Management of Diabetic Macular Edema
An algorithm for treatment decision-making
AMEEN MARASHI, MD
Diabetic retinopathy is a leading cause of visual impairment in the working population,1 having in the interim negative social, emotional, and economic impacts on the quality of life of patients and their families.2
Visual impairment caused by DR can be subdivided into three types: late onset due to complications of proliferative DR, such as tractional retinal detachment or vitreous hemorrhage; early onset due to diabetic macular edema; and macular ischemia, which has a poor prognosis with no proven treatment.
In the anti-VEGF era, steroids, laser, and vitrectomy still play important roles in the management of DME. There are different types of VEGF blockage agents, along with different types of steroids and laser modes. Clinical trials have tested and recommended certain protocols, but applying the conclusions and results of these trials to daily practice will not be easy.
Before discussing management of diabetic macular disease, it is perhaps better to understand the pathology and classification of DME in a practical manner.
PATHOGENESIS
Thickening of basement membranes and loss of pericytes due to hyperglycemia can lead to breakdown of the blood-retinal barrier and thus increase the vascular permeability and fluid accumulation in the macula. This process is regulated by multiple vascular, inflammatory, and biomechanical factors.3
When DME starts developing (nonchronic disease), the main process consists of acute inflammation and vascular dysfunction and thus leads to hypoxia, causing interim VEGF to be upregulated, along with inflammatory mediators, such as interleukin (IL)-1b, IL-6, IL-8, interferon gamma-inducible protein (IP)-10, and monocyte chemoattractant protein (MCP)-1.4 However, VEGF is the main driver of pathology, which is why, in such cases, treatment with VEGF blockage agents may reduce macular thickness, prevent visual loss, and improve vision.
Ameen Marashi, MD, is a retina specialist at the Marashi Eye Clinic in Aleppo, Syria. He reports no financial interests in products mentioned in this article. Dr. Marashi can be reached via e-mail at ameenmarashi@hotmail.com.
While in long-standing DME (chronic disease), the main process consists of chronic inflammation, diffuse leakage, and damage to the neural tissue, including photoreceptor loss, interim inflammatory mediators, including the aforementioned cytokines, are upregulated more than VEGF. An inflammatory process is the main driver, which is why treating such cases with VEGF blockage agents may not lead to improvement, and treatment with steroids might play a larger role.
Diabetic maculopathy may not derive from increased vascular leakage. It sometimes arises from microvascular enlargement and blockage, accompanied by capillary loss and adjacent edema, thus causing macular ischemia and resulting in a poor prognosis with no useful treatment.
The pathogenesis of DME is not always a vascular element; sometimes, vitreomacular interface changes can cause thickening of the macula, contributing to the pathology of DME caused by underlying mechanisms, such as collagen crosslinking nonenzymatically. Infiltration of glial cells and inflammatory cells, along with deposition of cytokeratin and glial fibrillary acidic protein (GFAP), will cause thickening and adherence of the cortical vitreous, where VEGF and fibroblast growth factor (FGF)-2 are located, which might contribute to the further proliferation of hyalocytes and astrocytes.
Vitreomacular traction can be either anterior-posterior, due to liquefaction of the core vitreous, or tangential, due to either vitreoschisis, which can lead to formation of epiretinal membrane from fibrovascular proliferation of glial cells and astrocytes, or contractile lamellae, which may lead to taut vitreous formation.5-9 The tractional element of DME is mainly treated by removing it surgically, when conservative treatment with laser, VEGF blockage agents, and steroids might not help.
It is important to remember that two or more mechanisms can contribute to DME pathology and pathology may change from one form to another.
CLASSIFICATION
DME classification can affect our treatment plan, and this classification can be based on several aspects.
• Perfusion status: Ischemic or nonischemic
• Vitreomacular interface: Presence of vitreomacular interface abnormality or not
• Location of edema: Central involvement or noncentral involvement and whether it meets the criteria for clinically significant macular edema (CSME), as defined by the ETDRS, ie, any edema within 500 μm of the center of the fovea, hard exudate within 500 μm of the center of the fovea adjacent to the edema, or 1 disc diameter of the edema with 1 disc diameter of the center of the fovea9
• Clinical course: Nonchronic or chronic
• Distribution of the edema: Focal or diffuse
ISCHEMIC DIABETIC MACULOPATHY
Ischemic diabetic maculopathy usually presents as featureless retina (Figure 1), with markedly reduced best-corrected visual acuity. It can be diagnosed using fluorescein angiography (Figure 2), on which it presents as an enlarged foveal avascular zone (FAZ) or an irregular border of the FAZ due to microvascular enlargement and blockage accompanied by capillary loss. It is important to remember that ischemic diabetic maculopathy cannot be treated, and it has a poor prognosis.
Figure 1. Young woman with a history of diabetes mellitus type 1 presented with featureless retina.
Figure 2. The same patient as in Figure 1; FA showing enlarged FAZ with macular capillary dropout in the periphery.
We should think about ischemic diabetic maculopathy whenever we have poor BCVA despite the attempted treatment or at presentation, and it should be ruled out using FA. Treating PDR promptly, along with glycemic and blood pressure control, may help in preventing ischemic diabetic maculopathy.
MANAGEMENT
The main principle of DME treatment is to dry the macula, which can be accomplished by treating the underline pathology. As mentioned above, pathology can be various and mixed, and it can change from one form to another, and here we should carefully diagnose and treat (Figure 3).
Figure 3. Algorithm for DME treatment created by the author.
In other words, before starting treatment for DME, we should define what pathological factor is the main driver and treat it. Nevertheless, it is essential to coordinate glycemic and blood pressure control with the internist or endocrinologist, including keeping HbA1c at approximately 7%, which can really help to stabilize DME.
Before treating, three things should be ruled out: (1) macular scarring; (2) ischemic maculopathy; and (3) nondiabetic macular edema. Management should be carried out in two steps: drying the macula and improving vision; and maintaining dryness and stable vision.
Vitreomacular Interface Abnormalities
It is vital to rule out the presence of any vitreomacular interface abnormality, such as VMT and/or ERM, when examining patients with DME. This exclusion can be accomplished using optical coherence tomography (Figure 4) and slit-lamp biomicroscopy.
Figure 4. DME presenting with epiretinal membrane causing thickening of the macula and focal disturbance of the inner retinal layer.
In the presence of VMT or ERM, it is important to isolate the main driver of DME. Is it a tractional element or vascular element (which can be confirmed using FA)? In cases of a vascular element as the main driver (Figure 5), intravitreal steroids can be tried in pseudophakic patients or FA-guided focal laser can be applied to the leaking microaneurysms. However, bear in mind that using continuous wave (CW) laser photocoagulation may increase traction, and subthreshold diode micropulse (SDM) laser may be safer.
Figure 5. DME presenting with cysts (red arrow) and vitreomacular abnormality (white arrow), which might not be involved in DME pathology.
Furthermore, anti-VEGF may be used as a second line in cases in which suboptimal results are achieved by other therapeutic options.
In cases of conservative treatment failure, or when the main driver of DME is a tractional element — especially when anterior-posterior traction, taut posterior vitreous, and/or macular pucker is present with moderate visual loss — vitrectomy is indicated with peeling of the internal limiting membrane to relieve the tangential traction caused by ERM and perhaps reducing the recurrence of ERM.10-11
Studies, such as Protocol D by DRCRnet,12 have concluded that vitrectomy in cases of VMT can reduce macular thickening, with improvement in vision from 28% to 49%, and vision can be reduced in 13% to 31% of cases. Thus, vitrectomy can be considered for eyes with DME and VMT with moderate visual loss.
Noncentral DME
Treating noncentral DME, especially when it meets the CSME criteria (Figures 6 and 7), may delay DME progression and stabilize vision, because studies in these patients have shown that they usually present with good vision.
Figure 6. Moderate NPDR with CSME and no foveal involvement.
Figure 7. FA of the same patient in Figure 6 showing microaneurysm leakage outside the fovea.
Treatment should be applied, using FFA- or OCT-guided focal/grid laser according to the ETDRS using CW or SDM mode, to leaking microaneurysms in the area of edema.13,14 SDM laser can yield similar results to CW laser, but it does not cause macular scarring, so it has a safer profile and can be repeated safely.
In cases in which edema resolves, evaluation every two to three months should be performed, with glycemic control targeted at HbA1C of 7.0% and blood pressure control. In cases of treatment failure, laser should be repeated, but if the edema is threatening the fovea and vision, then the case should be treated as center-involving edema.
Central DME
Central DME with foveal involvement may be the most common presentation in our practice (Figures 8 and 9), and it can threaten vision. Our treatment arsenal for DME is enormous, with various types of medications (anti-VEGF and steroids). However, choosing the optimal treatment for the patient is our goal.
Figure 8. Central DME with NPDR.
Figure 9. FA of the same patient in Figure 8 showing leakage involving the FAZ.
When the BCVA is 20/40 or better, monthly anti-VEGF intravitreal injections, such as ranibizumab (Lucentis, Genentech, South San Francisco, CA) 0.3 mg or bevacizumab (Avastin, Genentech) 1.25 mg can be administered, as suggested by Protocol T from DRCRnet, which may not be less effective than aflibercept (Eylea, Regeneron, Tarrytown, NY) 2.0 mg. However, bevacizumab may be less effective than other agents when central retinal thickening is more than 400 µm, although it is still an option for starting treatment in cases of good BCVA at baseline.
When the BCVA is 20/50 or worse, monthly intravitreal injections of aflibercept 2.0 mg are indicated because aflibercept showed greater efficacy when vision is compromised, as suggested by Protocol T.15
When the edema is no greater than 400 µm thick, laser treatment can be initiated promptly after the first injection of anti-VEGF, because Protocol I from DRCRnet16 showed that, with prompt laser, it is better to use FA or OCT as a guide for modified laser treatment according to the ETDRS, especially when using CW mode, although SDM laser can be used also, and it may have a safer profile.
If the DME is better on OCT, or/and BCVA has improved after four injections of anti-VEGF, then the patient can be reinjected monthly. However, if CSME is still present at 24 weeks after initial treatment, then FA- or OCT-guided focal/grid laser16,17 using CW or SDM mode can be performed (Figures 10 and 11).
Figure 10. OCT shows cystic central DME.
Figure 11. OCT for the same patient in Figure 10 shows DME resolution after four injections of anti-VEGF and deferred focal micropulse laser.
In cases of central DME still presenting with improved BCVA, and/or OCT shows a good response to treatment, injections should continue15-18 until resolution of DME, but in cases with noncentral DME still present, laser should be repeated.
When DME is completely resolved (central retinal thickening less than 250 µm or BCVA of 20/20 after two consecutive injections), then evaluation should be performed every four weeks using OCT and vision testing, retreating only in cases of DME worsening. PRN dosing may place a burden on the patient because it requires frequent office visits to monitor DME status and retreat if required.
Another method is available to maintain stable vision and reduce the burden of frequent office visits: treat and extend (T&E), in which OCT and vision tests, along with treatment, are performed with extended intervals up to eight weeks. If the patient’s vision remains stable after these eight weeks, the treatment interval is extended to 12 weeks, but the time extension should not exceed three months. In cases in which edema worsens, treatment is repeated monthly until stable DME is achieved again after two consecutive injections.
Blood pressure and glycemic control should be targeted at HbA1C l <7.0% and systolic blood pressure less than 130.
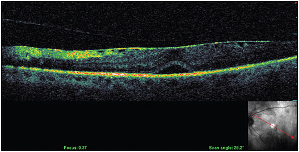
Chronic DME
Chronic DME presents as long-standing DME (usually more than 1.5 years), which has diffuse pattern (Figures 12 and 13). OCT may show photoreceptor layer loss. Chronic DME usually responds poorly to anti-VEGF injections because inflammatory mediators are the main driver of DME.
Figure 12. Diffuse CSME with very severe NPDR and signs of laser scars.
Figure 13. FA shows diffuse leakage in the macular area with areas of nonperfusion in the periphery.
Usually if the response to treatment is suboptimal based on OCT (reduction of retinal thickness of less than 10%) and/or BCVA after six injections of anti-VEGF, then DME should be treated as chronic, and the treatment plan should be changed to steroids (Figures 14 and 15), especially in diffuse, long-standing edema.
Figure 14. Diffuse thickening of the central macular area with cystic changes, neurosensory detachment, and hard exudates. BCVA is 20/60.
Figure 15. Same patient as in Figure 14. OCT shows suboptimal response after four injections of anti-VEGF and no improvement in BCVA.
Studies such as MEAD19 showed that an intravitreal steroid implant of dexamethasone 0.7 mg (Ozurdex, Allergan, Irvine, CA), which can be effective to up to four months for DME, has a better safety profile than other steroids. However, there is still a risk of cataract progression and glaucoma. Therefore, it is preferable that it be injected in pseudophakic patients with no history of glaucoma.
If DME is still recurs, then reinjection of the dexamethasone implant is indicated, but if repeated implant are needed in a patient who did not show any risk of glaucoma, then a fluocinolone acetonide 0.19-mg intravitreal implant (Iluvien, Alimera, Alpharetta, GA; Retisert, Bausch + Lomb, Rochester, NY) is indicated because it can be effective for up to 36 months. The FAME study showed20 that the fluocinolone 0.19-mg intravitreal implant could show improvement in BCVA for up to 36 months.
Other steroids, such as intravitreal triamcinolone acetonide can be used in chronic DME as well, but it has short-term effects with a risk of cataract progression and glaucoma, as the TADMO study21 showed. Triamcinolone can be effective in reducing macular edema in refractory cases not responsive to laser therapy.
WHEN TO SWITCH TREATMENT
When a phakic patient or a patient with a history of glaucoma shows a lack of response to a certain anti-VEGF agent, switching the anti-VEGF agent may show some effect, especially when switching from bevacizumab or ranibizumab to aflibercept, because the latter might have better affinity and less risk of tachyphylaxis. However, if there is a risk of stroke, use of ranibizumab (0.3 mg) may be warranted because of its safer profile.
When a pseudophakic patient shows a lack of response to treatment with anti-VEGF then an intravitreal steroid implant of dexamethasone 0.7 mg can be administered. In addition, as mentioned above, if there is no risk of steroid-induced glaucoma, and multiple injections are needed, then switching to a fluocinolone 0.19-mg intravitreal implant may improve BCVA for up to 36 months.
ONE MORE THING
There are special situations that require special considerations, such as DME patients planning to undergo phacoemulsification. Studies, such as Protocol Q from DRCRnet,22 showed that DME after cataract removal could worsen, so it is preferable to treat DME before cataract removal with close follow-up afterward.
In cases of DME with PDR, treatment with anti-VEGF can be performed, and panretinal photocoagulation can be deferred for cases of poor compliance or faulty treatment, as suggested in Protocol S from DRCRnet.23 Anti-VEGF should be used with caution in cases of fibrovascular traction that threaten the macula, and in these cases, pars plana vitrectomy may be indicated.
In cases of DME in pregnant women, the management is slightly different: in mild cases, observation will be sufficient, or laser can be performed in cases of more prominent edema. Intravitreal steroid is indicated in diffuse, severe cases, but discussion with the patient is necessary to disclose the risk and benefits of steroids. Intravitreal anti-VEGF has no proven risks to pregnant woman or the fetus, but it should remain the last option.
CONCLUSIONS
Diabetic macular edema causes early onset visual loss, which can lead to negative outcomes. A broad spectrum of treatments is available with various pathological mechanisms, such as VEGF, inflammation, ischemia, or vitreoretinal interface abnormalities. Ruling out ischemic diabetic maculopathy in patients with featureless retina and poor BCVA using FA is mandatory.
Treatment approaches can change according to the type of DME. While a vitreomacular interface abnormality may require pars plana vitrectomy with ILM peeling, a noncentral edema may require only laser treatment and close follow-up, while central edema can be treated with intravitreal anti-VEGF in nonchronic DME, and chronic DME requires the use of intravitreal steroids in pseudophakic patients.
REFERENCES
1. Congdon NG, Friedman DS, Lietman T. Important causes of visual impairment in the world today. JAMA. 2003;290:2057-2060.
2. Fenwick EK, Pesudovs K, Khadka J, et al. The impact of diabetic retinopathy on quality of life: qualitative findings from an item bank development project. Qual Life Res. 2012;21:1771-1782.
3. Romero-Aroca P. Targeting the pathophysiology of diabetic macular edema. Diabetes Care. 2010;33:2484-2485.
4. Jonas JB, Jonas RA, Neumaier M, Findeisen P. Cytokine concentration in aqueous humor of eyes with diabetic macular edema. Retina. 2012;32:2150-2157.
5. Sebag J, Buckingham B, Charles MA, Reiser K. Biochemical abnormalities in vitreous of humans with proliferative diabetic retinopathy. Arch Ophthalmol. 1992;110:1472-1476.
6. Jumper JM, Embabi SN, Toth CA, McCuen BW II, Hatchell DL. Electron immunocytochemical analysis of posterior hyaloid associated with diabetic macular edema. Retina. 2000;20:63-68.
7. Kaiser PK, Riemann CD, Sears JE, Lewis H. Macular traction detachment and diabetic macular edema associated with posterior hyaloidal traction. Am J Ophthalmol. 2001;131:44-49.
8. Faulborn J, Bowald S. Microproliferations in proliferative diabetic retinopathy and their relationship to the vitreous: corresponding light and electron microscopic studies. Graefes Arch Clin Exp Ophthalmol. 1985;223:130-138.
9. Kinyoun J, Barton F, Fisher M, Hubbard L, Aiello L, Ferris F 3rd. Detection of diabetic macular edema. Ophthalmoscopy versus photography—Early Treatment Diabetic Retinopathy Study Report Number 5. The ETDRS Research Group. Ophthalmology. 1989;96:746-750; discussion 750-751.
10. Sebag J, Balazs EA. Pathogenesis of cystoid macular edema: an anatomic consideration of vitreoretinal adhesions. Surv Ophthalmol. 1984;28(Suppl):493-498.
11. Kwok AK, Lai TY, Yuen KS. Epiretinal membrane surgery with or without internal limiting membrane peeling. Clin Exp Ophthalmol. 2005;33:379-385.
12. Diabetic Retinopathy Clinical Research Network Writing Committee; Haller JA, Qin H, Apte RS, et al. Vitrectomy outcomes in eyes with diabetic macular edema and vitreomacular traction. Ophthalmology. 2010;117:1087-1093.
13. Luttrull JK, Musch DC, Mainster MA. Subthreshold diode micropulse photocoagulation for the treatment of clinically significant diabetic macular oedema. Br J Ophthalmol. 2005;89:74-80.
14. Scott IU, Danis RP, Bressler SB, et al; Diabetic Retinopathy Clinical Research Network. Effect of focal/grid photocoagulation on visual acuity and retinal thickening in eyes with non-center-involved diabetic macular edema. Retina. 2009;29:613-617.
15. Diabetic Retinopathy Clinical Research Network; Wells JA, Glassman AR, Ayala AR, et al. Aflibercept, bevacizumab, or ranibizumab for diabetic macular edema. N Engl J Med. 2015;372:1193-1203.
16. Diabetic Retinopathy Clinical Research Network; Elman MJ, Aiello LP, Beck RW, et al. Randomized trial evaluating ranibizumab plus prompt or deferred laser or triamcinolone plus prompt laser for diabetic macular edema. Ophthalmology. 2010;117:1064-1077.
17. Nguyen QD, Brown DM, Marcus DM, et al; RISE and RIDE Research Group. Ranibizumab for diabetic macular edema: results from 2 phase III randomized trials: RISE and RIDE. Ophthalmology. 2012;119:789-801.
18. Korobelnik JF, Do DV, Schmidt-Erfurth U, et al. Intravitreal aflibercept for diabetic macular edema. Ophthalmology. 2014;121:2247-2254.
19. Boyer DS, Yoon YH, Belfort R Jr, et al; Ozurdex MEAD Study Group. Three-year, randomized, sham-controlled trial of dexamethasone intravitreal implant in patients with diabetic macular edema. 2014;121:1904-1914.
20. Campochiaro PA, Brown DM, Pearson A, et al; FAME Study Group. Long-term benefit of sustained-delivery fluocinolone acetonide vitreous inserts for diabetic macular edema. Ophthalmology. 2011;118:626-635.
21. Gillies MC, Sutter FK, Simpson JM, Larsson J, Ali H, Zhu M. Intravitreal triamcinolone for refractory diabetic macular edema: two-year results of a double-masked, placebo-controlled, randomized clinical trial. Ophthalmology. 2006;113:1533-1538.
22. Diabetic Retinopathy Clinical Research Network Authors/Writing Committee; Baker CW, Almukhtar T, Bressler NM, et al. Macular edema after cataract surgery in eyes without preoperative central-involved diabetic macular edema. JAMA Ophthalmol. 2013;131:870-879
23. Writing Committee for the Diabetic Retinopathy Clinical Research Network; Gross JG, Glassman AR, Jampol LM, et al. Panretinal photocoagulation vs intravitreous ranibizumab for proliferative diabetic retinopathy: a randomized clinical trial. JAMA. 2015;314:2137-2146.







