients who still developed endophthalmitis, including one case of methicillin-resistant S. aureus (Figure 8).
Figure 8. Endophthalmitis caused by MRSA.
The final issue Dr. Flynn dealt with was whether the rate of endophthalmitis was increasing due to use of clear-corneal incisions for phacoemulsification. Dr. Flynn again presented data from Bascom Palmer Eye Institute, which showed that the endophthalmitis rates there were very low in the last five years (about one in 3,000 cases). Thanks to povidone-iodine application directly to the conjunctiva, the rates continue to be low. These rates of endophthalmitis have also fallen after pars plana vitrectomy.
TIM MURRAY ON DISLOCATED IOLs
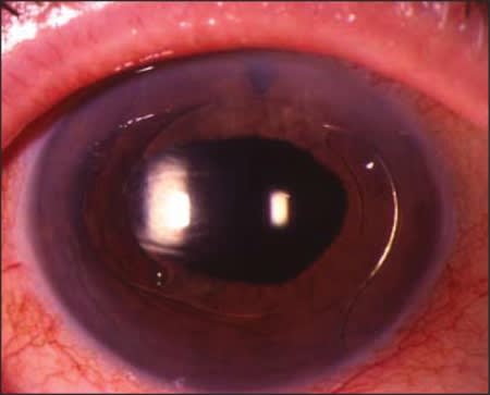
Timothy G. Murray, MD, MBA, who is professor of ophthalmology at the University of Miami's Bascom Palmer Eye Institute, lectured on dislocated intraocular lenses, stressing principles of patient evaluation, clinical decision-making and treatment strategies. He began with a case study of a 71-year-old female patient who had undergone phacoemulsification in 2003 and was now presenting with a visual acuity of 5/200 OD (correctable to 20/100) and an elevated intraocular pressure. Slit-lamp ophthalmoscopy (Figure 9) and fundus photography (Figure 10) revealed a dislocated IOL, complications of which included dislocated nuclear fragments.
Figure 9. Slit-lamp Opthalmoscopy of a dislocated IOL.
Figure 10. Fundus photograph of a dislocated IOL.
Dr. Murray stressed that cataract surgeries are performed at a rate of over one million per year in the United States, and in more than 90% of cases, visual acuity ≥20/40 is achieved. However, there persists a risk of retained lens fragments, as well as complications such as vitreous loss, globe perforation during local anesthesia, and dislocation of IOLs. At Bascom Palmer, Dr. Murray noted, the number of cases of dislocation of posterior-chamber IOLs nearly doubled in the 1990s vs the rate in the 1980s. Currently, Bascom Palmer sees between 25 and 40 cases per year. These cases present usually within seven days after surgery and are marked by an acute decrease in VA and minimal inflammation.
Management of IOL dislocation, Dr. Murray continued, consists of an algorithm that includes observation, repositioning of the lens (with or without suture stabilization) or removal/exchange. In cases of minimal decentration and in which the IOL is not mobile, observation should be undertaken, provided there are no other ocular complications and there is good VA. Pilocarpine may be used to bring the pupil down below the margin of the IOL. Removal or exchange should be done if there is IOL damage (Figure 11).
Figure 11. Removal or exchange of an IOL should be done if there has been damage.
Repositioning is the most involved approach to dislocated IOLs, and there are four approaches, Dr. Murray said, to doing this, although some of the methods — notably anterior-chamber positioning — are now preferred over others. He then provided step-by-step directions for sutureless repositioning of dislocated IOLs.
Dr. Murray next noted that silicone IOLs pose particular problems when dislocated because of their flexible quality and floppy haptics. Echoing the opinion expressed by Smiddy et al. in a 1997 paper in the American Journal of Ophthalmology, Dr. Murray stated that some silicone-plate IOLs might still be suitable for repositioning. Here he reviewed techniques for iris and scleral fixation, although he repeated his preference for exchange using ACIOLs. However, he noted, many referring anterior-segment surgeons are unhappy with ACIOLs and a trend toward iris fixation of PCIOLs is being seen.
At this point, Dr. Murray reviewed data on 60 cases of dislocated PCIOL correction done at Bascom Palmer in 1989 and 1990. He reported that three of those cases had the IOLs removed, while exchange was done in 19 eyes (14 to PCIOL and five to ACIOL) and repositioning was done in the rest. Seventy percent of the eyes had final VA of ≥20/40, while 28% had VA between 20/50 and 20/200. Only 2% finished with VA worse than 20/200.
Dr. Murray then compared these data to those from six studies conducted over the 1990s, in particular focusing on retinal detachments in eyes with dislocated PCIOLs. While the two earliest studies — by Harry Flynn and Bill Smiddy in 1990 and 1991, respectively — measured post-treatment RD rates of 5% to 6%, rates in the latter studies were all 0%. Dr. Murray ended then by noting the much higher rate of retinal detachment in phaco cases with retained lens fragments rather than those cases presenting with dislocated IOLs (20% in five reported series vs 2%). Conducting pars plana vitrectomy as part of the management strategy allows for concurrent management of these complications.
LOOKING AHEAD
The 7th annual Retinal Physician Symposium will be held this February 23 to 26 in Las Vegas. Information on this year's panel of presenters and topics can be found in article “New Hope for Dry AMD Patients” of this issue. RP







