How RAP and PCV Can Affect the Management of AMD
Advanced disease forms pose special challenges.
TETSUYA YAMAGISHI, MD, PhD • YUSUKE OSHIMA, MD, PhD
Polypoidal choroidal vasculopathy (PCV) and retinal angiomatous proliferation (RAP) are generally thought to be peculiar subtypes of exudative age-related macular degeneration. However, the treatment for the disease activity and the methods of medical follow-up are somewhat different from those for typical AMD. In this review, the proper diagnosis and management of PCV and RAP are summarized.
DEFINITIVE DIAGNOSIS OF PCV
PCV (Figure 1) was a subtype first reported by Yannuzzi and associates in 1990 as characteristic orange-reddish polypoidal lesions beneath the retinal pigment epithelium.1 Its clinical manifestation includes multiple, recurrent, serosanguineous retinal pigment epithelial detachment (PED) and the detachment of neurosensory retina secondary to leakage and bleeding from the abnormal vascular lesions. Although more than 20 years have passed since the introduction of this macular disease, there is still controversy over whether typical AMD and PCV are the same or different diseases.2
Figure 1. Typical case of polypoidal choroidal vasculopathy. A) Color fundus photography. B) Indocyanine angiography image. Polypoidal lesions and branching vascular network (BVN) are visualized. C) OCT image of horizontal section. Sharp protrusion of RPE corresponding to polypoidal lesion and “double layer sign” at BVN are the peculiar findings of PCV.
The diagnosis of PCV is based on the orange-reddish polypoidal lesions on funduscopy or on the polypoidal dilatations of choroidal vessels at the terminals of the branching choroidal vascular networks (BVNs) on indocyanine green angiography.3
Attention should be paid, because on fundus examination, some PCV lesions demonstrate serous retinal detachment, which mimics central serous chorioretinopathy without noticeable choroidal vascular lesion.4 Therefore, retinal physicians now have the impression in common that the definitive diagnosis of PCV depends on ICG angiography in the “real world.”
Tetsuya Yamagishi, MD, PhD, serves on the faculty of the Department of Ophthalmology of Kyoto Prefectural University of Medicine in Japan. Yusuke Oshima, MD, PhD, is director of the Oshima Eye Clinic in Takatsuki, Japan, and honorary director of the vitreoretinal division at the Tianjin Eye Hospital in China. Neither author reports any financial interests in products mentioned here. Dr. Yamagishi can be reached via e-mail at tyamagi@koto.kpu-m.ac.jp.
The advent of optical coherence tomography was an epochal event that changed the diagnosis of retinochoroidal disorders drastically over the last decade. As with the vascular lesions of PCV, OCT revealed the anterior sharp protrusion of the RPE corresponding to the polypoidal lesion5,6 and the double reflective layers called the “double-layer sign,” corresponding to the BVN.7
Recently, the high sensitivity and specificity of spectral-domain OCT in detecting the polypoidal lesion of PCV were reported.8 Hence, in this “SD-OCT or swept-source OCT” era, physicians should make a definitive diagnosis of PCV based on ICG angiography or, if not possible, on the careful monitoring of macular cross-sectional images obtained by the three-dimensional scan protocol of OCT.
Fundus autofluorescence (FAF) is a novel noninvasive imaging modality that reflects the integrity and the metabolic state of the RPE layer. On FAF, the polypoidal lesion and BVN of PCV show a peculiar hypoautofluorescent pattern when compared with typical AMD with type 1 CNV.9 These autofluorescent findings will be helpful in diagnosing PCV with greater accuracy.
TREATMENT OF PCV
Currently, an intravitreal anti-VEGF injection, such as bevacizumab (Avastin, Genentech, South San Francisco, CA), ranibizumab (Lucentis, Genentech), or aflibercept (Eylea, Regeneron, Tarrytown, NY), as well as photodynamic therapy using verteporfin (Visudyne, Bausch + Lomb, Rochester, NY), constitute the main treatments for exudative AMD, including PCV and RAP.
PDT had been the mainstay in the treatment of PCV until the rise of anti-VEGF agents. In 2008, Gomi and associates reported10 the efficacy of PDT for PCV and typical AMD, which were diagnosed based on ICG angiography.
The authors stated that PDT might be more beneficial for PCV than for typical AMD in terms of visual improvement and disappearance of leakage on fluorescein angiography. In addition, PDT demonstrated a high resolution rate of polypoidal lesions in more than 80% of the eyes. However, the possibility of hemorrhagic complications that might cause severe vision loss was concerning.11
The same researchers reported the efficacy of the intravitreal bevacizumab (IVB) as monotherapy for PCV,12 and they concluded that IVB may reduce the exudative changes but seemed to be ineffective for diminishing polypoidal lesions. At that time, PDT was thought to be more effective than IVB. A report on the efficacy of IVB combined with PDT in comparison with PDT monotherapy revealed that the combination therapy significantly reduced PDT-related hemorrhagic complication.13
Newer Anti-VEGF Agents
After ranibizumab was introduced, many reports of the efficacy of intravitreal ranibizumab injection (IVR) monotherapy for PCV were published. Hikichi and associates reported that IVR monotherapy obtained favorable results in visual improvement and a moderate resolution rate of polypoidal lesions.14
The EVEREST study in Asian countries was planned to determine the best treatment for PCV among IVR, PDT, or a combination of IVR and PDT.15 This study demonstrated that PDT was more effective than IVR with respect to the regression rate of polypoidal lesions, but the visual improvements between these two treatments were not significantly different.
The randomized, multi-institutional LAPTOP study over 12 and 24 months elucidated that IVR was superior to PDT with respect to both visual improvement and reduction of exudative changes.16,17
The authors speculated that continuous IVR monotherapy in comparison with PDT monotherapy could prevent further visual loss, notwithstanding noteworthy efficacy for the regression of the polypoidal lesions.
Koizumi and associates found that the clinical manifestations of larger polypoidal lesions or PED at baseline may be negative prognostic factors for achieving a dry macula for a therapeutic response to IVR monotherapy.18
In addition, the same group reported that eyes with PCV and the finding of choroidal vascular hyperpermeability (CVH) in the late phase of ICG angiography may indicate a poorer response to IVR monotherapy than those without CVH.19 These findings could help to predict the efficacy of IVR treatment.
More recently, aflibercept was introduced, and the short-term efficacy of intravitreal aflibercept injection (IVA) for the treatment of naïve PCV was reported.20-22 The authors reported that IVA achieved a favorable visual outcome and a better regression rate of polypoidal lesions (48% to 75% of the eyes), when compared with those (28% to 33%) shown in the reports on IVR.15,23
Assessment of the choroid by means of late-phase ICG angiography or enhanced depth imaging-OCT (EDI-OCT)24 images revealed significantly greater effects of IVA on choroidal circulation, such as suppression of CVH25 or thinning of the submacular choroidal thickness,26 in comparison with those of IVR.27
These clinical findings might be associated with the high affinity of aflibercept to VEGF-A and -B and placental growth factor, and they may attain the resolution of the persistent exudative changes of AMD after switching the treatment from other anti-VEGF agents to IVA.28-37
However, the best way to treat PCV remains uncertain. Currently, IVA either with the regimen of treat-and-extend or with a fixed regimen may be strongly recommended from the standpoint of producing a therapeutic effect and as a defense against exudative recurrence after the achievement of a dry macula.
For refractory cases, despite a series of IVA therapy, physicians should consider the application of additional IVA treatment or a combined procedure of IVA and PDT. Further studies are needed to clarify the long-term effects of IVA treatment on PCV.
DEFINITIVE DIAGNOSIS OF RAP
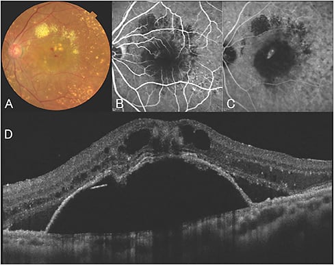
RAP (Figure 2) is a different entity of exudative AMD that was first reported by Yannuzzi and associates in 2001.38 This subtype is characterized by neovascularization originating from the retinal capillaries and not from the choroid, as in the other phenotypes of exudative AMD.
Figure 2. Typical case of retinal angiomatous proliferation (RAP, stage 3). A) Color fundus photography. B) Fluoroscein angiograph image, early phase. Retinal-retinal anastomosis is visible. C) ICG angiography image, late phase. Hyperfluorescent lesion called “hot spot” is apparent. D) OCT image of vertical section. Cystoid macular edema and retinal pigment epithelial detachment (PED) imply the retinochoroidal anastomosis.
Freund et al called the neovascularization of the RAP lesion “type 3 neovascularization,” distinguishing it from type 1 or 2 neovascularization originating from a choroidal vessel.39 RAP has a pathognomonic profile, including an older age, a higher ratio of women, a high tendency for bilateral affection, and an accumulation of soft drusen or reticular pseudodrusen at the macula.40
The incidence rates of RAP differ among the races. In whites, the incidence rate is 15%41; in contrast, RAP is thought to be rare in Asian patients (approximately 5% in Japanese patients).42 In eyes with RAP, the growth of neovascularization and the progression of exudative change are known to be more rapid than those with typical AMD or PCV. Thus, the natural course of RAP is much poorer than that of the typical AMD or PCV.
RAP lesions are categorized into three stages.38 Stage 1 RAP is intraretinal neovascularization (IRN) that originates from the deep retinal plexus. Stage 2 RAP is determined by the extension of IRN into the subretinal space, with or without PED. Stage 3 RAP has IRN and CNV connecting via retinochoroidal anastomosis.
The definitive diagnosis of RAP is based on fundus examination, OCT, and angiographic findings. Upon fundus examination, the characteristics of a florid intraretinal hemorrhage, angiectasia of the retinal capillaries, CME, and the accumulation of soft drusen in the macula are notable. With OCT, CME, serous retinal detachment and PED (in cases of stage 2 or 3) are detected.
With fluorescein angiography, retinal-retinal anastomosis in the early phase is valuable in the diagnosis. ICG visualizes the characteristic intense hyperfluorescence called a “hot spot,” corresponding to IRN.38
Recently, using EDI-OCT,24 Yamazaki and associates showed that eyes with RAP had a significantly thinner choroid than the age-matched normal control eyes.43 This finding may support the relationship of disturbed choroidal circulation with the pathophysiology of RAP.44
TREATMENT OF RAP
In the past, treatments such as laser photocoagulation with or without intravitreal triamcinolone acetonide, surgical ablation, or PDT with verteporfin were attempted. However, the results was insufficient or even poor. Subsequently, the anti-VEGF drugs were added to the treatment of RAP and achieved hopeful results45-49 with better visual outcomes.
However, physicians are often forced to administer frequent treatments to obtain the stabilization of exudative changes. The “as-needed” or PRN dosing regimen with monthly observation has become popular50,51; however, it might not be ideal in elderly patients with RAP that may follow a more relentless course. In addition, recurrent subretinal or intraretinal fluid or macular hemorrhage during a nontreated period in the PRN regimen may increase the patients’ risk of irreversible vision loss.
Gharbiya et al revealed that the presence of pretreatment PED was correlated negatively with visual outcomes and was associated with retreatment with IVR.47 In contrast, eyes with RAP without pretreatment PED, particularly during the earlier phase of RAP, showed acceptable visual outcomes and required fewer IVR treatments.
These results may lead to the consensus that the presence of PED implies an RAP lesion of longer duration, longstanding retinal damage, and the formation of retinochoroidal anastomosis that may lead to less optimal visual outcomes and may require more retreatments.
Although anti-VEGF therapy has definitely changed the management of neovascular AMD, the optimal regimen remains undetermined. Once a dry macula is achieved, either the intravitreal injection of the treat-and-extend regimen or maintenance therapy, for instance, one injection every three months, is recommended to keep the RAP lesion stable and to retain a dry macula.
During the anti-VEGF drug regimen, the physician should be cautious about the complication of macular atrophy. Rouvas et al compared the efficacy of IVR, IVR plus PDT, and IVT plus PDT, and they concluded that IVT plus PDT carried the risk of the progression of post-treatment geographic atrophy despite a successful anatomical or functional outcome.52
Inoue et al reported the three-year results of IVR for the treatment of RAP and found a correlation between post-treatment VA and simultaneous macular atrophy.49 Retinochoroidal atrophy after anti-VEGF therapy cannot be overlooked.
Another complication that requires close attention is RPE tears.53 This complication is known to be a part of the natural history of AMD with PED, including stage 2 or 3 of the RAP lesion. If the fovea were to be involved within the area of the RPE defect, the visual function would be devastated severely and irreversibly.
Introini et al reported a relatively high incidence (37%) of a new-onset RPE tears after anti-VEGF treatment in eyes with RAP with vascularized PED.54 Careful monitoring of FAF images may help in the early detection of an RPE tear and its remodeling.55
FOLLOW-UP OF UNAFFECTED FELLOW EYES OF RAP PATIENTS
In 2005, Gross et al reported that RAP lesions affected the fellow eye at the cumulative risk of 40% after one year, 56% after two years, and 100% after three years.56 In 2010, Campa et al reported the same incidence but 60% in three years in white patients.57 More recently, Sawa and associates found that approximately 50% of the fellow eyes of Japanese RAP patients were affected after a mean follow-up of four years. They also reported the presence of reticular pseudodrusen as a risk factor for bilateral RAP lesions.
Therefore, at every visit, the ophthalmologic examination of not only the affected eye but also of the unaffected fellow eye is strongly recommended, to find any new-onset RAP lesions and to prevent the consequent bilateral visual loss and subsequent impairment in the quality of life. Eyes in the early phase of stage 1 RAP are known to show CME as the first exudative change on OCT imaging.58 Thus, OCT is a useful and noninvasive way to keep monitoring the unaffected fellow eye. If a new-onset lesion is detected at an earlier stage, such as stage 1, anti-VEGF monotherapy will be effective, and the visual function can be preserved. RP
REFERENCES
1. Yannuzzi LA, Sorenson J, Spaide RF, Lipson B. Idiopathic polypoidal choroidal vasculopathy (IPCV). Retina. 1990;10:1-8.
2. Laude A, Cackett PD, Vithana EN, et al. Polypoidal choroidal vasculopathy and neovascular age-related macular degeneration: same or different disease? Prog Retin Eye Res. 2010;29:19-29.
3. Spaide RF, Yannuzzi LA, Slakter JS, Sorenson J, Orlach DA. Indocyanine green videoangiography of idiopathic polypoidal choroidal vasculopathy. Retina. 1995;15:100-110.
4. Yannuzzi LA, Freund KB, Goldbaum M, et al. Polypoidal choroidal vasculopathy masquerading as central serous chorioretinopathy. Ophthalmology. 2000;107:767-777.
5. Iijima H, Imai M, Gohdo T, Tsukahara S. Optical coherence tomography of idiopathic polypoidal choroidal vasculopathy. Am J Ophthalmol. 1999;127:301-305.
6. Iijima H, Iida T, Imai M, Gohdo T, Tsukahara S. Optical coherence tomography of orange-red subretinal lesions in eyes with idiopathic polypoidal choroidal vasculopathy. Am J Ophthalmol. 2000;129:21-26.
7. Sato T, Kishi S, Watanabe G, Matsumoto H, Mukai R. Tomographic features of branching vascular networks in polypoidal choroidal vasculopathy. Retina. 2007;27:589-594.
8. De Salvo G, Vaz-Pereira S, Keane PA, Tufail A, Liew G. Sensitivity and specificity of spectral-domain optical coherence tomography in detecting idiopathic polypoidal choroidal vasculopathy. Am J Ophthalmol. 2014;158:1228-1238 e1221.
9. Yamagishi T, Koizumi H, Yamazaki T, Kinoshita S. Fundus autofluorescence in polypoidal choroidal vasculopathy. Ophthalmology. 2012;119:1650-1657.
10. Gomi F, Ohji M, Sayanagi K, et al. One-year outcomes of photodynamic therapy in age-related macular degeneration and polypoidal choroidal vasculopathy in Japanese patients. Ophthalmology. 2008;115:141-146.
11. Hirami Y, Tsujikawa A, Otani A, et al. Hemorrhagic complications after photodynamic therapy for polypoidal choroidal vasculopathy. Retina. 2007;27:335-341.
12. Gomi F, Sawa M, Sakaguchi H, et al. Efficacy of intravitreal bevacizumab for polypoidal choroidal vasculopathy. Br J Ophthalmol. 2008;92:70-73.
13. Gomi F, Sawa M, Wakabayashi T, Sasamoto Y, Suzuki M, Tsujikawa M. Efficacy of intravitreal bevacizumab combined with photodynamic therapy for polypoidal choroidal vasculopathy. Am J Ophthalmol. 2010;150:48-54 e41.
14. Hikichi T, Higuchi M, Matsushita T, et al. One-year results of three monthly ranibizumab injections and as-needed reinjections for polypoidal choroidal vasculopathy in Japanese patients. Am J Ophthalmol. 2012;154:117-124 e111.
15. Koh A, Lee WK, Chen LJ, et al. EVEREST study: efficacy and safety of verteporfin photodynamic therapy in combination with ranibizumab or alone versus ranibizumab monotherapy in patients with symptomatic macular polypoidal choroidal vasculopathy. Retina. 2012;32:1453-1464.
16. Oishi A, Kojima H, Mandai M, et al. Comparison of the effect of ranibizumab and verteporfin for polypoidal choroidal vasculopathy: 12-month LAPTOP study results. Am J Ophthalmol. 2013;156:644-651.
17. Oishi A, Miyamoto N, Mandai M, et al. LAPTOP study: a 24-month trial of verteporfin versus ranibizumab for polypoidal choroidal vasculopathy. Ophthalmology. 2014;121:1151-1152.
18. Koizumi H, Yamagishi T, Yamazaki T, Kinoshita S. Predictive factors of resolved retinal fluid after intravitreal ranibizumab for polypoidal choroidal vasculopathy. Br J Ophthalmol. 2011;95:1555-1559.
19. Koizumi H, Yamagishi T, Yamazaki T, Kinoshita S. Relationship between clinical characteristics of polypoidal choroidal vasculopathy and choroidal vascular hyperpermeability. Am J Ophthalmol. 2013;155:305-313 e301.
20. Ijiri S, Sugiyama K. Short-term efficacy of intravitreal aflibercept for patients with treatment-naive polypoidal choroidal vasculopathy. Graefes Arch Clin Exp Ophthalmol. 2015;253:351-357.
21. Inoue M, Arakawa A, Yamane S, Kadonosono K. Short-term efficacy of intravitreal aflibercept in treatment-naive patients with polypoidal choroidal vasculopathy. Retina. 2014;34:2178-2184.
22. Oishi A, Tsujikawa A, Yamashiro K, et al. One year result of aflibercept treatment on age-related macular degeneration and predictive factors for visual outcome. Am J Ophthalmol. 2015 Jan 26. [Epub ahead of print]
23. Kokame GT, Yeung L, Lai JC. Continuous anti-VEGF treatment with ranibizumab for polypoidal choroidal vasculopathy: 6-month results. Br J Ophthalmol. 2010;94:297-301.
24. Spaide RF, Koizumi H, Pozzoni MC. Enhanced depth imaging spectral-domain optical coherence tomography. Am J Ophthalmol. 2008;146:496-500.
25. Hata M, Oishi A, Tsujikawa A, et al. Efficacy of intravitreal injection of aflibercept in neovascular age-related macular degeneration with or without choroidal vascular hyperpermeability. Invest Ophthalmol Vis Sci. 2014;55:7874-7880.
26. Koizumi H, Kano M, Yamamoto A, et al. Short-term changes in choroidal thickness after aflibercept therapy for neovascular age-related macular degeneration. Am J Ophthalmol. 2014 Dec 30. [Epub ahead of print]
27. Yamazaki T, Koizumi H, Yamagishi T, Kinoshita S. Subfoveal choroidal thickness after ranibizumab therapy for neovascular age-related macular degeneration: 12-month results. Ophthalmology. 2012;119:1621-1627.
28. Kumar N, Marsiglia M, Mrejen S, et al. Visual and anatomical outcomes of intravitreal aflibercept in eyes with persistent subfoveal fluid despite previous treatments with ranibizumab in patients with neovascular age-related macular degeneration. Retina. 2013;33:1605-1612.
29. Ho VY, Yeh S, Olsen TW, et al. Short-term outcomes of aflibercept for neovascular age-related macular degeneration in eyes previously treated with other vascular endothelial growth factor inhibitors. Am J Ophthalmol. 2013;156:23-28 e22.
30. Bakall B, Folk JC, Boldt HC, et al. Aflibercept therapy for exudative age-related macular degeneration resistant to bevacizumab and ranibizumab. Am J Ophthalmol. 2013;156:15-22 e11.
31. Cho H, Shah CP, Weber M, Heier JS. Aflibercept for exudative AMD with persistent fluid on ranibizumab and/or bevacizumab. Br J Ophthalmol. 2013;97:1032-1035.
32. Miura M, Iwasaki T, Goto H. Intravitreal aflibercept for polypoidal choroidal vasculopathy after developing ranibizumab tachyphylaxis. Clin Ophthalmol. 2013;7:1591-1595.
33. Yonekawa Y. Aflibercept for the treatment of refractory polypoidal choroidal vasculopathy. Can J Ophthalmol. 2013;48:e59-60.
34. Cheung CM, Mohla A, Wong TY. Resolution of persistent pigment epithelial detachment secondary to polypoidal choroidal vasculopathy in response to Aflibercept. Eye (Lond). 2014;28:1148-1149.
35. Kawashima Y, Oishi A, Tsujikawa A, et al. Effects of aflibercept for ranibizumab-resistant neovascular age-related macular degeneration and polypoidal choroidal vasculopathy. Graefes Arch Clin Exp Ophthalmol. 2014 Nov 13. [Epub ahead of print]
36. Saito M, Kano M, Itagaki K, Oguchi Y, Sekiryu T. Switching to intravitreal aflibercept injection for polypoidal choroidal vasculopathy refractory to ranibizumab. Retina. 2014;34:2192-2201.
37. Yamashita M, Nishi T, Hasegawa T, Ogata N. Response of serous retinal pigment epithelial detachments to intravitreal aflibercept in polypoidal choroidal vasculopathy refractory to ranibizumab. Clin Ophthalmol. 2014;8:343-346.
38. Yannuzzi LA, Negrao S, Iida T, et al. Retinal angiomatous proliferation in age-related macular degeneration. Retina. 2001;21:416-434.
39. Freund KB, Ho IV, Barbazetto IA, et al. Type 3 neovascularization: the expanded spectrum of retinal angiomatous proliferation. Retina. 2008;28:201-211.
40. Ueda-Arakawa N, Ooto S, Nakata I, et al. Prevalence and genomic association of reticular pseudodrusen in age-related macular degeneration. Am J Ophthalmol. 2013;155:260-269 e262.
41. Cohen SY, Creuzot-Garcher C, Darmon J, et al. Types of choroidal neovascularisation in newly diagnosed exudative age-related macular degeneration. Br J Ophthalmol. 2007;91:1173-1176.
42. Maruko I, Iida T, Saito M, Nagayama D, Saito K. Clinical characteristics of exudative age-related macular degeneration in Japanese patients. Am J Ophthalmol. 2007;144:15-22.
43. Yamazaki T, Koizumi H, Yamagishi T, Kinoshita S. Subfoveal choroidal thickness in retinal angiomatous proliferation. Retina. 2014;34:1316-1322.
44. Koizumi H, Iida T, Saito M, Nagayama D, Maruko I. Choroidal circulatory disturbances associated with retinal angiomatous proliferation on indocyanine green angiography. Graefes Arch Clin Exp Ophthalmol. 2008;246:515-520.
45. Engelbert M, Zweifel SA, Freund KB. “Treat and extend” dosing of intravitreal antivascular endothelial growth factor therapy for type 3 neovascularization/retinal angiomatous proliferation. Retina. 2009;29:1424-1431.
46. Atmani K, Voigt M, Le Tien V, et al. Ranibizumab for retinal angiomatous proliferation in age-related macular degeneration. Eye (Lond). 2010;24:1193-1198.
47. Gharbiya M, Parisi F, Cruciani F, Bozzoni-Pantaleoni F, Pranno F, Abdolrahimzadeh S. Intravitreal anti-vascular endothelial growth factor for retinal angiomatous proliferation in treatment-naive eyes: long-term functional and anatomical results using a modified PrONTO-style regimen. Retina. 2014;34:298-305.
48. Gharbiya M, Allievi F, Recupero V, Martini D, Mazzeo L, Gabrieli CB. Intravitreal bevacizumab as primary treatment for retinal angiomatous proliferation: twelve-month results. Retina. 2009;29:740-749.
49. Inoue M, Arakawa A, Yamane S, Kadonosono K. Long-term results of intravitreal ranibizumab for the treatment of retinal angiomatous proliferation and utility of an advanced RPE analysis performed using spectral-domain optical coherence tomography. Br J Ophthalmol. 2014;98:956-960.
50. Fung AE, Lalwani GA, Rosenfeld PJ, et al. An optical coherence tomography-guided, variable dosing regimen with intravitreal ranibizumab (Lucentis) for neovascular age-related macular degeneration. Am J Ophthalmol. 2007;143:566-583.
51. Lalwani GA, Rosenfeld PJ, Fung AE, et al. A variable-dosing regimen with intravitreal ranibizumab for neovascular age-related macular degeneration: year 2 of the PrONTO Study. Am J Ophthalmol. 2009;148:43-58 e41.
52. Rouvas AA, Chatziralli IP, Theodossiadis PG, Moschos MM, Kotsolis AI, Ladas ID. Long-term results of intravitreal ranibizumab, intravitreal ranibizumab with photodynamic therapy, and intravitreal triamcinolone with photodynamic therapy for the treatment of retinal angiomatous proliferation. Retina. 2012;32:1181-1189.
53. Cunningham ET Jr, Feiner L, Chung C, Tuomi L, Ehrlich JS. Incidence of retinal pigment epithelial tears after intravitreal ranibizumab injection for neovascular age-related macular degeneration. Ophthalmology. 2011;118:2447-2452.
54. Introini U, Torres Gimeno A, Scotti F, Setaccioli M, Giatsidis S, Bandello F. Vascularized retinal pigment epithelial detachment in age-related macular degeneration: treatment and RPE tear incidence. Graefes Arch Clin Exp Ophthalmol. 2012;250:1283-1292.
55. Mendis R, Lois N. Fundus autofluorescence in patients with retinal pigment epithelial (RPE) tears: an in-vivo evaluation of RPE resurfacing. Graefes Arch Clin Exp Ophthalmol. 2014;252:1059-1063.
56. Gross NE, Aizman A, Brucker A, Klancnik JM Jr, Yannuzzi LA. Nature and risk of neovascularization in the fellow eye of patients with unilateral retinal angiomatous proliferation. Retina. 2005;25:713-718.
57. Campa C, Harding SP, Pearce IA, Beare NA, Briggs MC, Heimann H. Incidence of neovascularization in the fellow eye of patients with unilateral retinal angiomatous proliferation. Eye (Lond). 2010;24:1585-1589.
58. Matsumoto H, Sato T, Kishi S. Tomographic features of intraretinal neovascularization in retinal angiomatous proliferation. Retina. 2010;30:425-430.







