CASE STUDY
Discovery of Uveal Melanoma Liver Metastasis 25 Years After Primary Tumor Diagnosis
A history of ocular cancer may prove to be an indicator of future metastasis.
THOMAS BRUSH, BA • STEPHANIE SUTTON, BA • LEIGH SUTTON, MD
The liver is a frequent site for metastasis in patients with uveal melanoma. The interval between the diagnosis of the uveal melanoma and the diagnosis of the metastatic lesion can vary from months to years.
We report here a case with a 25-year interval between the diagnosis of the original lesion and the discovery of the metastatic liver disease. The metastasis was an incidental finding on imaging.
The patient underwent a radioembolization procedure in hopes of providing palliative treatment. He died two-and-a-half months after the discovery of the uveal melanoma metastasis to the liver.
CASE PRESENTATION
A 76-year-old Caucasian man presented to his primary doctor with a right neck mass. The doctor performed fine-needle aspiration of three thyroid nodules, with a pathology diagnosis of a follicular neoplasm of undetermined significance.
In anticipation of a thyroidectomy, the patient underwent a preoperative chest X-ray, which revealed a right lung nodule. Subsequent CT identified a 5-cm x 5-cm liver mass. The patient underwent computed tomography–guided needle biopsy of the liver lesion, with tissue pathology resulting in a diagnosis of malignant melanoma.
Thomas Brush, BA, and Stephanie Sutton, BA, are fourth-year medical students at the University of Nebraska Medical Center in Omaha. Leigh Sutton, MD, is a dermatology resident at the Scott and White Medical Center in Temple, TX. None of the authors reports any financial interests in any of the products mentioned in this article. Ms. Sutton can be reached via e-mail at stephanie.sutton2@gmail.com.
An opinion came from a nearby medical center, based on a review of pathology slides sent for a second opinion. Immunoperoxidase studies showed that the tumor was positive for S-100 and Melan-A while negative for AE-1/AE-3. The immunoprofile was consistent with that of malignant melanoma (Figure 1).
Figure 1. Positive S-100 stain (top) of liver biopsy, signifying melanoma cells. 400x magnification. Positive Melan-A stain (bottom) of liver biopsy, signifying melanin pigment in the cancer cells. 400x magnification.
A History of Ocular Cancer
Twenty-five years before the discovery of the liver metastasis, the patient had presented to his optometrist with the complaint of a one-month duration of metamorphopsia of the right eye and a two-week history of blurred vision in the same eye.
A consulting ophthalmologist made a clinical diagnosis of uveal malignant melanoma. Fundus examination showed a well-defined choroidal mass OD, approximately 8 disc diameters in size and highly elevated, as well as an overlying secondary detachment of neurosensory retina that extended to the inferior border of the macula.
B-scan ultrasonography identified a solid filled tumor consistent with malignant melanoma and an associated retinal detachment.
The Initial Treatment
Immediately after the identification of the choroidal mass, a metastatic workup resulted in no positive findings. Fluorescein angiography identified a 10-mm x 12-mm lesion with a large vascular supply and choroidal involvement. The patient’s vision at this point was 20/100 OD.
The treatment team recommended enucleation of the right eye, which they performed in December 1986. Histology demonstrated spindle B-cell ocular malignant melanoma.
As part of the metastatic follow-up, the patient’s primary care provider evaluated him annually for seven years and then subsequently every two years. The patient continued to follow up with his ophthalmologist over the next two-and-a-half decades to monitor the health of his remaining eye. He later developed a cataract and open-angle glaucoma in his left eye, for both of which he received treatment.
Late-presenting Metastasis
Exactly 25 years after pathology-proven uveal melanoma in an enucleated eye, the 76-year-old man received a diagnosis of metastatic melanoma as an incidental finding.
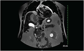
Referral to a tertiary medical center resulted in an MRI scan with identification of the large liver mass and four additional areas of enhancement in the patient’s liver (Figure 2, page 40). MRI of the brain and orbit was negative for space-occupying lesions.
Figure 2. MRI scan of the abdomen, showing the metastatic tumor in the liver.
Due to the multiple lesions on MRI, the medical center tumor board recommended regional therapy or chemotherapy. The patient underwent radioembolization surgery with yttrium-90 microspheres for metastatic ocular melanoma by interventional radiology. The radiologist delivered a total dose of 116.7 Gy to the liver.
Less than one month later, the patient died of metastatic disease at age 77 years.
DISCUSSION
This case study describes one of the longest reported intervals between the diagnosis of uveal melanoma and subsequent discovery of metastases to the liver. Previous case studies have shown intervals of 10, 15, and even 24 years.1,2
A chart review undertaken at the University of Texas M.D. Anderson Cancer Center showed that of patients with metastases, 66% metastasized within the first five years, and only 13% metastasized after 10 years or more.3
Almost 50% of patients with primary uveal melanoma will ultimately develop metastases.4,5 The liver is a source of metastasis in almost 90% of these patients.5
The prognosis is poor after receiving a diagnosis of metastatic uveal melanoma to the liver. The average survival is five to seven months,6 and for those patients age 50 years or older, such as our patient, one study reported a median survival of only 3.5 months.7
Treatment and Screening
Different modes for treating metastatic liver lesions include lobectomies, chemotherapy, and radioembolization. Our patient underwent radioembolization as salvage therapy. Studies have shown that this treatment results in partial remission and stable disease, with a median survival time of seven months.8
A significant percentage of uveal melanoma patients eventually develop life-ending metastatic disease. Early detection has been the focus of several studies.
One group of researchers in the Department of Ophthalmology at Helsinki University Central Hospital in Finland concluded that “annual screening with [liver function tests] and abdominal [ultrasound] will identify 59% of patients while they are still asymptomatic and [that] semiannual screening will detect >95% of such patients.”9
However, other reports have noted that liver function tests only yield abnormal results when the metastases have advanced significantly and, as a result, would not contribute significantly to extending patients’ survival once detected.10
Annual screening might have detected the patient’s liver metastasis at an earlier stage with smaller and/or fewer lesions. However, whether or not earlier detection would have influenced the patient’s lifespan significantly is unknown.
An Emerging Model
New studies in cytogenetics and the use of molecular genetic testing have made headway in determining which patients are at high risk for developing metastases.
Researchers have proposed the single-cell tumor dormancy model as a mechanism for uveal melanoma cells to exist in the body for years before growing into a metastatic mass.11 Perhaps awareness of this model will help us to find new therapies targeted at destroying dormant cancer cells before they start replicating beyond repair.
CONCLUSION
This patient’s carefully documented history indicated that uveal melanoma can metastasize after a significant interval of dormancy. Primary-care physicians and oncologists should be aware of this fact when following patients with histories of uveal melanoma. RP
REFERENCES
1. Grosjean J, Penel N, Gauthier H, Vanseymortier L. [Ultra-late metastasis of ocular melanoma: about two cases]. Rev Med Interne. 2004;25:147-149.
2. Slattery E, O’Donoghue D. Metastatic melanoma presenting 24 years after surgical resection: a case report and review of the literature. Cases J. 2009;2:189.
3. Kolandjian NA, Wei C, Patel SP, et al. Delayed systemic reoccurrence of uveal melanoma. Am J Clin Oncol. 2013;36:443-449.
4. Damato B. Progress in the management of patients with uveal melanoma. The 2012 Ashton Lecture. Eye (Lond). 2012;26:1157-1172.
5. Spagnolo F, Caltabiano G, Queirolo P. Uveal melanoma, Cancer Treat Rev. 2012;38:549-553.
6. Derek E, Matsuoka L, Alexopoulos S, Fedenko A, Genyk Y, Selby R. Combined surgical resection and radiofrequency ablation as treatment for metastatic ocular melanoma. Surg Today. 2013;43:367-371.
7. Rajpal S, Moore R, Karakousis CP. Survival in metastatic ocular melanoma, Cancer. 1983;52:334-336.
8. Klingenstein A, Haug AR, Zech CJ, Schaller UC. Radioembolization as localregional therapy of hepatic metastases in uveal melanoma patients. Cardiovasc Intervent Radiol. 2013;36:158-165.
9. Eskelin S, Pyrhönen S, Summanen P, Prause JU, Kivelä T. Screening for metastatic malignant melanoma of the uvea revisited. Cancer. 1999;85:1151-1159.
10. Diener-West M, Reynolds SM, Agugliaro DJ, Caldwell R, Cumming K, Earle JD. Screening for metastasis from choroidal melanoma: The Collaborative Ocular Melanoma Study Group Report 23. J Clin Oncol. 2004;22:2438-2444.
11. Logan PT, Fernandes BF, Di Cesare S, Marshall JC, Maloney SC, Burnier MN Jr. Single cell dormancy model of uveal melanoma. Clin Exp Metastasis. 2008;25:509-516.







