Endoillumination-assisted Scleral Buckling: A New Approach to Retinal Detachment Repair
Pradeep Venkatesh, MD, DNB, MNAMS • Satpal Garg, MD
Over the last decade and a half, primary vitreous surgery has been advocated for certain patients with primary rhegmatogenous retinal detachment instead of scleral buckling. This is despite the known sequelae of primary vitreoretinal surgery. One of the difficulties of scleral buckling is that it depends on excellent indirect ophthalmoscopy skills and cannot be performed completely under the surgical microscope. Herein we describe a new approach that enables all steps of conventional buckling surgery to be performed under the surgical microscope.
Primary rhegmatogenous retinal detachment is usually managed either by conventional scleral buckling, pneumatic retinopexy, pars plana vitrectomy or a combination of these procedures.1-3 Vitrectomy was initially advocated for patients with complex retinal detachments such as giant retinal tears or higher grades of proliferative vitreoretinopathy (PVR). With increasing experience and advances in surgical instrumentation, vitrectomy is now being used more frequently in the primary management of retinal detachments. Other factors towards this trend include lesser emphasis on teaching the “art of buckling,” medical insurance issues and market forces.5
| Pradeep Venkatesh, MD, DNB, MNAMS, and Satpal Garg, MD, are professors of ophthalmology at the Dr. Rajendra Prasad Centre for Ophthalmic Sciences of the All India Institute of Medical Sciences in New Delhi. Neither author reports any financial interest in any products mentioned here. Dr. Venkatesh can be reached at venkyprao@yahoo.com. |
The success of conventional scleral buckling surgery depends on accurate localization of retinal break(s) and subsequent closure, using a buckle sutured to the scleral surface. 4Accurate localization of retinal breaks during surgery is highly dependent on the skill of the surgeon with indirect ophthalmoscopy. Indirect ophthalmoscopic localization of the retinal break(s) during buckling surgery is often considered tedious. This is because surgeons have to move around the operating table with the indirect ophthalmoscope mounted to their head. Moving from the operating microscope over and over tends to make the surgery more cumbersome [Editor’s note: many surgeons do not use an operating microscope to perform scleral buckle surgery.]
Localization of retinal break(s) is also dependent on the clarity of the view to the retinal periphery. Factors that limit visualization are a nondilating pupil, posterior capsular opacification, mild vitreous hemorrhage and opacities in the crystalline lens. Localization of a retinal tear may also be difficult in the presence of a bullous retinal detachment. In such situations, the current approach to manage the retinal detachment is pars plana vitrectomy.
Vitrectomy has the theoretical advantage that it decreases the risk of missing any retinal breaks in these difficult situations because of the endoillumination and wide-angle viewing systems used during the surgery. However, standard three-port vitreous surgery also carries with it disadvantages such as progression of cataract, creation of iatrogenic tears, placement of long-acting vitreous substitutes like intraocular gas or silicone oil, silicone oil–induced glaucoma and silicone oil–induced keratopathy.6 Even in the case of a successful surgery, the visual rehabilitation time following VR surgery is more prolonged than following scleral buckling surgery. However, vitrectomy does not induce astigmatism or cause diplopia and will not cause extrusion like a buckle.
ADVANTAGES OF A NEW APPROACH
To overcome the above disadvantages of a complete vitrectomy in patients with retinal detachment, we have been performing scleral buckling surgery with the use of endoillumination. At no time during the surgery was the use of an indirect ophthalmoscope necessary.
In our technique, visualization is achieved using a selfretaining endoilluminator and wide-angle viewing lens. Technological advances have enabled the production of powerful small-gauge (23-g/25-g/27-g) light sources for endoillumination.7 These endoilluminators are self-retaining and can be placed at any desired location through the pars plana. We use the Awh 25-g self-retaining endoilluminator connected to a photon (Synergetics) light source. Combined with a wide-angle viewing lens, visualization of the retina up to the ora serrata is possible.8,9
Scleral indentation can be performed by the surgeon while sitting at the microscope without having to wear an indirect ophthalmoscope or move the operating microscope. Visualization is excellent using this technique, even in the presence of nondilating pupil, posterior capsular opacification or early cataract. We use the Volk ROLS system for wide-angle viewing.
With this approach, it is not only possible to precisely locate all the retinal breaks while seated at the microscope, but also to undertake cryopexy of the breaks, drainage of subretinal fluid at a site wherein the height of detachment is maximum, and titration of the buckle height to achieve an ideal buckle-break relationship. The self-retaining endoilluminator can easily be removed at the end of the procedure. The site at which the endoilluminator was placed may need to be closed with a single stitch in some patients. Figure 1 highlights the surgical steps. Figure 2 shows preoperative and postoperative fundus pictures of a patient with retinal detachment repaired successfully with this technique.
Figure 1 (A-D). After a 360º peritomy and passing of bridle sutures across all the recti muscles, a 4-mm mark is made using a caliper (A). A 23-g trocar is passed into the vitreous cavity at the preplaced mark (B) and then removed. Through this sclerotomy, a 23-g self-retaining endoilluminator is placed into the vitreous cavity (C and D).
Figure 1 (E-H). Figure 1E shows the intense internal illumination obtained after switching on the endoilluminator and switching off the microscope light. Vis co elastic is injected over the corneal surface (F), and a wide-angle lens is held in position (G). The inverter is activated, the microscope height is adjusted to obtain internal visualization of the retinal details, and indentation commences (H).
Figure 1 (I-L). The cryo probe is adjusted so that the break is located at the apex of the indentation (I). Subsequent images show beginning of the cryo reaction (J), the completion of cryo (K) and the fading reaction during the thawing of the probe (L).
Figure 1 M-N. The endoilluminator is removed (M) using a forceps and the site is covered with a Betadine-soaked swab for several seconds. Figure 1N shows appearance of the sclerotomy after removal of the endoilluminator.
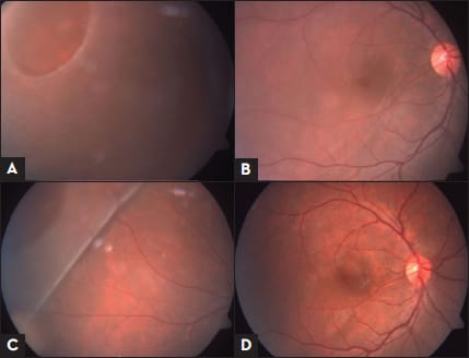
Figure 2 A-D. Preoperative images of a shallow, macula-off detachment (A) caused by a superotemporal break (B). One week after endoillumination-assisted surgery, the break is well supported by the buckle (C) and the retina is attached (D).
Thus, this new approach combines the advantages of the enhanced visualization provided by endoillumination and wide-angle viewing systems with the safety and simplicity of conventional scleral buckling surgery. This is likely to improve surgical results especially in eyes with poor visualization of the retinal periphery. The technique allows every step of conventional buckling surgery to be performed entirely under the microscope. It re moves one of the perceived disadvantages of the current approach — using an indirect ophthalmoscope to view the retina and localize and cryo the break and for drainage of subretinal fluid. This technique may gain wider acceptance.
We have used this procedure now in 14 eyes with simple rhegmatogenous retinal detachment. Successful anatomical attachment of the retina was achieved in all but one patient. No complications were encountered during surgery and the postoperative course remained uneventful. RP
REFERENCES
1. Lincoff H, Kreissig I. The treatment of retinal detachment without drainage of subretinal fluid (modifications of the Custodis procedure, Part VI). Trans Am Acad Ophthalmol Otolaryngol. 1972;76:1221-1232.
2. Hilton GF, Grizzard WS. Pneumatic retinopexy. A two step outpatient operation without conjunctival incision. Ophthalmology. 1986;93:626-641.
3. Machmer R, Beuttner H, Norton EWD, Parel M. Vitrectomy: A pars plana approach. Trans Am Acad Ophthalmol Otolaryngol. 1971;75:813-820.
4. Lincoff H, Gieser R. Finding the retinal hole. Arch Ophthalmol. 1971; 85:565-569.
5. Lincoff H, Kressig I. Changing patterns in the surgery for retinal detachment: 1929 to 2000. Klin Monatsbl Augenheilkd. 2000;216:352-359.
6. Heimann H, Schmidt KUB, Bornfeld N, Weiss C, Hilders RD, et al. Scleral buckling versus primary vitrectomy in rhegmatogenous retinal detachment. A prospective randomized multicenter clinical study. Ophthalmology. 2007; 114:2142-2154.
7. Chow DR. Shedding some light on current endoillumination. Retin Physician. 2005;2(1):37-39.
8. Bovey EH, Gonvers M. A new device for noncontact wide angle viewing of the fundus during vitrectomy. Arch Ophthalmol. 1995;113:1572-1573.
9. Nakata K, Ohji M, Ikuno Y, et al. Wide angle viewing lens for vitrectomy. Am J Ophthalmol. 2004;137:760-762.







