New Screening Guidelines for Hydroxychloroquine Toxicity
Experts explain their role in clinical practice.
Stephen G. Schwartz, MD, MBA • William F. Mieler, MD
Hydroxychloroquine (Plaquenil, Sanofi-Aventis) remains widely used in the treatment of various rheumatologic disorders. A small percentage of patients exposed to hydroxychloroquine will develop irreversible, and potentially progressive, retinal toxicity for which no effective treatment exists. Objective changes typically precede complaints of visual loss. Therefore, screening of asymptomatic patients is generally recommended in order to detect early evidence of retinopathy.
An example of advanced toxicity is presented here. A 68-year-old female with rheumatoid arthritis was treated with hydroxychloroquine 200 mg PO bid for almost five years. She complained of bilateral visual disturbances and discontinued the medication. She reported progressive symptoms for over one year following discontinuation.
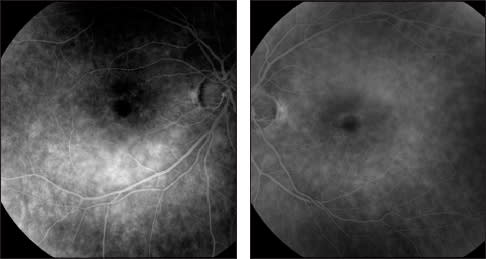
On examination, best-corrected visual acuity was 20/50 in each eye. Slit-lamp examination was significant for mild to moderate cataract in each eye. Dilated fundus examination was notable for only mild bilateral macular pigment alterations (Figures 1-2). Humphrey visual field 10-2 evaluation revealed dense bilateral central scotomas (Figures 3-4). Spectral-domain optical coherence tomography was consistent with significant bilateral macular atrophy (Figures 5-6). Fluorescein angiography demonstrated bilateral bull's eye–type pigmentary abnormalities (Figures 7-8). This case demonstrates that advanced visual loss can occur with little or no changes detectable on dilated fundus examination, and that ancillary testing is important in screening for early disease.
Figures 1 and 2. A dilated exam revealed only mild bilateral pigment alterations. Right eye and Left eye.
Figures 3 and 4. Visual field exams revealed dense bilateral scotomas.
Figures 5 and 6. SD-OCT was consistent with significant bilateral macular atrophy.
Figures 7 and 8. Fluorescein angiography reveals bilateral bull's eye–type pigmentary abnormalities.
NEW SCREENING GUIDELINES
A task force of the American Academy of Ophthalmology published screening guidelines in 2002. However, new data indicate that the incidence of hydroxychloroquine toxicity may be higher than previously thought. In addition, new diagnostic modalities have become widespread among ophthalmologists that may allow earlier diagnosis in asymptomatic patients. A subsequent AAO task force has issued updated recommendations, which have been presented in multiple forums and will be published later in 2011. Highlights of the new recommendations are reviewed here.
Risk of toxicity. The risk of toxicity is not precisely known but was traditionally reported to be less than 0.5%. Newer literature suggests that the true risk may be substantially higher. A new study, comprising almost 4,000 patients, reported that after five to seven years of usage, the risk approaches 1% and continues to rise with prolonged exposure. Another series reported that the risk of hydroxychloroquine is increased fourfold after seven years of exposure. A greater overall risk of toxicity (above 1%) is believed to justify a more aggressive screening algorithm.
Dosage. The 2002 recommendations considered a daily dose at or below 6.5 mg/kg/day of hydroxychloroquine to be low-risk for subsequent toxicity. Hydroxychloroquine is dispensed in 200 mg tablets, so an “average” 70-kg patient using the common dose of 200 mg bid actually would be receiving a slight overdose according to this threshold. Nevertheless, the 200 mg bid dosage is commonly prescribed. Newer literature suggests that the cumulative dose is more predictive of toxicity than the daily dose. From this perspective, the risk of toxicity appears to rise substantially after a cumulative dose of about 1000 g (400 mg x 365 days x 7 years = 1022 g).
Examination schedule. A baseline examination within the first year of initiating treatment continues to be recommended. In patients with no additional risk factors, annual screening is recommended after five years, which is similar to the previous recommendations. Additional risk factors include small stature (obese patients should be evaluated on the basis of “ideal” body weight), liver or kidney disease, concomitant macular disease, and possibly advanced age.
These patients may benefit from annual screening examinations (or even more frequently) starting at baseline. Dilated fundus examination is important, but not sufficient for screening purposes. Macular pigmentary alterations, such as bull's-eye changes, are generally late manifestations of retinopathy and the goal of screening is to detect retinopathy before visible fundus changes occur.
Ancillary testing. Automated visual fields, such as the Humphrey 10-2 protocol, are still recommended, and if any (even subtle) change is detected, additional testing is indicated. The most readily available test is SD-OCT, which may demonstrate loss of the inner-segment/outer-segment line as an early sign of toxicity. Fundus autofluorescence (FAF) may also document subtle abnormalities in macular pigmentation early in the disease process. Multifocal electroretinography (mfERG) may be the most sensitive test for early toxicity, although it may not be readily available in all locations. The new guidelines recommend 10-2 automated perimetry, plus at least one of SD-OCT, FAF, or mfERG if they are available. These tests should be performed at baseline and at each subsequent evaluation.
Other tests may be considered as well, but are generally insufficiently sensitive to detect early evidence of hydroxychloroquine toxicity. These tests include color fundus photography, fluorescein angiography, time-domain OCT, full-field ERG, Amsler grid testing, color vision testing, and electro-oculography.
Counseling. Patients should be advised that the goal of screening is not to “prevent” toxicity, as toxicity cannot be completely prevented. The goal is to detect early, asymptomatic evidence of toxicity, even though there are no clearly defined parameters for the diagnosis of early toxicity. Once toxicity is documented, discontinuation of medication should be considered, in cooperation with the patient and the internist or rheumatologist prescribing the hydroxychloroquine. Patients should be advised that toxicity may progress despite discontinuation of medication, and the etiology of this progression is poorly understood.
SUMMARY
The revised screening guidelines recently released by the AAO are a bit more rigorous than those previously advocated, as they call for the use of newer, potentially more sensitive imaging modalities. By following these guidelines, and by maintaining a high index of suspicion, most cases of severe toxicity may be prevented. Nevertheless, some patients will lose vision despite appropriate screening and counseling. RP
| Stephen G. Schwartz, MD, MBA, is associate professor of clinical ophthalmology at Bascom Palmer Eye Institute, University of Miami Miller School of Medicine in Naples, FL. William F. Mieler, MD, is professor and vice chair of ophthalmology at the University of Illinois at Chicago. Neither author has any financial interest relevant to this article. Dr. Mieler can be reached at wmieler@uic.edu. |







