PEER REVIEWED
Novel Methods and Diagnostic Tools in Diabetic Retinopathy
DELIA CABRERA DEBUC, PhD
A common cause of blindness, diabetic retinopathy causes sporadic visual or ophthalmic warnings until visual loss develops.1 It is now obvious that satisfactory screening protocols can identify DR at an earlier stage, when preventive steps can be taken in time.
Therefore, the effective management and prevention of eye complications in diabetes requires the development of novel functional and structural techniques and therapeutic strategies, as well as methods for immediate quantitative results and interpretation of clinical data.
CURRENT STATUS OF DR DIAGNOSIS
Although vision is one of our most essential senses, existing eye healthcare recommendations merely advise that most persons visit an eyecare provider every one or two years and that patients with diabetes mellitus receive yearly ophthalmic follow-ups.2 These strategies only aim at a model of care for treating DR based on diagnosis, rather than an opportunity for preventative eyecare and health promotion.
Ophthalmoscopy, fundus photography, and fluorescein angiography are the standard tools to diagnose DR and diabetic macular edema.3,4 However, a wide range of possible solutions, such as imaging devices, eyewear innovations, groundbreaking eyecare treatment, functional tests, vision training, and mobile applications, are demonstrating new ways to promote better eye health and improve the general well-being of individuals with diabetes. This article focuses on novel methods and diagnostic tools for functional and structural testing in DR.
Delia Cabrera DeBuc, PhD, is research associate professor in the Department of Ophthalmology and McKnight Vision Research Center of the Bascom Palmer Eye Institute at the University of Miami in Florida. She reports no financial interests in products mentioned here. Dr. Debuc’s e-mail address is dcabrera2@med.miami.edu. She wishes to thank Gabor M. Somfai, Jing Tian, and Thalmon Campagnoli for their valuable assistance throughout the preparation of this manuscript.
FUNCTIONAL AND STRUCTURAL TESTING IN DR DIAGNOSIS
The existing functional and structural testing methods for diagnosing DR include photographic, tomographic, and electrophysiological techniques. These tools vary in their, invasiveness, complexity, cost, and result quality.
The ideal method for both the practitioner and the patient requires a short testing time, a simple procedure not requiring a photographer, electrophysiologist, or ophthalmologist to administer the test, simple test result interpretation, and immediate quantitative results to provide feedback immediately to patients.
What follows is by no means an in-depth review of methods and technological advancements in DR diagnosis; rather, it is intended to provide a starting point for comparing novel methods and diagnostic tools for functional and structural testing in DR.
ADVANCED RETINAL IMAGING TECHNIQUES
Ultrawidefield Fundus Imaging
Ultrawidefield (UWF) fundus imaging technology has the ability to capture a widefield image (200°) in a single photograph by combining an ellipsoid mirror with a scanning laser ophthalmoscope.
Current devices taking advantage of UWF imaging capability are the Optos (Marlborough, MA) retinal imaging devices (eg, Optomap 200Tx and Daytona imaging systems)5 and Heidelberg Engineering (Carlsbad, CA), which recently introduced a noncontact UWF module that attaches easily to any Spectralis or HRA2 camera head.6
In published results from a recent evaluation in a telescreening setting, the use of Optos UWF imaging increased the identification of DR by 17%, with lesions documented in the periphery, suggesting greater disease severity in 9% of cases compared with standard imaging.7
From a practice efficiency standpoint, less than 3% of the UWF images were considered ungradable (a reduction of 71% from standard imaging), and image evaluation time was decreased by 28%.7
In a similar telescreening study, 22% of patients with diabetes were found to have nondiabetic retinal pathology.8 Moreover, another study reported a 14.9% increase in DR identification using UWF fundus imaging to screen patients with diabetes.9
It is worth noting that, taking into account that the classification of DR based on standard fundus images taken in multiple retinal locations is wrong in approximately 10% to 15% of cases, the ability to capture a widefield image in a single shot may improve our ability to diagnose, grade, and treat diabetic eye disease.10
Optical Coherence Tomography
Optical coherence tomography has revolutionized the clinical practice of ophthalmology.11,12 It provides detailed two-and three-dimensional information about the histological changes in the retina, and it has been proposed as a powerful tool for retinal measurement.11,12
In particular, OCT has been used to measure the volume and total thickness of the retina, along with structural changes of the various cellular layers of the retina with the aid of segmentation algorithms.13,14
In addition to revealing the presence of exudate, photoreceptor atrophy, and hemorrhage, OCT facilitates the visualization of fluid regions.
The role of OCT in the assessment and management of diabetic eye complications has become significant in understanding the vitreoretinal relationships and the internal architecture of the retina in diabetes.14-20 OCT has improved DR and mostly DME management by enabling the direct evaluation of retinal thickness and the quantitative follow-up of retinal thickness changes that may greatly influence therapeutic decisions.
Several studies have supported the concept that early DR includes a neurodegenerative component.21-36 In 2009, thinning of the total retina in type 1 diabetes (T1D) patients with mild nonproliferative DR (MDR) relative to normal controls was found to be the result of selective thinning of intraretinal layers.21 This study team also published results that demonstrated loss of visual function in the macula and related thinning of the ganglion cell layer (GCL) in the pericentral area of the macula of diabetic individuals.22,23
Another study comparing eyes with MDR to diabetic eyes with no DR found reduced retinal nerve fiber layer RNFL thickness in the pericentral and peripheral macular regions and reduced thickness of the GCL and the inner photoreceptor layer in the pericentral region of the macula.24
While Vujosevic et al25 and van Dijk et al21-23 found only early alterations in the inner retina in diabetics without DR or with initial DR, DeBuc et al’s study suggested that the outer segment of the photoreceptor layer may be vulnerable in T1D patients both with and without early DR.26
The results by DeBuc et al might also indicate that an early sign of vascular alteration development could be detected by investigating the changes in optical properties and the thickness of the outer plexiform layer (OPL). However, further investigation is required to determine whether or not outer retinal changes might be associated with long-term inner retinal pathology.26
Akshikar et al also reported significant thinning of the outer retinal segment in the ETDRS regions when investigating macular thickness differences in age-matched subjects using Spectralis SD-OCT.27 Inconsistent results have been reported by different studies, indicating that caution should be taken when preparing future studies involving diabetic subjects and OCT imaging.28-37
Doppler OCT imaging has also demonstrated its clinical utility in detecting blood flow changes in patients with DR, as well as in evaluating the 3D architecture of neovascular complexes in proliferative DR.38-40
Optical coherence angiography (OCA), one of the latest ophthalmic imaging developments, can be used both to analyze blood flow quantitatively and to provide high-contrast images of the retinal vascular bed immediately and without the need for dye injection.41-44
Recent studies have shown the potential of this modality to assess capillary dropout and to confirm neovascularization in other retinal diseases.45-47 Although no studies have been reported to date, OCA applications in diabetic eye complications may provide an alternative to more accurate diagnosis and management of DR and DME by quantitatively assessing capillary dropout and retinal neovascularization.
Further developments in OCT technology may impact DR diagnosis and improve the management of this disease. However, a low-cost solution must be found to introduce successfully its application in population-based screening programs.
Adaptive Optics
The possibility of compensating for deviation of light from the ideal shape originating from the cornea and the lens using a deformable mirror has improved the performance of optical imaging in the ophthalmic field.
In particular, the reduction of the effects of wavefront distortions with the use of adaptive optics (AO) technology has facilitated the lateral resolution of ophthalmoscopes to the microscopic scale, by compensating for astigmatism and higher-order aberrations.
Retinal imaging using AO was first used to visualize single-cone photoreceptors. Currently, both cone and rod photoreceptors can be imaged using this technology.48 Moreover, AO systems have been coupled with flood-illuminated cameras,49 scanning laser ophthalmoscopes,50 and OCT.51
Regarding applications in DR diagnosis, retinal microvascular and perfusion alterations in diabetic patients have been observed using SLO-based AO imaging (Figure 1, page 24).52,53
Figure 1. Adaptive optics image showing a microaneurysm in a diabetic patient using the rtx1 Adaptive Optics Retinal Camera (Imagine Eyes, Paris, France). Note that the aneurysm is also in focus and shows a bright central reflex due to its dome shape. Diabetic retinopathy could not be detected by other techniques in this patient.
IMAGE COURTESY OF DR. MARCO LOMBARDO, BIETTI FOUNDATION, ROME, ITALY.
In addition, AO-OCT and AO retinal cameras have facilitated the assessment of noninvasive imaging of the retinal capillary network.54,55 Also, Lombardo et al found a subtle decease in parafoveal cone density in diabetic patients, compared to age-matched control subjects.56
Recently, extensive capillary remodeling was found despite the subjects having only mild or moderate nonproliferative DR.57 Compared with existing clinical classifications, based on lower-resolution retinal imaging modalities, AO could effectively improve clinical classification of diabetic individuals by measuring crucial microvascular differences among patients.57
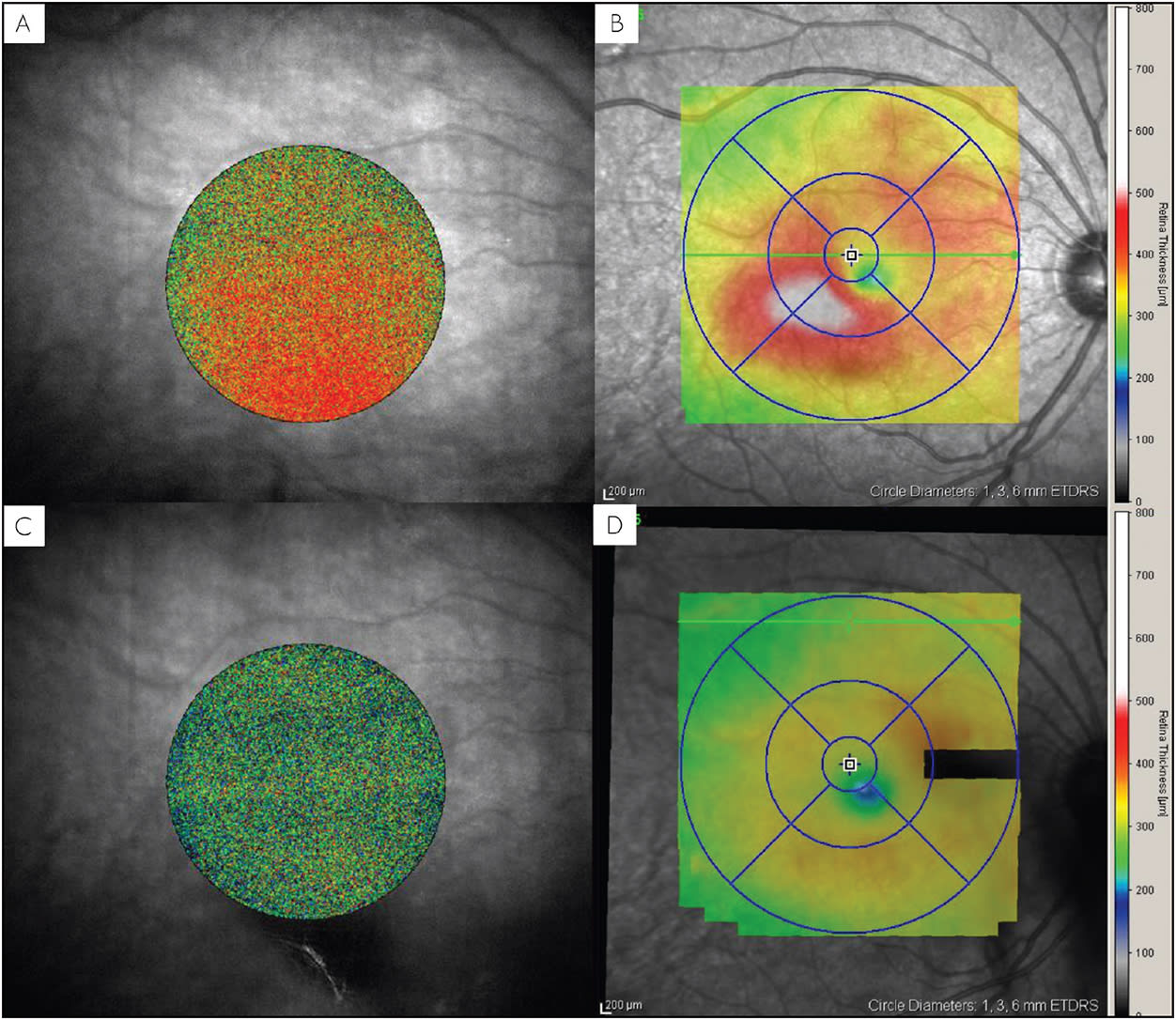
Retinal Function Imager
The Retinal Function Imager (RFI, Optical Imaging Ltd., Rehovot, Israel) is a relatively new device that enables the in vivo, noninvasive functional assessment of retinal blood flow. It performs noninvasive qualitative and quantitative imaging of blood flow in the secondary and tertiary vessels of the main retinal arteries and veins, using a stroboscopic fundus camera.58
With this technique, under red-free (green) illumination, the blood flow velocity is calculated by the movement of red blood cells within the retina in a short interval of less than 140 msec. No contrast agent is needed for the examination because the contrast by moving red blood cells is used for the imaging, also providing an image of the capillary perfusion map of the macula (Figure 2).
Figure 2. Images from the Retinal Function Imager demonstrating the pathological signatures of a patient with PDR. Top: Noninvasive capillary perfusion map (nCPM) in a patient’s eye with extensive retinal ischemia due to PDR. The custom-built OCT thickness map is overlaid on the nCPM. Note how the areas of thinning (represented in blue) on the OCT map overlap with the capillary dropout. Bottom: Temporal macular thinning as seen on the OCT macular thickness map (left) and on the horizontal B-scan (right), corresponding to the green horizontal line on the map. The vertical green line on the OCT B-scan (right) indicates the central foveal position. The horizontal green line indicates the position of the Spectralis’s OCT B-scan on the fundus image (left).
IMAGES COURTESY OF WILLIAM E. SMIDDY, MD, THALMON CAMPAGNOLI, MD, JING TIAN, PhD, AND GABOR M. SOMFAI, MD, PhD, BASCOM PALMER EYE INSTITUTE, MIAMI, FL.
Studies using the RFI have shown that, in early diabetes without DR, there is increased velocity in the retinal arterioles and venules, while in DR, the velocities decrease in both.59,60
The RFI, as a dynamic tool with angiographic capabilities, facilitates the quantification of retinal hemodynamic signatures at the level of small vessels, such as the capillaries, as well as collateral and shunt vessels. Specifically, detection of the increase in erythrocyte accumulation in smaller vessels is needed to target the microvascular disturbances better in DR. This ability could help us to elucidate abnormal changes other than typical morphological changes that can be detected in DR by routine clinical assessments.
Metabolic Imaging
A novel instrument that takes advantage of flavoprotein autofluorescence, a spectral biomarker for metabolism, is among the recent tools for diabetes screening and management.61
This noninvasive device captures images of the eye to detect metabolic stress and tissue damage by measuring the intensity of cellular fluorescence in retinal tissue (Ocusciences, Inc., Ann Arbor, MI; Figure 3). It takes approximately five minutes to test both eyes, and it could be useful for screening people who are at risk for diabetes but have not been diagnosed. It could also be used to monitor disease progression and improvements with therapy.
Figure 3. Effect of anti-VEGF therapy in a patient with DME using retinal metabolic imaging (OcuSciences, Inc., Ann Arbor, MI). A) Flavoprotein fluorescence (FPF) metabolic image pretreatment from a 31-year-old DME patient. Note the colorization heterogeneity in the FPF signal. FPF colorization is like a weather map, showing highs (warm colors [red]) and lows (cool colors [blue]) in the FPF signal. B) En face OCT image pretreatment with the ETDRS thickness map overlaid. C) FPF metabolic image showing colorization homogeneity at week 10 after anti-VEGF therapy. D) En face OCT image at week 10 with the ETDRS thickness map overlaid.
IMAGES COURTESY OF ERICH HEISE, BS, AND VICTOR M. ELNER, MD, PhD, OCUSCIENCES, INC., ANN ARBOR, MI.
The inventors, two scientists at the University of Michigan Kellogg Eye Center, have reported that individuals with DR in at least one eye had significantly greater mitochondria flavoprotein autofluorescence activity than people with diabetes who did not have any visible eye disease.62
NOVEL ELECTROPHYSIOLOGICAL TECHNIQUES
The RETeval device (LKC Technologies, Inc., Gaithersburg, MD), a novel and noninvasive functional test, has the potential to greatly reduce the prevalence of visual impairment from untreated diabetic complications.63 This functional device measures full-field electroretinogram cone B-wave flicker implicit times quickly and easily in a clinical setting. Both eyes can be tested in approximately three minutes, with immediate results. In particular, the 30-Hz flicker response has been shown to be correlated well with the development of PDR.64-66
The RETeval device examines the level of ischemia present in the retina by measuring electrical signals generated by the eye (30-Hz ERG). Therefore, it is well suited for actionable DR but not for detecting early DR.
According to recent clinical data presented at the American Diabetes Association’s 74th Scientific Sessions, the RETeval device had a technical failure rate of 0.5% (n=2), compared with a significantly higher failure rate of 15% (n=57) using a traditional fundus camera (P<.001).67
RETeval has many advantages for the clinician over current photographic, tomographic, and electrophysiological techniques, making RETeval potentially suitable for the general practitioner and for population-based screenings.68
FUTURE OF AND CHALLENGES TO THE DIAGNOSIS OF DR
Methods and diagnostic tools to characterize relevant signatures of the human retina are advancing at a rapid rate. In particular, advanced retinal imaging has experienced innovative modifications that have revolutionized our understanding of the DR disease process.
In the very recent literature, DR is now more precisely defined as a neurovascular, rather than a microvascular, disease because neurodegenerative disorder precedes and coexists with microvascular alterations.69
It is hoped that novel emerging techniques along with multimodal grading approaches for DR detection will lead to better descriptions of the DR phenotypes and the complexities of the pathways involved in different stages of DR severity. These enhancements will be of great importance for clinical trials studying the development and progression of DR, as well as for drug discovery.
Although evolving technologies are always under exploration and are often ongoing, extensive insufficiencies still exist in the assessment of diabetic complications in the eye. The limited transverse resolution of OCT systems may be improved by using AO. However, the current small field of view in AO devices further limits its application in routine clinical settings.
In addition, OCT’s field of view should increase with higher-speed devices. Additional emerging imaging techniques, such as hyperspectral imaging, photoacoustic ophthalmoscopy, and molecular imaging, will bring higher resolution and the careful visualization of initial cellular and biochemical processes underlying numerous diseases in the retina.70-72
The multimodal approach with extended functionality (eg, perimetry) may hold the key to improving the capability of retinal imaging. In this respect, complete assessment of the structural and vasculature features may be possible by fusing OCT and OCA with AO.73
Last but not least, a great challenge exists to understanding the impaired autoregulatory responses of the retinal microvasculature to the altered hemodynamic function in connection with DR, which seems to play a critical and somewhat a unique role in all the stages of DR. It is also worth mentioning that this impaired response has direct correlations with some risk factors, such as age, sex, type of diabetes, and even any other diseases coexisting with diabetes.
CONCLUSION
According to investigations in my research group, as well as the research results reported by other groups outlined above, the next decade will be fundamental for understanding the effects of diabetes on the retinal structure and vasculature. The delivery of cost-effective systematic screenings for DR continues to move at a fast pace, with the rapidly evolving fields of mobile, handheld, and wearable technologies, as well as computer-assisted and automated image analysis.74-84
In addition, the integration of genomic data into retinal image analyses will lead to the development of fully personalized monitoring and management of DR. Ultimately, increased portability, ease of use, and durability, as well as automation of both ophthalmic devices and methods of analysis, are likely to transform the diagnosis and management of DR. RP
REFERENCES
1. American Diabetes Association. Diabetic retinopathy. Diabetes Care. 2005;25 (Suppl 1):S90-S93.
2. Fenwick EK, Pesudovs K, Rees G, et al. The impact of diabetic retinopathy: understanding the patient’s perspective. Br J Ophthalmol. 2011;95:774-782.
3. Diabetes Information Clearinghouse. Diabetes, heart disease, and stroke. NIH Publication No.06-5094. Bethesda, MD; National Institutes of Health; 2005.
4. Cunha-Vaz J, Faria de Abreu JR, Campos AJ. Early breakdown of the blood-retinal barrier in diabetes. Br J Ophthalmol. 1975;59:649-656.
5. Optos Web site. Available at: www.optos.com. Accessed January 17, 2015.
6. Ultra-widefield imaging. Available at: http://www.heidelbergengineering.com/us/products/spectralis-models/imaging-modes/ultra-widefield-imaging/. Accessed January 17, 2015.
7. Silva PS, Cavallerano JD, Tolls D, et al. Potential efficiency benefits of nonmydriatic ultrawide field retinal imaging in an ocular telehealth diabetic retinopathy program. Diabetes Care. 2014;37:50-55.
8. Haddad NMN, Silva PS, Cavallerano J, et al. Nondiabetic retinal findings using ultrawide field imaging in a diabetes ocular telehealth program. Invest Ophthalmol Vis Sci. 2014;55:ARVO E-Abstract 2279.
9. Brooks BA. Abstract #354-OR. Presented at: American Diabetes Association’s 74th Scientific Sessions; June 13-17, 2014; San Francisco, CA.
10. Wessel MM, Aaker GD, Parlitsis G, et al. Ultra-wide-field angiography improves the detection and classification of diabetic retinopathy. Retina. 2012;32:785-791.
11. Huang D, Swanson EA, Lin CP, et al. Optical coherence tomography. Science. 1991;254:1178-1181.
12. Drexler W, Fujimoto JG. State-of-the-art retinal optical coherence tomography. Prog Retin Eye Res. 2008;27:45-88.
13. Cabrera DeBuc D. A review of algorithms for segmentation of retinal image data using optical coherence tomography. In: Ho PG, ed. Image Segmentation. InTech; 2011. Available at: http://www.intechopen.com/books/image-segmentation/a-review-of-algorithms-for-segmentation-of-retinal-image-data-using-optical-coherence-tomography. Accessed January 17, 2015.
14. Stanga PE, Bird AC. Optical coherence tomography (OCT): principles of operation, technology, indications in vitreoretinal imaging and interpretation of results. Int Ophthalmol. 2001;23:191-197.
15. Schaudig UH, Glaefke C, Scholz F, et al. Optical coherence tomography for retinal thickness measurement in diabetic patients without clinically significant macular edema. Ophthalmic Surg Lasers. 2000;31:182-186.
16. Oshitari T, Hanawa K, Adachi-Usami E. Changes of macular and RNFL thicknesses measured by Stratus OCT in patients with early stage diabetes. Eye (Lond). 2009;23:884-889.
17. Asefzadeh B, Fisch BM, Parenteau CE, et al. Macular thickness and systemic markers for diabetes in individuals with no or mild diabetic retinopathy. Clin Experiment Ophthalmol. 2008;36:455-463.
18. Goebel W, Kretzchmar-Gross T. Retinal thickness in diabetic retinopathy: a study using optical coherence tomography (OCT). Retina. 2002;22:759-767.
19. Bressler NM, Edwards AR, Antoszyk AN, et al. Retinal thickness on Stratus optical coherence tomography in people with diabetes and minimal or no diabetic retinopathy. Am J Ophthalmol. 2008;145:894-901.
20. Lasker/IRRF Initiative for Innovation in Vision Science. Diabetic Retinopathy: Where We Are and a Path to Progress. Available at: http://www.laskerfoundation.org/programs//archive/2015/March/images/irrf_12.pdf. Accessed February 6, 2015.
21. van Dijk HW, Kok PH, Garvin M, et al. Selective loss of inner retinal layer thickness in type 1 diabetic patients with minimal diabetic retinopathy. Invest Ophthalmol Vis Sci. 2009;50:3404-3409.
22. van Dijk HW, Verbraak FD, Stehouwer M, et al. Association of visual function and ganglion cell layer thickness in patients with diabetes mellitus type 1 and no or minimal diabetic retinopathy. Vision Res. 2011;28, 244-248.
23. van Dijk HW, Verbraak FD, Kok PH, et al. Decreased retinal ganglion cell layer thickness in patients with type 1 diabetes. Invest Ophthalmol Vis Sci. 2010;51:3660-3665.
24. Cabrera DeBuc D, Somfai GM. Early detection of retinal thickness changes in diabetes using Optical Coherence Tomography. Med Sci Monit. 2010;16:MT15-MT21.
25. Vujosevic S, Midena E. Retinal layers changes in human preclinical and early clinical diabetic retinopathy support early retinal neuronal and Müller cells alterations. J Diabetes Res. 2013;2013:905058.
26. DeBuc D, Tatrai E, Laurik L, et al. Identifying Local structural and optical derangement in the neural retina of individuals with type 1 diabetes. J Clin Exp Ophthalmol. 2013;4:289.
27. Akshikar R, Richardson M, Crosby-Nwaobi R, et al. Retinal neuronal changes in people with diabetes. Invest Ophthalmol Vis Sci. 2012;53:2852.
28. Asefzadeh B, Fisch BM, Parenteau CE, et al. Macular thickness and systemic markers for diabetes in individuals with no or mild diabetic retinopathy. Clin Exp Ophthalmol. 2008;36:455-463.
29. Biallosterski C, van Velthoven ME, Michels RP, et al. Decreased optical coherence tomography measured pericentral retinal thickness in patients with diabetes mellitus type 1 with minimal diabetic retinopathy. Br J Ophthalmol. 2007;91:1135-1138.
30. Browning DJ, Fraser CM, Clark S. The relationship of macular thickness to clinically graded diabetic retinopathy severity in eyes without clinically detected diabetic macular edema. Ophthalmology. 2008;115:533-539.
31. Nilsson M, von WG, Wanger P, et al. Early detection of macular changes in patients with diabetes using Rarebit Fovea Test and optical coherence tomography. Br J Ophthalmol. 2007;91:1596-1598.
32. Oshitari T, Hanawa K, Adachi-Usami E. Changes of macular and RNFL thicknesses measured by Stratus OCT in patients with early stage diabetes. Eye. 2009;23:884-889.
33. Pires I, Bernardes RC, Lobo CL, et al. Retinal thickness in 25 eyes with mild nonproliferative retinopathy in patients with type 2 diabetes mellitus: comparison of measurements obtained by retinal thickness analysis and optical coherence tomography. Arch Ophthalmol. 2002;120:1301-1306.
34. Nilsson M, von Wendt G, Wanger P, Martin L. Early detection of macular changes in patients with diabetes using Rarebit Fovea Test and optical coherence tomography. Br J Ophthalmol. 2007;91:1596-1598.
35. Lopes de Faria JM, Russ H, Costa VP. Retinal nerve fibre layer loss in patients with type 1 diabetes mellitus without retinopathy. Br J Ophthalmol. 2002;86:725-728.
36. Verma A, Rani PK, Raman R, et al. Is neuronal dysfunction an early sign of diabetic retinopathy? Microperimetry and spectral domain optical coherence tomography (SD-OCT) study in individuals with diabetes, but no diabetic retinopathy. Eye (Lond). 2009;23:1824-1830.
37. van Dijk HW, Verbraak FD, Kok PH, et al. Early neurodegeneration in the retina of type 2 diabetic patients. Invest Ophthalmol Vis Sci. 2012;53, 2715-2719.
38. Miura M, Hong Y-J, Yasuno Y, et al. Three-dimensional vascular imaging of proliferative diabetic retinopathy by Doppler optical coherence tomography. Am J Ophthalmol. 2015;159:528-538.
39. Lee JC, Wong BJ, Tan O, et al. Pilot study of Doppler optical coherence tomography of retinal blood flow following laser photocoagulation in poorly controlled diabetic patients. Invest Ophthalmol Vis Sci. 2013;54:6104-6111.
40. Wang Y, Fawzi A, Tan O, et al. Retinal blood flow detection in diabetic patients by Doppler Fourier domain optical coherence tomography. Opt. Express. 2009;17:4061-4073.
41. Makita S, Hong Y, Yamanari M, Yatagai T, Yasuno Y. Optical coherence angiography. Opt Express. 2006;14:7821-7840.
42. Wang RK, Jacques SL, Ma Z, et al. Three dimensional optical angiography. Opt. Express. 2007;15:4083-4097.
43. Yasuno Y, Hong Y, Makita S, et al. In vivo high-contrast imaging of deep posterior eye by 1-mm swept source optical coherence tomography and scattering optical coherence angiography. Opt. Express. 2007;15:6121-6139.
44. Jia Y, Tan O, Tokayer J, et al. Split-spectrum amplitude-decorrelation angiography with optical coherence tomography. Opt. Express. 2012;20:4710-4725.
45. Moult E, Choi W, Waheed NK, et al. Ultrahigh-speed swept-source OCT angiography in exudative AMD. Ophthalmic Surg Lasers Imaging Retina. 2014;45:496-505.
46. Thorell MR, Zhang Q, Huang Y, et al. Swept-source OCT angiography of macular telangiectasia type 2. Ophthalmic Surg Lasers Imaging Retina. 2014;45:369-380.
47. Huang Y, Zhang Q, Thorell MR, et al. Swept-source OCT angiography of the retinal vasculature using intensity differentiation-based optical microangiography algorithms. Ophthalmic Surg Lasers Imaging Retina. 2014;45:382-389.
48. Kim JE, Chung M. Adaptive optics for retinal imaging. Retina. 2013;33:1483-1486.
49. Rha J, Jonnal RS, Thorn KE, et al. Adaptive optics flood-illumination camera for high speed retinal imaging. Opt. Express. 2006;14:4552-4569.
50. Roorda A, Romero-Borja F, Donnelly III W, et al. Adaptive optics scanning laser ophthalmoscopy. Opt Express. 2002;10:405-412.
51. Zawadski RJ, Cense B, Zhang Y, et al. Ultrahigh-resolution optical coherence tomography with monochromatic and chromatic aberration correction. Opt. Express. 2008;16:8126-8143.
52. Tam J, Dhamdhere KP, Tiruveedhula P, et al. Disruption of the retinal parafoveal capillary network in type 2 diabetes before the onset of diabetic retinopathy. Invest Ophthalmol Vis Sci. 2011;52:9257-9266.
53. Tam J, Dhamdhere KP, Tiruveedhula P, et al. Subclinical capillary changes in non-proliferative diabetic retinopathy. Optom Vis Sci 2012;89:E692-703.
54. Wang Q, Kocaoglu OP, Cense B, et al. Imaging retinal capillaries using ultrahigh-resolution optical coherence tomography and adaptive optics. Invest Ophthalmol Vis Sci. 2011;52:6292-6299.
55. Lombardo M, Parravano M, Serrao S, et al. Analysis of retinal capillaries in patients with type 1 diabetes and nonproliferative diabetic retinopathy using adaptive optics imaging. Retina. 2013;33:1630-1639.
56. Lombardo M, Parravano M, Lombardo G, et al. Adaptive optics imaging of parafoveal cones in type 1 diabetes. Retina. 2014;34:546-557.
57. Burns SA, Elsner AE, Chui TY, et al. In vivo adaptive optics microvascular imaging in diabetic patients without clinically severe diabetic retinopathy. Biomed Opt. Express. 2014;5:961-974.
58. Nelson DA, Krupsky S, Pollack A, et al. Special report: noninvasive multi-parameter functional optical imaging of the eye. Ophthalmic Surg Lasers Imaging. 2005;36:57-66.
59. Burgansky-Eliash Z, Nelson DA, Bar-Tal OP, et al. Reduced retinal blood flow velocity in diabetic retinopathy. Retina. 2010;30:765-773.
60. Burgansky-Eliash Z, Barak A, Barash A, et al. Increased retinal blood flow velocity in patients with early diabetes mellitus. Retina. 2012;32:112-119.
61. OcuSciences, Inc. Web site. Available at: http://www.ocusciences.com. Accessed January 17, 2015.
62. Field, MG, Elner VM, Puro DG, et al. Rapid, non-invasive detection of diabetes-induced retinal metabolic stress. Arch Ophthalmol. 2008;126:934-938.
63. Kim DB, Ross E, Pham K, et al. New handheld, non-mydriatic ERG device to screen for diabetic retinopathy and other eye diseases. Invest Ophthalmol Vis Sci. 2014;55:ARVO E-Abstract 5118.
64. Tahara K, Matsuura T, Otori, T. Diagnostic evaluation of diabetic retinopathy by 30-Hz flicker electroretinography. Jpn J Ophthalmol. 1993;37:204-210.
65. Satoh S, Iijma H, Imai M, et al. Photopic electroretinogram implicit time in diabetic retinopathy. Jpn J Ophthalmol. 1994;38,178-184.
66. Wu G, Severns M, Ha J, et al. Ganzfeld 30 Hz flicker ERG in early diabetic retinopathy. Paper presented at: Annual Meeting of the International Society for the Clinical Electrophysiology of Vision. May 5, 2007; Fort Lauderdale, FL.
67. Maa A, Pillow E, Feuer W, et al. Comparing technical failure rates in diabetic retinopathy screening between RETeval™, a 30 Hz flicker electroretinogram device, and mydriatic, 7-field, stereo fundus photography. Poster presented at: Meeting of the American Diabetes Association; San Francisco, CA; June 13-17, 2014.
68. Kim DB, Pham K, Gunasekaran V, Brodie SE, Wu G. New handheld, non-mydriatic ERG device to screen for diabetic retinopathy and other eye diseases J Asian Health. Available at: http://journalofasianhealth.com/new-handheld-non-mydriatic-erg-device-to-screen-for-diabetic-retinopathy-and-other-eye-diseases/. Accessed January 17, 2015.
69. Simo R, Hernandez C. Neurodegeneration in the diabetic eye: new insights and therapeutic perspectives. Trends Endocrinol Metabolism. 2014;25:23-33.
70. Mordant DJ, Al-Abboud I, Muyo G, et al. Spectral imaging of the retina. Eye (Lond). 2011;25:309-320.
71. Zhang HF, Puliafito CA, Jiao S. Photoacoustic ophthalmoscopy for in vivo retinal imaging: current status and prospects. Ophthalmic Surg Lasers Imaging. 2011;42:S106-S115.
72. Jiao S, Jiang M, Hu J, et al. Photoacoustic ophthalmoscopy for in vivo retinal imaging, Opt. Express. 2010018:3967-3972.
73. Kurokawa K, Sasaki K, Makita S, et al. Three-dimensional retinal and choroidal capillary imaging by power Doppler optical coherence angiography with adaptive optics. Opt Express. 2012;20:22796-22812.
74. Walsh AC. Binocular optical coherence tomography. Ophthalmic Surg Lasers Imaging. 2011;42(Suppl):S95-S105.
75. Jung W, Kim J, Jeon M, et al. Handheld optical coherence tomography scanner for primary care diagnostics. IEEE Trans Biomed Eng. 2011;58:741-744.
76. Chen DL, Kraus M, Potsaid B. Handheld ultrahigh speed swept source optical coherence tomography instrument using a MEMS scanning mirror. Biomed Opt Express. 2014;5:293-311.
77. Maamari RN, Keenan JD, Fletcher DA, et al. A mobile phone-based retinal camera for portable wide field imaging. Br J Ophthalmol. 2014;98:438-441.
78. Ting DS, Tay-Kearney ML, Kanagasingam Y. Light and portable novel device for diabetic retinopathy screening. Clin Exp Ophthalmol 2012;40:e40-e46.
79. Tran K, Mendel TA, Holbrook KL, et al. Construction of an inexpensive, hand-held fundus camera through modification of a consumer “point-and-shoot” camera. Invest Ophthalmol Vis Sci. 2012;53:7600-7607.
80. Computed assisted retinal analysis. Diagnos, Inc. Web site. Available at: http://www.diagnos.ca/cara/CARA_in_6_steps-en-39. Accessed January 17, 2015.
81. DeBuc D. System and method for early detection of diabetic retinopathy using optical coherence tomography. U.S. Patent No. 8,868,155, Oct 21st, 2014. Available at: http://patentscope.wipo.int/search/en/detail.jsf?docId=WO2010080576. Accessed January 17, 2015.
82. EYESTAR™ Eye disease screening program with DR-RACS™, Diabetic retinopathy referral analysis computer system. Vision Quest Bio Web site. Available at: http://visionquest-bio.com/eyestar-tm.html. Accessed January 17, 2015.
83. IDx Smart retinal imaging. IDx LLC Web site. Available at: http://www.eyediagnosis.net/#!home-us/c1h58. Accessed January 17, 2015.
84. VESsel GENeration analyis (VESGEN) software. National Aeronautics and Space Administration. https://technology.grc.nasa.gov/techdays2012/TechDays_TOPsheets/PS-00921-1112_B506_HH.pdf. Accessed January 17, 2015.







