Navigated Laser in Central Serous Chorioretinopathy
Imaging features offer specific advantages in CSC.
JAY CHHABLANI, MD
Central serous chorioretinopathy is characterized by accumulation of fluid in the subretinal space at the posterior pole. The pathogenesis of CSC has been proposed to be hyperpermeability of the choriocapillaris, which has been shown on angiographic studies.1
Usually CSC has a self-resolving course. Various treatment modalities, including laser photocoagulation and photodynamic therapy, and recently various oral medications, such as rifampin (Rifadin, Sanofi, Bridgewater, NJ) methotrexate, and mineralocorticoid receptor antagonists, have been tried.2-4
Point leakage on fundus fluorescein angiography is the most common presentation of CSC. Laser application to the site of leakage (direct laser photocoagulation) shortens the duration of CSC by two months and also reduces recurrence, with no change in the final visual outcome.5-8 Therefore, laser photocoagulation remains the treatment of choice for acute CSC with point leaks.
Conventional slit-lamp laser photocoagulation for the leaks in eyes with CSC can be challenging. During laser photocoagulation, exact localization of the angiographic leak on the slit view of a live inverted fundus view, among the others blood vessel crossings, can be difficult.
The accuracy of treatment must be assessed by repeat FA printouts or on a computer screen. Due to the approximate location on the live fundus view of the point of leakage, multiple laser spots must be applied, even for a single leak.
Sometimes, these leaks are very close to the foveal avascular zone, and laser to such leaks can damage the fovea and cause loss of vision. Due to the application of multiple spots, there is excess retinal damage, which can lead to visually significant scotoma.
Jay Chhablani, MD, is on the faculty of the L.V. Prasad Eye Institute in Hyderabad, India. He reports no financial interests in any the products mentioned in this article. Dr. Chhablani can be reached via e-mail at jay.chhablani@gmail.com.
Recently, the Navilas navigated laser system (OD-OS, Irvine, CA) for retinal laser photocoagulation and retinal imaging was introduced. This platform provides a 532-nm–wavelength, frequency-doubled, Nd:YVO4 solid-state laser photocoagulation system, with infrared imaging, color fundus photography, and fundus fluorescein angiography (FFA) on the same device.
Laser planning can be performed on FA images. The plan is overlaid on the live fundus view, and laser can be performed using eye tracking, which helps to increase the safety and accuracy of the placement of laser spots.
A detailed report of the laser treatment includes the number of spots, average power used, average pulse duration, and location of applied laser.
ADVANTAGES OF NAVILAS IN CSC
1. Minimal laser damage: The laser spots can be planned only for leaking spots, which could be one spot in an eye with a single leak. In contrast, with conventional slit-lamp laser delivery systems, multiple spots must be performed even for a single leak due to inaccurate localization. Therefore, using the Navilas, the overall energy delivered and power used are less, and so is the damage to the retina.
2. Accurate localization: Localization of leakage on FFA and the ability to use this information accurately for treatment are the major advantages of Navilas in CSC (Figure 1). Previous reports have shown that laser photocoagulation using the navigated laser system is safe and achieves a higher rate of accuracy (92%) in photocoagulation than conventional (72%) laser in the treatment of diabetic retinopathy microaneurysms.9 Point leakage in CSC requires accurate laser photocoagulation to achieve successful closure.
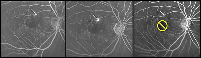
Figure 1. Fundus fluorescein angiography images (left panel: midphase; middle panel: late phase) showing point of leak (arrow) in an eye with central serous chorioretinopathy. Right panel shows the laser plan with yellow spot (arrow) on planned laser spot with no-laser zone (yellow circle).
3. Ease of laser planning: The difficulty in finding the leaky spot on a live inverted fundus view with a conventional slit-lamp laser device can be alleviated using navigated laser.
4. Customized laser spots: Each laser spot can be titrated according to the location in terms of the size and power of the laser spot. Sometimes, the leak can be very close to the fovea, so careful laser using a smaller spot size (up to 50 µm) and a shorter pulse duration (up to 10 msec) can be performed.
5. Shorter pulse duration: Shorter pulse durations than conventional laser bring about minimal thermal damage to the surrounding retinal tissue, especially in CSC.
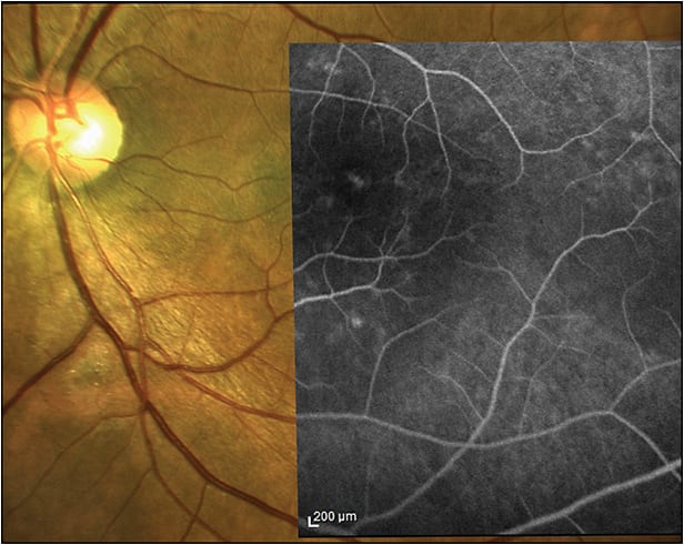
6. Multimodal imaging: Digital images of FA from different devices can also be loaded into the system to produce superimposed images on the live fundus view (Figures 2 and 3). Laser applications can be performed to the precise desired retinal area by preselecting this area at first on the angiographic image.
Figure 2. Figure shows use of multimodal imaging on Navilas. Fundus fluorescein angiography image, done on another system, has been imported into the Navilas system. Fundus fluorescein angiography image is overlaid on color fundus photo, obtained using Navilas and used for laser planning.
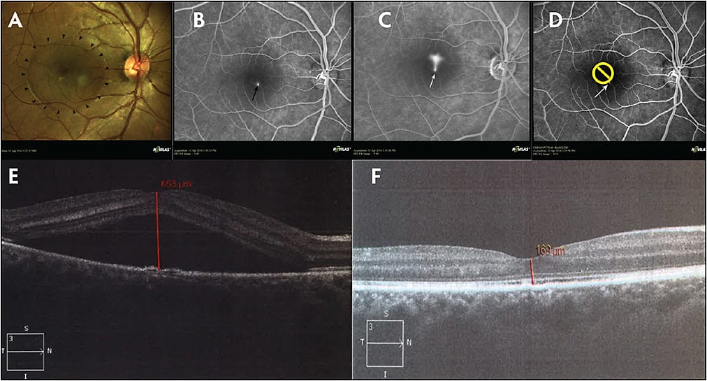
Figure 3. Composite figure shows treatment outcome of laser photocoagulation in an eye with central serous chorioretinopathy. Color fundus photograph (A) shows area of subretinal fluid (arrowheads). Fundus fluorescein angiography, early (B) and late (C) phases, shows point leak (arrow in B) with typical smoke stack appearance. D) Laser planning on Navilas; large yellow circle shows no-laser zone, and small yellow spot shows planned single laser spot (arrow). Spectral-domain optical coherence tomography shows the presence of subretinal fluid on prelaser (E) and the resolution of subretinal fluid at one month follow-up (F).
7. Safety: Because leakage in CSC can occur very close to fovea, careful laser photocoagulation with the utmost patient cooperation is required. Sudden movement of the eyes could lead to damage to the fovea. The eye tracking feature of the Navilas prevents inadvertent damage to the fovea with laser photocoagulation. Instead, sudden eye movement leads to loss of the overlaid planned laser image, and the laser application stops immediately, which improves the safety and efficacy of laser photocoagulation in CSC.
8. Patient comfort: Navigated laser can be performed in infrared light without using a contact lens, which reduces the treatment time and enhances the comfort.
9. Microsecond laser: Recently, micropulse laser has shown promising results in the treatment of chronic CSC.10,11 Navilas laser systems are capable of applying yellow (wavelength 577 nm) laser in microsecond mode, with a duty cycle in the range of 5% to 15%. The advantages of microsecond mode include minimal damage and equal efficacy of the laser photocoagulation in CSC. In addition, the computerized laser planning and eye tracking features of microsecond laser could be helpful in the treatment of eyes with CSC due to subfoveal leakage. Further studies are warranted to explore such applications.
OUR EXPERIENCE
A recent study by our group showed resolution of subretinal fluid with a single laser spot for each single leak, with minimal iatrogenic damage.12
We evaluated 16 eyes of 15 subjects with a mean duration of symptoms of 11.45±16.6 months (range three months to four years). The average number of leaks per eye was 2.8, and one laser spot per leak was performed after the test burns. The average spot size was 94±9.48 µm, and the mean power used for each laser spot was 106.1±32.0 mW.
The mean central macular thickness was 337.1±231.5 and 165±61.8 µm at baseline and at two months of follow-up, respectively, with a statistically significant difference (P=.007). Complete resolution of subretinal fluid at two months of follow-up was noted in 15 of 16 eyes (94%). The average visual analogue scale score for pain experience was 0.63±1.41.
In conclusion, Navilas provides safe and accurate laser treatment of CSC. Navigated laser offers several advantages over the conventional slit-lamp laser delivery system in cases of CSC. With new microsecond laser, its utility in eyes with subfoveal leaks and chronic CSC will expand further. RP
REFERENCES
1. Maumenee AE. Macular diseases: clinical manifestations. Trans Am Acad Ophthalmol Otolaryngol. 1965;69:605-613.
2. Steinle NC, Gupta N, Yuan A, Singh RP. Oral rifampin utilisation for the treatment of chronic multifocal central serous retinopathy. Br J Ophthalmol. 2012;96:10-13.
3. Kurup SK, Oliver A, Emanuelli A, et al. Low-dose methotrexate for the treatment of chronic central serous chorioretinopathy: a retrospective analysis. Retina. 2012;32:2096-2101.
4. Bousquet E, Beydoun T, Zhao M, et al. Mineralocorticoid receptor antagonism in the treatment of chronic central serous chorioretinopathy: a pilot study. Retina. 2013;33:2096-2102.
5. Ficker L, Vafidis G, While A, Leaver P. Long-term follow-up of a prospective trial of argon laser photocoagulation in the treatment of central serous retinopathy. Br J Ophthalmol. 1988;72:829-834.
6. Leaver P, Williams C. Argon laser photocoagulation in the treatment of central serous retinopathy. Br J Ophthalmol. 1979;63:674-677.
7. Robertson DM, Ilstrup D. Direct, indirect, and sham laser photocoagulation in the management of central serous chorioretinopathy. Am J Ophthalmol. 1983;95:457-466.
8. Verma L, Sinha R, Venkatesh P, Tewari HK. Comparative evaluation of diode laser versus argon laser photocoagulation in patients with central serous retinopathy: a pilot, randomized controlled trial. BMC Ophthalmol. 2004;4:15.
9. Kozak I, Oster SF, Cortes MA, et al. Clinical evaluation and treatment accuracy in diabetic macular edema using navigated laser photocoagulator Navilas. Ophthalmology. 2011;118:1119-1124.
10. Kim JY, Park HS, Kim SY. Short-term efficacy of subthreshold micropulse yellow laser (577-nm) photocoagulation for chronic central serous chorioretinopathy. Graefes Arch Clin Exp Ophthalmol. 2015 Feb 26. [Epub ahead of print]
11. Yadav NK, Jayadev C, Mohan A, et al. Subthreshold micropulse yellow laser (577 nm) in chronic central serous chorioretinopathy: safety profile and treatment outcome. Eye (Lond). 2015;29:258-265.
12. Chhablani J, Rani PK, Mathai A, et al. Navigated focal laser photocoagulation for central serous chorioretinopathy. Clin Ophthalmol. 2014;8:1543-1547.







