En Face OCT Imaging in Retinal Disorders
An emerging technique offers innovative insights.
MICHAEL HEIFERMAN, MD • JOSEPH SIMONETT, BS • AMANI FAWZI, MD
Optical coherence tomography technology has progressed rapidly since its first introduction to ophthalmology.1 Improved axial resolution and increased scanning speeds have facilitated the introduction of new OCT techniques that more effectively visualize the posterior segment.2
En face OCT is one of the OCT visualization approaches that has significantly benefited from technical advancements in OCT technology. En face OCT in current systems is based on software reconstruction of OCT images.
While clinicians are used to viewing high-resolution OCT cross-sectional scans, en face OCT takes a different approach. After using a dense raster scan to acquire an image cube of the posterior pole, software is used to reconstruct C-scan images on the coronal plane.
Needless to say, because individual cross-sectional OCT scans are obtained in sequence (raster scanning) and then reconstructed in postprocessing, eye movements can create significant image artifacts. These artifacts can be minimized through fixation tracking or postprocessing registration of the projected OCT volume using retinal blood vessels or by generating an OCT volume scan comprised of vertical and horizontal raster scans, which are some of the approaches that are used by different OCT manufacturers.
En face OCT provides numerous advantages, most notably the ability to precisely localize lesions within specific subretinal layers, using their axial location on OCT cross-sections, as well as the ability to register projected OCT images to other fundus imaging modalities, using retinal vessels as landmarks.
Michael Heiferman, MD, is a recent graduate of the Feinberg School of Medicine at Northwestern University in Evanston, IL, and will begin a residency there in September. Joseph Simonett, BS, is a fourth-year medical student at Northwestern, and Amani Fawzi, MD, is associate professor of ophthalmology at Northwesstern. None of the authors reports any financial interests in products mentioned in this article. Dr. Fawzi can be reached via e-mail at afawzimd@gmail.com.
ASPECTS OF DIFFERENT MODALITIES
En face OCT images can be generated using time-domain, spectral-domain, or swept-source OCT methods, with benefits and limitations of each. T-scans can be obtained using TD-OCT to generate C-scan images in real time.3 Alternatively, A-scans can be obtained using TD-OCT, SD-OCT, or SS-OCT to generate B-scans that are reconstructed to C-scans after postprocessing. During postprocessing, a “3D brick” or “volume scan” is generated and then sliced on the coronal plane by software manipulation.
Spectral-domain OCT allows for faster image capture than TD-OCT, because it eliminates the need for mechanical depth scanning. However, the ability of TD-OCT to capture live images and achieve dynamic focusing on the axial plane could present a potential advantage of TD-OCT over SD-OCT, especially in the setting of simultaneous imaging modalities.4,5
Swept-source OCT utilizes a longer wavelength that allows for improved penetration and enhanced resolution of the deeper layers of the eye, including the choroid and sclera. Furthermore, it is capable of faster scanning rates, allowing for image capture at twice the speed of SD-OCT.6,7
In 1997, Podoleanu et al first suggested using OCT to generate en face images of the retina.8 This technique offered the potential to image individual retinal layers on the coronal plane, overcoming the inability to precisely monitor B-scan findings over time and allowing clinicians to correlate these findings with other fundus imaging modalities. However, speed and resolution limitations delayed the widespread adoption of this technique.
Over time, improved software segmentation and the higher speeds of SD-OCT facilitated an increased interest and utilization of en face OCT images of various ophthalmologic diseases.9 En face OCT is currently being applied to various specialized areas within the eye, including the anterior segment, glaucoma, infectious disease, and retina.10-12 We focus here on diseases of the retina and describe future applications of en face OCT.
MEWDS
The ability of en face OCT to image individual retinal layers on the transverse plane is one of its greatest benefits, especially in diseases that focally affect a specific retinal sublayer, such as multiple evanescent white dot syndrome (MEWDS). With advancements in multimodal imaging, our understanding of the pathogenesis and progression of MEWDS is constantly evolving. Therefore, en face OCT provides a new method for studying this disease.
De Bats et al recently published a thorough description of the en face OCT findings of MEWDS.13 En face OCT revealed diffuse and focal disruptions of the inner and outer segment junction and interdigitation zone. These disruptions were correlated closely with fundus autofluorescence and indocyanine green angiography, suggesting that the disease does not primarily involve the choroid, as was previously suspected based on hypofluoresent lesions seen on late-phrase ICGA. Similarly, outer retinal findings in other white dot syndromes have been studied using en face OCT.14
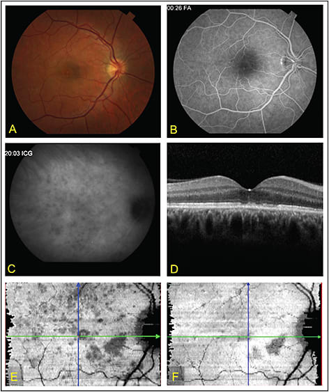
In addition to studying the course of MEWDS, en face OCT offers benefits for the diagnosis and monitoring of this disease. Multiple studies have demonstrated that OCT B-scans are useful in the diagnosis and monitoring of MEWDS.15-17 En face OCT offers the ability to more easily monitor the recovery of the inner and outer segment junction and interdigitation zone (Figure 1).
Figure 1. Case of multiple evanescent white dots syndrome (MEWDS). A) Color fundus photography shows classic yellowish, central foveal granularity. B) Fluorescein angiography demonstrates the typical faint, discrete, wreath-like patterns. C) Late-phase indocyanine green angiography showing a large number of hypofluorescent MEWDS lesions. D) Cross-sectional B-scan. E, F) En face OCT images at the level of the IS/OS-ellipsoid layer at time of presentation and four-week follow-up, respectively. Green line represents location of cross-sectional B-scan (D) on initial en face OCT. Comparing the en face OCT scans shows remarkable recovery of the IS/OS layer, typical for MEWDS.
Given the established importance of these retinal layers to visual acuity, en face OCT is an attractive method for monitoring resolution of this self-limiting disease, as well as treatment response in other layer-specific outer retinal conditions, such as macular telangiectasia.18
CYSTOID MACULAR EDEMA
Monitoring the resolution of edematous spaces in cystoid macular edema is an essential component of the management of this disease process. OCT B-scans can aid in the diagnosis of CME and the identification of etiologies, including vitreomacular traction syndrome (VMT) and epiretinal membranes.19
However, en face OCT offers the distinct advantage of tracking the overall extension of edema and precisely localizing even the smallest cystic spaces to their subretinal locations, allowing for better follow-up comparisons.
Wanek et al investigated the ability of en face OCT to determine photoreceptor cell integrity in patients with CME.20 Using en face OCT, these authors found a strong correlation between the loss of integrity of the inner and outer segment junction and areas with edema in one of their patients, although this finding could potentially have been related to artifacts from signal attenuation under the cystic spaces.19,21 This finding is clinically relevant because photoreceptor integrity has been associated with VA in multiple diseases of the retina.
Yamaike et al used OCT in 20 eyes with CME associated with retinal vein occlusion and evaluated retinal layers.22 While B-scans allowed for the identification of retinal layers affected by CME, en face OCT visualized the extent to which the cystoid spaces affected each of these layers.
Forte et al imaged 15 eyes with visually significant VMT, including 12 cases of CME.23 In all of the cases, the lateral extent of the vitreous traction bands was better observed using en face OCT as hyper-reflective sigmoid shaped bands within the otherwise hyporeflective vitreal cavity. This study provided evidence that en face OCT may be useful in planning excisions of focally attached posterior hyaloid and the vitreomacular interface.
The ability to precisely map CME using en face OCT offers potential value in studying both the disease pathogenesis and therapeutic outcomes. Recently, our group investigated the correlation between VA and baseline en face OCT imaging in CME. We found that preserved retinal tissue on baseline OCT was correlated better with future vision (after CME resolution) than with current vision at baseline, suggesting a role for this approach to predict potential vision.24
GEOGRAPHIC ATROPHY
In nonexudative age-related macular degeneration, the areas affected by geographic atrophy are characterized by loss of the photoreceptor layer, retinal pigment epithelium, and choriocapillaris.25,26 The involvement of multiple layers of the retina make en face OCT a useful tool for the study of GA.
In 2008, Stopa et al compared en face OCT to the conventional imaging techniques of color fundus photos, autofluoresence, and angiography in 12 AMD patients, including eight with GA.27 En face OCT images were found to be effective in determining the margins of GA, even in patients with cataracts who had blurred GA margins on color photography.
Nunes et al used en face OCT to study the progression of GA at the inner/outer segment junction of 30 AMD patients.28 Interestingly, outer retinal disruption extending beyond the borders of GA, visualized as focal hyporeflective areas on en face OCT, was found to predict one-year GA progression in 43.3% of eyes.
The same group compared en face OCT to sub-RPE slabs in 50 eyes with GA.29 While both techniques proved effective in quantifying GA, en face OCT was found to have the added benefit of precisely verifying the areas of photoreceptor loss on the fundus view with B-scan images, using a single imaging modality.
POLYPOIDAL CHOROIDAL VASCULOPATHY
The value of en face OCT has been highlighted with its application to polypoidal choroidal vasculopathy, a variant of neovascular AMD characterized by choroidal branching vascular networks (BVNs) that terminate in polypoidal lesions and serosanguinous detachments of the RPE (Figure 2).30 Accurate diagnosis currently relies on ICGA; however, en face OCT has recently been shown to be a reliable, noninvasive imaging modality in these patients.
Figure 2. Case of polypoidal choroidal vasculopathy. A) Color fundus photography. B) Late-phrase indocyanine green angiography demonstrating polypoidal lesions and branching vascular network. C) En face OCT image at the level of RPE, contoured using a normalized RPE curvature. D) En face OCT image in the same eye, contoured to the patient’s actual RPE curvature and located at the level of the IS/OS-ellipsoid layer. Blue horizontal line represents location of corresponding cross-sectional B-scan in panels E and F. E, F) Cross-sectional B-scans and pink lines represent location of corresponding en face OCT in panels C and D, respectively.
In a recent study using SS-OCT, 95.3% of polypoidal lesions seen on ICGA were also identified with en face OCT.31 As demonstrated in Figure 2, en face OCT images obtained using different contours, such as normalized RPE curvature (RPE fit) or contoured to the pathologically elevated RPE, could be rendered to create either a cross-section or an elevation map of the abnormal vasculature.
En face OCT provides anatomic detail of the abnormal vasculature, which is not always well appreciated on ICGA, and it has contributed to an improved understanding of the pathophysiology of PCV.
Alasil et al demonstrated that BVNs could be found above or below Bruch’s membrane and that dilation of the deeper choroidal vessels was often seen below the pathologic lesions.32 Furthermore, en face OCT imaging of the unaffected eye of PCV patients revealed dilated choroidal vessels, suggesting that choroidal vascular dysfunction may precede the development of PCV.
Optical coherence angiography (OCA), a technique based on Doppler shift induced by red blood cell flow, has been combined with SS-OCT to better visualize feeder vessels with active flow connecting the BVN and deeper choroidal vessels.33 The three-dimensional reconstruction of abnormal vascular flow highlights the potential of this technology to replace more invasive ICGA imaging.
The treatment of PCV remains controversial, with randomized, controlled trials comparing anti-VEGF and photodynamic therapy reporting conflicting conclusions.34,35 En face OCT, with its ability to obtain automated volumetric measurements, such as total RPE elevation, may serve as a useful quantitative tool in future treatment trials.36
CHOROID/CHORIOCAPILLARIS
Before the improvement of SD-OCT resolution with enhanced depth imaging, noninvasive, in vivo imaging of the choroid had been difficult. The combination of this technique and en face OCT imaging provides detailed choroidal vascular reconstructions that have been used to confirm previous histopathologic findings, including atrophy of the choriocapillaris in AMD patients.37-39
En face OCT has been used to visualize pathologic features of the choroid, including focal and diffuse choroidal dilation in eyes with central serous chorioretinopathy.40 The authors pointed out that these morphologic changes could not be seen on cross-sectional OCT images and that ICGA was unreliable in this setting due its two-dimensional nature and overlapping fluorescence, making en face OCT the superior screening modality for choroid vascular abnormalities in CSC.
CONCLUSION
With continued and rapid improvements in OCT software and hardware, along with the application of complimentary technologies, including OCA and automated segmentation algorithms, our ability to visualize and monitor retinal changes on the en face plane will continue to improve. Advances in automated segmentation algorithms will allow for enhanced reconstructions that can be adapted to various retinal sublayers when performing en face OCT imaging.
Although automatic segmentation software has been shown to be as accurate as expert graders, the addition of “curve-editing tools” for cases in which automated segmentation requires manual correction will be important to ensuring that images are free of segmentation artifacts.41
En face OCT has proved to be valuable in clinical practice, as well as in research studies examining disease pathophysiology and therapeutic response. Compared to widely spaced conventional cross-sectional scans, which may miss small lesions lying between individual B-scans, en face images could offer a more intuitive way of viewing OCT data and could make screening of the entire scanned retinal area more efficient for busy clinicians. RP
REFERENCES
1. Puliafito CA, Hee MR, Lin CP, et al. Imaging of macular diseases with optical coherence tomography. Ophthalmology. 1995;102:217-229.
2. Gabriele ML, Wollstein G, Ishikawa H, et al. Optical coherence tomography: history, current status, and laboratory work. Invest Ophthalmol Vis Sci. 2011;52:2425-2436.
3. Podoleanu A. Clinical En Face OCT Atlas. New Delhi, India: Jaypee Brothers Medical Publishers; 2013.
4. Pircher M, Gotzinger E, Hitzenberger CK. Dynamic focus in optical coherence tomography for retinal imaging. J Biomed Opt. 2006;11:054013.
5. Rosen RB, Hathaway M, Rogers J, et al. Multidimensional en-face OCT imaging of the retina. Opt Express. 2009;17:4112-4133.
6. Copete S, Flores-Moreno I, Montero JA, Duker JS, Ruiz-Moreno JM. Direct comparison of spectral-domain and swept-source OCT in the measurement of choroidal thickness in normal eyes. Br J Ophthalmol. 2014;98:334-338.
7. Adhi M, Liu JJ, Qavi AH, Grulkowski I, Fujimoto JG, Duker JS. Enhanced visualization of the choroido-scleral interface using swept-source OCT. Ophthalmic Surg Lasers Imaging Retin. 2013;44(6 Suppl):S40-S42.
8. Podoleanu AG, Dobre GM, Webb DJ, Jackson DA. Simultaneous en-face imaging of two layers in the human retina by low-coherence reflectometry. Opt Lett. 1997;22:1039-1041.
9. Kiernan DF, Mieler WF, Hariprasad SM. Spectral-domain optical coherence tomography: a comparison of modern high-resolution retinal imaging systems. Am J Ophthalmol. 2010;149:18-31.
10. Tahiri Joutei Hassani R, Liang H, El Sanharawi M, et al. En-face optical coherence tomography as a novel tool for exploring the ocular surface: a pilot comparative study to conventional B-scans and in vivo confocal microscopy. Ocul Surface. 2014;12:285-306.
11. Mumcuoglu T, Wollstein G, Wojtkowski M, et al. Improved visualization of glaucomatous retinal damage using high-speed ultrahigh-resolution optical coherence tomography. Ophthalmology. 2008;115:782-789.
12. Adhi M, Duker JS. Optical coherence tomography--current and future applications. Curr Opin Ophthalmol. 2013;24:213-221.
13. De Bats F, Wolff B, Vasseur V, et al. “En-face” spectral-domain optical coherence tomography findings in multiple evanescent white dot syndrome. J Ophthalmol. 2014;2014:928028.
14. De Bats F, Wolff B, Mauget-Faysse M, Meunier I, Denis P, Kodjikian L. Association of reticular pseudodrusen and early onset drusen. ISRN Ophthalmol. 2013;2013:273085.
15. Hangai M, Fujimoto M, Yoshimura N. Features and function of multiple evanescent white dot syndrome. Arch Ophthalmol. 2009;127:1307-1313.
16. Li D, Kishi S. Restored photoreceptor outer segment damage in multiple evanescent white dot syndrome. Ophthalmology. 2009;116:762-770.
17. Spaide RF, Koizumi H, Freund KB. Photoreceptor outer segment abnormalities as a cause of blind spot enlargement in acute zonal occult outer retinopathy-complex diseases. Am J Ophthalmol. 2008;146:111-120.
18. Sallo FB, Peto T, Egan C, et al. “En face” OCT imaging of the IS/OS junction line in type 2 idiopathic macular telangiectasia. Invest Ophthalmol Vis Sci. 2012;53:6145-6152.
19. Gallemore RP, Jumper JM, McCuen BW 2nd, Jaffe GJ, Postel EA, Toth CA. Diagnosis of vitreoretinal adhesions in macular disease with optical coherence tomography. Retina. 2000;20:115-120.
20. Wanek J, Zelkha R, Lim JI, Shahidi M. Feasibility of a method for en face imaging of photoreceptor cell integrity. Am J Ophthalmol. 2011;152:807-814.
21. Murakami T, Nishijima K, Akagi T, et al. Optical coherence tomographic reflectivity of photoreceptors beneath cystoid spaces in diabetic macular edema. Invest Ophthalmol Vis Sci. 2012;53:1506-1511.
22. Yamaike N, Tsujikawa A, Ota M, et al. Three-dimensional imaging of cystoid macular edema in retinal vein occlusion. Ophthalmology. 2008;115:355-362.
23. Forte R, Pascotto F, de Crecchio G. Visualization of vitreomacular tractions with en face optical coherence tomography. Eye (Lond). 2007;21:1391-1394.
24. Cohen LM, Goldstein DA, Fawzi AA. Structure-function relationships in uveitic cystoid macular edema: Using en face optical coherence tomography to predict vision. Ocul Immunol Inflamm. In press.
25. Bhutto I, Lutty G. Understanding age-related macular degeneration (AMD): relationships between the photoreceptor/retinal pigment epithelium/Bruch’s membrane/choriocapillaris complex. Mol Aspects Med. 2012;33:295-317.
26. Sarks JP, Sarks SH, Killingsworth MC. Evolution of geographic atrophy of the retinal pigment epithelium. Eye. 1988;2:552-577.
27. Stopa M, Bower BA, Davies E, Izatt JA, Toth CA. Correlation of pathologic features in spectral domain optical coherence tomography with conventional retinal studies. Retina. 2008;28:298-308.
28. Nunes RP, Gregori G, Yehoshua Z, et al. Predicting the progression of geographic atrophy in age-related macular degeneration with SD-OCT en face imaging of the outer retina. Ophthalmic Surg Lasers Imaging Retin. 2013;44:344-359.
29. Yehoshua Z, Garcia Filho CA, Penha FM, et al. Comparison of geographic atrophy measurements from the OCT fundus image and the sub-RPE slab image. Ophthalmic Surg Lasers Imaging Retin. 2013;44:127-132.
30. Yannuzzi LA, Sorenson J, Spaide RF, Lipson B. Idiopathic polypoidal choroidal vasculopathy (IPCV). Retina. 1990;10:1-8.
31. Sayanagi K, Gomi F, Akiba M, Sawa M, Hara C, Nishida K. En-face high-penetration optical coherence tomography imaging in polypoidal choroidal vasculopathy. Br J Ophthalmol. 2015;99:29-35.
32. Alasil T, Ferrara D, Adhi M, et al. En face imaging of the choroid in polypoidal choroidal vasculopathy using swept-source optical coherence tomography. Am J Ophthalmol. 2015;159:634-643.
33. Hong YJ, Miura M, Makita S, et al. Noninvasive investigation of deep vascular pathologies of exudative macular diseases by high-penetration optical coherence angiography. Invest Ophthalmol Vis Sci. 2013;54:3621-3631.
34. Koh A, Lee WK, Chen LJ, et al. EVEREST study: efficacy and safety of verteporfin photodynamic therapy in combination with ranibizumab or alone versus ranibizumab monotherapy in patients with symptomatic macular polypoidal choroidal vasculopathy. Retina. 2012;32:1453-1464.
35. Oishi A, Kojima H, Mandai M, et al. Comparison of the effect of ranibizumab and verteporfin for polypoidal choroidal vasculopathy: 12-month LAPTOP study results. Am J Ophthalmol. 2013;156:644-651.
36. Ho J, Adhi M, Baumal C, et al. Agreement and reproducibility of retinal pigment epithelial detachment volumetric measurements through optical coherence tomography. Retina. 2015;35:467-472.
37. Sohrab M, Wu K, Fawzi AA. A pilot study of morphometric analysis of choroidal vasculature in vivo, using en face optical coherence tomography. PLoS One. 2012;7:e48631.
38. Mullins RF, Johnson MN, Faidley EA, Skeie JM, Huang J. Choriocapillaris vascular dropout related to density of drusen in human eyes with early age-related macular degeneration. Invest Ophthalmol Vis Sci. 2011;52:1606-1612.
39. Lutty G, Grunwald J, Majji AB, Uyama M, Yoneya S. Changes in choriocapillaris and retinal pigment epithelium in age-related macular degeneration. Mol Vis. 1999;5:35.
40. Ferrara D, Mohler KJ, Waheed N, et al. En face enhanced-depth swept-source optical coherence tomography features of chronic central serous chorioretinopathy. Ophthalmology. 2014;121:719-726.
41. Chiu SJ, Li XT, Nicholas P, Toth CA, Izatt JA, Farsiu S. Automatic segmentation of seven retinal layers in SDOCT images congruent with expert manual segmentation. Opt Express. 2010;18:19413-19428.







