The Importance of Quickly Identifying a Suboptimal Response
Case #3: Chronic, persistent diabetic macular edema treated with concurrent anti-VEGF and dexamethasone intravitreal implant.
By Michael Javaheri, MD
Owing to their safety and efficacy profiles, anti-VEGF agents have long been considered front-line therapy for center-involving diabetic macular edema (DME). The widespread use of these drugs addresses the fact that the pathophysiology is predominantly VEGF-driven, but their use presents a heavy treatment burden involving monthly visits and injections.1,2
Recent evidence continues to indicate that inflammatory mediators contribute to DME and that anti-VEGF therapy is not effective in all patients, possibly because targeting VEGF does not suppress all of the inflammatory cytokines involved in DME.3 Furthermore, patients with persistent or chronic DME despite numerous injections can become extremely difficult to treat, suggesting a shift in the pathophysiology of DME.4,5 Identifying suboptimal responders as early as possible has become extremely important in directing treatment to rapidly maximize visual gains and decrease the injection burden.
Case Report
A 69-year-old woman with a 20-year history of mildly controlled type 2 diabetes (hemoglobin A1c of 8.1) and hypertension presented for a second opinion regarding the vision in her left eye. Her ocular history was significant for cataract surgery and center-involving DME in the left eye. Despite ongoing monthly injections of bevacizumab (Avastin, Genentech) and ranibizumab (Lucentis, Genentech), and multiple focal macular laser treatments, her visual acuity had stabilized at 20/70 with a significant amount of edema and increased macular lipid (Figure 1A). Four injections of Lucentis had reduced the DME by approximately 20%, after minimal improvement was achieved with six injections of Avastin (Figure 1B).
Figure 1A. After multiple focal macular laser treatments, visual acuity stabilized, but significant edema remained and increased macular lipid was present.
Figure 1B. The edema was reduced by about 20% after four injections of Lucentis following six injections of Avastin.
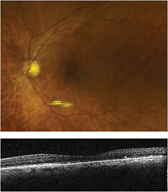
Because of the suboptimal response and the chronicity of the DME, I decided to treat with two concurrent agents: monthly Lucentis in a modified treat-and-extend protocol, and the dexamethasone intravitreal implant (Ozurdex, Allergan) every 3 months. After 1 month of treatment (agents were given 1 week apart), the edema improved dramatically. After six monthly doses of Lucentis and two every-3-month doses of Ozurdex, the DME and lipid had almost resolved, and visual acuity had improved to 20/30 (Figure 2). The patient received a total of three doses of Ozurdex and one focal macular laser treatment. No significant rise in IOP was noted. Currently, 18 months after treatment was initiated, visual acuity remains at 20/30. The patient is receiving Lucentis every 8 to 10 weeks, without additional steroid for 6 months.
Figure 2. After 6 months of combination therapy with Lucentis and Ozurdex, the edema and lipid almost completely resolved, and visual acuity improved to 20/30.
Discussion
Evidence from a recent subanalysis of the Diabetic Retinopathy Clinical Research Network Protocol I study suggests that patients show one of four response types after the first four injections of an anti-VEGF agent, with a quarter of patients being classified as nonresponders and more than half not having a significant early response.6 These data further corroborate findings in subgroups within the Protocol T, VIVID and VISTA, and RISE and RIDE studies,2,7 suggesting three categories of DME: mostly VEGF-mediated, minimally VEGF-mediated, and mediated by VEGF and inflammatory processes. Patients in the latter group may benefit significantly from combination therapy with anti-VEGF agents and corticosteroids.
Ozurdex has been shown to be effective in the treatment of persistent DME, DME resistant to anti-VEGF treatment, and DME in difficult-to-treat vitrectomized eyes.8-11 The MEAD study further showed that Ozurdex provides robust long-term improvement in visual acuity and macular edema in patients with DME, with a mean of four to five injections over 3 years. Although approximately 40% of patients in the MEAD study needed IOP-lowering medication, less than 1% required incisional glaucoma surgery. The timing of IOP rises was predictable, and the incidence and magnitude of IOP elevations did not increase upon repeated treatment or from year to year in the study.4
In this patient, after multiple injections of Avastin and Lucentis and previous focal macular laser produced only minimal changes, Ozurdex had a definite impact on visual acuity and anatomic improvement. In addition, it allowed for the monthly injections to be extended, thereby reducing the treatment and visit burden for this patient.
Summary
For center-involving DME that persists despite anti-VEGF therapy, the durable action of Ozurdex facilitates the use of combination therapy in DME mediated by VEGF and inflammatory processes. In spite of the proven effect of corticosteroids for treating DME, the potential for side effects of cataract and IOP elevation must be monitored.
In the future, patients could receive these implants early (after three to four anti-VEGF injections) as additional treatment after a suboptimal response to intravitreal anti-VEGF agents as combination therapy, which may provide some synergistic benefit in certain patients who have both inflammatory and VEGF influences. ■
References
1. Nguyen QD, Brown DM, Marcus DM, et al; RISE and RIDE Research Group. Ranibizumab for diabetic macular edema: results from 2 phase III randomized trials: RISE and RIDE. Ophthalmology. 2012;119:789-801.
2. Brown DM, Nguyen QD, Marcus DM, et al; RIDE and RISE Research Group. Long-term outcomes of ranibizumab therapy for diabetic macular edema: the 36-month results from two phase III trials: RISE and RIDE. Ophthalmology. 2013;120:2013-2022.
3. Funatsu H, Noma H, Mimura T, Eguchi S, Hori S. Association of vitreous inflammatory factors with diabetic macular edema. Ophthalmology. 2009;116:73-79.
4. Gillies MC, Lim LL, Campain A, et al. A randomized clinical trial of intravitreal bevacizumab versus intravitreal dexamethasone for diabetic macular edema: the BEVORDEX study. Ophthalmology. 2014;121:2473-2481.
5. Boyer DS, Yoon YH, Belfort R, Jr., et al. Three-year, randomized, sham-controlled trial of dexamethasone intravitreal implant in patients with diabetic macular edema. Ophthalmology. 2014;121:1904-1914.
6. Bressler SB, Qin H, Beck RW, et al; Diabetic Retinopathy Clinical Research Network. Factors associated with changes in visual acuity and OCT thickness at 1 year after treatment for diabetic macular edema with ranibizumab. Arch Ophthalmol. 2012;30:1153-1161.
7. Korobelnik JF, Do DV, Schmidt-Erfurth U, et al. Intravitreal aflibercept for diabetic macular edema. Ophthalmology. 2014;121:2247-2254.
8. Haller JA, Kuppermann BD, Blumenkranz MS, et al; Dexamethasone DDS Phase II Study Group. Randomized controlled trial of an intravitreous dexamethasone drug delivery system in patients with diabetic macular edema. Arch Ophthalmol. 2010;128:289-296.
9. Pacella E, Vestri AR, Muscella R, et al. Preliminary results of an intravitreal dexamethasone implant (Ozurdex) in patients with persistent diabetic macular edema. Clin Ophthalmol. 2013;7:1423-1428.
10. Lazic R, Lukic M, Boras I, et al. Treatment of anti-vascular endothelial growth factor-resistant diabetic macular edema with dexamethasone intravitreal implant. Retina. 2014;34:719-724.
11. Boyer DS, Faber D, Gupta S, et al; Ozurdex CHAMPLAIN Study Group. Dexamethasone intravitreal implant for treatment of diabetic macular edema in vitrectomized patients. Retina. 2011;31:915-923.
| Michael Javaheri, MD, is in private practice in Los Angeles and is a clinical assistant professor at the USC Eye Institute. He can be reached at mikejavaheri@gmail.com. |







