Gene Testing as a Diagnostic Aid In Macular Disorders
Knowing the genotype may direct treatment.
RENAUD DUVAL, MD • MATHEW W. MACCUMBER, MD, PhD
A 54-year-old Caucasian man was referred for “distorted vision” in the left eye for the previous 10 days. The patient reported difficulty adjusting from dark to light in that eye over that time period. He denied any associated pain, photophobia, floaters, or flashes of light.
His past ocular history was remarkable for a remote history of central serous chorioretinopathy in the left eye 20 years earlier. The episode had resolved spontaneously and did not require any treatment. He also had peripheral laser photocoagulation for a retinal tear in the left eye many years before. There was no history of high myopia or inflammatory eye disease. His medical history was unremarkable, and the patient was taking a multivitamin, flax seed oil, and a baby aspirin.
His visual acuity was 20/20 OD and 20/50 OS. IOP by applanation was 10 mm Hg in both eyes. Slit-lamp biomicroscopy of both eyes was only significant for trace nuclear sclerosis, and no anterior-chamber cells were present.
A dilated fundus examination of the right eye showed a normal disc, vessels, and periphery. The macular exam revealed very fine drusen but no fluid or hemorrhage. Examination of the left eye revealed a healthy-appearing optic nerve with a 0.2 cup-to-disc ratio. The macular exam revealed a subretinal hemorrhage accompanied by subretinal fluid and important mottling of the retinal pigment epithelium (Figure 1).
Fluorescein angiography of the right eye was unremarkable. Transit of the left eye showed blocking hypofluorescence corresponding to the subretinal hemorrhage with adjacent leakage hyperfluorescence consistent with choroidal neovascularization (Figure 2).
| Renaud Duval, MD, is on the faculty of the Department of Ophthalmology at the Rush University Medical Center in Chicago, IL, and is finishing a vitreoretinal surgery fellowship at Illinois Retina Associates, also in Chicago. Mathew W. MacCumber, MD, PhD, also practices at Illinois Retina. Neither author reports any financial interest in any products mentioned in this article. Dr. MacCumber can be reached via e-mail at maculamd@gmail.com. |
Figure 1. Color fundus photography revealing small drusen in the right eye and a subretinal hemorrhage, subretinal fluid, and retinal pigment epithelium changes in the left eye.
Figure 2. Late-phase fluorescein angiography revealing a normal transit in the right eye (5:56) and leaking hyperfluorescence, as well as blockage from subretinal hemorrhage, in the left eye (6:31).
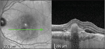
Optical coherence tomography of the right eye revealed a normal foveal contour with a central macular thickness of 284 μm. OCT of the left eye revealed a central macular thickness of 442 μm with large pockets of subretinal fluid, subretinal blood, and disturbance of the RPE (Figure 3).
Initial Diagnosis and Treatment
A diagnosis of CNV in the left eye was made, and the patient was offered a series of intravitreal bevacizumab injections. The exact etiology of this CNV was unclear; a potential association to the remote history of CSC was entertained. Other possibilities were exudative AMD and idiopathic CNV.
Figure 3. Optical coherence tomography of the left eye showing subretinal fluid, subretinal blood, and RPE disturbance.
Figure 4. Optical coherence tomography of the left eye showing resolution of the subretinal fluid after five intravitreal bevacizumab and seven intravitreal ranibizumab injections.
The patient received monthly bevacizumab injections over the course of the following five months, after which time the CNV became quiescent angiographically, but the subretinal fluid persisted on OCT. Visual acuity had now decreased to 20/70 in the left eye.
Because of the possibility that the subretinal fluid could in fact represent a form of chronic CSC, the patient was offered half-fluence photodynamic therapy but did not receive the treatment due to insurance issues. Instead, we opted for a trial of oral rifampicin 300 mg PO BID because of some reported success with this drug.1 Despite four months of the medication, no changes were noted on the OCT, and the visual acuity in the left eye decreased to 20/80.
Genetic Tests Are Ordered
The patient then underwent genetic testing for AMD using the RetnaGene AMD test (Sequenom, Inc., Grand Rapids, MI). His results came back with an 85% probability of CNV, as well as a patient risk score of 1.76, placing him in the high-risk category. He was homozygous for the H1 haplotype of complement factor H (14% of the general population) and heterozygous for the ARMS2 gene (32% of the general population). Interestingly, his genotype was also devoid of protective variants, such as complement factor B or complement component 2.
Whether this patient had exudative AMD or he developed a CNV from a genetic predisposition in the setting of a history of CSC cannot be determined with any degree of certainty. Nevertheless, his genetic testing was remarkable enough to sway our treatment approach in favor of a series of intravitreal injections of ranibizumab and stopping oral rifampicin. He received seven injections over the following nine months and achieved near normalization of the OCT appearance (Figure 4), with improvement of his VA to 20/40.
DISCUSSION
AMD is a multifactorial disease that combines genetics, as well as environmental, factors. The most commonly implicated genes in the development and progression of AMD are complement factor H (CFH),2 complement factor B (CFB)/complement component 2 (C2),3 complement component 3 (C3),4, and the ARMS2 genes.5 Lifestyle factors, such as smoking and diet, also have significant roles to play in the pathogenesis of AMD.
The two main tests that were available for analyzing a patient’s genetic risk of AMD made use of known polymorphisms at these genes and in several others. The Macula Risk test (ArcticDx, Inc., Bonita Springs, FL) combined a person’s inheritable risk factors with his or her smoking history to determine their risk of developing vision loss from AMD. The score was then stratified into five categories of increasing risk of geographic atrophy or CNV (MR1 to MR5), with 50% of the population obtaining MR1 and 1% of the population being MR5. Those in the MR5 group had more than a 60% chance of progressing to advanced AMD, according to the company.
RetnaGene AMD was, at the time, a test that looked solely at an individual’s polymorphisms in genes known to be linked to AMD and determined the probability of CNV by stratifying the score into low-risk (CNV probability <25%), moderate-risk (CNV probability 25% to 75%), and high-risk (CNV probability >75%). The validation study of this genetic model involved 1,132 CNV cases and 822 controls.6
The Pepose Institute, Illinois Retina study is a prospective, comparative study of the Macula Risk and the RetnaGene tests.7 Seventeen normal controls, 33 patients with dry AMD, and 47 patients with CNV were included in the study for a total of 97 patients. Each patient had his or her genetic risk determined by either test. Edwin Stone, MD, performed an independent analysis of the data.
The patients were then assigned a risk rank from 1 (mildest) to 97 (most severe), based on the risk score assigned to them from each company. These risk ranks were compared to each other and to the clinical phenotype assigned by the investigators.
Both tests were successful at distinguishing normal patients from AMD patients (P=1.4 × 10−5 for company 1 and P=2.9 × 10−5 for company 2), but based on genotype alone, neither test could predict exudative vs nonexudative AMD with any degree of certainty (P=.81 for company 1 and P=.74 for company 2).
With a score of 1.76 on the RetnaGene test, our patient would have fallen at the 87th position within this study, well within the range of AMD patients. Having this knowledge reinforced our clinical diagnosis and supported the continued use of intravitreal anti-VEGF agents in this patient.
CONCLUSION
In summary, genetic testing revealed a predisposition for AMD-related CNV in this patient with a history of CSC.
While the current AAO guidelines on the use of genetic testing for eye diseases8 suggest that doctors “Avoid routine genetic testing for genetically complex disorders like age-related macular degeneration and late-onset primary open-angle glaucoma until specific treatment or surveillance strategies have been shown in one or more published clinical trials to be of benefit to individuals with specific disease associated genotypes,” selective use of these tests in certain patients may prove beneficial. RP
REFERENCES
1. Steinle NC, Gupta N, Yuan A, Singh RP. Oral rifampin utilisation for the treatment of chronic multifocal central serous retinopathy. Br J Ophthalmol. 201;96:10-13.
2. Clark SJ, Bishop PN, Day AJ. Complement factor H and age-related macular degeneration: the role of glycosaminoglycan recognition in disease pathology. Biochem Soc Trans. 2010;38:1342-1348.
3. Gold B, Merriam JE, Zernant J, et al. Variation in factor B (BF) and complement component 2 (C2) genes is associated with age-related macular degeneration. Nat Genet. 2006;38:458-462.
4. Gehrs KM, Jackson JR, Brown EN et al. Complement, age-related macular degeneration and a vision of the future. Arch Ophthalmol. 2010;128:349-358.
5. Rivera A, Fisher SA, Fritsche LG, et al. Hypothetical LOC387715 is a second major susceptibility gene for age-related macular degeneration, contributing independently to complement factor H to risk. Hum Mol Genet. 2005;14:3227-3236.
6. Hageman GS, Gehrs K, Lejnine S, et al. Clinical validation of a genetic model to estimate the risk of developing choroidal neovascular age-related macular degeneration. Hum Genomics. 2011;5:1-16.
7. Holekamp N, MacCumber M, Almony A. Personal communication, unpublished data, Pepose Institute, Illinois Retina; Chicago, IL; analysis available at http://www.ivr.uiowa.edu.
8. Stone EM, Aldave AJ, Drack AV, et al. Recommendations for genetic testing of inherited eye disease: Report of the American Academy of Ophthalmology Task Force on Genetic Testing. Ophthalmology. 2012;119:2408-2410.







