Adding Corticosteroid Implants For Diabetic Eye Disease
The gold standard is still laser, but steroids offer innovative options for treatment.
Raja Narayanan, MD • Baruch D. Kuppermann, MD, PhD • Stephanie Lu, MD
Macular edema results in increased retinal vascular permeability.1 Chronic, low-grade inflammation of the retinal microvasculature appears to be a significant contributor to this process. The goals of therapy for macular edema should be to reduce inflammation and restore blood-retinal barrier patency.
Corticosteroids are capable of inhibiting prostaglandin and leukotriene synthesis, as well as interfering with the ICAM-1, IL-6, VEGF-α and SDF-1 pathways.2,3 Corti-costeroids also have been shown to decrease paracellular permeability and increase tight junction integrity by directly restoring tight junctional proteins to their proper location at the cell border, as well as by increasing the gene expression of those proteins.4,5
Over last two decades there has been an extensive increase in usage of steroids to treat macular edema due to diabetic retinopathy,6,7 venous occlusive disease7 and ocular inflammation8,9 and also in cases of choroidal neovascularization. 10,11 Triamcinolone acetonide is used for conditions requiring long-term administration. Dexamethasone is also used clinically, but its duration of action in free form is much less than that of triamcinolone. However, a dexamethasone implant (Ozurdex, Allergan) is currently approved by the FDA to treat patients with macular edema due to retinal vein occlusion, as well as noninfectious posterior uveitis.
| Raja Narayanan, MD, is a consultant at the L. V. Prasad Eye Institute in Banjara Hills, Hyderabad, India. Baruch D. Kuppermann, MD, PhD, is an associate professor of ophthalmology and biomedical engineering, chief of the retina service, and vice-chair of clinical research at the University of California, Irvine. Stephanie Lu, MD, is clinical assistance professor of health science in the University of California, Irvine, Department of Ophthamology's Gavin Herbert Eye Institute. Drs. Narayanan and Lu report no financial interest in the products mentioned in this article. Dr. Kuppermann is a consultant for Allergan, Bausch+Lomb, Eyetech, and Genentech. Dr. Kuppermann can be reached by e-mail at bdkupper@uci.edu. |
Fluocinolone acetonide is another steroid in a FDAapproved drug-delivery system (Retisert, Bausch + Lomb) used for the treatment of noninfectious posterior uveitis. Additional intravitreal drug-delivery implants are being developed using triamcinolone (I-vation, Surmodics) and fluocinolone acetonide (Iluvien, Alimera). The relative anti-inflammatory strengths of various corticosteroids appear in Table 1.12
| Table 1. The Relative Anti-inflammatory Strengths of Various Corticosteroids | |
|---|---|
| STEROID | RELATIVE POTENCY |
| Hydrocortisone | 1.0 |
| Prednisolone | 4.0 |
| Methylprednisolone | 5 |
| Triamcinolone | 5 |
| Dexamethasone | 26 |
| Betamethasone | 33 |
PHARMACOLOGY OF STEROIDS
The empirical formula of triamcinolone is C24H31FO6, and its molecular weight is 434.50 Da (Figure 1). Beer and colleagues examined the pharmacokinetics of triamcinolone after a 4-mg intravitreal injection for macular edema in nonvitrectomized eyes. The mean elimination half-life was 18.6 days, suggesting that triamcinolone would be present in measurable concentrations in nonvitrectomized eyes for approximately three months.13
Figure 1. The molecular structure of triamcinolone acetone.
The molecular weight of dexamethasone (Figure 2) is 392.47 Da, and its empirical formula is C22H29FO5. The plasma half-life of parenterally administered dexamethasone is three to four hours. The intravitreal dose of free dexamethasone is typically 1 mg in 0.1 mL.
Figure 2. The molecular structure of dexamethasone.
Fluocinolone (Figure 3) has an empirical formula of C24H30F2O6 and a molecular weight of 452.49 Da. The fluocinolone intravitreal implant (Retisert) contains 0.59 mg of the medication. The concentration of fluocinolone was found to be relatively constant from the first time point, two hours, through one year.14
Figure 3. The molecular structure of fluocinolone acetone.
USAGE OF STEROIDS IN DME
Intravitreal triamcinolone is a useful treatment modality for DME (Figure 4). However, the relatively high risk of secondary glaucoma and cataracts has made it somewhat less popular especially with the advent of anti-VEGF agents. Numerous studies have been conducted to assess the efficacy of corticosteroids to treat macular edema.
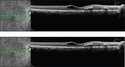
Figure 4. A patient with DME before (above) and after (below) an injection of triamcinolone.
Martidis et al. studied 16 eyes with clinically significant DME that failed to respond to at least two previous sessions of laser photocoagulation, and they observed decreases in central macular thickness by optical coherence tomography15 of 55%, 57.5% and 38%, at the one-, three- and six-month follow-up intervals, respectively, after a 0.1-mL intravitreal injection of 4 mg of triamcinolone. Intravitreal triamcinolone was effective in improving vision, reducing macular thickness, and inducing reabsorption of hard exudates in diffuse DME.7
However, there can be recurrence of macular edema once the effect of triamcinolone wanes. Reports of time to recurrence range from eight to 36 weeks.16,17
Audren et al. studied diffuse DME refractory to laser photocoagulation in 17 patients. Each patient had bilateral disease, so one eye received a single 4-mg injection of triamcinolone acetonide, and the second eye was used as a control. The main outcome measurement was CMT measured by OCT (preinjection and at four, 12 and 24 weeks). The mean CMT prior to injection was 566.4 µm in the injected eyes. The mean CMT at follow-up week 24 was 358.5 µm. The measured outcome, ETDRS vision, was significantly improved at all visits.15
In another prospective, placebo-controlled, randomized, interventional study, which included 40 eyes (38 patients) with DME, 28 (70%) eyes were randomized to treatment, and 12 (30%) eyes were randomized to receive a placebo injection. The treatment group received an intravitreal injection of approximately 20 mg of triamcinolone in 0.1 mL. Visual acuity increased significantly in the study group by 3.4 lines. The difference in change of best-corrected visual acuity was significant (P < .001)="" between="" the="" groups.="" at="" six="" months="" after="" baseline,="" 11="" (11/23;="" 48%)="" eyes="" and="" 9="" (9/23;="" 39%)="" eyes,="" respectively,="" improved="" by="" at="" least="" two="" and="" three="" lines,="" respectively,="" in="" the="" study="" group="" vs="" 0="" (0%)="" eyes="" improving="" in="" the="" control="">18
The results of a large, multicenter, randomized, controlled study comparing triamcinolone and laser photocoagulation for DME was published by the Diabetic Retino pathy Clinical Research network (DRCRnet). The DRCRnet Protocol B study showed that over a two-year period, focal/grid laser photocoagulation was more effective and had fewer adverse effects than preservative-free intravitreal triamcinolone.19
Initially, the groups treated with IVTA, particularly the 4-mg group, appeared to have better visual outcomes at four months (statistically significant) and eight months (no longer statistically significant), but by one year, there were no differences between the groups. At the primary endpoint of two years, eyes treated with laser had a mean BCVA improvement of one letter, whereas eyes treated with 1 mg IVTA had a mean vision loss of two letters, and eyes treated with 4 mg IVTA had a mean loss of three letters.
Additionally, the incidence of cataracts and increased intraocular pressure were significantly greater in the IVTA groups than in the laser groups. By two years, the percentage of eyes with an increase of at least 10 mm Hg from baseline was 4% in the laser group, 16% in the 1 mg IVTA group, and 33% in the 4 mg IVTA group. Cataract extraction was performed by two years in 13% of the eyes in the laser group, 23% of the eyes in the 1 mg IVTA group, and 51% of eyes in the 4 mg IVTA group.20
DRCR.net Protocol I evaluated subjects with DME who were randomized to one of four groups: sham injection plus prompt laser, ranibizumab plus prompt laser, ranibizumab plus deferred laser, and triamcinolone plus prompt laser. The study showed that the mean BCVA change at the 24-month time point was +2 letters in the sham/prompt laser group, +7 letters in the ranibizumab/prompt laser group, +10 letters in the ranibizumab/deferred laser group, and 0 letters in the triamcinolone/prompt laser group. Subset analyses showed that in pseudophakic eyes at baseline treated with triamcinolone/prompt laser, the mean BCVA change at 24 months was +7 letters, similar to the ranibizumab/prompt laser group.21
Cataract surgeries were performed by 24 months in 12% of the sham/laser group, 12% of the ranibizumab/prompt laser group, 13% of the ranibizumab/deferred laser group, and 55% of the triamcinolone/prompt laser group. IOP was noted to be increased by at least 10 mm Hg from baseline at 24 months in 8% of the sham/laser group, 9% of the ranibizumab/prompt laser group, 6% of the ranibizumab/deferred laser group, and 42% of the triamcinolone/prompt laser group.22
DEXAMETHASONE DRUG-DELIVERY SYSTEM
The Ozurdex sustained-delivery formulation of dexamethasone can be placed in the vitreous cavity by a 22-gauge applicator through a small self-sealing puncture (Figure 5). The implant contains 0.7 mg dexamethasone in the Novadur solid polymer drug-delivery system. It is approved for the treatment of macular edema consequent to RVO and noninfectious uveitis (Figure 6).
Figure 5. The Ozurdex device shown to demonstrate its size (left) and with its 22-gauge applicator (right).
Figure 6. A patient with macular edema before treatment with Ozurdex (left) and after (right).
Two doses of dexamethasone were evaluated in a six-month, phase 2, multicenter, randomized clinical trial.23 The 315 patients in the trial had persistent macular edema due to either diabetic retinopathy (n=172), RVO (n=102), Irvine-Gass syndrome (n=27), or uveitis (n=14). In each patient, one eye was randomized to treatment with 350 µg vs 700 µg vs observation.
Implantation resulted in a statistically significant increase in patients gaining two and three lines or more of visual acuity in a dose-dependent fashion at 90 and 180 days compared with observation (P < .025).="" the="" percentages="" of="" patients="" who="" gained="" two="" or="" more="" lines="" of="" visual="" acuity="" 180="" days="" after="" implantation="" were="" 32.4%="" in="" the="" 700-µg="" group,="" 24.3%="" in="" the="" 350-µg="" group,="" and="" 21%="" in="" the="" observation="" group="">P = .06). The percentages of patients who gained three or more lines of visual acuity 180 days after implantation were 18.1% in the 700-µg group, 14.6% in the 350-µg group, and 7.6% in the observation group (P = .02). The visual acuity improvements achieved with the 700-µg implant were consistent across all subgroups at day 90.
In addition, at the primary endpoint, 2% of the patients who were implanted with the 350-µg and 700-µg doses had an in crease in IOP of 10 mm Hg or more from baseline, compared with 1% of the patients in the observation arm. All were successfully managed with either observation or topical IOP-lowering medications. Cataracts were present in 15% of the 350-µg group, 17.8% of the 700-µg group, and 12.4% of the observation group (P < .001="" vs="">23
Several other studies evaluating the Ozurdex implant for the treatment of DME as monotherapy (pivotal phase 3 trial), in combination with laser, and in postvitrectomized eyes have been performed as well. The results of the pivotal phase 3 trial (MEAD) are not yet available, although recruitment is complete, and full three-year the follow-up is anticipated to be complete by the end of 2012. The results of the Ozurdex plus laser versus laser trial (PLACID) have not yet been formally published, although they have been reported at scientific conferences. This one-year trial, which allowed reinjection of Ozurdex after six months, showed that patients with diffuse DME had better BCVA at 12 months when treated with Ozurdex plus laser vs laser alone.24 The trial in postvitrectomized eyes with persistent DME (the CHAMPLAIN trial) was a 26-week open-label single Ozurdex injection trial. The study showed that 30% of eyes had experienced a two-line improvement in BCVA by 13 weeks, although this effect diminished by the study endpoint of 26 weeks.25
COMPLICATIONS OF OCULAR STEROID THERAPY Raised Intraocular Pressure
A history of chronic open angle glaucoma or family history of glaucoma is a significant risk factor for the development of steroid-induced elevation of IOP. Other patients at risk for developing steroid-induced IOP elevation are high myopes, diabetics, and patients with connective tissue diseases.26
Elevated IOP in association with intravitreal triamcinolone has been reported in several studies.27 One study reported an increase in IOP to greater than 21 mm Hg in 52% of eyes two months after a 25-mg injection.28 How-ever, two other studies of 4-mg injections showed similar incidences of IOP increases over different time periods. Bakri and Beer retrospectively reviewed cases receiving a single dosage of 4 mg. Their study showed an incidence of 48.8% of eyes demonstrating an IOP increase of 5 mm Hg or greater and 27.9% showing an increase in IOP of 10 mm Hg or greater at a mean time of 6.6 weeks.29
Endophthalmitis Associated with Triamcinolone
Infectious and sterile endophthlamitis and pseudoendophthalmitis may all be seen following intravitreal triamcinolone. Moshfeghi and coworkers reported a retrospective, multicenter study in which eight of 922 eyes (0.87%) developed infectious endophthalmitis following intravitreal triamcinolone. One eye had no culture growth but demonstrated intracellular gram-positive cocci with polymorphonuclear cells on Gram stain. The remaining cases were culture-positive with coagulase-negative Staphylococcus (n = 2), Streptobacillus parasanguis (n = 2), Mycobacterium chelonae (n = 1), Streptobacillus species (n = 1), and Streptobacillus intermedius (n=1).30,31
Noninfectious (sterile) endophthalmitis following triamcinolone injections has been described in several studies. This inflammatory reaction may be secondary to a component of the drug formulation or to bacterial toxins that may be present even in sterile solutions.31 Additionally, the triamcinolone crystals themselves may migrate into the anterior chamber, creating a picture of pseudoendophthalmitis.
Cataracts
A recent study by Gillies demonstrated that steroid-related cataracts (especially subcapsular cataracts) are more likely to form in patients who are steroid responders.32
Thompson studied by linear regression analysis the lens scores from lens opacity standards in evaluating 93 eyes with intravitreal injection of 4 mg of triamcinolone. Lens opacities were graded using the Lens Opacity Classification System II (LOCS II) scale. They found that nuclear sclerosis increased at a rate of 0.175 U per year, posterior subcapsular cataracts at 0.423 U per year, and cortical cataracts at 0.045 U per year.33
FUTURE CONSIDERATIONS AND ONGOING STUDIES The STRIDE Study
The prospective, randomized, double-masked STRIDE (Sustained Triamcinolone Release for Inhibition of Diabetic Macular Edema) trial is assessing the safety and tolerability of the I-vation triamcinolone insert in 30 patients. It is made of a nonferrous metal alloy with a unique helical shape to maximize the surface area for drug coating. It can be injected with a 25-gauge needle and anchored suturelessly against the sclera. [Editor’s note: I-vation development is currently on hold.]
New-generation Fluocinolone Device
A second fluocinolone acetonide (FA) sustained-delivery device has been developed. The 25-gauge injectable Iluvien implant delivers approximately 0.2 µg of FA per day for up to three years, does not require sutures, and can be injected in a physician's office (Figure 7). The pivotal phase 3 FAME studies (Figure 8) evaluated 956 subjects with DME. The primary efficacy endpoint was the percentage of subjects with 15-letter improvement at 24 months, which was significant for both pivotal trials (FAME A: 26.8% Iluvien vs 14.7% control, P = .029; FAME B: 30.6% Iluvien vs 17.8% control, P = 0.03).
Figure 7. The Iluvien implant and its applicator
Figure 8. A patient from the FAME study with DME at baseline (left) and at 12 months after treatment with Iluvien.
Cataract surgery was performed by 24 months in 74.9% of phakic eyes treated with Iluvien vs 23.1% of control eyes. IOP was noted to be greater than 30 mm Hg at any time point in 16.3% of Iluvien subjects vs 2.7% of controls at 24 months.34 However, while a 15-letter BCVA improvement in Iluvien vs the control eyes was observed in each trial to 33 months, it was not seen at 36 months.
Prospective subset analysis was performed in subjects with chronic DME for more than 36 months’ duration prior to study enrollment (mean DME duration of study subjects). Subjects treated with Iluvien showed ≥15-letter BCVA improvement from baseline in 31.8% of eyes in Trial A and 36.4% in Trial B at 36 months, compared to 13.6% of control patients in Trial A and 13.2% in Trial B (P = .010 Trial A; P = .004 Trial B). No statistical treatment difference between Iluvien and control was seen in subjects with less than 36 months’ DME duration.35 The FDA did not approve the Iluvien new drug application in a formal letter from late 2011, citing safety concerns.36
In summary, the goals of therapy for DME should be to reduce inflammation, restore blood-retinal barrier patency, and interfere with the production or action of VEGF and other proinflammatory cytokines. Corticosteroids are the one class of agents that acts upon most of the multiple processes in the pathophysiology of macular edema.
However, despite their significant benefits, the primary ocular adverse effects associated with the use of steroids, such as IOP increases and cataracts, are important issues that may limit their use in certain situations. The need for repeated injections may be offset by the use of long-term sustained release implants, most of which are in advanced stages of clinical trials. Once approved, the steroid implants may be extremely beneficial in the management of various retinal diseases. RP
REFERENCES
1. Ferris FL 3rd, Patz A. Macular edema. A complication of diabetic retinopathy. Surv Ophthalmol. 1984;28(Suppl):452-461.
2. Nauck M, Karakiulakis G, Perruchoud AP, Papakonstantinou E, Roth M. Corticosteroids inhibit the expression of the vascular endothelial growth factorgene in human vascular smooth muscle cells. Eur J Pharmacol. 1998;341:309-315.
3. Tamura H, Miyamoto K, Kiryu J, et al. Intravitreal injection of corticosteroid attenuates leukostasis and vascular leakage in experimental diabetic retina. Invest Ophthalmol Vis Sci. Apr;:1440-1444.
4. Felinski EA, Antonetti DA. Glucocorticoid regulation of endothelial cell tight junction gene expression: novel treatments for diabetic retinopathy. Curr Eye Res. 2005;30:949-957.
5. Antonetti DA, Wolpert EB, DeMaio L, Harhaj NS, Scaduto RC Jr. Hydrocortisone decreases retinal endothelial cell water and solute flux coincident with increased content and decreased phosphorylation of occludin. J Neurochem. 2002;80:667-677.
6. Jonas JB, Söfker A. Intraocular injection of crystalline cortisone as adjunctive treatment of diabetic macular edema. Am J Ophthalmol. 2001;132:425-427.
7. Martidis A, Duker JS, Greenberg PB, et al. Intravitreal triamcinolone for refractory diabetic macular edema. Ophthalmology. 2002;109:920-927.
8. Antcliff RJ, Spalton DJ, Stanford MR, Graham EM, Ffytche TJ, Marshall J. Intravitreal triamcinolone for uveitic cystoid macular edema: an optical coherence tomography study. Ophthalmology. 2001;108:765-772.
9. Young S, Larkin G, Branley M, Lightman S. Safety and efficacy of intravitreal triamcinolone for cystoid macular oedema in uveitis. Clin Experiment Ophthalmol. 2001;29:2-6.
10. Danis RP, Ciulla TA, Pratt LM, Anliker W. Intravitreal triamcinolone acetonide in exudative age-related macular degeneration. Retina. 2000;20:244-250.
11. Ciulla TA, Criswell MH, Danis RP, Hill TE. Intravitreal triamcinolone acetonide inhibits choroidal neovascularization in a laser-treated rat model. Arch Ophthalmol. 2001;119:399-404.
12. Zimmerman TJ, ed. Textbook of Ocular Pharmacology. Vol. III. Philadelphia, PA; Lippincott-Raven; 1997:683-684.
13. Beer PM, Bakri SJ, Singh RJ, Liu W, Peters GB 3rd, Miller M. Intraocular concentration and pharmacokinetics of triamcinolone acetonide after a single intravitreal injection. Ophthalmology. 2003;110:681-686.
14. Driot JY, Novack GD, Rittenhouse KD, Milazzo C, Pearson PA. Ocular pharmacokinetics of fluocinolone acetonide after Retisert intravitreal implantation in rabbits over a 1-year period. J Ocul Pharmacol Ther. 2004;20:269-275.
15. Jonas JB, Degenring RF, Kamppeter BA, Kreissig I, Akkoyun I. Duration of the effect of intravitreal triamcinolone acetonide as treatment for diffuse diabetic macular edema. Am J Ophthalmol. 2004;138:158-160.
16. Ciardella AP, Klancnik J, Schiff W, Barile G, Langton K, Chang S. Intravitreal triamcinolone for the treatment of refractory diabetic macular oedema with hard exudates: an optical coherence tomography study. Br J Ophthalmol. 2004; 88:1131-1136.
17. Audren F, Erginay A, Haouchine B, et al. Intravitreal triamcinolone acetonide for diffuse diabetic macular oedema: 6-month results of a prospective controlled trial. Acta Ophthalmol Scand. 2006;84:624-630.
18. Audren F, Tod M, Massin P, et al. Pharmacokinetic-pharmacodynamic modeling of the effect of triamcinolone acetonide on central macular thickness in patients with diabetic macular edema. Invest Ophthalmol Vis Sci. 2004;45:3435-3441.
19. Jonas JB, Kamppeter BA, Harder B, Vossmerbaeumer U, Sauder G, Spandau UH. Intravitreal triamcinolone acetonide for diabetic macular edema: a prospective, randomized study. J Ocul Pharmacol Ther. 2006;22:200-207.
20. Diabetic Retinopathy Clinical Research Network. A randomized trial comparing intravitreal triamcinolone acetonide and focal/grid photocoagulation for diabetic macular edema. Ophthalmology. 2008;115:1447-1449.
21. Elman MJ, Bressler NM, Qin H, et al. Expanded 2-year follow-up of ranibizumab plus prompt or deferred laser or triamcinolone plus prompt laser for diabetic macular edema. Ophthalmology. 2011;118:609-614.
22. Diabetic Retinopathy Clinical Research Network; Elman MJ, Aiello LP, Beck RW, et al. Randomized trial evaluating ranibizumab plus prompt or deferred laser or triamcinolone plus prompt laser for diabetic macular edema. Ophthalmology. 2010;117:1064-1077.e35
23. Kuppermann BD, Blumenkranz MS, Haller JA, et al.; Dexamethasone DDS Phase II Study Group. Randomized controlled study of an intravitreous dexamethasone drug delivery system in patients with persistent macular edema. Arch Ophthalmol. 2007;125:309-317.
24. Loewenstein A. Update on corticosteroids for treatment of DME. Retin Today. 2011 July/August:68-71.
25. Boyer DS, Faber D, Gupta S, et al.; Ozurdex CHAMPLAIN Study Group. Dexamethasone intravitreal implant for treatment of diabetic macular edema in vitrectomized patients. Retina. 2011;31:915-923.
26. Bakri SJ, Beer PM. The effect of intravitreal triamcinolone acetonide on intraocular pressure. Ophthalmic Surg Lasers Imaging. 2003;34:386-390.
27. Gaston H, Absolon MJ, Thurtle OA, Sattar MA. Steroid responsiveness in connective tissue diseases. Br J Ophthalmol. 1983;67:487-490.
28. Podos SM, Becker B, Morton WR. High myopia and primary open-angle glaucoma. Am J Ophthalmol. 1966;62:1038-1043.
29. Jonas JB. Intravitreal triamcinolone acetonide: a change in a paradigm. Ophthalmic Res. 2006;38:218-245.
30. Moshfeghi AA, Flynn HW Jr. Complications of IVTA injection. Rev Ophthalmol. 2004;4: 64-67.
31. Moshfeghi DM, Kaiser PK, Scott IU, et al. Acute endophthalmitis following intravitreal triamcinolone acetonide injection. Am J Ophthalmol. 2003;136:791-796.
32. Gillies MC, Kuzniarz M, Craig J, Ball M, Luo W, Simpson JM. Intravitreal triamcinolone-induced elevated intraocular pressure is associated with the development of posterior subcapsular cataract. Ophthalmology. 2005;112: 139-143.
33. Thompson JT. Cataract formation and other complications of intravitreal triamcinolone for macular edema. Am J Ophthalmol. 2006;141:629-637.
34. Psivida Corp. Form 8-K report to the United States Securities and Exchange Commission. September 12, 2011. Available at: http://yahoo.brand.edgaronline.com/EFX_dll/EDGARpro.dll?FetchFilingHtmlSection1?SectionID=8143434-923-5153&SessionID=PjbXFq0H3PB4S47 Accessed February 10, 2012.
35. Alimera Sciences. Alimera Sciences Highlights 36-Month FAME™ Study Data on ILUVIEN® at AAO 2011 Annual Meeting. Available at: http://investor.alimerasciences.com/releasedetail.cfm?ReleaseID=614039 Accessed February 10, 2012.
36. Alimera Sciences. Alimera Sciences Receives Complete Response Letter From FDA for ILUVIEN®. Available at: http://investor.alimerasciences.com/releasedetail.cfm?ReleaseID=623128 Accessed February 10, 2012.







