Hydroxychloroquine Maculopathy: An Update on Screening and Diagnosis
A brief guide for imaging
SHIRI SHULMAN, MD
Hydroxychloroquine (HCQ; Plaquenil, Sanofi, Bridgewater, NJ) is an antimalarial agent that is also commonly used as a treatment for a variety of rheumatologic and dermatologic conditions, such as rheumatoid arthritis and systemic lupus erythematosus.
The most common side effect associated with its use is retinal toxicity, which may be irreversible. Therefore, it is pertinent to know the findings, risk factors, and screening tests necessary to prevent retinal damage.
PREVALENCE AND RISK FACTORS
The prevalence of retinal toxicity has varied among different studies. During the first five years of use, the rate of toxicity was found to be 0.7%, rising significantly to more than 1% after five to seven years of use.1,2
The incidence of retinal toxicity is associated with the cumulative dose of the drug, increasing significantly beyond 1,000 g of HCQ. This cumulative dose is created when the common dose of 400 mg/day is used for 6.8 years.
Hydroxychloroquine is metabolized and secreted by both the liver and the kidneys. Therefore, disturbed renal or hepatic function might reduce HCQ clearance and increase the propensity for toxicity. Older age may also be associated with increased risk of macular toxicity, possibly due to the pre-existence of age-related macular changes that might not allow for the identification of early signs of toxicity.
Shiri Shulman, MD, practices in the Ophthalmology Division of Tel Aviv Medical Center in Israel. She reports no financial interests in products mentioned in this article. Dr. Shulman can be reached via e-mail at shulmanshiri@gmail.com.
CLINICAL CHARACTERISTICS
Symptoms
In the early stages of HCQ maculopathy, patients are usually asymptomatic. Early symptoms may include difficulties reading, color-vision disturbance, or scotomas.
Clinical Findings
Anterior segment. Hydroxychloroquine can cause deposits in the corneal epithelium. This finding is uncommon and is reversible with the cessation of drug use.
Posterior segment. There may be no clinical findings on fundus examination, even when functional damage is already evident with a visual field scotoma. Early changes may include minimal pigment epithelial mottling or atrophy with loss of foveal reflex.
Later, central pigmentation develops with a hollow of depigmentation, mainly inferior to the fovea, creating the “bull’s eye” pattern. Advanced cases may demonstrate widespread retinal pigment epithelium atrophy, with a reduced visual field and decreased night vision.3
Visual field. Parafoveal sensitivity loss is an early sign that may precede fundus changes. A computerized white-on-white 10-2 visual field test enables good resolution to test for macular sensitivity. The wider visual field tests, such as 24-2, are not sufficiently sensitive to screen the parafoveal region and may miss small scotomas. These tests are therefore not recommended as screening tools.
Nevertheless, it is doubtful that the 10-2 visual field test is sufficiently effective as a screening tool. In many cases, the diagnosis of HCQ retinal toxicity was delayed when visual field tests were dismissed as “nonspecific.”
Therefore, an abnormal visual field should first be repeated. If consistent changes are confirmed, one or more of the objective tests discussed below should be performed. In cases of established toxicity, one can usually perceive a symmetric perifoveal scotoma in a ring or a part of a ring configuration, with or without a reduction of central sensitivity.
OBJECTIVE TESTS
Spectral-domain OCT
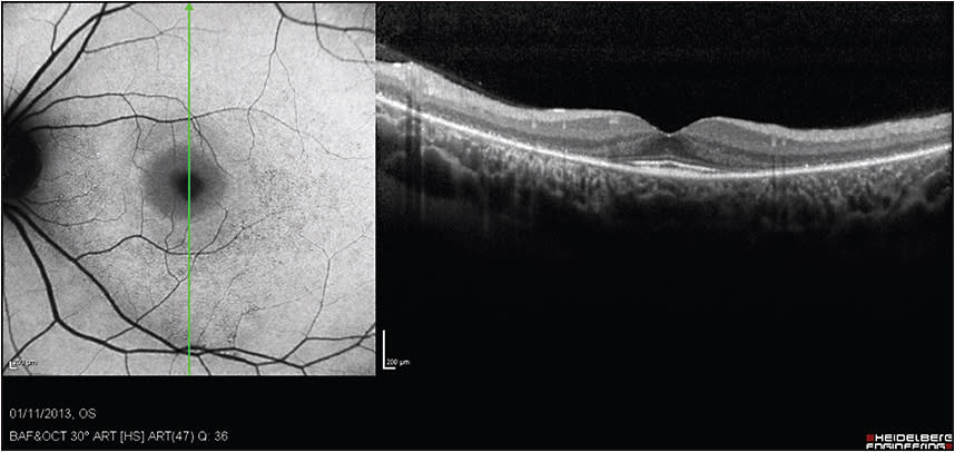
Typically, cases of HCQ toxicity may demonstrate parafoveal thinning and loss of the ellipsoid zone, with preservation of the foveal architecture — creating the “flying saucer” shape (Figures 1 and 2). Advanced cases may present with loss of the ellipsoid zone in the foveal area and also widespread diffuse thinning of the outer retinal layers.4
Figure 1. SD-OCT imaging of a 29-year-old woman treated with a daily dose of 400 mg of HCQ for 14 years. She complained of some disturbance in night vision. Her visual acuity was 20/20.
COURTESY OF HADAS NEWMAN, MD
Figure 2. SD-OCT imaging demonstrates perifoveal thinning of the ellipsoid layer and outer retina, with a preserved central fovea (the “flying saucer” configuration). FAF imaging demonstrates perifoveal hyperautofluorescence, surrounded by granular hyper-/hypoautofluorescence.
COURTESY OF HADAS NEWMAN, MD
Fundus Autofluorescence
Fundus autofluorescence (FAF) can potentially identify abnormalities in the RPE. Due to its sensitivity, it is possible to see autofluorescence changes even in early HCQ toxicity. Early toxicity may present as fine annular hyperautofluorescence.2
With progression of retinopathy, atrophy of the photoreceptors and RPE develops and may present as granular hyper-/hypoautofluorescent rings (Figures 1 and 2), which gradually become hypoautofluorescent. Nevertheless, some patients present with atypical FAF findings, such as pericentral retinopathy, which has been described in Asian patients.5
Multifocal Electroretinography
Parafoveal rings with an inner to outer ring ratio greater than normal may be visible already in early stages of HCQ retinopathy. Reduced amplitudes and a prolonged implicit time may also be seen but are a less specific finding.
There is evidence that multifocal electroretinography (ERG) may be more sensitive than 10-2 visually.6 Diffuse widespread photoreceptor damage is usually seen only in severely advanced cases. Therefore, full-field ERG is not recommended as a screening tool.
CURRENT RECOMMENDATIONS FOR SCREENING
In February 2011, the American Academy of Ophthalmology published revised guidelines for the screening of patients treated with HCQ.7 A baseline examination is recommended to exclude pre-existing maculopathy (which may be a contraindication for HCQ treatment) and to serve as a reference point for future evaluations. This evaluation should be performed within the first year of treatment. Annual screening tests should be initiated after five years of treatment or earlier if any of the risk factors mentioned above exist.
The baseline and screening tests should include:
• A 10-2 Humphrey visual field test;
• At least one of the aforementioned objective screening tests: SD-OCT, FAF, or multifocal ERG.
The following tests are not recommended to be used as screening tests:
• A visual field wider than 10-2;
• Fluorescein angiography;
• Amsler grid;
• Full-field ERG; or
• Older-generation OCT.
When a suspected visual field defect is seen, the test should first be repeated. If the damage is consistent, at least one of the objective imaging tests should be performed (possible toxicity). If the objective tests are normal, more frequent follow-up should be conducted. The ophthalmologist should inform the rheumatologist or dermatologist of the possible toxicity, and dosage reduction or cessation of the drug can be considered.
With defects highly suggestive of toxicity, such as a bilateral ring scotoma, reduced parafoveal ring amplitudes on multifocal ERG, or parafoveal autofluorescence changes, HCQ treatment should be stopped. At this point, full-field ERG should be considered to exclude diffuse photoreceptor loss.
SUMMARY
Hydroxychloroquine is an effective and relatively safe drug that can cause retinal toxicity in a minority of patients. Early diagnosis is important to stop treatment and prevent possible further damage. Nevertheless, in many cases, screening tests are performed too early and too often, causing an unjustified burden on patients and ophthalmologists. RP
REFERENCES
1. Hickley NM, Al-Maskari A, McKibbin M. Chloroquine and hydroxychloroquine toxicity. Arch Ophthalmol. 2011;129:1506-1507.
2. Michaelides M, Stover NB, Francis PJ, Weleber RG. Retinal toxicity associated with hydroxychloroquine and chloroquine: risk factors, screening, and progression despite cessation of therapy. Arch Ophthalmol. 2011;129:30-39.
3. Bernstein HN, Ginsberg J. The pathology of chloroquine retinopathy. Arch Ophthalmol. 1965;71:238-245.
4. Kahn JB, Haberman ID, Reddy S. Spectral-domain optical coherence tomography as a screening technique for chloroquine and hydroxychloroquine retinal toxicity. Ophthalmic Surg Lasers Imaging. 2011;42:493-497.
5. Lee DH, Melles RB, Joe SG, et al. Pericentral hydroxychloroquine retinopathy in Korean patients. Ophthalmology. 2015;122:1252-1256.
6. Tsang AC, Ahmadi Pirsahid S, Virgili G, Gottlieb CC, Hamilton J, Coupland SG. Hydroxychrloroquine and chloroquine reitnopathy: a systematic review evaluating the multifocal electroretinogram as a screening. Ophthalmology. 2015;122:1239-1251.
7. Marmor MF, Kellner U, Lai TY, Lyons JS, Mieler WF. Revised recommendations on screening for chloroquine and hydroxychloroquine retinopathy. American Academy of Ophthalmology. Ophthalmology. 2011;118:415-422.







