Combined Surgery for Retinal Pathology and Cataract
A single procedure is less burdensome for patients and facilitates faster visual recovery.
By Timothy G. Murray, MD, MBA, FACS
With the aging of the population in the United States, vitreoretinal surgeons are increasingly faced with the challenge of managing posterior segment pathology in patients who have coexisting cataract. On one hand, we know that cataract must be addressed in order for patients to reach their visual potential following retinal surgery. On the other hand, we know cataract surgery following retinal surgery can lead to a reintroduction of retinal problems. This scenario is further complicated in my practice because its primary focus is ocular oncology. I cannot proceed with treatment of cataract or posterior segment pathology until a patient's intraocular malignancy has been stabilized.
The approach to management of retinal pathology and co-existing cataract has begun to evolve. Rather than addressing the cataract first and performing pars plana vitrectomy (PPV) at a later time, or vice versa, surgeons are choosing more often to treat both in a single combined procedure. Combined procedures are an opportunity for patients to undergo one surgery instead of two with accelerated normalization of the ocular anatomy and rehabilitation of visual function. Advances in technology, particularly in combination anterior segment/posterior segment surgical platforms, have enabled us to achieve favorable results in this manner. I recently conducted a study to evaluate the merits of the combined approach (See “Retrospective Review of Combined Surgery Series”) and here I describe a case that illustrates how it is successfully used in my practice.
SINGLE SURGERY FOR COMPLEX RETINAL DETACHMENT AND CATARACT
The patient is a 75-year-old Hispanic female with malignant posterior uveal melanoma of the left eye. In May 2006, with visual acuity of 5/200, she was treated with iodine-125 plaque brachytherapy. Over the next 12 months, the tumor regressed and vision improved to 20/40. Eighteen months after brachytherapy, the eye developed radiation retinopathy, which was treated over the course of 24 months with intravitreal bevacizumab. Vision stabilized at 20/50; however, likely due to the retinopathy, a complex hemorrhagic retinal detachment as well as a visually significant cataract emerged. The retinal detachment was progressive, and the patient experienced a significant decline in visual acuity.
Since the patient's melanoma had an excellent response to brachytherapy that was documented over a 4-year period, we were able to consider surgical repair of the complex retinal detachment to restore the ocular anatomy and vision. Because the cataract was contributing to visual acuity loss and would confound the posterior segment repair, we elected to perform a single combined procedure. After we confirmed the tumor was involuted and saw no evidence of active melanoma on exam, imaging or ultrasound, we scheduled surgery.
Currently, I perform all of my combined procedures with the CONSTELLATION® Vision System (Alcon) and 23-gauge instrumentation, including the EdgePlus® valved entry system. The valved cannulas may improve posterior segment fluidics during vitrectomy, which is a key benefit in combined surgeries. The valved cannulas may improve posterior segment fluidics during vitrectomy. They do not attract tissue to the sclerotomy sites, and they make sclerotomy plugs unnecessary.
I begin each combined procedure by displacing the conjunctiva and placing the first 23-gauge trocar in the inferotemporal quadrant. I introduce it obliquely, at a 30º insertion angle, followed by a 90º rotation to clear the suprachoroidal space and create a beveled incision. A second instrument is not needed to separate the trocar from the cannula. After visually confirming the trocar is in the intravitreal space, I turn on the infusion line and attach it to the trocar. When IOP stabilizes, I insert the superotemporal and superonasal trocars using the same angled approach.
With the trocars in place, I begin the cataract removal procedure with a clear corneal incision. For phacoemulsification, I use the OZil® torsional handpiece technology (Alcon) that is available with the CONSTELLATION® System. I find that torsional phaco enhances my ability to safely and effectively manage cases such as this complex retinal detachment and cataract. Torsional energy provides efficient dissolution of hard nuclei and minimizes energy transfer to adjacent tissues. Working in conjunction, OZil® torsional handpiece and the CONSTELLATION® System's advanced fluidics maintain the anterior chamber through the duration of the procedure. Once the cataractous crystalline lens is removed, I insert the IOL, typically a foldable three-piece acrylic model. Because the eye must still undergo the posterior segment procedure, I inject visco-elastic into the anterior chamber to help keep it stable. To further ensure anterior chamber stability, I suture the cataract wound with 10-0 nylon.
At this point, I turn my attention to the posterior segment. The 23-gauge cutter and endoilluminator are placed into the eye. Under contact 130º widefield viewing, I perform an aggressive PPV, paying specific attention to removal of the posterior hyaloid and dissection of any preretinal membranes. I identify any preexisting retinal breaks and perform an air-fluid exchange. Next, I introduce the 23-gauge Alcon Illuminated Flex Curved Laser Probe into the eye and close all of the retinal breaks. In this particular case, I covered the tumor with confluent laser. With a softtip 23-gauge cannula, I remove the remaining subretinal and pre-retinal fluid. Sometimes, soft-tip instruments may not pass through the valved cannula easily. To facilitate this, I displace one of the leaflets of the valved cannula with a 30-gauge needle and slide the instrument along the shaft of the needle into the cannula.
Intraocular tamponade, typically C3F8 gas (16-18%) or silicone oil (1000-5000 centistoke), is the next step. To avoid an IOP spike and ensure an excellent fill, I make use of the vent that is provided with each set of trocars. I can then remove the trocars from the eye, which I do obliquely as I did at insertion. If I have any concern about wound sealability, I do not hesitate to suture. After confirming that IOP is 10-15 mmHg, I administer subconjunctival injections of dexamethasone and gentamicin. I place the injections 180º away from the sclerotomy sites to prevent the medication from migrating out of the wounds. Finally, I apply topical antibiotics and steroids.
Figures 1 and 1a. Malignant posterior uveal melanoma of the left eye in a 75-year-old Hispanic female.
Figure 2. Eighteen months after successful brachytherapy, the patient's left eye developed radiation retinopathy, which was treated over the course of 24 months with intravitreal bevacizumab. Vision stabilized at 20/50; however, a complex and progressive hemorrhagic retinal detachment developed.
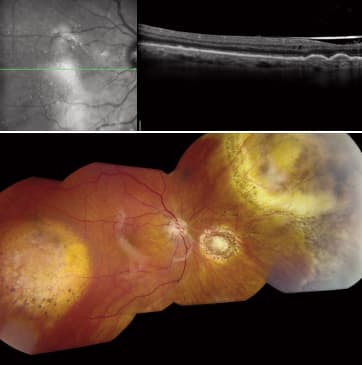
Figures 3 and 3a. The patient's left eye following a single combined 23-gauge procedure for cataract and repair of a complex retinal detachment. Prior to surgery a favorable response to brachytherapy for malignant uveal melanoma had been documented over a 4-year period.
After surgery, I have patients use topical antibiotics twice a day for 1 week and a topical steroid twice a day for 2 weeks and once a day for a final week. Strict face-down positioning is crucial to ensure a favorable outcome. I see the patients 1 day, 1 week, 1 month and 3 months after surgery. For this particular patient, postoperative visual acuity improved to 20/100 from 1/200 pre-operatively. Ongoing follow-up to monitor the malignant melanoma continues.
| Retrospective Review of Combined Surgery Series |
|---|
| Recent technological advances designed to enhance surgical safety and efficiency are making single combined procedures for concomitant vitreoretinal disease and cataract a more attractive option for both patients and surgeons. To more closely evaluate how combined procedures performed with the newest surgical platforms impact visual acuity outcomes and perioperative complications, we recently carried out a retrospective review of cases managed from January 2006 to March 2009 at the Bascom Palmer Eye Institute in Miami.1 The review included 114 eyes of 111 patients who had complex vitreoretinal pathology as well as anterior segment lenticular changes. All patients underwent sutureless 23-gauge vitrectomy and phacoemulsification. Posterior chamber IOLs were successfully placed in all of the eyes. Early in the series, surgeons utilized the ACCURUS® Surgical System (Alcon), but later transitioned to the CONSTELLATION® Vision System (Alcon). The CONSTELLATION® System integrates a 5000 cpm vitrectomy probe with duty cycle control, real-time monitoring and adjustment of IOP, high-brightness xenon illumination, a 532-nm laser and torsional phacoemulsification. The mean age of the patients in the series was 76 years, and the most common indications for surgery were intractable cystoid macular edema, epiretinal membrane and retinal detachment. Approximately 42% of the patients had an intraocular malignancy, 26% had epiretinal membrane and vitreomacular traction alterations, and approximately 23% had diabetic tractional complications at the time of surgery. Average follow-up time was 8 months (range, 3 months to 2 years). No intraoperative complications occurred, and no cases of endophthalmitis developed. Capsular tears occurred in approximately 13% of cases, and four eyes developed hypotony. Mean logMAR visual acuity was 20/192 at baseline and it improved to 20/129 3 months after the procedure (p=0.005). A two-line or greater improvement in visual acuity was seen in 76% of patients. Our results indicate that treating co-existing cataract and retinal disease in a single surgery is a safe and effective option in the eyes studied, which are among those at the highest risk for complications. — Timothy G. Murray, MD, MBA, FACS REFERENCE1. Sisk RA, Murray TG. Combined phacoemulsification and sutureless 23-gauge pars plana vitrectomy for complex vitreoretinal diseases. Br J Ophthalmol 2010;94(8):1028-1032. |
A SIGNIFICANT ADVANCE
The CONSTELLATION® Vision System has greatly reduced the number of complications I see, both intraoperatively and postoperatively, in my small-gauge combined anterior/posterior segment procedures. I consider the ability to achieve such favorable outcomes in cases of complex retinal disease and co-existing cataract a significant advance in vitreoretinal surgery and expect most surgeons to continue to integrate this approach into their practices.
Dr. Murray is a professor of Ophthalmology and director of the Ocular Oncology Service at Bascom Palmer Eye Institute, University of Miami Miller School of Medicine.
Closing
CONSTELLATION® Vision System Indications for Use With Laser
Indications for Use: The CONSTELLATION® Vision System is an ophthalmic microsurgical system that is indicated for both anterior segment (i.e., phacoemulsification and removal of cataracts) and posterior segment (i.e., vitreoretinal) ophthalmic surgery.
The PUREPOINT® Laser is indicated for use in photocoagulation of both anterior and posterior segments of the eye including:
• Retinal photocoagulation, panretinal photocoagulation and intravitreal endophotocoagulation of vascular and structural abnormalities of the retina and choroid including: Proliferative and nonproliferative retinopathy (including diabetic); choroidal neovascularization secondary to age-related macular degeneration; retinal tears and detachments; macular edema, retinopathy of prematurity; choroidal neovascularization; leaking microaneurysms.
• Iridotomy/Iridectomy for treatment of chronic/primary open angle glaucoma, acute angle closure glaucoma and refractory glaucoma.
• Trabeculoplasty for treatment of chronic/primary open angle glaucoma and refractory glaucoma.
• And other laser treatments including: internal sclerostomy; lattice degeneration; central and branch retinal vein occlusion; suturelysis; vascular and pigment skin lesions.
Caution: Federal (USA) law restricts this device to sale by, or on the order of, a physician.
Contraindications: Patients with a condition that prevents visualization of target tissue (cloudy cornea, or extreme haze of the aqueous humor of the anterior chamber of vitreous humor) are poor candidates for LIO delivered laser treatments.
Complications: Corneal burns, inflammation, loss of best-corrected visual acuity, loss of visual field and transient elevations in intraocular pressure can occur as a result of ophthalmic laser treatment. Unintentional retinal burns can occur if excessive treatment beam power or duration is used.
Warnings and Precautions:
• The disposables used in conjunction with Alcon instrument products constitute a complete surgical system. Use of disposables and handpieces other than those manufactured by Alcon may affect system performance and create potential hazards.
• Attach only Alcon supplied consumables to console and cassette luer fittings. Do not connect consumables to the patient's intravenous connections.
• Mismatch of consumable components and use of settings not specifically adjusted for a particular combination of consumable components may create a patient hazard.
• Vitreous traction has been known to create retinal tears and retinal detachments.
• The closed loop system of the CONSTELLATION® Vision System that adjusts IOP cannot replace the standard of care in judging IOP intraoperatively. If the surgeon believes that the IOP is not responding to the system settings and is dangerously high, this may represent a system failure. Note: To ensure proper IOP Compensation calibration, place infusion tubing and infusion cannula on a sterile draped tray at mid-cassette level during the priming cycle.
• Leaking sclerotomy may lead to post operative hypotony.
• Back scattered radiation is of low intensity and is not harmful when viewed through a protective filter. All personnel in the treatment room must wear protective eyewear, OD4 or above at 532nm, when the system is in Standby/Ready mode as well as during treatment. The doctor protection filter is an OD greater than 4 at 532nm.
• Important Safety Information: Warnings and Cautions: A complete listing is available in the CONSTELLATION® Vision System Operators Manual. To obtain a copy, please contact Alcon Customer Service.
INFINITI® System Indications for Use
Indication: The INFINITI® Vision System with OZil® IP is indicated for emulsification and removal of cataracts, vitreous aspiration and cutting associated with anterior vitrectomy, and bipolar coagulation.
Caution: Federal (USA) law restricts this device to sale by, or on the order of, a physician.
Warnings: Appropriate use of INFINITI® Vision System parameters and accessories is important for successful procedures. Use of low vacuum limits, low flow rates, low bottle heights, high power settings, extended power usage, power usage during occlusion conditions (beeping tones), failure to sufficiently aspirate viscoelastic prior to using power, excessively tight incisions, and combinations of the above actions may result in significant temperature increases at incision site and inside the eye, and lead to severe thermal eye tissue damage.
Adjusting aspiration rates or vacuum limits above the preset values, or lowering the IV pole below the preset values, may cause chamber shallowing or collapse which may result in patient injury.
When filling handpiece test chamber, if stream of fluid is weak or absent, good fluidics response will be jeopardized. Good clinical practice dictates the testing for adequate irrigation and aspiration flow prior to entering the eye.
Ensure that tubings are not occluded or pinched during any phase of operation.
The consumables used in conjunction with Alcon instrument products constitute a complete surgical system. Use of consumables and handpieces other than those manufactured by Alcon may affect system performance and create potential hazards.
AEs/Complications: Use of the NeoSoniX®, OZil® torsional, U/S, or AquaLase® handpieces in the absence of irrigation flow and/or in the presence of reduced or lost aspiration flow can cause excessive heating and potential thermal injury to adjacent eye tissues.
ATTENTION: Reference the Directions for Use labeling for a complete listing of indications, warnings and precautions.
Disclosures
Maria H. Berrocal, MD, has consulted for Alcon and Alimera.
Timothy G. Murray, MD, is a consultant for Alcon and ThromboGenics, Inc.
Carl D. Regillo, MD, has received research support from, and provided consulting for, Alcon and Bausch + Lomb. He has consulted for Abbott Medical Optics (AMO).
Wayne A. Solley, MD, has received honoraria and educational grants from Alcon.
| To watch videos of the procedures discussed in these articles, visit the Retinal Physician home page (www.retinalphysician.com) and click on the DIGITAL SUPPLEMENTS tab. |







