Case Study
Naïve Patient Treatment
By Michael W. Stewart, MD
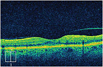
A 79-year old woman complained of decreased visual acuity – from 20/25 to 20/50 – of 5 weeks’ duration. A color fundus photograph of the left eye (Figure 1) showed macular edema and scattered intraretinal hemorrhages. Significant intraretinal dye leakage due to retinal angiomatous proliferation (RAP) was seen on the fluorescein angiogram (Figure 2). The OCT image (Figure 3) demonstrated intraretinal edema with insignificant vitreomacular adhesion. At follow-up, the patient received aflibercept 2 mg intravitreally and returned in 4 weeks for re-evaluation. Her visual acuity had improved to 20/30 and the repeat OCT image (Figure 4) showed complete resolution of the intraretinal edema.
Figure 1
Figure 2
Figure 3
Figure 4







