Diagnosis and Management Of Choroidal Hemangiomas
While benign, hamartomatous tumors can drastically affect vision.
CARLOS A. MEDINA, MD · ARUN D. SINGH, MD
|
Carlos A. Medina, MD, is an ophthalmic oncology fellow at the Cole Eye Institute, in Cleveland, OH. Arun D. Singh, MD, is the director of the Department of Ophthalmic Oncology at the Cole Eye Institute. Neither author reports any financial interests in any products mentioned in this article. Dr. Singh can be reached via e-mail at singha@ccf.org. |
Choroidal hemangiomas represent benign hamartomatous vascular tumors that may be confined to the globe or be manifestations of a widespread hemangiomatous disorder.1
Although the iris and ciliary body are sometimes involved, these tumors most frequently affect the choroid, where we classify them as circumscribed or diffuse, depending on the extent of choroidal involvement.2
Circumscribed choroidal hemangiomas are generally a solitary finding without systemic associations, whereas diffuse choroidal hemangiomas usually occur in association with encephalofacial angiomatosis (Sturge-Weber syndrome). The long-term visual prognosis of this latter group is poor, even in adequately treated patients.3
We will briefly discuss here the clinical features, differential diagnosis, and treatment of choroidal hemangiomas.
CIRCUMSCRIBED CHOROIDAL HEMANGIOMA
Circumscribed choroidal hemangiomas (CCHs) are benign tumors that occur sporadically, without any associated local or systemic anomalies. CCH usually appears between the second and sixth decade of life, causing visual disturbances due to exudative retinal detachment or macular edema.3-5
The patient may complain of visual disturbances such as reduced vision, metamorphopsia, photopsia, visual field defects, and progressive hypermetropia.
Clinical Features
Examination of CCH reveals an orange-red choroidal mass with margins that blend with the surrounding choroid. It usually locates the posterior pole and is not thicker than 6 mm.2 A pigmented rim sometimes surrounds the tumor, and subretinal fluid from the tumor leading to an exudative retinal detachment is generally present in symptomatic cases.
Although choroidal hemangiomas are vascular tumors, prominent intrinsic tumor vessels, or “feeder vessels,” are not present on clinical examination. Some studies have reported secondary changes, such as degeneration of the overlying choriocapillaris, focal proliferation of the RPE, fibrous metaplasia, cystoid macular edema, retinoschisis, and ossification.2,3 Such ossification may clinically resemble a choroidal osteoma.6
Differential Diagnosis
The diagnosis of CCH can be challenging. The funduscopic appearance may be similar to that of other amelanotic choroidal lesions, such as an amelanotic choroidal melanoma, choroidal metastasis, posterior scleritis, choroidal granuloma, choroidal osteoma, lymphoma, or atypical central serous retinopathy.
The differential diagnosis should include varix of vortex vein ampulla (VOVA) because of its similarity in color and circumscribed margins.7 However, VOVA typically shows dynamic variation in size, influenced by the Valsalva maneuver, posture, and digital pressure on the globe. Ancillary testing may be helpful in distinguishing between these diagnoses.
Ultrasonographic findings of CCH reveal a smooth-contoured, dome-shaped choroidal mass with characteristic high internal reflectivity. Intrinsic vascular pulsations are generally not present.5
On fluorescein angiography, the hemangioma appears as a hyperfluorescent mass with a fine, lacy network of intrinsic vessels (a “multi-lake” appearance) in the choroidal filling phase (prearterial or early arterial phase). The hyperfluorescence increases through most of the phases of the angiogram, with a variable amount of late leakage.
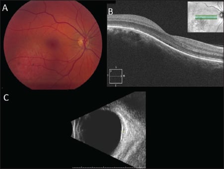
Figure 1. A 43-year-old woman with a circumscribed choroidal hemangioma in the right eye. Best-corrected visual acuity at presentation was 20/40. Note the orange-red choroidal mass in the inferotemporal quadrant, which involves the fovea (A). Optical coherence tomography confirms foveal involvement and an absence of subretinal fluid (B). B-scan ultrasonography revealed a maximal height of 2.6 mm (C).
Figure 2. The patient from Figure 1, three months after PDT treatment with a spot size of 6 mm and 83 seconds of duration (standard fluence): color fundus photo (A) and OCT (B). Her visual acuity improved to 20/25, with resolution of all subretinal fluid and a decrease in tumor height from 2.6 to 1.2 mm on B-scan ultrasonography (C).
Doctors can more easily observe the intrinsic vascular pattern of choroidal hemangioma with ICG angiography, with which within 30 seconds of ICG dye injection, the intrinsic tumor vascular pattern visualizes.8 Rapid progression of hyperfluorescence occurs, peaking at approximately three to four minutes and often followed by a characteristic “dye washout” phenomenon.
Retinal physicians can also use OCT to evaluate secondary retinal morphologic changes, such as shallow sub-retinal fluid or cystoid macular edema.
Treatment
The decision to treat a CCH should be individualized. The physician should base treatment on the extent of symptoms, loss of vision, and the potential for visual recovery.
The aim of treatment is to induce sufficient tumor atrophy with resolution of subretinal fluid and reduction in tumor-induced foveal distortion, without destroying the function of the overlying retina.
Some authors have suggested that the ultimate goal of treatment should be the complete occlusion of the vascular channels of the tumor.9 Retreatment of residual extrafoveal tumors without subretinal fluid is not necessary.
If left untreated, some hemangiomas with long-standing extensive retinal detachment or total retinal detachment lead to neovascular glaucoma. Although asymptomatic cases have been observed, treatment is recommended in vision threatening or vision-impairing cases.
Studies have reported that several treatment modalities, including laser photocoagulation, cryotherapy, radiotherapy, transpupillary thermotherapy, and photodynamic therapy with verteporfin (Visudyne, Novartis Ophthalmics, Basel, Switzerland), are efficacious.4,10,11
Photodynamic therapy has now become the treatment of choice in most centers.6,12,13 Systemic assessment of patients with CCH is not indicated, because extraocular manifestations are exceedingly rare.3,6
Observation. Doctors may observe asymptomatic CCH in an extramacular location that does not have surrounding subretinal fluid.3 Due to limited potential for visual recovery, they may also observe subfoveal hemangiomas with long-standing CME.3
Laser photocoagulation. Although laser photocoagulation does not produce significant regression, it does induce resolution of subretinal fluid. Recurrence of fluid is common and requires additional treatment in up to 40% of cases.4
The surgeon can minimize damage to the overlying retina by using a diode laser, achieving deeper penetration with the infrared wavelength.
Thermotherapy. Surgeons have used transpupillary thermotherapy (TTT) to treat choroidal hemangiomas with complete or partial regression of the hemangioma in more than 90% of cases.10
Because TTT often results in visually significant complications, such as CME, preretinal fibrosis, and retinal vascular occlusion, it is not suitable for treatment of CCH located in the subfoveal or juxtapapillary region.10
Radiotherapy. In patients with extensive bullous retinal detachments, or in rare cases when the treating physician cannot apply other modalities of treatment, the physician can deliver radiation treatment in several forms for a CCH.
Studies have reported the use of lens-sparing external-beam radiotherapy, stereotactic radiotherapy, plaque radiotherapy, and proton beam radiotherapy.13-18 In general, the total dose is approximately 20 Gy in 10 fractions for external beam radiotherapy, 25-50 Gy for plaque radiotherapy, and 16.4-20.0 Gy in four fractions for proton beam radiotherapy.
Figure 3. A 13-year-old boy with Sturge-Weber syndrome and a diffuse choroidal hemangioma of the right eye. The fundus image shows classic tomato-catsup appearance with extensive serous retinal detachment (A). OCT reveals subretinal fluid and edema in the outer retinal layers, suggestive of a chronic process (B). Ultrasonography confirms a diffusely thickened choroid with high internal reflectivity (C). A port wine stain is present on the ipsilateral side (D).
Trials have reported resolution of exudative retinal detachment, tumor regression, and improvement of vision in the majority of cases treated by radiation. The disadvantages of radiotherapy include the potential for radiation-related complications, such as cataract, radiation optic neuropathy, and radiation retinopathy, particularly with hemangiomas in the juxtapapillary and macular regions19.
Stereotactic techniques with improved precision may be superior to other methods of radiation.17 Gamma knife radiosurgery, for instance, has the advantage of delivering the total radiation dose in a single session.20
Photodynamic therapy. Photodynamic therapy (PDT) with verteporfin has a proven safety record in the treatment of choroidal neovascularization and offers site-specific tumor destruction, sparing the overlying retina and retinal vasculature.21 Moreover, the surgeons can perform the procedure conveniently in the office under topical anesthesia.
Treatment variables, including the rapidity of verteporfin injection (bolus vs 10-minute infusion), number of treatment sessions (one to five), interval between sessions, laser power settings (50-100 J), duration of exposure (83-186 seconds), and number of spots have varied among investigators, making assessment of PDT’s efficacy difficult.22
Tumor regression is typically most dramatic following the first session of PDT and should be evident within three months (Figure 1, page 33).23,24 The clinician may consider additional PDT after three months if the tumor or fluid persists.9
Figure 4. Two months after external beam radiotherapy that involved a total dose of 2000 cGy in 10 sessions, fundus photographs (A) and OCT (B) demonstrated resolution of the retinal detachment. Ultrasonography (C) revealed a thinning of the previously noted thickened choroid.
Long-term observations on treated patients have indicated continued safety and efficacy of PDT in CCH, with minimal to no complications.25-27 Nevertheless, delayed choroidal atrophy, perhaps due to overtreatment, may occur.11,24 The surgeon can minimize this risk by avoiding treatment of the surrounding normal choroid and avoiding re-exposure of previously treated areas.9,24
Other methods. Case series have reported on patients with CCHs treated with intravitreal bevacizumab (Avastin, Genentech, South San Francisco, CA). Some studies have reported resolution of tumor-induced subretinal fluid after failed prior laser, TTT, or PDT or as a primary modality.28-30
Long-term results with larger patient groups are necessary before we can recommend these treatments without reservation.
Prognosis
Although the final visual acuity depends on many factors, Schilling et al reported that functional results in cases with CCH were significantly affected by the interval between the onset of symptoms and treatment.16 Indeed, VA decreases due to presence of chronic subretinal fluid and CME.
Moreover, treatment side effects may reduce vision, particularly if the hemangioma locates at the macula or beneath the papillomacular bundle, leaving the long-term visual prognosis poor, even in adequately treated patients.3 With increasing use of PDT, it may be possible to achieve better long-term visual results.25,31
DIFFUSE CHOROIDAL HEMANGIOMA
In contrast to CCH, diffuse choroidal hemangioma (DCH) is usually evident at birth and generally occurs as a part of Sturge-Weber syndrome. Although present since birth, DCH may not cause exudative retinal detachment until adolescence.
The mean age of onset of exudative retinal detachment in DCH is age 8 years, compared to 39 years in patients with CCH.12 DCH is usually unilateral and ipsilateral to the nevus flammeus in approximately 50% of patients with Sturge-Weber syndrome.32
The aim of treatment is to induce tumor atrophy with resolution of subretinal fluid and reduction in tumorinduced foveal distortion, without destroying the function of the overlying retina.
Clinical Features
On examination, DCH appears as an orange, diffuse choroidal thickening that some have described as a “tomato-catsup” fundus. The color is darker and redder than CCH, which tends to be orange-pink.6
Diffuse choroidal hemangiomas are relatively flat, and they blend with the surrounding choroid, making delineation of the borders difficult. Localized areas of excessive thickening simulating a CCH appear within diffuse hemangiomas.33
Usually, more than half the choroid is involved, and associated exudative retinal detachment may also be present. Visual loss can result from refractive error, foveal distortion, amblyopia, or exudative retinal detachment.4
Differential Diagnosis
In the setting of Sturge-Weber syndrome, diagnosis of DCH is evident. In rare cases in which it is not evident, ancillary testing, such as FA, OCT, and magnetic resonance imaging can be useful in confirming the diagnosis.
Ultrasonographic evaluation is often very helpful because it easily detects diffuse thickening of the choroid. More recently, studies have reported on the use of enhanced depth imaging with spectral-domain OCT (EDI SD-OCT) to follow DCHs and their responses to treatment.12,34
Treatment
As with CCH, the decision to treat a DCH may be challenging and should be individualized, based on the extent of symptoms, loss of vision, and the potential for visual recovery.
The aim of treatment is, as with CCH, to induce sufficient tumor atrophy with resolution of subretinal fluid and reduction in tumor-induced foveal distortion, without destroying the function of the overlying retina. Treatment of extensive retinal detachments is necessary to prevent neovascular glaucoma and loss of the eye.35
Doctors can choose to observe asymptomatic cases, but in cases with exudative retinal detachment, they should consider several treatment options. Radiotherapy via external-beam radiation, proton beam irradiation, and gamma knife radiosurgery, as well as PDT, oral beta blockers and intravitreal anti-VEGF, have all been reported for the treatment of DCH. The doctor should conduct a neurological evaluation, including contrast MRI, in all children with DCH.6
Observation. In asymptomatic cases, especially in the absence of an exudative retinal detachment, the doctor can safely observe the hemangioma.
Radiotherapy. Low-dose external-beam radiation, proton beam irradiation,14,36 and gamma knife radiosurgery14,16,35-37 can induce tumor regression and resolution of subretinal fluid. Most reports in the literature have involved cases treated with lens-sparing external-beam radiotherapy or proton beam radiotherapy.6 In these cases, approximately 75% of patients had regression of the hemangioma and resolution of the exudative retinal detachment.6
The largest study, by Schilling and associates, reported results on 15 eyes treated by lens-sparing radiation (20 Gy, 10 fractions) with a mean follow-up of 5.3 years.16 Complete resolution of exudative retinal detachment occurred in all cases, as well as tumor regression in five cases and improved vision in seven eyes.
Zografos and associates reported similar results in six diffuse hemangiomas in patients with Sturge-Weber syndrome, with the total proton dose ranging from 16.4 to 18.2 Gy applied in four daily fractions. The authors achieved local tumor control and resolution of secondary retinal detachment in all cases.14
Photodynamic therapy. Studies of PDT for the treatment of DCH have reported good short-term results.12,38-40 When compared to various forms of radiotherapy, photodynamic therapy has the advantage of avoiding radiation, ease of delivery, and minimal side effects. Long-term observations on a larger number of treated patients are necessary to evaluate fully the efficacy of PDT.
Other methods. Single-case studies of DCH have reported responses to oral propranolol or single intravitreal injections of anti-VEGF drugs.41-43 Long-term results on larger number of patients are necessary before we can recommend these treatments.
Prognosis. Sturge-Weber syndrome, with its neural involvement, leads to seizures that can be intractable; it has been associated with developmental delay and behavioral problems. Ocular manifestations, including congenital glaucoma, generally require multiple surgical procedures.
A DCH usually involves variable degrees of visual loss due to exudative retinal detachment or secondary glaucoma. Because of the extensive choroidal involvement that is present at birth, the visual prognosis is poor.6,35
CONCLUSION
Choroidal hemangiomas, whether circumscribed or diffuse, can pose a diagnostic challenge to the retinal physician. Nevertheless, a range of treatment options are now available that were not available a decade ago. RP
REFERENCES
1. Naseripour M, Singh AD. Uveal vascular tumors. In: Damato B, Singh AD, eds. Clinical Ophthalmic Oncology. Springer; New York, NY; 2013.
2. Witschel H, Font RL. Hemangioma of the choroid. A clinicopathologic study of 71 cases and a review of the literature. Surv Ophthalmol. 1976;20:415-431.
3. Shields CL, Honavar SG, Shields JA, Cater J, Demirci H. Circumscribed choroidal hemangioma: clinical manifestations and factors predictive of visual outcome in 200 consecutive cases. Ophthalmology. 2001;108:2237-2248.
4. Anand R, Augsburger JJ, Shields JA. Circumscribed choroidal hemangiomas. Arch Ophthalmol. 1989;107:1338-1342.
5. Mashayekhi A, Shields CL. Circumscribed choroidal hemangioma. Curr Opin Ophthalmol. 2003;14:142-149.
6. Heimann H, Damato B. Congenital vascular malformations of the retina and choroid. Eye (Lond). 2010;24:459-467.
7. Singh AD, De Potter P, Shields CL, Shields JA. Indocyanine green angiography and ultrasonography of a varix of vortex vein. Arch Ophthalmol. 1993;111:1283-1284.
8. Arevalo JF, Shields CL, Shields JA, Hykin PG, De Potter P. Circumscribed choroidal hemangioma: characteristic features with indocyanine green video-angiography. Ophthalmology. 2000;107:344-350.
9. Porrini G, Giovannini A, Amato G, Ioni A, Pantanetti M. Photodynamic therapy of circumscribed choroidal hemangioma. Ophthalmology. 2003;110:674-680.
10. Gunduz K. Transpupillary thermotherapy in the management of circumscribed choroidal hemangioma. Surv Ophthalmol. 2004;49:316-327.
11. Singh AD, Kaiser PK, Sears JE, Gupta M, Rundle PA, Rennie IG. Photodynamic therapy of circumscribed choroidal haemangioma. Br J Ophthalmol. 2004;88:1414-1418.
12. Tsipursky MS, Golchet PR, Jampol LM. Photodynamic therapy of choroidal hemangioma in sturge-weber syndrome, with a review of treatments for diffuse and circumscribed choroidal hemangiomas. Surv Ophthalmol. 2011;56:68-85.
13. Singh AD. Ocular phototherapy. Eye (Lond). 2012;27:190-198.
14. Zografos L, Egger E, Bercher L, Chamot L, Munkel G. Proton beam irradiation of choroidal hemangiomas. Am J Ophthalmol. 1998;126:261-268.
15. Frau E, Rumen F, Noel G, Delacroix S, Habrand JL, Offret H. Low-dose proton beam therapy for circumscribed choroidal hemangiomas. Arch Ophthalmol. 2004;122:1471-1475.
16. Schilling H, Sauerwein W, Lommatzsch A. Long term results after low dose ocular irradiation for choroidal hemangioma. Br J Ophthalmol. 1997;81:267-273.
17. Kivela T, Tenhunen M, Joensuu T, Tommila P, Joensuu H, Kouri M. Stereotactic radiotherapy of symptomatic circumscribed choroidal hemangiomas. Ophthalmology. 2003;110:1977-1982.
18. Aizman A, Finger PT, Shabto U, Szechter A, Berson A. Palladium 103 (103Pd) plaque radiation therapy for circumscribed choroidal hemangioma with retinal detachment. Arch Ophthalmol. 2004;122:1652-1656.
19. Pelayes D, Seregard S, Singh AD. Other uveal tumors. In: Singh AD, Pelayes D, Seregard S, eds. Ophthalmic Radiation Therapy: Techniques, Indications, Outcomes, and Complications. Springer; New York, NY; 2013.
20. Nam TK, Lee JI, Kang SW. Gamma knife radiosurgery for circumscribed choroidal hemangioma. Acta Neurochir (Wien). 2005;147:651-654.
21. Singh AD, Kaiser PK, Sears JE. Choroidal hemangioma. Ophthalmol Clin North Am. 2005;18:151-161, ix.
22. Group TS. Photodynamic therapy of subfoveal choroidal neovascularization in age-related macular degeneration with verteporfin. One year results of 2 randomized clinical trials- TAP report. Treatment of age related macular degeneration with photodynamic therapy (TAP) Study Group. Arch Ophthalmol. 1999;117:1329-1345.
23. Madreperla SA. Choroidal hemangioma treated with photodynamic therapy using verteporfin. Arch Ophthalmol. 2001;119:1606-1610.
24. Schmidt-Erfurth UM, Michels S, Kusserow C, Jurklies B, Augustin AJ. Photodynamic therapy for symptomatic choroidal hemangioma: visual and anatomic results. Ophthalmology. 2002;109:2284-2294.
25. Jurklies B, Bornfeld N. The role of photodynamic therapy in the treatment of symptomatic choroidal hemangioma. Graefes Arch Clin Exp Ophthalmol. 2005;243:393-396.
26. Blasi MA, Tiberti AC, Scupola A, et al. Photodynamic therapy with verteporfin for symptomatic circumscribed choroidal hemangioma: five-year outcomes. Ophthalmology. 2010;117:1630-1637.
27. Boixadera A, Garcia-Arumi J, Martinez-Castillo V, et al. Prospective clinical trial evaluating the efficacy of photodynamic therapy for symptomatic circumscribed choroidal hemangioma. Ophthalmology. 2009;116:100-105.e1.
28. Sagong M, Lee J, Chang W. Application of intravitreal bevacizumab for circumscribed choroidal hemangioma. Kor J Ophthalmol. 2009;23:127-131.
29. Mandal S, Naithani P, Venkatesh P, Garg S. Intravitreal bevacizumab (avastin) for circumscribed choroidal hemangioma. Ind J Ophthalmol. 2011;59:248- 251.
30. Kwon HJ, Kim M, Lee CS, Lee SC. Treatment of serous macular detachment associated with circumscribed choroidal hemangioma. Am J Ophthalmol. 2012;154:137-145.e1.
31. Michels S, Michels R, Beckendorf A, Schmidt-Erfurth U. Photodynamic therapy for choroidal hemangioma. Long-term results. Ophthalmologe. 2004;101:569-575.
32. Sullivan TJ, Clarke MP, Morin JD. The ocular manifestations of the SturgeWeber syndrome. J Ped Ophthalmol Strabismus. 1992;29:349-356.
33. Scott IU, Alexandrakis G, Cordahi GJ, Murray TG. Diffuse and circumscribed choroidal hemangiomas in a patient with Sturge-Weber syndrome. Arch Ophthalmol. 1999;117:406-407.
34. Torres VL, Brugnoni N, Kaiser PK, Singh AD. Optical coherence tomography enhanced depth imaging of choroidal tumors. Am J Ophthalmol. 2011;151:586-593.e2.
35. Grant LW, Anderson C, Macklis RM, Singh AD. Low dose irradiation for diffuse choroidal hemangioma. Ophthalmic Genet. 2008;29:186-188.
36. Chan RV, Yonekawa Y, Lane AM, et al. Proton beam irradiation using a lightfield technique for the treatment of choroidal hemangiomas. Ophthalmologica. 2010;224:209-216.
37. Kong DS, Lee JI, Kang SW. Gamma knife radiosurgery for choroidal hemangioma. Am J Ophthalmol. 2007;144:319-322.
38. Singh AD, Rundle PA, Vardy SJ, Rennie IG. Photodynamic therapy of choroidal hemangioma associated with Sturge-Weber syndrome. Eye (Lond). 2004;19:365-367.
39. Ang M, Lee SY. Multifocal photodynamic therapy for diffuse choroidal hemangioma. Clin Ophthamol. 2012;6:1467-1469.
40. Gambrelle J, Kivela T, Grange JD. Sturge-Weber syndrome: decrease in intraocular pressure after transpupillary thermotherapy for diffuse choroidal haemangioma. Acta Ophthalmol. 2011;89:190-193.
41. Shoeibi N, Ahmadieh H, Abrishami M, Poorzand H. Rapid and sustained resolution of serous retinal detachment in Sturge-Weber syndrome after single injection of intravitreal bevacizumab. Ocul Immunol Inflamm. 2011;19:358-360.
42. Paulus YM, Jain A, Moshfeghi DM. Resolution of persistent exudative retinal detachment in a case of Sturge-Weber syndrome with anti-VEGF administration. Ocul Immunol Inflamm. 2009;17:292-294.
43. Arevalo JF, Arias JD, Serrano MA. Oral propranolol for exudative retinal detachment in diffuse choroidal hemangioma. Arch Ophthalmol. 2011;129:1373- 1375.







