Case Study
Pseudoexfoliation and the Vitreoretinal Surgeon
A case report highlights the growing importance of effective intervention.
Ryan F. Isom, MD • Harry W. Flynn Jr., MD • Jared L. Matthews, MD
Pseudoexfoliation (PEX) presents several challenges for cataract surgeons and vitreoretinal specialists intraoperatively and postoperatively. The hallmark of PEX is the pathologic accumulation of abnormal fibrillar extracellular material in anterior-segment tissues.
Cataract surgery is often complicated by poor dilation and weakened zonules (Table 1). Zonular fragility has been associated with a three- to 10-fold increased risk of zonular rupture and lens dislocation and an approximately five-fold increased risk of vitreous loss.1
| Table 1. Clinical Features of Pseudoexfoliation |
|---|
| • White pseudoexfoliative material on pupillary margin, anterior lens capsule and zonules |
| • Phacodynesis (zonular laxity) |
| • Poor pupillary dilation |
| • Peripupillary transillumination and pigmentary atrophy |
| • Increased trabecular meshwork pigment |
| • Pigment anterior to Schwalbe's line (Sampaolesi's line) |
| • Glaucoma |
| • Nuclear sclerotic cataract |
Reported rates of dislocated posterior-chamber intraocular lenses (PCIOLs) range from 0.2% to 2%.2,3 Pseudoexfoliation has been shown to be a significant risk factor for late IOL dislocation, especially for in-the-bag dislocations.4 In a recent retrospective study, pseudoexfoliation was found in 26% of IOL dislocations or decentrations.5
CASE REPORT
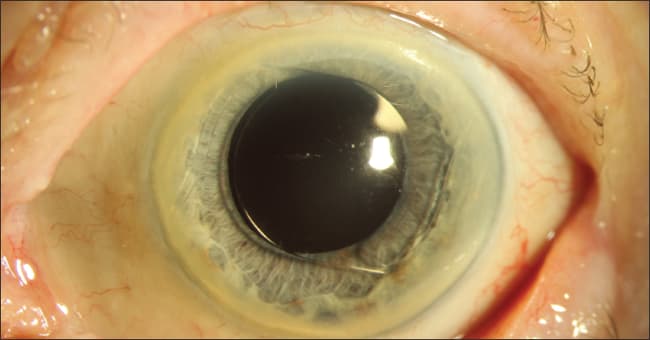
A 91-year-old woman was referred for a dislocated IOL in her left eye. The patient had undergone uncomplicated cataract extraction four years earlier, followed by a YAG laser capsulotomy three months later. There was no evidence of glaucoma on exam. She had recently noted worsening of her vision for the previous two months. A YAG laser capsulotomy was performed because of opacity in the visual axis. The patient reported moderately improved vision that lasted for a few days and then worsened. At her follow-up appointment, she was referred for management of a dislocated IOL (Figure 1).
Figure 1. The left eye on presentation showed pseudoexfoliative material at the pupil border with an in-the-bag intraocular lens subluxation.
| Ryan F. Isom, MD, is a retina fellow at the Bascom Palmer Eye Institute in Miami. Harry W. Flynn, Jr., MD, is professor and J. Donald M. Gass Distinguished Chair of Ophthalmology at Bascom Palmer. Jared L. Matthews, MD, is a fellow in pathology at Bascom Palmer. Drs. Isom and Matthews do not report any financial interest in any products mentioned in this article. Dr. Flynn reports moderate financial interest in Alcon, Allergan, Alimera, Pfizer and Santen. Dr. Isom can be reached via e-mail at risom@med.miami.edu. |
On presentation, her visual acuity was 20/25 in her right eye and 20/100 in her left eye. Intraocular pressures were 13 and 15 mm Hg. The slit lamp examination showed a nuclear sclerotic cataract in the right eye with evidence of pseudoexfoliation material on the pupillary border. The left eye showed similar pupillary border pseudoexfoliation material and iris transillumination defects with a subluxated IOL in the capsular bag with zonular dehiscence (Figure 2). The posterior pole examination was within normal limits.
Figure 2. The left eye on presentation had the pseudoexfoliative material at the pupillary border. Retroillumination demonstrated iris thinning at the pupil and the decentered in-the-bag lens.
The patient underwent 23-gauge pars plana vitrectomy with removal of the dislocated lens and lens capsule through a scleral tunnel and placement of an anterior-chamber IOL. Her best-corrected visual acuity was 20/20 postoperatively, with an IOP of 14 mm Hg (Figure 3). Examination of the lens capsule and IOL by the Ocular Pathology Department showed evidence of PAS-positive acellular material on the outer aspect of the lens capsule, consistent with pseudoexfoliation material (Figure 4).
Figure 3. The left eye postoperatively showed an anterior-chamber intraocular lens with inferior peripheral iridectomy.
Figure 4. A pathology slide demonstrated PAS-positive acellular material on the outer aspect of the lens capsule, consistent with pseudoexfoliation material.
DISCUSSION
Pseudoexfoliation is a known risk factor for complications with cataracts, especially involving in-the-bag decentrations and dislocations. The treatment options for displaced IOLs include observation, medical therapy (pharmacologic miosis), placement of a second IOL and repositioning, removing or exchanging the IOL.6,7 Although the ideal surgical management is debatable, surgeons may select the most appropriate method for each patient based on their individual clinical features.
Due to the age of this patient, concern for possible complications (suprachoroidal hemorrhage) and the need to remove the entire capsular bag, an IOL exchange with placement of an ACIOL was chosen, which has been shown to have similar outcomes to other methods.5
Due to the aging population, more advanced stages of PXE and its accompanying ocular complications are likely to be encountered in all fields of ophthalmology. For the vitreoretinal surgeon, the wide array of surgical options for dislocated IOLs allows for the customization of an optimal approach for each patient.
REFERENCES
1. Schlötzer-Schrehardt U, Naumann GO. Ocular and systemic pseudoexfoliation syndrome. Am J Ophthalmol. 2006;141:921-937.
2. Smith SG, Lindstrom RL. Malpositioned posterior chamber lenses: etiology, prevention, and management. J Am Intraocular Implant Soc. 1985;11:584-591.
3. Leaming DV. Practice styles and preferences of ASCRS members—1998 survey. J Cataract Refract Surg. 1999;25:851-859.
4. Pueringer SL, Hodge DO, Erie JC. Risk of late intraocular lens dislocation after cataract surgery, 1980-2009: a population-based study. Am J Ophthalmol. 2011;152:618-623.
5. Jin GJ, Crandall AS, Jones JJ. Changing indications for and improving outcomes of intraocular lens exchange. Am J Ophthalmol. 2005;140:688-694.
6. Gross JG, Kokame GT, Weinberg DV; Dislocated In-the-Bag Intraocular Lens Study Group. In-the-bag intraocular lens dislocation. Am J Ophthalmol. 2004;137:630-635.
7. Mello MO Jr, Scott IU, Smiddy WE, Flynn HW Jr, Feuer W. Surgical management and outcomes of dislocated intraocular lenses. Ophthalmology. 2000;107:62-67.







