Finding an Effective Sequential Approach to DME Therapy
Case #5: Fluctuating response to anti-VEGF monotherapy stabilizes and improves with addition of dexamethasone intravitreal implant.
By Michael A. Singer, MD, and Daniel Kermany
The treatment of diabetic macular edema (DME) has evolved over the last 5 years. The emergence of anti-VEGF agents has radically changed the landscape in that the goal of maintaining vision has now been replaced with improving vision in patients with macular edema. However, there is a subset of patients in which an anti-VEGF therapy alone is not enough to control the edema. These cases can be challenging for both the physician and the patient. The following case illustrates one such patient.
Case Report
A 59-year-old woman with type 2 diabetes (diagnosed 10 years prior) presented with DME in the right eye. Her visual acuity was 20/80, and her OCT central field thickness (CFT) was 506 µm. The patient received monthly injections of 0.3 mg ranibizumab (Lucentis, Genentech) for 1 year without significant improvement. Her visual acuity ranged from 20/100 to 20/60, and her OCT CFT ranged from 615 µm to 362 µm.
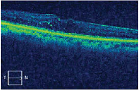
Given the patient’s poor response to anti-VEGF monotherapy, she was switched to a combination of Lucentis followed by the dexamethasone intravitreal implant (Ozurdex, Allergan) 2 weeks later. At the start of the combination therapy, the patient’s visual acuity was 20/100, and her CFT was 565 µm (Figure 1).
Figure 1. Prior to starting combination therapy, visual acuity was 20/100, and CFT was 565 µm.
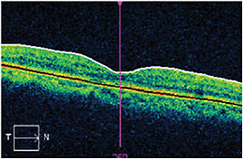
Six weeks after combination therapy, the CFT had decreased to 352 µm and visual acuity had improved to 20/60-2 (Figure 2). The swelling remained stable for 3 months (Figure 3), after which the CFT increased to 546 µm.
Figure 2. Six weeks post combination therapy.
Figure 3. Three months post combination therapy.
The patient was retreated with Lucentis followed by Ozurdex 2 weeks later (Figure 4). One month later, CFT had decreased to 274 µm and visual acuity had improved to 20/40+2 (Figure 5).
Figure 4. After CFT increased, the patient was retreated with Lucentis.
Figure 5. One month post Lucentis, CFT had decreased and visual acuity had improved.
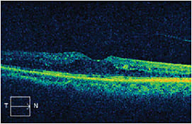
Three months later, (4 months after the Lucentis injection), the swelling recurred (Figure 6), and the patient was treated again with Lucentis followed by Ozurdex 2 weeks later. Her OCT CFT decreased to 226 µm and visual acuity improved to 20/30-2 (Figure 7). The patient’s visual acuity and CFT have remained stable for 2 months. We will continue with this regimen if the swelling recurs or the vision degrades.
Figure 6. Swelling recurred after 3 months.
Figure 7. Lucentis followed by Ozurdex 2 weeks later resulted in decreased CFT and improved visual acuity.
Discussion
Although anti-VEGF therapy remains the mainstay of treatment for DME, in many cases anti-VEGF therapy alone does not adequately control the macular edema. This should not be unexpected, as the clinical trials were able to significantly improve vision in less than 50% of patients.1-4 For eyes that demonstrate a suboptimal response, supplementing anti-VEGF with therapies that work using a different mode of action, such as corticosteroids, may be of value.
Summary
Diabetic maculopathy is a combination of VEGF-mediated factors as well as inflammatory mediators. Using a corticosteroid in combination with an anti-VEGF agent allows the patient to benefit from increased efficacy as well as increased duration of effect. As the category of sustained-release steroids increases, our arsenal for managing “difficult to treat” patients increases as well. ■
References
1. Nguyen QD, Brown DM, Marcus DM, et al; RISE and RIDE Research Group. Ranibizumab for diabetic macular edema: results from 2 phase III randomized trials: RISE and RIDE, Ophthalmology. 2012 119:789-801.
2. Diabetic Retinopathy Clinical Research Network. A randomized trial comparing intravitreal triamcinolone acetonide and focal/grid photocoagulation for diabetic macular edema. Ophthalmology. 2008 115:1447-1459.
3. Rajendram R, Fraser-Bell S, Kaines A, et al. A 2-year prospective randomized controlled trial of intravitreal bevacizumab or laser therapy (BOLT) in the management of diabetic macular edema: 24-month data: report 3. Arch Ophthalmol. 2012 130:972-979.
4. Korobelnik JF, Do DV, Schmidt-Erfurth U, et al. Intravitreal aflibercept for diabetic macular edema. Ophthalmology. 2014 121:2247-2254.
| Michael A. Singer, MD, PhD |
| Daniel S. Kermany |
Michael A. Singer, MD, practices in San Antonio, Texas. He is a clinical assistant professor at the University of Texas Health Science Center. Dr. Singer can be reached at msinger@mcoaeyecare.com. | |
Daniel S. Kermany is a student at the University of Texas at Austin studying neurobiology and biochemistry. He is a prospective medical student interested in pursuing ophthalmology. He is an intern at Medical Center Ophthalmology Associates under Dr. Michael Singer. |







