Gene-specific Phenotypes and Mechanism-based Treatments in Early-onset Retinal Dystrophies
Leber's congenital amaurosis is a devastating disorder, but therapies are becoming available
Suzanne Yzer, MD, PhD • Kyle Wolpert, BA • Arundhati Dev Borman, MRCOphth • Stephen H. Tsang, MD, PhD
Leber's congenital amaurosis (LCA), also known as early-onset retinal dystrophy, was first described in 1869 by Theodor Leber, who had several patients who were blind from birth but born to normal-sighted parents.1 LCA is a congenital generalized retinal dystrophy with an incidence of two to three per 100,000 live births. It is postulated that this disease affects approximately 20% of the children attending schools for the blind around the world.2 LCA is characterized by poor fixation in the first months of life, with a sensory nystagmus and amaurotic or sluggish pupils. The anterior segment is usually normal early in life, but keratoconus may develop, possibly induced by eye-poking (the oculodigital sign of Franceschetti). Visual acuity typically ranges from 20/200 to no light perception (LP), although a few cases with VA up to 20/40 have been reported.3
The aspect of the posterior segment is highly variable, ranging from completely normal to mild pigmentary mottling, mild vascular attenuation, maculopathy, white dots in the periphery, or even (as originally described by Leber) a full-blown retinitis pigmentosa (RP)-like fundus. The most important diagnostic indication for LCA is a severely reduced or undetectable full-field electroretinogram (ERG) in the first year of life.
Alongside the obvious clinical heterogeneity, LCA is also genetically heterogeneous. The mode of inheritance is generally considered to be autosomal recessive, although rare dominant forms of LCA have been reported. To date, mutations in 18 different genes have been found to cause LCA (see http://www.sph.uth.tmc.edu/Retnet/sum-dis.htm#B-diseases). The distribution of the genes underlying LCA is heavily dependent upon the population examined. The spread of genes involved in Western countries is shown in Figure 1.
Figure 1. Estimated LCA gene distribution in the Western world. ADAPTED FROM DEN HOLLANDER AI, ROEPMAN R, KOENEKOOP RK, CREMERS FP. LEBER CONGENITAL AMAUROSIS: GENES, PROTEINS AND DISEASE MECHANISMS. PROG RETIN EYE RES. 2008 JUL;27(4):391-419, WITH PERMISSION OF ELSEVIER.
Although LCA presents a wide variety of clinical features, phenotype-genotype correlations have indicated that some clinical features may be specific to individual genetic abnormalities, providing a quick means of determining which gene may be responsible. This is not a substitute for genetic testing, but it may play an important role in narrowing the number of genes that may need to be tested, thereby significantly reducing the cost involved and expediting the genotyping effort.
Recently, new genes have been described, new genotype and phenotype information has become available and tremendous progress has been made in gene-specific treatment possibilities for this debilitating disease. The aim of this article is to present a brief overview of the characteristic phenotypic differences between the most frequently encountered genes in LCA with illustrative patient examples. The function of the genes involved will briefly be addressed. Some of them function in the phototransduction cascade or in photoreceptor structural proteins, and other genes function in the visual cycle. Because three of the discussed genes are involved in this cycle, a quick summary is provided below. Furthermore, the current state of clinical trials for LCA treatment will be discussed.
Figure 2 A schematic of the visual cycle. CRALB: cellularretinaldehyde-binding protein; CRBP: cellular retinol-binding protein; 11CRDH: 11-cis-retinol dehydrogenase; LRAT: lecithin retinol acyltransferase; RDH12: retinol dehydrogenase 12; RPE65: retinal pigment epithelium–specific protein.
THE VISUAL CYCLE
The visual cycle, also known as the retinoid cycle, is a pathway in which the photoactivation of rhodopsin and cone pigments causes isomerization of 11-cis-retinal to all-trans-retinal. This is a cyclical process, because all-trans-retinal is then recycled to 11-cis-retinal. Three genes (RPE65, RDH12, and LRAT), encoding proteins that play important roles in the visual cycle, can cause LCA when mutated. LRAT (lecithin retinol acyltransferase) and RPE65 (retinal pigment epithelium–specific protein) are two key components of the visual cycle.
Mutations in RPE65 and LRAT prevent all-trans-retinal from being recycled into 11-cis-retinal, thereby depleting the level of 11-cis-retinal and disrupting the visual cycle. In the absence of 11-cis-retinal, opsin remains unbound, and as a consequence, it binds to phosphodiesterase (PDE).11 It is predicted that activation of PDE results in hypocalcemia, and this process initiates photoreceptor cell death. RDH12 (retinol dehydrogenase 12) is an enzyme localized to photoreceptor inner segments that catalyzes the reduction of all-trans-retinaldehyde to all-trans-retinol (see Figure 2).
CASES
Patient 1 (CEP290)
The product of a nonconsanguineous marriage, Patient 1 was born after a normal pregnancy and normal delivery. The parents noted roving eye movements, and the child appeared to be nonresponsive to light stimuli. He was otherwise healthy. On funduscopy, a normal optic disc with mild attenuation of the vessels was observed. A tapetoretinal reflex was visible without any other abnormalities. ERG testing showed undetectable cone and rod responses. There were no systemic abnormalities, and he had normal intelligence. His left fundus at 28 years old is shown in Figure 3.
Figure 3. At age 28 years, the retina of the left eye of patient 1 (CEP290 mutations) shows a relatively normal optic disc, narrow arterioles and a normal macula. The periphery shows hypopigmentation with intra-retinal bone spicules.
Patient 1 has LCA due to mutations in CEP290, which encodes a centrosomal protein. The CEP290 gene functions in cilia, and therefore its expression is not confined solely to the eye. Because of the ubiquitous expression of this gene, mutations are correlated with a phenotypic spectrum, ranging from nonsyndromic LCA to more complex diseases, such as Joubert syndrome (JS; MIM# 213300), Senior-Loken syndrome (SLS; MIM# 266900), Meckel-Grüber syndrome (MKS; MIM# 249000) and Bardet-Biedl syndrome (BBS; MIM# 209900).
The CEP290-related ocular phenotype is characterized by poor VA, typically in the range of LP (though with some LP-negative patients), high hyperopia and limited fundus abnormalities present in early childhood. Throughout life, the macula remains relatively spared, with an epiretinal membrane present in most patients. Later in life, mild attenuation of the vessels may be observed, with a marbleized and/or salt-and-pepper fundus, which ultimately develops into a progressive outer retinal atrophic aspect in the midperiphery. Autofluorescence imaging may show a hyperautofluorescent ring around the central macula.4
Recent spectral-domain optical coherence tomography studies have shown a relatively normal outer nuclear layer in the central macula, although this layer becomes less obvious with age. The inner retinal structures are often disorganized, and cyst-like lesions are often present.5 As for treatment options, recent studies in zebra-fish have shown that visual function can be restored, even when just part of the CEP290 protein is rescued.6 Other animal models, including mice and cats, are available for future studies.
Patient 2 (CRB1)
Patient 2 was first seen at the age of six months, after the parents had noted roving eye movements and poor responses to visual stimuli. The funduscopic descriptions in childhood were of normal optic discs, mild attenuation of the vessels and a maculopathy in the presence of a relatively normal periphery. The ERG showed no detectable response. Images of the left eye at 18 years of age are shown in Figure 4.
Figure 4. (A) At the age of 18 years the left fundus of a patient with CRB1 mutations shows a maculopathy and some attenuation of the arterioles. The type of pigmentation is nummular rather than bone-spicule-like. (B) The OCT of the macular area shows a normal foveal depression with an increased retinal thickness surrounding the fovea. Punctate photoreceptor remnants, absence of the outer limiting membrane, and thickened lamination of the inner retina are apparent.
Patient 2 has LCA caused by mutations in the gene encoding CRB1 (Crumbs). CRB1 is localized in Müller glial cells adjacent to the adherens junctions, between Müller glial cells and photoreceptors. Loss of CRB1 function leads to loss of these adhesions and ultimately loss of photoreceptors.7 The CRB1 phenotype shows some characteristic features, but in most cases, only a few of these features are present. Most patients have a short axial length and consequent hyperopia. VA ranges from LP to 20/100.
On initial exam, fundus abnormalities are typically already present, showing attenuated vessels, maculopathy and retinal pigment epithelium abnormalities. Later in life, some, but not necessarily all, of the following features may be present: optic disc pallor with perivascular fibrotic sheathing, attenuated vessels with para-arteriolar sparing of the retinal pigment epithelium (PPRPE), severe maculopathy, and nummular, rather than bone-spicule, pigmentation at the level of the RPE in the periphery. A Coats-like vasculopathy may develop in the periphery. SD-OCTs in patients with CRB1 mutations show increased retinal thicknesses with loss of the outer limiting membrane, which develops during life.8
Such patients also typically show thickened lamination of the inner retina. Therapeutic options are being explored but are still in early phases. An autofluorescence image of a different patient with proven CRB1 mutations and the presence of PPRPE is shown in Figure 5.
Figure 5. Autofluorescence image of the left eye of a patient with mutations in CRB1. Note the para-arteriolar sparing of the RPE with normal autofluorescence along the arterioles.
Patient 3 (GUCY2D)
Patient 3 has high hyperopia (+8.00 OU), nystagmus, VA of only LP and a normal-appearing fundus. She was diagnosed at the age of six months because of poor responses to visual stimuli, photophobia and undetectable responses on ERG testing. Fundus photos at 25 years of age are shown in Figure 6, and autofluorescence images are shown in Figure 7.
Figure 6. Fundus photographs of a 25-year-old patient with mutations in GUCY2D show normal optic discs, mild attenuation of the arterioles and normal maculas. There is some minor RPE mottling in the far periphery.
Figure 7. Autofluorescence images of the same patient as in Figure 6 demonstrate normal autofluorescence, as is typically seen in patients with GUCY2D mutations.
Patient 3 has LCA due to mutations in the GUCY2D (guanylate cyclase) gene. GUCY2D is one of the key enzymes within the phototransduction cascade. Mutations in this gene prohibit reopening of cyclic guanosine mono-phosphate (cGMP)–gated cation channels after photoexcitation, thereby maintaining a state resembling continuous light exposure. Patients with mutations in this gene typically have VA in the LP range, with a few reports of VA up to 20/40.9 In most cases, the fundus remains normal throughout life, although granular pigmentary changes may sometimes develop in the periphery.
Recent studies have shown that macular SD-OCTs in most patients with LCA due to mutations in GUCY2D are relatively normal.9 Adeno-associated vector-based gene replacement therapy studies in knockout mouse models show promise as a future therapeutic intervention.10 Because the VA is typically in the range of LP from birth and appears static, there is a limited time frame during which gene therapy may be administered in these patients in order to retain some visual function.
Patient 4 (RPE65)
Patient 4 was diagnosed with LCA because of a wandering nystagmus and lack of response to visual stimuli, although this diagnosis was doubted later in life as both nystagmus and VA improved over time. The primary complaint during childhood was the presence of night blindness, and the patient adored bright light (in contrast to Patient 3). Refraction was emmetropic in both eyes.
Funduscopy was normal upon initial presentation. His fundus appearance at nine years old is presented in Figure 8.
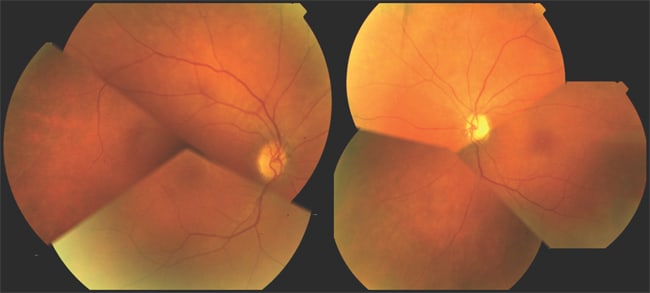
Figure 8. At age 10 years, funduscopic exam of the left eye of a patient with RPE65 mutations revealed optic disc pallor, narrowing of the arterioles, white dot like changes outside the arcades, salt-and-pepper aspect, and a relatively spared macula. Note the absence of bone-spicule-like pigmentation in the periphery.
Genetic testing in Patient 4 confirmed mutations in RPE65. Patients with RPE65 mutations typically have poor vision in the first year of life, but this poor vision may be followed by (unexplained) improvement of visual function, enabling many of these patients to attend regular schools. The VA inevitably declines in the second or third decade. Life-long night blindness is a common feature in these patients, and they prefer being in well-lit environments.
The fundus appears normal at birth, but progressive abnormalities can develop. These abnormalities include RPE atrophy, arteriolar narrowing, pigmentary retinal changes, maculopathy and retinal and foveal thinning. Peripapillary hypopigmentation develops surrounding and inferior to the optic nerve.12 Relative preservation of the retinal layers can be seen on OCT, but the retina seems to grow thinner with age, ultimately resulting in loss of the photoreceptor layer.
Fundus autofluorescence, which provides a measure of lipofuscin deposition, is typically absent in patients with RPE65 mutations because lipofuscin is a byproduct of outer segment turnover at the RPE, and such turnover does not occur in the absence of a normal RPE65 genotype. Therapeutic options currently in clinical trials include gene therapy and oral intake of QLT091001 (QLT, Inc.), a synthetic replacement of 11-cis-retinol. Both these options are discussed below.
Patient 5 (RDH12)
Patient 5 was first seen at the age of six months because the parents suspected a visual deficit due to a lack of eye contact and the presence of nystagmus. On funduscopy, no abnormalities were noted, and ERG showed reduced cone and absent rod responses. The fundus pictures at age seven are shown in Figure 9.
Figure 9. This fundus image of a patient with mutations in RDH12 taken at nine years of age shows optic disc pallor and attenuation of the vessels. There is a maculopathy and bone-spicule like pigmentation outside of the arcades. Note the peripapillary sparing of the RPE.
Patient 5 has disease due to mutations in RDH12. Patients can have VA as poor as 20/500 and are emmetropic or mildly hyperopic. Visual fields are measurable and are relatively spared in the early years. The retinal abnormalities are visible early in life and are progressive, leading to an early RP-like fundus. All patients show macular atrophy but with peripapillary sparing of the RPE. Taken all together, the phenotype is particularly close to early onset retinitis pigmentosa.
Optical coherence tomography in patients with mutations in RDH12 has shown abnormal thinning of the fovea. As for therapeutic options, recent protein studies have shown evidence for proteasome inhibitors and chemical chaperones to rescue the activity of one RDH12 mutation.13
Patient 6 (LRAT)
Mutations in the LRAT gene are infrequently encountered, and the associated phenotype is therefore not as well established as it is in the more frequently encountered genes, but it has many similarities with the RPE65-associated phenotype. Moreover, patients with mutations in this gene may, like patients with mutations in RPE65, benefit from treatment with oral substitution of synthetic 11-cis-retinol (see Table 1).
ADAPTED FROM ALKURAYA H, ZHANG K. PATTERN DYSTROPHY OF THE RETINAL PIGMENT EPITHELIUM. PREVIOUSLY PUBLISHED IN RETINAL PHYSICIAN, WITH PERMISSION.
TREATMENT OPTIONS
Recent advances in the knowledge of the genes involved in LCA and the pathophysiology associated with mutations in those genes has opened a new era of mechanism-based molecular therapeutics in ophthalmology. Two types of gene-specific treatments are currently being investigated in humans.
Gene addition therapy is a logical approach for achieving long-term therapeutic effects on autosomal recessive retinal degenerations. In principle, the genetic defect can be corrected through introduction of the correct gene into the cells that require normal function of the gene.
Preclinical studies with recombinant adeno-associated virus (rAAV)-RPE65 gene vectors demonstrated a proof of concept in animal models,13 and these studies have now progressed to clinical trials in humans. Currently, these studies are being conducted in four centers around the world (the Institute of Ophthalmology in London, and the University of Florida, University of Massachusetts and Children's Hospital of Philadelphia in the United States).15-17 Enrolled RPE65 patients undergo vitrectomy, during which the (rAAV)-RPE65 vector is administered via subretinal injection. The created bleb containing the vector is resorbed within the first 24 hours after surgery independent of the area of injection. No severe adverse events have been reported.
Although patients were still legally blind, their ability to sense light improved tremendously; two can now read several lines of an eye chart. As gene therapy is primarily expected to arrest the progression of retinal dystrophies, rather than restore lost function, it is important that the therapy be administered as soon as the disease is diagnosed.
In addition to gene addition therapy, one other mechanism-based molecular therapy for LCA is currently in clinical trials. However, although it does not involve gene therapy, this treatment is still gene-specific, because the drug specifically targets pathways involving RPE65 and LRAT.
The QLT091001 drug is a synthetic retinoid that binds to opsin as a replacement for 11-cis-retinal and quenches constitutive signaling of unbound opsin. QLT091001 can decrease unbound opsin-activated photoreceptor cell death. Patients participating in the QLT091101 trial, led by Robert Koenekoop, MD, PhD, of Montreal Children's Hospital, receive seven days of oral treatment with the compound. The results so far are promising; not only does the drug appear to be safe, but clinically relevant improvements in visual acuity and Goldmann visual fields have been observed. The onset of visual improvement is rapid, and progressive improvement continues beyond the dosing period.
Furthermore, in some cases, these improvements have persisted for up to 11 months (longer follow-up data are not yet available). In case of disruption of the RDH12 protein, the presence of 11-cis-retinal is not altered, and therefore patients with mutations in this gene will not benefit from treatment with this drug.
CONCLUSION
In summary, a worldwide effort is under way to identify genes in early onset retinal dystrophies and to develop mechanism-based therapies. Ultimately, such efforts will lead to more treatment options for patients suffering from early onset retinal dystrophies and may lead to treatment possibilities for other forms of degenerations in the central nervous system.
Acknowledgements
We greatly appreciate Rando Allikmets, Gaetano Barile, Alan C. Bird, Stanley Chang, Lucian V. Del Priore, Vivienne Greenstein, Peter Gouras, John Heckenlively, Graham E. Holder, Anthony T. Moore, Anthony G. Robson, David Sarraf, William Schiff, Kulwant Shemi, Andrew R. Webster, and members of their clinics for sharing ideas and resources. We are especially grateful to members of the Division of Medical Imaging at the Edward S. Harkness Eye Institute of Columbia University for their support.
This research was supported by: Stichting Wetenschappelijk Onderzoek Oogziekenhuis Rotterdam, Rotterdamse Blindenbelangen, Stichting Blindenhulp, Gelderse Blinden Stichting, Landelijke Stichting voor Blinden (SY), R01 EY018213 (SHT); P30EY019007 (Core Support for Vision Research); unrestricted funds from Research to Prevent Blindness, New York, Foundation Fighting Blindness (Owings Mills, MD); Schneeweiss Stargardt Fund; and the Starr Foundation. Dr. Tsang is a fellow of the Burroughs-Wellcome Program in Biomedical Sciences and has been supported by the Bernard Becker-Association of University Professors in Ophthalmology–Research to Prevent Blindness Award, Foundation Fighting Blindness, Dennis W. Jahnigen Award of the American Geriatrics Society, Crowley Family Fund, Joel Hoffman Fund, Gale and Richard Siegel Stem Cell Fund, Charles Culpeper Scholarship, Schneeweiss Stem Cell Fund, Irma T. Hirschl Charitable Trust, and Bernard and Anne Spitzer Stem Cell Fund, Barbara & Donald Jonas Family Fund, and Professor Gertrude Rothschild Stem Cell Foundation. RP
REFERENCES
1. Leber T. Über retinitis pigmentosa und angeborene amaurose. Graefes Arch Klin Ophthamol. 1869;15:1-25.
2. Koenekoop RK. An overview of Leber congenital amaurosis: a model to understand human retinal development. Surv Ophthalmol. 2004;49:379-398.
3. Yzer S, van den Born LI, Schuil J, et al. A p.Y368H RPE65 founder mutation is associated with variable expression and progression of early-onset retinal dystrophy in 10 families of a genetically isolated population. J Med Genet. 2003;40:709-713.
4. Coppieters F, Casteels I, Meire F, et al. Genetic screening of LCA in Belgium: predominance of CEP290 and identification of potential modifier alleles in AHI1 of CEP290-related phenotypes. Hum Mutat. 2010;31:1709-1766.
5. Pasadhika S, Fishman GA, Stone EM, et al. Differential macular morphology in patients with RPE64-, CEP290-, GUCY2D-, and AIPL1-related Leber congenital amaurosis. Invest Ophthalmol Vis Sci. 2010;51:2608-2614.
6. Baye LM, Patrinostro X, Swaminathan S, et al. The N-terminal region of centrosomal protein 290 (CEP290) restores vision in a zebrafish model of human blindness. Hum Mol Genet. 2011;20:1467-1477.
7. van Rossum AG, Aartsen WM, Meuleman J, et al. Pals1/Mpp5 is required for correct localization of Crb1 at the subapical region in polarized Muller glia cells. Hum Mol Genet. 2006;15:2659-2672.
8. Henderson RH, Mackay DS, Li Z, et al. Phenotypic variability in patients with retinal dystrophies due to mutations in CRB1. Br J Ophthalmol. 2011;95:811-817.
9. Pasadhika S, Fishman GA, Stone EM, et al. Differential macular morphology in patients with RPE65-, CEP290-, GUCY2D-, and AIPL1-related Leber congenital amaurosis. Invest Ophthalmol Vis Sci. 2010;51:2608-2614.
10. Boye SE, Boye SL, Pang J, et al. Functional and behavioral restoration of vision by gene therapy in the guanylate cyclase-1 (GC1) knockout mouse. PLoS One. 2010;5:e11306.
11. Moiseyev G, Chen Y, Takahashi Y, et al. RPE65 is the isomerohydrolase in the retinoid visual cycle. Proc Natl Acad Sci U S A. 2005;102:12412-12418.
12. Paunescu K, Wabbels B, Preising MN, Lorenz B. Longitudinal and cross-sectional study of patients with early-onset severe retinal dystrophy associated with RPE65 mutations. Graefes Arch Clin Exp Ophthalmol. 2005;243:417-426.
13. Lee SA, Belyaeva OV, Kedishvili NY. Evidence that proteosome inhibitors and chemical chaperones can rescue the activity of retinol dehydrogenase 12 mutant T49M. Chem Biol Interact. 2011;191:55-59.
14. Acland GM, Aguirre GD, Ray J, et al. Gene therapy restores vision in a canine model of childhood blindness. Net Genet. 2005;28;92-95.
15. Bainbridge JW, Smith AJ, Barker SS, et al. Effect of gene therapy on visual function in Leber's congenital amaurosis. N Engl J Med. 2008;358:2231-2239.
16. Maguire AM, Simonelli F, Pierce EA, et al. Safety and efficacy of gene transfer for Leber's congenital amaurosis. N Engl J Med. 2008;358:2240-2248.
17. Hauswirth WW, Aleman TS, Kaushal S, et al. Treatment of Leber congenital amaurosis due to RPE65 mutations by ocular subretinal injection of adeno-associated virus gene vector: short-term results of a phase I trial. Hum Gene Ther. 2008;19:979-990.
| Suzanne Yzer, MD, PhD, is on the faculty of the Rotterdam Eye Hospital in the Netherlands and the Harkness Eye Institute of the Columbia University Medical Center. Kyle Wolpert, BA, is a visiting scholar at Harkness. Arundhati Dev Borman, MRCOphth, is on the faculty of the Department of Genetics at the Institute of Ophthalmology in London. Stephen H. Tsang, MD, PhD, is an ophthalmic geneticist and ERG attending at Harkness. None of the authors reports any financial interest in any products mentioned in this article. Dr. Tsang can be reached via e-mail at gene.targeting@gmail.com. |







