Subthreshold Micropulse Diode Laser for DME
So-called mild laser has been effective in several clinical trials
Neelakshi Bhagat, MD • Marco A. Zarbin, MD, PhD
The standard treatment of clinically significant diabetic macular edema has been focal or grid laser photocoagulation since the first report of the Early Treatment of Diabetic Retinopathy Study (ETDRS) research group was published in 1985.1 Although focal laser photocoagulation treatment decreases the risk of moderate visual loss by 50% at three years, vision-threatening side effects have been reported as a result of thermal damage caused by this procedure, and these adverse effects include permanent photoreceptor loss, enlargement of laser scars, growth of choroidal new vessels and subretinal fibrosis, all of which can cause permanent scotomatas.2 Subthreshold “mild” laser (barely visible to invisible spots) has been shown to be effective in treating macular edema with fewer side effects.3
HOW SUBTHRESHOLD LASER IS DIFFERENT
Recently, the trend has been to deliver laser with the lowest effective irradiance.4 Laser delivered in micropulses causes less thermal damage than when laser is used as a continuous wave. Shorter laser pulses confine the thermal conduction wave to a shorter distance, limiting most of the thermal damage to the target site. A pulse duration of 100 microseconds (0.1 msec) corresponds to a thermal diffusion distance of approximately 4 µm in ocular tissue. Thus, when the pulse duration is ≤0.1 msec, the heat damage can be confined to the retinal pigment epithelium.5 Such short laser pulses will affect the RPE alone, with insignificant effects on the photoreceptors and choriocapillaris.6
Several studies have shown subthreshold micropulse diode (MPD) laser photocoagulation to be efficacious in treating diabetic macular edema, with fewer side effects than conventional laser treatment.7-18 The thermal damage is limited to the RPE, with reduced collateral damage to the adjacent photoreceptor and choriocapillaris layers.4,6
The main issue with using subthreshold micropulse diode laser has been the technical challenge associated with applying this treatment. The difficulty in titrating the non-visible treatment spots, when the endpoint cannot be detected by any source, has made some clinicians uncomfortable with the procedure. Treatment with micropulse laser is mild; the RPE is not damaged enough to result in pigmentary changes (either atrophy or hypertrophy) with time. Hence, the risks of scotoma or other detrimental side effects are low; color vision and contrast sensitivity are preserved.18 Laser scars do not develop; they are not detected clinically or on fluorescein angiography, time-domain OCT, fundus photography or microperimetry.
Histopathologically, however, the effect of invisible short-pulsed laser is clear. In rabbits, invisible argon short-pulse laser has shown RPE ablation or structural damage changes within two hours of treatment.19 Edema and thickening of the RPE is noted at three days but disappears with time. The treated RPE cells, although partially damaged, are clearly viable, as evidenced by the presence of phagocytized outer segments within them.
Recently, micropulse laser has gained popularity. Slit-lamp ophthalmoscopy with retro mode has been able to detect changes caused by some subthreshold invisible laser spots.20 Indocyanine green angiography also may localize sub-threshold diode laser spots immediately after treatment.23
STUDIES USING MICROPULSE LASER MODALITY
Friberg and colleagues were the first to report, in 1997, the use of micropulse diode laser to treat DME.7 Since then, many reports have been published.7-18 Stanga et al., in 1999, reported that DME decreased in 56% of eyes treated with micropulse diode laser.18 Friberg and Karatza showed that micropulse laser treatment for DME led to resolution of edema in approximately 75% of patients at six-month follow-up.7 Visual acuity improved or stabilized in 91% and 73% of newly treated and retreated patients at six months, respectively.
Figure 1. Pretreatment (left) and post-treatment at six months (right) fundus photographs.
Moorman and Hamilton8 performed a pilot study to evaluate micropulse laser photocoagulation with diode laser for macular edema secondary to branch retinal vein occlusion and diabetes. Fifty-seven percent of eyes showed a resolution of macular edema at six-month follow-up.
Laursen et al.12 reported the results of a randomized, prospective study in 23 eyes, comparing micropulsed diode laser to 541-nm conventional continuous-wave laser, and noted that VA and macular edema improved in both groups. In 2005, Luttrull et al.5 reported the results of a retrospective study in 95 eyes that underwent subthreshold MPD laser photocoagulation. VA was maintained or improved in 85% of eyes; clinically significant macular edema (CSME) resolved in 79% of eyes.
In 2007, Sivaprasada et al.13 reported a case series of 25 eyes that underwent micropulse laser for DME with a follow-up of three years and found that 84% had visual improvement at the first year, and 92% maintained their VA at the three-year follow-up visit. CSME resolved in 92% of eyes by the second year.
In 2009, Figueira et al.15 reported that subthreshold MPD laser (810 nm) was as effective as conventional argon green laser photocoagulation (514 nm) for DME in a prospective, randomized trial. Continuous wave laser was performed using a modified ETDRS protocol, and the subthreshold MPD was applied with a 15% duty cycle, using double the power of the test burn. (The test burn was a barely visible laser spot created using a diode laser in a continuous wave mode.) The authors found no statistically significant differences at one year between the two groups in terms of best-corrected visual acuity, contrast sensitivity, or retinal thickness on OCT. Laser scars, however, were seen much more frequently with the conventional treatment (59% vs 14% with MPD).
Figure 2. Pretreatment (left) and post-treatment FA (right).
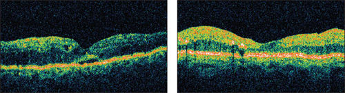
Figure 3. Pretreatment (left) and post-treatment OCT (right).
In 2010, Ohkashi et al.16 noted that ME decreased as a response to subthreshold MPD laser at 12-month follow-up in 95% of subjects who underwent this treatment. In a prospective, randomized trial, Vujosevic et al.17 compared MPD with the modified ETDRS laser treatment in 52 eyes. They noted no significant differences between the two groups with respect to VA, macular thickness, and leakage on FA at six and 12 months. Mean macular sensitivity worsened in the ETDRS group but improved in the MPD group. There were significant differences in retinal sensitivity at 4° and at 12° (P=0.04 and P<0.0001, respectively). No changes were noted on autofluorescence in eyes with MPD laser.
Lavinsky et al.21 compared modified ETDRS (mETDRS) focal/grid laser photocoagulation to normal-density (ND) and high-density (HD) subthreshold MPD laser for DME in a prospective, randomized, controlled study. Almost confluent subthreshold invisible 130-µm diameter burns (up to 900 shots) were delivered to the whole macula (including the entire thickened areas of the macula and the normal unthickened), sparing the foveal region in the HD-MPD group. The subthreshold MPD burns were placed two burn diameters apart in the same location in the ND-MPD group. Both subgroups had the same subthreshold power criteria, and they differed only in the density pattern of the delivered laser burns. At one-year follow-up, HD-MPD laser had the greatest central mean thickness reduction on OCT, with the greatest improvement in BCVA compared to the other groups.
Ohkoshi and associates showed that SLO in retro mode may show dark spots at the site where invisible micropulse laser is delivered.20 The authors speculate that this finding may be related to RPE swelling at these sites. The retro-mode camera uses a laterally directed oval aperture that collects scattered light only from one direction and that blocks reflected light from other directions, creating shadow-like images from deeper layers of retina.20
Studies performed with subthreshold MPD photocoagulation report the treatment to be well tolerated by patients, with evidence of resolution of macular edema and stabilization or improvement in visual acuity. Laser scars are not visible clinically on fundus photography, on FA, or on autofluorescence.4,11,17 This treatment does not result in breakdown of the blood-retinal barrier. Retinal sensitivity, as measured by multifocal electroretinography, is better preserved with sub-threshold MPD laser than with the conventional treatment for CSME.22 The adverse effects due to laser scarring are limited. Most of the studies performed, however, are limited by their small sizes or retrospective natures.
As noted, the lack of a visible endpoint makes it difficult to perform subthreshold MPD laser. Better imaging techniques are needed to assess the endpoints for which the treatment is being administered. Titration of laser parameters is a major limiting factor in using this treatment. Also, laser parameters are not standardized; duty cycles of 5% to 15% have been used in different studies. Direct comparison of results (eg, efficacy and side-effect profile) with these differing parameters is difficult.
Figure 4. Pretreatment (left) and post-treatment Humphrey visual field 10-2 (right).
Figure 5. Pretreatment (top) and post-treatment microperimetry with SLO (bottom); right eye underwent treatment.
Micropulse diode laser treatment is performed with a 810-nm diode laser (Iridex OcuLight SLx, Iridex Corp.) with the following parameters: 125-µm spot size, 0.2-0.3 sec envelope duration, 5% to 15% duty cycle (5% duty cycle involves 150 100-µs micropulses delivered every 2 ms [100 µs on, 1,900 µs off]), with the number of spots depending on the extent of CSME.5,12,18 The power used may depend on the test spot. Reported values used for subthreshold MPD laser have been half the value of the minimum threshold value needed for a barely visible burn in CW mode with exposure of 100 ms.12
Luttrull et al.5 used a standard power of 750 mW with a 5% duty cycle and 0.3=sec envelope duration, citing a laser exposure of 47 X ANSI Z136.1 MPE. They provided alternative treatment parameters of a standard power of 800 mW with a 0.15-sec envelope duration and a 15% duty cycle with a comparable laser exposure of 55 MPE. (MPE is the maximum permissible exposure level specified by the American National Standards Institute for a set of laser parameters.)
Lavinsky et al.21 used a 130-µm spot size, an envelope duration of 2.2 msec, and a 15% duty cycle. The micropulse power used was 20% higher (1.2x) than the power of the test burn, which was a barely visible burn created using a CW diode laser mode of unclear duration.21
CONCLUSION
Additional large, prospective, randomized studies with standardized laser parameters are needed to elucidate the micropulse diode laser treatment modality for CSME, especially the high-density pattern of laser delivery. The preliminary studies cited here indicate that subthreshold laser is a viable treatment option, with a much lower side effect profile than the currently accepted standard of care, mETDRS focal/grid laser. More recently developed high-resolution imaging procedures, eg, SD-OCT, autofluorescence, SLO with retro-mode imaging, and microperimetry, should be incorporated in these studies. Improved imaging techniques to capture the anatomical, structural and functional changes as a result of subthreshold MPD laser also need to be elucidated. RP
REFERENCES
1. Early Treatment Diabetic Retinopathy Study Research Group. Report No. 1. photocoagulation for diabetic macular edema. Arch Ophthalmol. 1985;103:1796-1806.
2. Schatz H, Maderia D, McDonald HR, Johnson RN. Progressive enlargement of laser scars following grid laser photocoagulation for diffuse diabetic macular edema. Arch Ophthlmol. 1991;109:1549-1551.
3. Akduman L, Olk RJ. Laser photocoagulation of diabetic macular edema. Ophthalmic Surg Lasers. 1997;28:387-408.
4. Sivaprasad S, Elagouz M, McHugh D, Shona O, Dorin G. Micropulsed diode laser therapy: evolution and clinical applications. Surv Ophthalmol. 2010;55:516-30.
5. Luttrull JK, Musch DC, Mainster MA. Subthreshold diode micropulse photocoagulation for the treatment of clinically significant diabetic macular edema. Br J Ophthalmol. 2005;89:74-80.
6. Chong LP, Soriano D, Ramos AR. Sublethal laser damage to the retinal pigment epithelium by micro-pulse diode laser in primate eye [abstract]. Invest Ophthalmol Vis Sci. 1996;37:S694.
7. Friberg R, Karatza EC. The treatment of macular disease using a micropulsed and continuous wave 810-nm diode laser. Ophthalmology. 1997;104:2030-2038.
8. Moorman CM, Hamilton AM. Clinical applications of the micropulse diode laser. Eye. 1999;13:145-150.
9. Stanga PE, Reck AC, Hamilton AM. Micropulse laser in the treatment of diabetic macular edema. Semin Ophthalmol. 1999;14:210-213.
10. Grigorian RA, Zarbin MA, Tutela AC, Bhagat N. Comparison of subthreshold micropulse diode laser photocoagulation with conventional laser photocoagulation for clinically significant macular edema. Paper presented at: Annual meeting of the Association for Research in Vision and Ophthalmology; Fort Lauderdale, FL; May 1, 2003.
11. Framme C, Brinkmann R, Birngruber R, Roider J. Autofluorescence imaging after selective prelaser treatment in macular diseases and clinical outcome: A pilot study. Br J Ophthalmology. 2002;86:1099-1106.
12. Laursen ML, Moeller F, Sander B, Sjoelie AK. Subthreshold Micropulse diode laser treatment in diabetic macular edema. Br J Ophthalmol. 2004;88:1173-1179.
13. Sivaprasad S, Sandhu R, Tandon A, Syed-Ahmed K, McHugh DA. Subthreshold micropulsed diode laser photocoagulation for clinically significant diabetic macular edema: a three-year follow-up. Clin Exp Ophthalmol. 2007;35:640-644.
14. Ohkoshi K. Subthreshold micropulse diode laser photocoagulation for diabetic macular edema. J Jpn Soc Laser Surg Med. 2007;28;183-188.
15. Figueira J, Khan J, Nunes N, et al. Prospective randomized controlled trial comparing sub-threshold diode laser photocoagulation and conventional green laser for clinically significant macular edema. Br J Ophthalmol. 2009;93:1341-1344.
16. Ohkoshi K, Yamaguchi T. Subthreshold micropulse diode laser photocoagulation for diabetic macular edema for Japanese. Am J Ophthalmol. 2010;149:133-139.
17. Vujosevic S, Bottega E, Casciano M, et al. Microperimetry and fundus autofluorecence in diabetic macular edema:subthreshold micropulse diode laser versus modified early treatment diabetic retinopathy study laser photocoagulation. Retina. 2010;30:908-916.
18. Stanga PR, Reck AC, Hamilton AM. Clinical applications of the Micropulse laser in the treatment of diabetic macular edema. Sem Ophthalmol. 1999;14:210-213.
19. Roider J, Michaud NA, Flotte TJ, Birngruber R. Response of the retinal pigment epithelium to selective photocoagulation. Arch Ophthalmol. 1992;110:1786-1792.
20. Ohkoshi K, Tsuiki E, Kitaoka T, Yamaguchi T. Visualization of subthreshold micropulse diode laser photocoagulation by scanning laser ophthalmoscopy in the retro mode. Am J Ophthalmol. 2010;150:856-862.
21. Lavinsky D, Cardillo JA, Melo LA, Dare A, Farah ME, Belfort R. Randomized clinical trial Eealuating mETDRS versus normal or high-density micropulse photocoagulation for diabetic macular edema 2011 Invest Ophthalmol Vis Sci. 2011 Feb 23. [Epub ahead of print]
22. Ventakesh P, Ramanjulu R, Azad R, Vohra R, Garg S. Subthreshold micropulse diode laser and double frequency neodynium: YAG laser in treatment of diabetic macular edema. A prospective, randomized study using multifocal electroretinography. Photomed Laser Surg. 2011 May 25 [Epub ahead of print]
23. Salvetti P, Rosen JM, Reichel E. Subthreshold infrared footprinting with indocyanine green for localizing low-intensity infrared photocoagulation. Ophthalmic Surg Lasers Imaging. 2003;34:44-48.
| Neelakshi Bhagat, MD, is assistant professor of ophthalmology and director of vitreoretinal and macular surgery in the Institute of Ophthalmology and Visual Science at UMDNJ-New Jersey Medical School. Marco A. Zarbin, MD, PhD, is professor and chair of the Institute of Ophthalmology and Visual Science and professor of neurosciences at UMDNJ-New Jersey Medical School, as well as chief of the Department of Ophthalmology at University Hospital in Newark, NJ. Dr. Zarbin reports minimal financial interest in Iridex. Dr. Bhagat reports no financial interests. Dr. Bhagat can be reached via e-mail at bhagatne@umdnj.edu. |







