PEER REVIEWED
When to Consider Vitrectomy in Eyes With Posterior Uveal Melanoma
Ocular oncology patients present a special challenge to the vitreoretinal surgeon.
S. K. Steven Houston, III, MD • Marcela Lonngi Ardila, MD Arnold Markoe, MD, DSC • Timothy G. Murray, MD, MBA
Since its inception in the early 1970s, vitrectomy has undergone continued advancements in instrumentation, design and utility. With the advent of this surgical technique came an explosion of disease entities amenable to this treatment.
Over the past 40 years, the instrumentation has gotten smaller, progressing from 20-gauge to 23-gauge and even the availability of 25-gauge instruments. With these smaller systems, beveled wounds can be made, often allowing sutureless surgery. These new techniques have been lauded as hastening surgical and visual recovery. The realm of conditions treated with vitrectomy includes vitreous opacities (ie, vitreous hemorrhage), vitreoretinal interface disorders (ie, macular pucker, epiretinal membrane) and retinal detachments (rhegmatogenous, tractional and exudative), as well as diagnostic purposes.
Uveal melanoma is the most common primary eye cancer in adults. These tumors usually present in the posterior pole, often causing symptoms that bring them to the attention of ophthalmologists. Posterior uveal melanomas can cause visual decline secondary to exudative retinal detachment, vitreous hemorrhage, and radiation-related complications. Treatment consisted of enucleation prior to the pivotal Collaborative Ocular Melanoma Study (COMS), which found that at 12 years, there was no significant difference in survival between enucleation and plaque brachytherapy.1 These findings paved the way for globe-salvaging therapy with radiation. Radiation has also resulted in a new set of complications, some which may be amenable to the use of vitrectomy surgery for posterior uveal melanoma.
The current article will discuss the use of vitrectomy in the diagnosis, classification, primary treatment and secondary management of complications in posterior uveal melanomas.
| S. K. Steven Houston, III, MD is an ophthalmology resident at the Bascom Palmer Eye Institute (BPEI) in Miami. Marcela Lonngi Ardila, MD, is postdoctoral researcher in the ocular oncology lab at BPEI. Arnold Markoe, MD, DSc, is a radiation oncologist at the University of Miami Medical Group. Timothy G. Murray, MD, MBA, is professor of ophthalmology at BPEI. None of the authors reports any financial interest in any products mentioned in this article. Dr. Murray can be reached via e-mail at tmurray@med.miami.edu. |
VITRECTOMY FOR DIAGNOSIS/BIOPSY
Posterior uveal melanoma is a clinical diagnosis that may be aided by ancillary tests, such as ultrasound. Melanoma rarely requires biopsy to make the diagnosis; however, with the advent of cytogenetic and molecular genetic studies, there has been a recent push to obtain fresh tumor tissue.
Cytopathology of biopsy specimens can be used to confirm the clinical diagnosis, but with the few cells obtained, an experienced and accessible ocular pathologist is required. Cytogenetic and molecular genetic techniques have been explored for the classification and categorization of posterior uveal melanomas based on their potential for metastasis.
Early cytogenetic studies suggested that monosomy 3, as well as other chromosomal changes, was associated with a higher likelihood for metastasis.2,3 Molecular genetic analysis has identified genetic changes in uveal melanoma that allow for the classification of tumors into class 1 and 2 tumors. Class 1 tumors can be subdivided into classes 1A and 1B, where class 1A has a low likelihood of metastasis and class 1B metastasizes late. Class 2 (2A and 2B) tumors show a higher risk for metastasis. Modern molecular genetic analysis has the potential to provide information with as few as 15 cells. Cytogenetic and molecular genetic analysis may provide metastatic prognostication and identify high-risk patients for entry into clinical trials and other research purposes.
Obtaining cells for analysis requires tumor biopsy or fine-needle aspiration biopsy (FNAB). Techniques for performing biopsy may be either transvitreal or trans-scleral. Trans-scleral biopsy involves the use of a 27- or 30-gauge needle that is inserted tangentially through the sclera at the base of the tumor. Following trans-scleral biopsy, a radioactive plaque is placed.
Concerns about extraocular or orbital dissemination should theoretically decrease with the placement of the plaque over the site of biopsy. Transvitreal biopsy may be performed with a 25- or 27-gauge needle via a pars plana approach. The needle is inserted into the center of the tumor, followed by the aspiration of tumor cells.4
Potential complications of these procedures include retinal detachment, vitreous hemorrhage and posterior scleral perforation, as well as the potential for intraocular or extraocular tumor dissemination. In a series of 500 FNAB procedures, there were no cases of intraocular dissemination or local recurrence.3 Of note, follow-up was only three years and the authors did not specify actual examination of the subjacent sclera.
However, ultrasound may identify larger areas of extraocular extension. Controversy remains regarding the use of FNAB specimens for prognosis, as metastatic disease confers a poor prognosis, with limited treatment options. Additionally, the surgeon and patient must weigh the risks of possible vision loss due to the procedure against its impact on clinical decisions. Nevertheless, molecular genetic and cytogenetic classification may serve as important research tools for identifying high-risk individuals for clinical trials.
VITRECTOMY FOR TREATMENT/ENDORESECTION
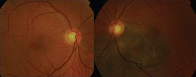
Endoresection, or removal of a tumor using an internal approach, was first investigated for posterior uveal melanoma in the late 1980s, primarily for small juxtapapillary tumors (Figure 1) that were not amenable to other forms of treatment at that time. The indications for endoresection were modified, but with the subsequent data from the COMS trial, endoresection did not gain widespread popularity. However, studies have investigated the use of endoresection as an alternative to plaque brachytherapy to avoid radiation-related complications, such as radiation retinopathy and optic neuropathy.
Figure 1. Endoresection was first investigated for posterior uveal melanoma in the late 1980s, primarily for small juxtapapillary tumors like the above.
Surgical techniques vary by surgeon, but basic steps to the procedure are shared. A three-port vitrectomy is performed with posterior hyaloid dissection. Diathermy is used around the periphery of the tumor, followed by the creation of a retinotomy, which may be central or peripheral. The vitreous cutter is then used to excise the tumor all the way to bare sclera. Photocoagulation followed by tamponade with silicone oil or gas is then performed to flatten the retina.
The surgical technique has many potential complications, including severe bleeding, extension of retinal detachment, tumor recurrence and cataract. One study required enucleation in 10% of eyes secondary to severe bleeding during surgery.5 However, the results for local tumor control and metastasis have been favorable, ranging from 2% to 9.4%6-8; the longest mean follow-up in these studies was 89 months. As a result of the short follow-ups and small numbers of patients in these studies, efficacy for local tumor control and metastasis are not known. One main risk and drawback to the procedure is the potential for liberating active tumor into the globe and orbit during this surgical procedure.
VITRECTOMY AND VITREOUS SUBSTITUTES
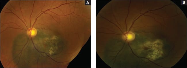
With the use of plaque brachytherapy for posterior uveal melanoma (Figure 2), globe salvage has presented new challenges for the ophthalmologist. The adverse effects of radiation to vital structures, such as the macula and optic nerve, often limit visual function. By three years following radiation treatment, the majority of patients manifest with some stage of this process, which has been difficult to halt once the damage manifests.
Figure 2. Two images of choroidal melanoma: post-plaque treatment (A) and post-plaque treatment with retinal detachment over tumor extending into the macula (B).
The signs of macular edema can be seen with spectral-domain OCT at as early as six months.9 New therapies including anti-VEGF agents, corticosteroids and prophylactic photocoagulation show promise in treatment, especially when diagnosed and treated at the first signs of changes on OCT.16-18
In addition to treating radiation complications at their onset, another option is to investigate ways to prevent these complications. As a result, vitreous shielding with vitreous substitutes has been proposed. In theory, the use of silicone oil or perfluorocarbon liquid may act to attenuate radiation exposure outside of the primary treatment area. Decreasing the effective radiation to vital structures may delay or prevent the adverse effects that frequently complicate treatment with plaque brachytherapy.
A study on cadaver eyes showed that silicone oil could significantly decrease radiation penetration versus saline control. In addition, Monte Carlo estimates with a cadaveric human globe showed a potential for attenuation of up to 57%, with the use of 1,000-cSt silicone oil.10
The drawbacks to this procedure include posterior-segment surgery in an eye harboring an active tumor with the risk of tumor dissemination intraocularly or extraocularly. Additional drawbacks include the difficulty obtaining ultrasound images in an eye filled with silicone oil. Further studies are needed to determine the utility of vitreous substitutes in preventing the effects of radiation retinopathy and in maintaining vision.
VITRECTOMY FOR COMPLICATIONS
Posterior uveal melanoma is commonly associated with retinal detachments, including exudative, rhegmatogenous and tractional detachment. Studies have shown exudative retinal detachments to range in incidence from 50% to 100% prior to treatment.11,12,19 The accumulation of subretinal fluid results from tumor vascular permeability, as well as dysfunction of the RPE. Fluid often overlies the tumor and tracts inferiorly in a dependent manner (Figure 3).
Figure 3. The same patients from Figure 2. SD-OCT shows subretinal fluid inferotemporal to optic nerve (A) and resolution of the fluid (B).
Following treatment with plaque brachytherapy, exudative retinal detachments (ERDs) tend to improve over time, with a mean of 5.6 months and 90% resolution at one year.12 However, during this time of chronic retinal detachment, the photoreceptors may undergo permanent damage, with the potential for irreversible vision loss. Thus, hastening ERD resolution may prevent long-term visual loss.
Recent work has investigated the use of post-brachytherapy bevacizumab to modulate tumor vasculature permeability, resulting in earlier resolution of ERD, with a mean time to resolution of 3.36 months and 43% of ERDs resolved by one month.19
Potential indications for vitrectomy following melanoma treatment result from tumor-related complications, such as exudative detachments, as well as radiation-related complications, including radiation retinopathy, vitreous hemorrhage, and tractional and rhegmatogenous retinal detachments.
When deciding to operate for a persistent or nonresolving ERD, the ophthalmologist must first determine whether the ERD signifies continued tumor activity. Most ERDs resolve within one year, with approximately 10% persisting for more than a year. Failure of local tumor control has been associated with recurrence or persistence of ERD.
Once active tumor growth or activity has been excluded, vitrectomy with drainage of subretinal fluid may be undertaken. Note that some ocular oncologists suggest at least six months of observation following tumor treatment to ensure tumor stability. Radiation-related complications include radiation retinopathy, which commonly manifests three years following plaque brachytherapy; however, recent studies have shown that the earliest effects of macular edema may occur at as early as six months.
Anti-VEGF agents and corticosteroids may be used to treat these early effects, with vitrectomy being used in intractable cases. Vitrectomy potentially relieves vitreoretinal traction and decreases the vitreous source of VEGF driving radiation retinopathy. Additional vitreoretinal inter face problems following plaque treatment of choroidal melanoma result from strong adhesions at the periphery of the tumor. Tractional forces can result in tractional retinal detachments, as well as rhegmatogenous detachments, which may necessitate surgical repair with vitrectomy.
At the heart of the controversy regarding surgical treatment of eyes harboring a tumor, whether treated or untreated, is whether there are viable tumor cells that may disseminate intraocularly or extraocularly. Adding to the controversy is that there are few studies regarding these risks. Small case reports have shown a low risk for eyes that contain treated tumors,13 except in cases that had vitreous hemorrhages prior to treatment, as these tumors may already exhibit tumor dispersion.
A recent paper by Bansal et al.20 reported on the authors’ experience with vitrectomy for vitreous hemorrhage in eyes with posterior uveal melanoma. The average time to the development of vitreous hemorrhage was 22 months (range: 0 to 137 months), with a mean time from hemorrhage to vitrectomy of 13 months. With a mean follow-up of five years (range 0.5 to 16 years), four of 47 (8%) cases developed metastasis, and no cases had intraocular tumor dissemination or extraocular extension.
A small cases series investigated the treatment of ERD at the time of tumor treatment.14 In this investigational series, six patients were treated for ERD at the time of radiation treatment. Of note, tumors were not previously treated at the time of surgery. The authors performed 25-gauge vitrectomy after placement of plaque, with transretinal biopsy and aspiration of subretinal fluid. Silicone oil tamponade was then inserted by expansion of one of the sclerotomies to 20-gauge.
The study showed resolution of ERDs that did not recur following silicone oil removal. Visual acuity was improved in five of six patients (83%), with the remaining patient’s vision staying unchanged. Of note, the follow-up was only one year, limiting assessment of long-term results and, more importantly, the risk of metastasis, tumor dissemination and local tumor control.
A retrospective study by Sisk et al.15 investigated 114 eyes of 111 patients who underwent combined phacoemulsification and sutureless 23-gauge vitrectomy for retinal pathology, commonly intractable macular edema, epiretinal membrane or retinal detachment. A subset of 72 patients in this series had posterior uveal melanoma that underwent combined vitrectomy (Figure 4). Patients were observed for a minimum of six months with serial exams documenting tumor stability.
Figure 4. A patient who underwent combined phaco and vitrectomy. Vision went from 20/100 to 20/30.
The mean follow-up was less than a year (263 days) from surgical intervention. The patients tolerated the procedures well with no severe complications of endophthalmitis or tumor dissemination. Visual acuity improved significantly (P = .005) at three months after surgical intervention.
The downsides of vitrectomy include melanoma-related and radiation-related complications, such as cataract, hypotony, vitreous hemorrhage and endophthalmitis. A dreaded complication of vitrectomy is tumor dissemination intraocularly or extraocularly, which may result in metastasis. Vitrectomy may also cause iatrogenic rhegmatogenous retinal detachments and theoretically may decrease the efficacy of intravitreal pharmaceuticals.
Finally, long-term data are not available regarding the risks and outcomes of surgical intervention, highlighting the need for future research on the use of vitrectomy in eyes with posterior uveal melanoma.
CONCLUSION
With the adoption of globe-salvaging techniques in the management of uveal melanoma, ocular oncologists face a new set of challenges. The use of vitrectomy for posterior uveal melanoma has expanded and has become an important and vital tool for these tumors. Tumor biopsy is gaining widespread acceptance, not for diagnosis but to obtain tissue for cytogenetic and molecular genetic analyses.
Vitrectomy has been investigated as a primary treatment, as well as an adjuvant treatment, to help minimize the effects of primary radiation therapy. Finally, the indications for vitrectomy to manage tumor-specific and treatment-specific complications continue to expand with the aim of preserving vision. We anticipate further investigations of vitrectomy in the management of posterior uveal melanoma, as well as long-term results on safety and efficacy. RP
REFERENCES
1. The COMS randomized trial of iodine 125 brachytherapy for choroidal melanoma: V. Twelve-year mortality rates and prognostic factors: COMS report No. 28. Arch Ophthalmol. 2006;124:1684-1693.
2. Prescher G, Bornfeld N, Hirche H, Horsthemke B, Jockel KH, Becher R. Prognostic implications of monosomy 3 in uveal melanoma. Lancet. 1996;347:1222-1225.
3. Shields CL, Ganguly A, Bianciotto CG, Turaka K, Tavallali A, Shields JA. Prognosis of uveal melanoma in 500 cases using genetic testing of fine-needle aspiration biopsy specimens. Ophthalmology. 118:396-401.
4. Faulkner-Jones BE, Foster WJ, Harbour JW, Smith ME, Davila RM. Fine needle aspiration biopsy with adjunct immunohistochemistry in intraocular tumor management. Acta Cytol. 2005;49:297-308.
5. Karkhaneh R, Chams H, Amoli FA, et al. Long-term surgical outcome of posterior choroidal melanoma treated by endoresection. Retina. 2007;27:908-914.
6. Damato B, Groenewald C, McGalliard J, Wong D. Endoresection of choroidal melanoma. Br J Ophthalmol. 1998;82:213-218.
7. Garcia-Arumi J, Sararols L, Martinez V, Corcostegui B. Vitreoretinal surgery and endoresection in high posterior choroidal melanomas. Retina. 2001;21:445-452.
8. Kertes PJ, Johnson JC, Peyman GA. Internal resection of posterior uveal melanomas. Br J Ophthalmol. 1998;82:1147-1153.
9. Horgan N, Shields CL, Mashayekhi A, Teixeira LF, Materin MA, Shields JA. Early macular morphological changes following plaque radiotherapy for uveal melanoma. Retina. 2008;28:263-273.
10. Oliver SC, Leu MY, DeMarco JJ, Chow PE, Lee SP, McCannel TA. Attenuation of iodine 125 radiation with vitreous substitutes in the treatment of uveal melanoma. Arch Ophthalmol. 128:888-893.
11. Kivela T, Eskelin S, Makitie T, Summanen P. Exudative retinal detachment from malignant uveal melanoma: predictors and prognostic significance. Invest Ophthalmol Vis Sci. 2001;42:2085-2093.
12. Harbour JW, Ahmad S, El-Bash M. Rate of resolution of exudative retinal detachment after plaque radiotherapy for uveal melanoma. Arch Ophthalmol. 2002;120:1463-1469.
13. Foster WJ, Harbour JW, Holekamp NM, Shah GK, Thomas MA. Pars plana vitrectomy in eyes containing a treated posterior uveal melanoma. Am J Ophthalmol. 2003;136:471-476.
14. Gibran SK, Kapoor KG. Management of exudative retinal detachment in choroidal melanoma. Clin Exp Ophthalmol. 2009;37:654-659.
15. Sisk RA, Murray TG. Combined phacoemulsification and sutureless 23-gauge pars plana vitrectomy for complex vitreoretinal diseases. Br J Ophthalmol. 94:1028-1032.
16. Finger PT, Chin K. Anti-vascular endothelial growth factor bevacizumab (avastin) for radiation retinopathy. Arch Ophthalmol. 2007;125:751-756.
17. Horgan N, Shields CL, Mashayekhi A, et al. Periocular triamcinolone for prevention of macular edema after iodine 125 plaque radiotherapy for uveal melanoma. Retina. 2008;28:987-995.
18. Finger PT, Kurli M. Laser photocoagulation for radiation retinopathy after ophthalmic plaque radiation therapy. Br J Ophthalmol. 2005;89:730-738.
19. Houston SK, Murray TG, Pina Y, Decatur T. Treatment of LHBETATAG retinoblastoma tumors with angiogenic and glycolytic inhibitors avoids chemotherapy. Paper presented at: Annual meeting of the International Society of Ocular Oncology; Buenos Aires, Argentina; November 14, 2011.
20. Bansal AK, Bianciotti C, Maguire JI, Regillo CD, Shields JA, Shields CL. Pars plana vitrectomy in eyes with treated posterior uveal melanoma. Retin Today. 2011 Nov/Dec;54-56.







