Applying Ultra-Widefield Angiography in Diabetes and Other Inflammatory Diseases
Exploring how the technology can be used to manage patients with macular edema, uveitis and retinitis
Dr. Hariprasad: Dr. Kiss has done some of the best research investigating the use of ultra-widefield fundus fluorescein angiography (UWFFA) in diabetic retinopathy and diabetic macular edema (DME) and more of his research is in press. I would like to start this part of the discussion by asking him whether peripheral retinal nonperfusion is correlated with macular edema in treatment-naïve eyes in patients with diabetic retinopathy. Also, what are the implications for diagnosis, follow-up and treatment of these patients?
Dr. Kiss: Nearly 80% of my patients have diabetes, and I can’t imagine examining them, even on their initial visit, especially in the setting of a high hemoglobin A1c, without performing UWFFA. It changes how I follow them. For example, I’m often surprised by the amount of nonperfusion/ischemia demonstrated by UWFFA in a newly diagnosed patient with an HbA1c of 10. Often, in these patients I did see much more than some microaneurysm and capillary dropout on the fundus exam (Figures 1 and 2). One has to imagine that the disease burden is much greater in such a patient compared to a patient who has the same HbA1c but not as much nonperfusion/ischemia in the periphery. That in itself prompts me to see that patient again sooner. Patient education is important in these cases. I show how a normal eye looks on an angiogram compared to their eye. I explain the problems I’m seeing in the eye are representative of what is going on in their heart, kidneys and brain. The UWFFA has a big effect on the way I follow my patients and on the whole equation of everything else that’s going on with them.
Figure 1. Fluorescein angiogram of diabetic patient with traditional seven fields.
Figure 2. Optos ultra-widefield imaging of the same patient reveals significantly more disease burden with large areas of peripheral ischemia/non-perfusion and areas of neovascularization.
In terms of treatment, I’ve started performing some targeted retinal photocoagulation (TRP). The jury is still out on whether TRP will benefit either macular edema or proliferative disease, but without the ability to see into the periphery, I wouldn’t even be able to offer this treatment.
Among the treatment-naïve diabetic patients we studied, those who had peripheral ischemia were more likely to have macular edema than those who did not have peripheral ischemia. If our findings are repeated in studies at other centers, then the way we think about the disease may be altered.
Dr. Kitchens: Could the ischemia be just a signal of the severity of the disease?
Dr. Kiss: You’re absolutely right. That’s one possible explanation. As we discussed previously, that’s where the studies of the treatment will be crucial. When we treat the periphery with TRP, does the macular edema go away? If the peripheral ischemia is only a sign of disease severity, then maybe not. The severity will still be there. On the other hand, if inflammatory or other signals are being sent out from those diseased peripheral areas, one would imagine that would have some effect on the posterior pole.
We have an analogy to that in retinal vein occlusion (RVO). When we do UWFFA on some RVO patients who are dependent on anti-VEGF therapy for the treatment of macular edema, we see that an occlusion initially thought to be limited actually has a larger associated peripheral ischemia.
Dr. Hariprasad: With regard to Dr. Kitchen’s comment, we’re finding, and this is a very preliminary conclusion, that patients who have had more panretinal photocoagulation (PRP) may have had fewer treatments for clinically significant DME. We are trying to figure out the best way to look at this data.
How do you use UWFFA in the management of diabetic retinopathy patients?
Dr. MacCumber: It’s my routine form of fluorescein angiography. It provides a wealth of information. We pick up things we would not have picked up without it. UWFFA has clearly changed my patient management and has helped preserve vision for my patients because we can treat before they get into trouble.
Dr. Hariprasad: So you’re treating patients earlier based on UWFFA. Are you treating with TRP?
Dr. MacCumber: I have done some angiography-guided treatment to try to limit field loss in patients. Again, we need clinical trials to learn how best to use it and whether it is appropriate for all patients.
Dr. Kiss: Paul Tornambe, MD, who also believes peripheral areas of nonperfusion/ischemia are associated with DME, and Ivan Suner, MD, are currently conducting research in this area. Dr. Tornambe has reported promising results from treating DME by directing PRP to peripheral areas of poor perfusion.5 Dr. Suner is exploring the effectiveness of ranibizumab and peripheral scatter laser for DME6 and RVO as well.7
Dr. Kitchens: It’s worth mentioning that even though anti- VEGF treatment has been shown in many studies to have great efficacy against DME, it is not a one-size-fits-all scenario. Some patients don’t respond. Maybe they would be better off treated initially with laser or intravitreal steroids, depending on their situation. The Optos 200Tx provides me with more information for deciding how to treat someone with clinically significant edema. I start the majority on anti-VEGF therapy, but still have the occasional patient who is pseudophakic or lives far from the office that I might treat with steroids, which may be a more durable option, based on what I am seeing on the Optos exam.
RETINAL VEIN OCCLUSION WITH MACULAR EDEMA
Dr. Hariprasad: How do you use UWFFA in patients with RVO and macular edema?
Dr. MacCumber: Just like in diabetes, it’s my standard. I can appreciate many more areas of nonperfusion. I know the extent of the disease, which I may not otherwise. What we can now see may guide us in deciding whether to place scatter laser treatment or how to use anti-VEGF agents. We’re no longer considering just treating the macular edema; the areas of nonperfusion in the periphery come into play as well. Perhaps we can help preserve retina by treating earlier. I think the BRAVO and CRUISE studies suggested that anti-VEGF treatment helps prevent conversion from a perfused to a nonperfused state. Therefore, we may change the course of the disease by using anti-VEGF therapy, and widefield angiography is really the way to follow that.
UVEITIS
Dr. Kiss: My philosophy for treatment of posterior uveitis is zero tolerance for any inflammation. I honestly don’t know how you could prove there is zero inflammation without using UWFFA. Some of the patients that were initially referred to me when I joined Weill Cornell would periodically need to be treated with topical steroid drops for recurrent anterior inflammation. On UWFFA, we would see the peripheral vessels lighting up, indicating a persistent posterior inflammation that was inadequately controlled. So the topical treatment was controlling what we were able to see on clinical exam, but the real problem was actually somewhere else. Therefore, they would require sub-Tenon’s or intravitreal steroids or even long-term immunosuppression to control that inflammation. It would be much more difficult to adequately determine whether uveitis is anterior, posterior or intermediate and follow response to treatment in these patients without UWFFA. I know we did in the past, but I’ve become dependent on UWFAA now.
Dr. Hariprasad: What does ultra-widefield autofluorescence tell us about uveitis?
Dr. Kiss: I don’t have as much experience with autofluorescence as of yet, but we definitely see peripheral abnormalities in patients with white dot syndromes. We are working toward a better understanding of disease burden and just how far and how disparate those white dots are on exam, color photo, fluorescein angiography, indocyanine green angiography and now autofluorescence. I don’t know exactly how this might affect my treatment choices, but in terms of posterior uveitis the information is critical.
Dr. Kitchens: In histoplasmosis, ultra-widefield autofluorescence shows much more widespread defects than we see on clinical exam, hundreds of spots compared with 25 or 30, and they’re not active. It makes me think that it’s a much more diffuse disease than anticipated.
CMV RETINITIS
Dr. Hariprasad: How does the Optos 200Tx compare with traditional imaging platforms in the setting of cytomegalovirus retinitis (CMV)?
Dr. MacCumber: Prior to advances in HIV treatment, I saw quite a bit of CMV retinitis in my practice. Key to following those patients at that time was to use photography to detect progression at the border of the lesion. When we compared standard photography with Optos ultra-widefield color photography, we found with Optos we were able to visualize larger areas of retina and more areas of diseased retina and follow it better. Thank goodness those days are behind us for most patients, but our experience illustrated the usefulness of ultra-widefield technology for following peripheral disease in uveitis.
Dr. Kiss: I recently saw a patient whose CD4 count had been zero at his visit 3 months previously. He came back with a visual field cut. His CD4 count was still zero, and it was obvious on exam that he had rapidly progressing CMV retinitis. The first thing I did was look at his old UWFFA to see if we had missed anything. I was confident we had not, which was true. For 200º, he didn’t have any evidence of retinitis. Having the UWFFA images on the patients who are at higher risk for infection is reassuring for both me and them. It’s useful from the medical liability aspect, too. We can document well on our clinical exam forms, but a picture is worth a thousand words.
RETINAL DETACHMENT
Dr. Kitchens: I find the Optos images useful for documenting retinal detachments before taking patients to the operating room. Sometimes the acuity outcomes are not the best for patients with bad tractional or macula-off detachments. The pictures are helpful for explaining to patients the severity of their disease and to go back to show what their eye looked like prior to surgery.
Dr. MacCumber: Speaking of retinal detachment, certainly the Optos technology is useful for less experienced observers of the posterior segment, general ophthalmologists and optometrists, to pick up details they may have missed. However, we should emphasize, it does not pick up everything. Although it shows up to 200º of the retina, that still isn’t the entire retina. Symptomatic patients, with posterior vitreous detachment for example, should have a depressed peripheral exam as well.
Dr. Hariprasad: Absolutely, and as an aside, the images of peripheral horseshoe tears the Optos technology can capture are beautiful.
SICKLE CELL DISEASE
Dr. Hariprasad: When I image my patients who have sickle cell disease with the Optos device, I capture characteristics, such as fronds lighting up, that I’ve never seen with traditional montage photography.
Dr. Kiss: We recently had a manuscript published on sickle cell retinopathy.8 The purpose was similar to our other ultra-widefield studies. We wanted to see beyond the “wow factor” to help us determine the “so what” factor of the technology. In all but one eye, ultra-widefield photographs detected peripheral vascular changes that may have been missed with traditional photographs. UWFFA also enhanced our ability to see peripheral vascular remodeling, which in turn can help us to identify high-risk characteristics for proliferative sickle cell retinopathy
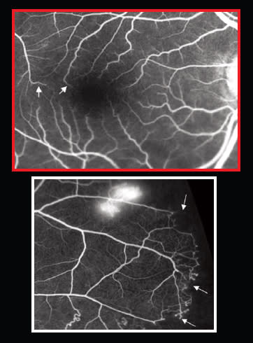
I would like to point out that we can also see the macula with good detail in these patients with sickle cell (Figure 3). The typical right angle venules are clearly visible. Better yet, they’re in the same shot with areas of PRP, areas of neovascularization and the vascular remodeling (Figure 4).
Figure 3. Patient with proliferative sickle cell retinopathy. Nasal areas of ischemia and neovascularization (white box) are noted in the same shot as the right angle vessels in the macula (red box).
Figure 4. Enlargement of the macula (red) shows nicely the foveal avascular zone as well as the right angle vessels (arrows). An enlargement of the periphery (white) demonstrates the areas of vascular remodeling (arrows) and neovascularization.
POTENTIAL BENEFITS OF TARGETED RETINAL PHOTOCOAGULATION
Dr. Hariprasad: Of course, we need prospective clinical trials to draw conclusions about changes in treatment strategies and outcomes given the availability of UWFFA, but do you think we are heading toward TRP? As we all know, in the landmark Diabetic Retinopathy Study 10% of patients experienced a decline in visual acuity and 5% percent showed a constriction in their visual fields after PRP laser.9 So full-scatter PRP may exacerbate macular edema and cause loss of vision. Can we induce less reactive macular edema by using TRP?
Dr. Kitchens: Yes, in the select patient who has a defined area of nonperfusion with associated neovascularization, TRP is more efficient. Patient tolerance is much higher, and it seems the side effects, such as macular edema and visual field loss, are lower. In that type of case, TRP is a very reasonable approach to consider.
Dr. MacCumber: TRP has a lot of potential to reduce patients’ morbidity under treatment, and it is an excellent area for research. We should apply it cautiously and follow the patients to make sure we’re not missing disease progression. UWFFA is a great way to follow patients, but ultimately we will need clinical trials to firmly establish the TRP approach.
Dr. Hariprasad: Theoretically, can TRP decrease dependence on anti-VEGF therapy in the setting of DME and RVO and macular edema?
Dr. Kitchens: I have been somewhat underwhelmed by what I’ve seen response-wise. I think with central RVO and DME with substantial peripheral nonperfusion it is difficult to apply enough laser in patients who may have had the edema or may have had vascular damage from the event. However, in branch RVO, TRP may not eliminate dependence on anti-VEGF therapy, but it may reduce it. I have seen that happen for some of my branch RVO patients.
|
When I image my patients who have sickle cell disease with the Optos device, I capture characteristics, such as fronds lighting up, that I’ve never seen with traditional montage photography. — Seenu M. Hariprasad, MD |
Dr. MacCumber: TRP is a good idea for patients who have undergone vitrectomy, which renders intravitreal injections less effective because they clear the eye faster. Peripheral laser may be something that can prolong the effect of those approaches.
Dr. Kiss: I think what will be realized is a balance between a laser procedure that may be more permanent and the repeated need for anti-VEGF injections. The big question is, if we get results like we have been seeing in terms of regression of neovascularization, if we continue to inject, what is the endpoint? Consider the 46-year-old who has 30 more years to live. Having him come in every month for an injection is not sustainable. We need way to treat our patients with diabetes and RVO with combination therapy that maximizes outcomes and minimizes their burden.
Dr. Hariprasad: The results of ongoing research and hopefully future clinical trials will determine whether ultra-widefield retinal imaging earns a place in standards of care. Certainly, any technological innovation has greater value if it adds to our understanding of diseases. All of us who participated in this discussion believe that the preliminary data that has been generated on UWFFA suggests that it deserves serious consideration as a technology on the cusp of changing the way we think about retinal disease. This is particularly relevant regarding emerging insights in the realm of peripheral nonperfusion/ischemia associated with macular edema.
With further research and understanding, it’s hoped that this new technology, along with ongoing improvements in more traditional technologies, may improve treatment paradigms and ultimately patient outcomes. RP







