Early Vitrectomy for DME: What Makes It a Viable Treatment?
Sometimes vitrectomy can be the first-line treatment. Part 2 of 2.
MAURICE B. LANDERS, III, MD · VERONICA A. KON GRAVERSEN, MD · MICHAEL W. STEWART, MD
| Maurice B. Landers, III, MD, is on the faculty and Veronica A. Kon Graversen, MD, is a resident in the Department of Ophthalmology at the University of North Carolina School of Medicine in Chapel Hill. Michael W. Stewart, MD, is chair of the Department of Ophthalmology at the Mayo Clinic in Jacksonville, FL. None of the authors reports any financial interests in any products mentioned in this article. Dr. Landers can be reached via e-mail at reecelanders@gmail.com. |
As noted in the first part of this series, early vitrectomy can be valuable in diabetic macular edema. The value of early vitrectomy for DME becomes increasingly evident when one critically analyzes the efficacy, safety, and cost-effectiveness of currently employed DME therapies (laser photocoagulation, intraocular corticosteroids, and VEGF inhibitors). Taking all of these factors into consideration, early vitrectomy compares favorably with any or all of these other treatments.
OUTCOMES WITH OTHER TREATMENTS
For more than three decades, we considered laser photocoagulation of the macula as the standard of care for the treatment of DME (Figure 1). Photocoagulation performed according to the Early Treatment of Diabetic Retinopathy Study (ETDRS) guidelines decreased the three-year risk of moderate vision loss (more than 15 letters) from 24% to 12%. Unfortunately, the chance of a significant improvement in vision was quite small.1
Recent trials comparing laser photocoagulation to intraocular injections of corticosteroids and anti-VEGF drugs resulted in vision gains of only −4 to +3 letters, combined with laser monotherapy.2-4
Improving vision in diabetic retinopathy patients with macular edema and subretinal fluid depends heavily upon thinning of the macula. Following laser photocoagulation, thinning of the macula occurs slowly, but significant improvements can be seen at both one year (−48 μm to −61 μm) and two years (−130 μm to −140 μm).
To achieve these results, half the patients required additional laser treatments during the second year because of recurrent or persistent edema. The two-year results showed that laser photocoagulation produced macular thinning comparable to that achieved with anti-VEGF drugs, although the improvements in VA were inferior to anti-VEGF agents.2
Moreover, the performance of macular laser photocoagulation in eyes already receiving anti-VEGF therapy did not result in additional gains in vision.
The Biology of DME
We can use the lessons learned from laser photocoagulation to explain the ability of vitrectomy to achieve rapid and profound thinning of the retina, even though the exact mechanism by which laser thins the macula is not completely understood.
The vast majority of oxygen consumption in the retina occurs in the outer segment mitochondria. Killing them with the thermal laser stops this oxygen consumption.5-6
However, because the choriocapillaris does not autoregulate in response to local PO2 levels (unlike the retinal vessels, which do autoregulate),7 the same amount of choroidal blood and oxygen arrives at the lasered area as at the nonlasered areas. But because fewer mitochondria are in the lasered area, the oxygen from the choroid diffuses inward past the “dead” outer retina to the inner retina, where it raises the (low) local PO2.8
Increased oxygen tension counteracts the diabetes-induced retinal hypoxia responsible for VEGF upregulation and blood-retinal barrier breakdown, decreasing exudation from the retinal capillaries and resolving DME.
Additional evidence supporting the positive effects of higher oxygen tensions comes from the ability of supplemental oxygen administration by nasal cannula to resolve macular edema.9
Vitrectomy increases the oxygen concentration at the inner retinal surface by improving bulk flow of oxygen-rich aqueous from the highly vascularized iris and ciliary body to the posterior pole.8
Hence, improved oxygen tension in the inner retina is a potent way to decrease macular edema by downregulating VEGF production.10 This is a result common to laser photocoagulation, supplemental oxygen administration, and also vitrectomy.
Figure 1. Fundus photograph (left) of the left eye from a patient with severe NPDR and cynically significant macular edema. Late-phase fluorescence angiography (right) showed macular leakage with a petalloid pattern.
IMAGES FROM ZUR D, LOEWENSTEIN, A. COMBINATION THERAPY FOR DIABETIC MACULAR EDEMA. J OPHTHALMOL. 2012;484612, COURTESY OF HIN DAW I PUBLISHING CORP.
Issues With Steroids
Intraocular triamcinolone injections rapidly resolve macular edema and improve visual acuity, with effects seen within the first hour after injections. Prospective trials, however, have shown that the initial gains wane by two years, edema slowly worsens over time, and visual improvements are at best comparable to, but most often inferior to, laser.2
The reasons for this deterioration in vision are unknown but triamcinolone has been shown to cause dose-dependent toxicity to the photoreceptors.11 Additionally, patients subjected to repeated injections invariably develop posterior subcapsular cataracts. Approximately 30% develop glaucoma of one degree or another.
Thus, intraocular triamcinolone fails as an ideal treatment because of its waning efficacy and unattractive safety profile. This is in contradistinction to vitrectomy, which restores retinal function: Complete removal of the vitreous assures that the anti-VEGF effects, resulting from improved oxygen delivery by bulk movement of relatively oxygen-rich aqueous throughout the vitreous cavity to the inner retina, do not decrease with time.
Anti-VEGF Drugs
The recently introduced drugs that inhibit the effects of VEGF — pegaptanib (Macugen, Valeant Pharmaceuticals, Bridgewater, NJ), bevacizumab (Avastin, Genentech, South San Francisco, CA), ranibizumab (Lucentis, Genentech), and aflibercept (Eylea, Regeneron, Tarrytown, NY) — have been the focus of extensive study.2-4,12,13
Randomized, prospective trials, mostly with ranibizumab, have shown that patients with DME achieve average visual improvements of +6 to +10 letters and macular thinning of -80 μm to -194 μm at one year and -118 μm to -130 μm at two years.2,3,9
During the first year of these studies, the patients required an average of seven to nine intravitreal injections. In the second year, the interquartile (25th to 75th percentile) cohort required two to three injections.
When accounting for monthly visits, optical coherence tomography examinations, injections, and drug charges for the average patient, the authors calculated that even the treatment costs would approach $10,000 in the second year.
The DRCR.net Protocol I study suggested that anti-VEGF therapy remains effective through three years, with many patients requiring significantly fewer injections (one to two) during the second and third years of therapy.13 Yet the third year of the READ-2 trial showed more frequent injections (average 5.4) were necessary to maintain VA.14
Expert Opinion
Because we have not experienced a time-dependent, decreased need for anti-VEGF injections, we surveyed 15 experienced retinal specialists for their views on the durability of treatment. Nearly all felt that DME almost never “burns out” and that the majority of their patients needed anti-VEGF treatment indefinitely.
Most recalled only a few patients in whom DME resolved after two years of anti-VEGF therapy, and improved glucose control often occurred in these cases. The physicians believed that the majority of their patients either refused to return for repeated treatments or required a seemingly endless series of injections.
Thus, it remains to be seen whether the average patient will experience the decreased treatment frequencies reported in the third year of ranibizumab trials.
With the burgeoning number of patients with DME, anti-VEGF therapy with ranibizumab (Figure 2) becomes a far more expensive option than vitrectomy,15 which only requires one outpatient surgery, followed by infrequent clinic visits. Skyrocketing health-care costs in the face of severe budget deficits may very well create a financial environment in which surgery becomes the cost-preferred alternative to outpatient medical therapy, something unimagined even a decade ago.
Figure 2. High-resolution OCT of the right eye of a patient with diabetic macular edema. the top images show loss of foveal contour and cystoid edema. One month after intravitreal anti-VEGF injection, foveal contour is restored, retinal thickening has decreased significantly, and there are no cystoid spaces detected anymore.
IMAGES FROM ZUR D, LOEWENSTEIN, A. COMBINATION THERAPY FOR DIABETIC MACULAR EDEMA. J OPHTHALMOL. 2012;484612, COURTESY OF HINDAWI PUBLISHING CORP.
SHORTCOMINGS OF THE DRCR.NET TRIAL
The DRCR.net trial2 prospectively enrolled 241 eyes with treatment-resistant DME. At six months after vitrectomy, the mean subfield thickness decreased from 412 μm to 278 μm. Eyes with greater preoperative thickness, an epiretinal membrane, and vitreomacular traction achieved greater thinning.
Although the average VA (20/80) of the entire cohort did not change, significant visual acuity improvements were seen in eyes with worse baseline vision (P < .001) and in those requiring the removal of ERMs (P = .006).
The authors concluded that vitrectomy may have a role in eyes with vitreomacular abnormalities, but they could not recommend vitrectomy for eyes without traction.
This study reported valuable information but, unfortunately, no information regarding the utility of early, primary vitrectomy for DME. The trial was limited to eyes that failed laser photocoagulation — the very eyes that other studies have suggested improve the least following vitrectomy.
Because the trial lacked a control group, we can only speculate about the possible effects of medical therapy in eyes “considered by the investigator to unlikely respond to further macular photocoagulation.”
As a result of the DRCR.net trial, most US physicians withhold vitrectomy for “salvage” therapy when other treatments have failed. However, outside the United States, vitrectomy for DME appears to be more widely accepted.
One author opined, “The efficacy of vitrectomy for macular edema is widely accepted.”16 A survey of Canadian retina specialists revealed that 83% believed that vitrectomy plays a role in the management of treatment-resistant DME.17
However, most surgeons in the United States and Europe generally do not view vitrectomy as a primary treatment for DME. Many factors have shaped this opinion, not least of which are the results of the DRCR.net trial of vitrectomy for DME.
CRITERIA FOR A VIABLE TREATMENT
What are the criteria that would define a effective DME treatment? Clearly, rapid improvement and long-term maintenance of vision rank at the top of most patients’ and surgeons’ lists.
Although VA and macular thickness often correlate poorly, all treatments that improve vision do so by decreasing macular edema. Dozens of studies have shown that vitrectomy resolves DME as well as or better than every other therapy.
Only a modest amount of preoperative predictive information has previously been available18 regarding the potential for improvement of vision in eyes subjected to vitrectomy for their DME. Vitrectomies are generally performed quite late in the course of the DME, often after many other treatments had been tried and failed.
Thus, we can attach no real significance to the postvitrectomy VA in reported series that predate the use of spectral-domain OCT. One must view the visual results from such studies with prejudice because nearly all of them preceded the advent of high resolution SD-OCT, which the FDA approved in 2006, with the first clinical reports surfacing in 2007.
Unfortunately, most of these studies have lacked not only rigorously obtained BCVA but also detailed preoperative SD-OCT measurements of the external limiting membrane and inner-segment/outer-segment line integrities, which are emerging as valuable predictors of visual improvement in eyes with other macular diseases, such as exudative AMD, RVO, and ERM.
In fact, pretreatment ELM and IS/OS integrity (Figure 3) may be our most important predictors of postoperative VA. The current data suggest that prospective studies on early vitrectomy should include a detailed preoperative assessment of ELM and IS/OS integrity, as measured by SD-OCT.
Although we cannot yet say with certainty that loss of ELM or IS/OS integrity will prevent visual improvement after vitrectomy (or, for that matter, any currently available treatment), future trials should include these measurements as important preoperative determinants.
Patient Burden
The excellent results wet AMD patients experienced in the pivotal anti-VEGF trials, coupled with the realization that these patients required close follow-up and aggressive treatment for the balance of their lives, emphasize the importance of a therapy’s durability.
Decreasing the number of patient visits and injections improves patient satisfaction, decreases the number of treatment-related adverse events, decreases the overall cost of health care, and frees up physicians’ offices to care for other patients. Durability becomes even more important when one considers that the average ages of patients in the AMD trials was 73 to 79 years old, whereas the average ages in the recent DME trials was 63 to 64 years old.
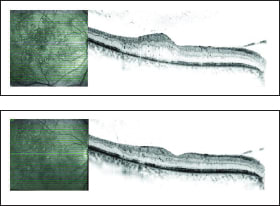
Figure 3. The ILM and IS/OS are traced by a white line using TDOCT, although the true IS/OS line is thought to be that indicated by the arrowheads in the retinal thickness mode (top). The ILM and RPE are traced by a white and black line by the macular thickness mode of SD-OCT (middle). The IS/OS line is indicated by a vague line in the fiveline mode (arrowheads) (bottom).
IMAGES FROM KAKINOKI M, MIYAKE T, SAWADA O, SAWADA T, KAWAMURA H, OHJI M. COMPARISON OF MACULAR THICKNESS IN DIABETIC MACULAR EDEMA USING SPECTRA-DOMAIN OPTICAL COHERENCE TOMOGRAPHY AND TIM-DOMAIN OPTICAL COHERENCE TOMOGRAPHY. J OPHTHALMOL. 2012;959721, COURTESY OF HINDAWI PUBLISHING CORP.
Thus, the cumulative treatment burden for DME patients could far exceed that for AMD patients. An ideal treatment for diffuse DME would quickly dry the macula with an effect that lasts for years, but unfortunately, anti-VEGF therapy may fall short of this goal.
Money Matters
Now more than ever, cost is starting to limit the treatment options available to some physicians and patients, as payers deny coverage for unfavorably priced products. The UK healthcare system first denied, then renegotiated, a lower reimbursement for fluocinolone intravitreal inserts for the treatment of DME.
Compared to laser photocoagulation, expensive anti-VEGF drugs that must be reinjected frequently will increase treatment costs, accelerating the placement of controls on physicians and hospitals.
Therefore, the optimal treatment for DME should incur a modest cost, such as that with vitrectomy, without the specter of a large open-ended bill, such as that with anti-VEGF drugs.
National initiatives to improve health-care safety are high priorities at most medical institutions. Optimal safety for patients receiving treatment for DME occurs when procedures with low complication rates are performed infrequently on that patient.
The interdependence of these factors can be better understood when one considers that the rate of endophthalmitis after intravitreal injections is about one in 2,500, but for a patient receiving 25 injections, the cumulative risk approximates 1%.
The three-year incidences of endophthalmitis in the DRCR.Net trial treatment groups were 0.5% and 1%,19 whereas the incidence from pooled data from the RESOLVE and RESTORE trials was 1.4%.20,21 This rivals the major vision-threatening complication rates that the authors calculated from published series of vitrectomy for DME: retinal detachment = 1.5%; endophthalmitis = 0.03%.
THE IDEAL STUDY
The DRCR.net study pointed out the difficulty in standardizing treatment when surgeons confront several operative variables, and they lack firm guidance from the literature regarding the best approach. However, to assess the role of primary vitrectomy properly for DME, strategies with rigid treatment protocols must be employed.
Furthermore, the DRCR.net study, together with other vitrectomy studies, has shown that the results vitrectomy achieved vary significantly with patient selection. The DRCR.net study used time-domain OCT images to quantify macular thickening and identify vitreomacular traction, but it did not permit detailed assessment and quantification of ELM and IS/OS integrity.
Because subsequent publications have suggested that these lines may play an important role in predicting visual improvement after treatment, a thorough prospective analysis of their predictive utility should be performed. With this in mind, we propose a two-step strategy to investigate the role of primary vitrectomy for the treatment of DME properly.
A Two-step Strategy
First, a prospective study will evaluate the predictive importance of outer retinal integrity — as determined by SD-OCT imaging of ELM and IS/OS lines — in DME patients prior to undergoing anti-VEGF therapy. After six months, the visual results will be correlated with baseline appearance to identify the characteristics that best predict visual improvement.
If edematous eyes with a good potential for improved VA can be reliably identified by preoperative factors (integrity of IS/OS and ELM lines, macular thickness), then a second prospective trial, comparing primary vitrectomy with standard therapy (intravitreal ranibizumab with deferred laser photocoagulation as performed in the DRCR.net Protocol I) will be performed.
Enrollment criteria must be limited to factors that enable full evaluation of the effects of treatment, without placing artificial limits on the magnitude of the changes (as was done in the ETDRS). Only eyes with positive predictive features in the outer retina (ie, eyes likely to improve in vision if their macular edema can improve or even completely resolve) will be enrolled.
Upon entering the study, patients should have VAs from 20/40 to 20/320 and central macular thicknesses greater than 300 μm, as measured by SD-OCT. Nuclear sclerotic lens opacities must be 2+ or less so as to not cast doubt over the etiology of the vision loss.
Previous treatment with laser photocoagulation, intraocular corticosteroids, and anti-VEGF injections are exclusionary criteria. Clearly, eyes that had already undergone pars plana vitrectomy, or lensectomy associated with capsular rupture, must be excluded.
The treatment arm consists of a 23-gauge or 25-gauge vitrectomy. Phacoemulsification with in-the-bag lens implantation can be performed initially (if indicated) or if/when a visually signiicant cataract occurs during the study period.
Defining Role of Vitrectomy
The goal of vitrectomy should be to dry the retina as quickly and completely as possible. The posterior hyaloid should be removed as completely as possible, and the ILM should be peeled with the assistance of diluted indocyanine green or Brilliant blue staining to prevent postsurgical proliferation of ERMs, to minimize preretinal sequestration of VEGF, and to maximize diffusion of oxygen into the retina.
Proliferative DR should be ruled out with preoperative seven-field fluorescein angiography or Optos (Marlborough, MA) widefield fluorescein angiography so that heavy panretinal laser photocoagulation does not become necessary intraoperatively or in the early postoperative period. Eyes with 10 disc areas of nonperfusion on FA will undergo a light pattern of intraoperative panretinal photocoagulation. Monthly follow-ups should be performed for two years.
Vitrectomy increases the clearance of intravitreally injected drugs — estimates range from 65% in rabbits to 200% in humans — so anti-VEGF salvage therapy may not be as effective.
We suggest that sustained-release dexamethasone implants, which exhibit zero-order kinetics and effectively treat DME in postvitrectomy eyes,22 be injected at six months for macular edema unresponsive to vitrectomy.
CONCLUSIONS
Primary pars plana vitrectomy represents an opportunity for effective, durable, and cost-effective treatment of patients with DME. Early vitrectomy results in significant macular thinning and may lead to rapid improvement in vision with long-term stabilization.
Unfortunately, a randomized trial pitting vitrectomy against the current standard of care has not yet been performed. We propose that such a multicenter study be undertaken.
As medical budgets become tighter, and alternative therapies, including anti-VEGF injections, become more expensive, vitrectomy may emerge as the preferred low-cost, longest-duration therapy. RP
REFERENCES
1. Early Treatment Diabetic Retinopathy Study Research Group. Photocoagulation for diabetic macular edema. Early Treatment Diabetic Retinopathy Study report number 1. Arch Ophthalmol. 1985;103:1796-1806.
2. Diabetes Retinopathy Clinical Research Network. Expanded 2-year follow-up of ranibizumab plus prompt or deferred laser or triamcinolone plus prompt laser for diabetic macular edema. Ophthalmology. 2011;118:609-614.
3. Mitchell P, Bandello F, Schmidt-Erfurth U, et al. Ranibizumab monotherapy or combined with laser versus laser monotherapy for diabetic macular edema. Ophthalmology. 2011;118:615-625.
4. Michaelides M, Kaines A, Hamilton RD, et al. A prospective randomized trial of intravitreal bevacizumab or laser therapy in the management of diabetic macular edema (BOLT Study). Ophthalmology. 2010;117:1078-1086.
5. Landers MB, Wolbarsht ML. Rubeosis irides: A rationale for panretinal photocoagulation at the time of vitrectomy in diabetes. Ocutome/Fragmatome Newsletter. 1979;4:1-2.
6. Wolbarsht ML, Landers MB: The rationale of photocoagulation therapy for proliferative diabetic retinopathy. A review and a model. Ophthalmic Surg. 1980;11:235-245.
7. Bill A, Sperber GO. Control of retinal and choroidal blood flow. Eye (Lond). 1990;4(Pt 2):319-325.
8. Stefansson E, Landers MB 3rd, Wolbarsht ML. Vitrectomy, lensectomy, and ocular oxygenation. Retina. 1982;2:159-166.
9. Nguyen QD, Shah SM, Van Anden E, Sung JU, Vitale S, Campochiaro PA. Supplemental oxygen improves diabetic macular edema: a pilot study. Invest Ophthalmol Vis Sci. 2004;45:617-624.
10. Hosford GE, Olson DM. Effects of hyperoxia on VEGF, its receptors, and HIF-2alpha in the newborn rat lung. Am J Physiol Lung Cell Physiol. 2003;285:L161-L168.
11. Yu SY, Damico FM, Viola F, D’Amico DJ, Young LH. Retinal toxicity of intravitreal triamcinolone acetonide: a morphological study. Retina. 2006;26:531-536.
12. Do DV, Schmidt-Erfurth U, Gonzalez VH, et al. The DA VINCI study: phase 2 primary results of VEGF Trap-Eye in patients with diabetic macular edema. Ophthalmology. 2011;118:1819-1826.
13. Elman MJ, Qin H, Aiello LP, et al. Intravitreal ranibizumab for diabetic macular edema with prompt versus deferred laser treatment. Three-year randomized trial results. Ophthalmology. 2012;119:2312-2318.
14. Do DV, Nguyen QD, Khwaja AA, et al. Ranibizumab for edema of the macula in diabetes study. 3-year outcomes and the need for prolonged frequent treatment. JAMA Ophthalmol. 2013;131:139-145.
15. Mitchell P, Bandello F, Schmidt-Erfurth U, et al. The RESTORE study: ranibizumab monotherapy or combined with laser versus laser monotherapy for diabetic macular edema. Ophthalmology. 2011;118:615-625.
16. Kimura T, Kiryu J, Nishiwaki H, et al. Efficacy of surgical removal of the internal limiting membrane in diabetic cystoid macular edema. Retina. 2005;25:454-461.
17. Schweitzer KD, Eneh A, Gale J. Practice patterns of Canadian vitreoretinal specialists in diabetic macular edema treatment. Can J Ophthalmol. 2011;46:227-231.
18. Chhablani JK, Kim JS, Cheng L, et al. External limiting membrane as a predictor of visual improvement in diabetic macular edema after pars plana vitrectomy. Graefes Arch Clin Exp Ophthalmol. 2012 Feb 23.[Epub ahead of print]
19. Elman MJ, Qin H, Aiello LP, et al. Intravitreal ranibizumab for diabetic macular edema with prompt versus deferred laser treatment. Three-year randomized trial results. Ophthalmology. 2012;119:2312-2318.
20. Massin P, Bandello F, Garweg JG, et al. Safety and efficacy of ranibizumab in diabetic macular edema (RESOLVE Study): a 12-month, randomized, controlled, double-masked, multicenter phase II study. Diabetes Care. 2010;33:2399-2405.
21. Mitchell P, Bandello F, Schmidt-Erfurth U, et al. The RESTORE study: ranibizumab monotherapy or combined with laser versus laser monotherapy for diabetic macular edema. Ophthalmology. 2011;118:615-625.
22. Boyer DS, Faba S, Gupta S, et al. Dexamethasone intravitreal implant for treatment of diabetic macular edema in vitrectomized patients. Retina. 2011;31:915-923.







